恶性淋巴瘤

来自医学百科

恶性淋巴瘤是原发于淋巴结或其他淋巴组织恶性肿瘤发病率占小儿恶性实体瘤的第一位,多发于5~12 岁儿童。病因至今未明,病毒感染免疫缺陷遗传学因素异常是发病的重要因素。接受肾移植并用免疫抑制可诱发,或可因淋巴结长期反复发作非特异性反应增生而激发。临床以浅表淋巴结无痛性进行性肿大或伴发热消瘦肝脾肿大为特征。根据瘤组织细胞特点可分为何杰金氏病(HL)和非何杰金氏病(NHL)两大类。

Bk8mz.jpg

  

基本概述[编辑 | 编辑源代码]

恶性淋巴瘤是淋巴结和结外部位淋巴组织的免疫细胞肿瘤,来源于淋巴细胞或组织细胞的恶变。在我国恶性淋巴瘤虽相对少见,但近年来新发病例逐年上升,每年至少超过25000例,而在欧洲、美洲和澳大利亚等西方国家的发病率可高达11/10万~18/10万,略高于各类白血病的总和。在美国每年至少发现新病例3万以上。我国恶性淋巴瘤的死亡率为1.5/10万,占所有恶性肿瘤死亡位数的第11~13位,与白血病相仿。而且,恶性淋巴瘤在我国具有一些特点:①发病和死亡率较高的中部沿海地区;②发病年龄曲线高峰在40岁左右,

恶性淋巴瘤

没有欧美国家的双峰曲线,而与日本相似呈一单峰;③何杰金氏病所占的比例低于欧美国家,但有增高趋向;④在非何杰金淋巴瘤滤泡型所占比例很低,弥漫型占绝大多数;⑤近十年的资料表明我国的T细胞淋巴瘤占34%,与日本相近,远多于欧美国家。

恶性淋巴瘤是原发于淋巴结或其他淋巴组织的恶性肿瘤,发病率占小儿恶性实体瘤的第一位,多发于5~12 岁儿童。病因至今未明,病毒感染、免疫缺陷及遗传学因素异常是发病的重要因素。接受肾移植并用免疫抑制可诱发,或可因淋巴结长期反复发作非特异性反应增生而激发。临床以浅表淋巴结无痛性进行性肿大或伴发热、消瘦及肝脾肿大为特征。根据瘤组织细胞特点可分为何杰金氏病(HL)和非何杰金氏病(NHL)两大类。  

诊断[编辑 | 编辑源代码]

恶性淋巴瘤

(一)详细询问病史

包括首发症状、淋巴结肿大出现的时间与以后的增大速度、有无全身症状,如发热、盗汗皮肤搔痒、消瘦等,非何杰金淋巴瘤应询问有无消化道症状等。

(二)体征

1.全身浅表淋巴结是否肿大,皮肤及附件有否侵犯,应注意咽淋巴环乳腺睾丸等有否侵犯。

2.其他静脉淋巴回流受阻,气管受压,上腔静脉综合症等。

(三)特殊检查

恶性淋巴瘤

1.血常规检查,包括血红蛋白白细胞计数与分类、血小板计数血沉率等。

2.血化学检查,包括尿素氮非蛋白氮肌酐、硷性磷酸酶总蛋白白蛋白球蛋白转氨酶转肽酶等测定。

3.血清免球蛋白检查。

4.尿常规检查

5.髂骨穿刺涂片活检

6.放射学检查:胸部正侧位x线片及双下肢淋巴造影。

7.病理学检查:淋巴结、皮肤活检及必要时肝脏穿刺活检。

8.细胞免疫检查:E玫瑰花结、淋巴细胞转化、巨噬细胞试验、皮肤试验等。

9.腹部B超CT扫描、MRI及胃肠钡餐透视等。

10.开腹探查只在选择病例中进行,尤其对非何杰金淋巴瘤更应慎重。  

治疗[编辑 | 编辑源代码]

(一)治疗原则

1.何杰金氏病的治疗原则

(1)ⅠA、ⅡA期:以放射治疗为主,如有大的纵隔肿块,应采用化疗放疗综合;病理为淋巴细胞消减型,应用全淋巴结放射。

(2)ⅡB期:一般采用全淋巴结放射,也可单用联合化疗。

(3)Ⅲ1A:单纯放射治疗。

(4)Ⅲ2A期:放射与化疗综合治疗。

(5)ⅢB期:单用化疗或化疗加放疗。

(6)Ⅳ期:单用化疗

2.非何杰金氏淋巴瘤的治疗原则

(1)低度恶性:①I、Ⅱ期:大多采用放疗,放疗后应用化疗不能解决数年后仍复发的问题。②Ⅲ、Ⅳ期:大多采用化疗。

(2)中度恶性:I期病人可单用放疗。Ⅱ期以上采用以阿霉素为主的化疗方案。

(3)高度恶性:淋巴母细胞淋巴瘤,采用白血病样治疗方案。

3.手术作为治疗手段的恶性淋巴瘤适应症很局限,而且治愈率也低,常需辅以放疗或化疗。

(二)外科治疗

1.胃肠道恶性淋巴瘤的手术治疗

原发性胃肠道恶性淋巴瘤应强调手术治疗。可明确病变部位、切除病变组织和制订治疗计划,淋巴瘤的切除率较癌肿要高。胃淋巴瘤可行胃次全切除,全胃切除应慎用。肠道淋巴瘤则可切除局部病灶肠管及相应系膜。对于切除不尽的瘤体,可于术中置银夹固定,以便术后放疗。

2.泌尿生殖系统恶性淋巴瘤的手术治疗

原发于肾脏膀胱、睾丸、卵巢子宫等器官的恶性淋巴瘤均宜早期手术切除,术后再给放疗或化疗。

3.脾脏恶性淋巴瘤的手术治疗

原发于脾脏的恶性淋巴瘤很少见。术前与其他脾肿瘤较难鉴别,术后病理回报可以确诊。I~Ⅱ期病例单纯手术切除5年生存率为40%,若术后辅以化疗或放疗可提高到60%。

(三)化学治疗

1.何杰金氏病的化疗:

近20年来何杰金氏病的药物治疗有了很大进步,最主要是由于治疗策略上的改进和有效联合化疗方案的增多。目前多数研究单位对Ⅲ~Ⅳ期何杰金氏病的治愈率已超过50%。单药对何杰金氏病的疗效一般在40%~70%。值得重视的是某些药物单用也能取得完全缓解,如HN2的完全缓解率为13%、CTX为12%、PCB(甲基苄肼)为38%,VCR为36%、VLB(长春花硷)为30%,但疗效很少能超过半年以上。

联合化疗主要适用于ⅠB、ⅡB、Ⅲ2A、ⅢB、Ⅳ期及纵隔大肿块的病例。应用的最广泛方案是氮芥(M)、长春新碱(O)、甲基苄肼(P)、强的松(P),简称MOPP方案。要获得最佳治疗效果,药物必须足量并按规定时间给予。尽管2~3个周期治疗后大多数病人已达完全缓解,通常仍要治疗6个周期。获得完全缓解后无论如何也应再治疗2周期。近年来的研究表明,最有效的联合化疗方案为按照MOPP构成原则组成的阿霉素(A)、博莱霉素(B)、长春花碱(V)加氮烯咪胺(D),简称ABVD方案。此方案的完全缓解率为75%,与MOPP方案无交叉耐药性,对MOPP无效的病例用ABVD方案治疗75%~80%可缓解。

2.非何杰金氏淋巴瘤的化疗

目前还没有很成熟的治疗NHL的首选化疗方案。由于NHL的组织学类型复杂,病人个体的差异也很大,因此在选择治疗方案时对于肿瘤的恶性程度、发病部位、病人的一般状况。如:年龄、有无全身症状及骨髓功能是否健全等因素都应考虑到。

(1)低度恶性淋巴瘤的治疗:这类淋巴瘤病情缓和、病程绵长,宜选用较缓和的化疗方案,对Ⅲ、Ⅳ期低度恶性淋巴瘤可选用多药联合方案。特别是初治病人一定要争取达到完全缓解或部分缓解,还要避免不必要的治疗、以防止和减少远期毒性骨髓抑制

(2)中度恶性淋巴瘤的治疗:可占NHL的60%,在西方国家大部分为B细胞来源,但可有20%为T细胞来源,这些病人有时被称之为“周围T细胞淋巴瘤”。多数学者认为,影响进展性NHL预后的重要因素有:病人的一般情况,肿块是否超过10cm,多处结外器官受侵、B症状等。年龄也是影响预后的因素,可能与对治疗的耐受性有关。对中度恶性的非何杰金淋巴瘤的治疗目前意见比较一致。可选用的方案有COP、COPP或MOPP、CHOP等。一般完全缓解率在50%~80%。对于弥漫性组织细胞型,CHOP、COMA或COMLA方案的疗效较好。

(3)高度恶性淋巴瘤的治疗:这组病人的治疗相当困难,化学治疗对儿童病人疗效较好,有效率可达85%~95%,但多在1年内复发。免疫母细胞淋巴瘤是一预后差的亚型,好发于儿童及年轻人,中位年龄为24.5岁,男女之比可高达2.5~5:1。淋巴母细胞型淋巴瘤纵隔侵犯发生率高达42%,最后约50%转为白血病。目前常采用与急性白血病相似的方案来治疗此病,即积极的诱导治疗、巩固治疗、早期中枢神经系统预防以及长期维持治疗。

小无裂细胞淋巴瘤可以是Burkitt淋巴瘤或非Burkitt淋巴瘤。成人中小无裂细胞比弥漫型大细胞淋巴瘤更少见,较好的化疗方案为COM和COMP方案。

(四)放射治疗

1.何杰金氏病的放射治疗

放射治疗原则除根据分期而定外,还要考虑病变的部位、病理、年龄等因素。若ⅠA病人病灶位于右上颈,因膈下侵犯机会较少,可单用斗篷野;如病灶位于左颈,因膈下侵犯多见,故照射范围除斗篷野外,至少还要包括腹主动脉旁和脾脏。又如在ⅠB、ⅡB中,如病理属于混合细胞型或淋巴细胞缺乏型,则在用全淋巴区照射后最好加用化疗。对于年龄小于10岁或大于60岁的病人,因对放射耐受差,放射野不宜太大,一般多采用局部照射。

(1)肿瘤根治剂量:上海医科大学肿瘤医院采用的肿瘤根治剂量是45Gy/6周;对肿瘤较大、退缩慢,可把局部剂量提高到50Gy左右。

(2)预防照射:十多年来根据Rosenberg-Kaplan假设认为肿瘤是单中心发生的,主要沿邻近淋巴结转移,因此放射治疗不仅要包括临床发现肿瘤的区域,而且要对邻近部位淋巴结区域进行预防照射,这种观点的改变,使何杰金氏病的治疗效果有了显著的提高。

(3)放射线的选择:目前多采用60Co或4~8MeVX线

2.非何杰金氏淋巴瘤的放射治疗

(1)肿瘤的根治剂量及放疗原则:非何杰金氏淋巴瘤的最适剂量,不像何杰金氏病那样明确,诸多的临床报道所采用的剂量亦很不统一。对于弥漫型非何杰金氏淋巴瘤,可给予40~50Gy/5~6周,对于滤泡型可以酌减,尤其原发于浅表淋巴结。但对于弥漫型组织细胞型,因对放射不敏感,易发生局部复发,局部控制量应50~60Gy。若巨大肿块或照射后残留,局部追加剂量5~10Gy。对于原发于头颈部的可给予45~55Gy。

(2)结内型非何杰金氏淋巴瘤的放射治疗:根据组织学上的预后好差和分期不同,其放疗原则为:①预后好I、Ⅱ期:大多采用单纯放疗,主张采用累及野照射,不一定采用扩大野照射。②预后好,Ⅲ、Ⅳ期:大多采用化疗。若治疗前病灶大于7~10cm或化疗后病灶不能全消的患者,可以加用局部放疗。③预后差,I、Ⅱ期:采用强烈联合化疗加累及野照射,放疗后再加联合化疗。④预后差,Ⅲ、Ⅳ期:本型淋巴瘤发展较快,故应早期用强烈化疗,病灶若不易全消,可以再补充局部放疗。

(3)结外型非何杰金氏淋巴瘤的放射治疗:原发于咽淋巴环的早期病例可用放射治疗来控制,放射治疗应包括整个咽淋巴环及颈淋巴结,一般给予肿瘤量40~60Gy,原发于鼻腔的病灶,照射野包括鼻腔及受侵犯的副鼻窦,预防照射鼻咽,以鼻前野为主野,二耳前野为副野,肿瘤根治剂量为55Gy/5~6周,预防剂量为40~45Gy;原发于上颌窦的病灶,设野同上颌窦癌,较上领窦癌照射范围大些,肿瘤根治量55Gy/5~6周,放疗后不作手术治疗,腹腔原发性恶性淋巴瘤的单纯放射治疗效果较差,多与手术或化疗联合应用。放射治疗技术因病变部位而异,可行全腹腔照射、局部区域性照射及肿瘤区照射。其适应症为:①根治性手术,肿瘤侵犯浆膜或有区域淋巴结受累。②根治性手术,为多中心病灶,或肿块直径>7cm。③切缘有肿瘤或有周围脏器的直接侵犯。④术后局部复发。其放射剂量,大多数作者认为在25Gy~50Gy,而以35Gy以上较好。预防量一般要在30Gy以上,治疗量一般要在40Gy以上,剂量过低,达不到预防和治疗作用。

(五)中药治疗 大量临床实践证明,对中晚期病人进行大剂量放、化疗,或对产生耐药的患者再次进行化疗只能导致虚弱的生命更加垂危,加速了患者死亡。临床常常可以见到,患者死因不是因为癌症本身造成,而是由于不科学、不恰当的杀伤性治疗所致。如肝癌多次介入后出现腹水黄疸等肝功衰竭而致死;肺癌胸水化疗后导致呼吸衰竭而死亡;胃癌肠癌化疗后恶心呕吐,患者更加衰竭而死亡;白血球下降,患者感染而死亡等。  

病因[编辑 | 编辑源代码]

恶性淋巴瘤的病因至今尚未完全阐明。但有如下相关因素:①EB病毒感染;②免疫缺陷是高危人群;③电离辐射也可引起本病的发生;④遗传因素与本病的病因关系也有报道。有时可见明显的家族聚集性。  

病理改变[编辑 | 编辑源代码]

恶性淋巴瘤

恶性淋巴瘤在病理学上分成何杰金氏病和非何杰金氏病两大类,根据瘤细胞大小、形态和分布方式可进一步分成不同类型。

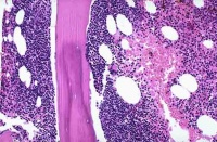
(一)何杰金氏病(HD) HD是一种特殊类型的恶性淋巴瘤,组织学诊断主要依靠在多形性炎症浸润背景上找到特征性R-S细胞。1965年,Rye国际会议确定分为四型:

1.淋巴细胞为主型(LP)HD2以中、小淋巴细胞增生为主,有时以组织细胞增生为主;典型R-S细胞不易找到。但常存在较多L-H细胞。

2.结节硬化型(NS)HD:以双折光宽胶原纤维束,将存在腔隙型R-S细胞的淋巴组织分隔成大小不一结节为特征,典型R-S细胞罕见。

3.混合细胞型(MC)HD:典型R-S细胞和H细胞多,炎性细胞明显多形性,伴血管增生纤维化

4.淋巴细胞消减型(LD)HD:除存在典型R-S细胞外,还可出现许多多形性R-S细胞(网状细胞型)或弥漫性非双折光纤维组织增生,反应性炎性细胞显著减少。

(二)非何杰金氏淋巴瘤(NHL) 我国在1985年成都会议上,根据国内NHL特点,参照了国际工作分类,拟定了自己的工作分类。  

临床表现[编辑 | 编辑源代码]

(一)恶性淋巴瘤的主要症状或体征是浅表淋巴结无痛性肿大。何杰金氏病通常有颈或锁骨上淋巴结受累,NHL除横膈上、下淋巴结受累外,经仔细临床检查可发现其他淋巴样组织部位如滑车眼窝淋巴结和韦氏环受侵。

(二)可有发热、盗汗或体重减轻等症状。

(三)皮痒在何杰金病较NHL多见,通常用抗组织胺药物治疗无效。

(四)何杰金病病人偶尔发生饮酒后疼痛,疼痛部位局限于受累区域。

(五)除淋巴结肿大外,体检尚可发现脾肿大。且脾大的病人常并有肝肿大。晚期病人因纵隔淋巴结肿大可出现上腔静脉受阻。  

预后[编辑 | 编辑源代码]

(一)恶性淋巴瘤的疗效判定标准

1.完全缓解(CR):肿瘤完全消失达一个月以上。

2.部分缓解(PR):肿瘤两个最大直径的乘积缩小50%以上,其他病灶无增大,并且维持一个月以上。

3.无变化(NC):肿瘤两个最大直径的乘积缩小不足50%,或大小无明显变化。

4.恶化(PD):肿瘤增大超过25%以上或有新的转移灶出现。

(二)恶性淋巴瘤的近期疗效

绝大部分恶性淋巴瘤的病人经适当的治疗都可获得近期缓解。HD的近期缓解率高于NHL。Ⅰ~Ⅱ期的HD近期缓解率高达95%以上;NHL经详细检查分型,认真分期和选择适宜的治疗方案也可获得80%左右的近期缓解。

(三)恶性淋巴瘤的远期疗效

HD的Ⅰ~Ⅱ期病人的5年生存率已达95%以上,Ⅲ~Ⅳ期病人5年生存率也可达90%左右;NHI较晚期病例的治疗虽然比较困难,其5年生存率也达到了80%。因此对早期的淋巴细胞为主型、结节硬化型的HD,低恶度的NHL要力争治愈这些病例。对较晚期的恶性程度较高的恶性淋巴瘤要争取提高5年生存率。

(四)影响预后的因素

1.年龄:何杰金氏病患者小于50岁比大于50岁生存率高,非何杰金淋巴瘤儿童和老年患者预后一般比年龄在20~50岁者差。

2.性别:在何杰金氏病患者中,女性治疗后生存率较高,而在非何杰金淋巴瘤中,男女预后无多大差别。

3.病理:何杰金氏病患者中,以淋巴细胞为主型预后最好,5年生存率为94.3%,结节硬化型和混合细胞型次之,而以淋巴细胞削减型预后最差,5年生存率仅27.4%。非何杰金淋巴瘤中,滤泡型淋巴细胞分化好,6年生存率为61%;弥漫型淋巴细胞分化差,6年生存率为42%;淋巴母细胞型淋巴瘤,4年生存率为30%。

4.分期:何杰金氏病患者,Ⅰ期5年生存率为92.5%,Ⅱ期为86.3%,Ⅲ期为69.5%,EF期为31.9%。

5.全身症状:伴有全身症状的何杰金氏病患者预后比无全身症状者差,而对非何杰金淋巴瘤,全身症状对预后的影响较小。  

预防措施[编辑 | 编辑源代码]

1、要均衡膳食,正常成人可摄入蛋白质食物总量150~200克/日或摄入蛋白质70克/日,儿童摄入鱼、肉、蛋食物100~150克/日。摄入碳 水化合物脂肪适量。多吃各种绿色蔬菜,成人进食绿色蔬菜500克/日,儿童摄入绿色蔬菜200~300克/日。不要经常大量摄入鸡、鸭、鱼、肉、蛋、海 鲜、饼干、炒豆(花生、黄豆、蚕豆等)及其他油炸食物。

2、多喝水,成人饮水1500毫升/日,儿童饮水800~1000毫升/日。特别是夏季,在户外工作、活动,一定要足量喝水。

3、适当运动,每天慢跑半小时或散步(做健身操等)2小时左右。

4、儿童要养成不挑食,不偏食的习惯,保证营养物质供给,保持人体热能的平衡,减少肿瘤的发生。

5、恶性淋巴瘤患者严格控制蛋白质等高热能食物摄入,多吃绿色蔬菜,有益于控制淋巴瘤的进一步发展。

6、恶性淋巴瘤患者同时要防治淋巴外疾病。如扁桃体口腔、鼻咽部、甲状腺、胃肠道、骨、肝、胆等器官疾病。

7、不要过度劳累,特别是有胃肠道、骨、肝等疾病者,否则会损伤这些器官,从而刺激淋巴结增生

8、患者不喝酒,酒的热作用可引起淋巴结疼痛增生。

2001年WHO淋巴瘤分类[编辑 | 编辑源代码]

B细胞淋巴瘤

1、前驱B淋巴母细胞白血病/淋巴瘤(ALL/LBL)

2、B-慢性淋巴细胞白血病/小淋巴细胞淋巴瘤(CLL/SLL)

3、B-前淋巴细胞白血病(B-PLL)

4、淋巴浆细胞淋巴瘤(LPL)

5、脾边缘区B细胞淋巴瘤,+/- 绒毛状淋巴细胞(SMZL)

6、毛细胞白血病(HCL)

7、浆细胞骨髓瘤/浆细胞瘤(PCM/PCL)

8、MALT型节外边缘区B 细胞淋巴瘤(MALT-MZL)

9、淋巴结边缘区B 细胞淋巴瘤,+/- 单核细胞样B 细胞(MZL)

10、滤泡淋巴瘤(FL)

11、套细胞淋巴瘤(MCL)

12、弥漫性大细胞淋巴瘤(DLBCL)

13、伯基特淋巴瘤BL

T/NK细胞淋巴瘤

1、前驱T淋巴母细胞白血病/淋巴瘤(T-ALL/T-LBL)

2、母细胞性NK细胞淋巴瘤

3、慢性前淋巴细胞白血病/淋巴瘤(T-CLL/T-PLL)

4、颗粒淋巴细胞白血病(T-LGL)

5、侵袭性NK细胞白血病(ANKCL)

6、成人T细胞淋巴瘤/白血病(ATCL/L)

7、节外NK/T细胞淋巴瘤,鼻型(NK/TCL)

8、肠病型T细胞淋巴瘤(ITCL)

9、肝脾γδT细胞淋巴瘤

10、皮下脂膜炎样T细胞淋巴瘤

11、菌样霉菌病/赛塞里(Sezary)综合征(MF/SS)

12、间变性大细胞淋巴瘤(ALCL),T和非T非B细胞, 原发性皮肤型

13、周围T细胞淋巴瘤(PTL)

14、血管免疫母细胞T细胞淋巴瘤(AITCL)

15、间变性大细胞淋巴瘤(ALCL), T和非T非B细胞, 原发性全身型

霍奇金淋巴瘤(HL)分类

1、结节性淋巴细胞为主HL

2、经典型霍奇金淋巴瘤

(1)、淋巴细胞为主型(LP)

(2)、结节硬化型(NS)

(3)、混合细胞型(MC)

(4)、淋巴细胞消减型(LD)  

饮食生活[编辑 | 编辑源代码]

恶性淋巴瘤是一组原发于淋巴结或淋巴组织的恶性肿瘤。恶性淋巴瘤表现多种多样,淋巴结肿大为其特征,以其首发者约占60%,多发于颈部,其次为腋下腹股沟,淋巴结大,坚而有弹性,无疼痛。病变也可见于淋巴结外组织器官,引起吞咽困难鼻出血腹痛腹泻、腹水、肝脾肿大、肝痛、黄疸、咯血胸水骨瘤病理性骨折、中枢神经病变、皮肤溃疡等。何杰金氏病大多表现为淋巴结病变,非何杰金氏病则多表现为淋巴结外病变,二者表现不尽相同,全身症状有恶寒、发热、乏力、盗汗、消瘦,晚期有贫血恶病质。

【 宜 】

(1)宜多吃具有抗恶性淋巴瘤作用的食物:穿山甲蟾蜍、田鸡、芋艿。

(2)淋巴结肿大宜吃荸荠、芋艿、核桃荔枝黄颡鱼田螺羊肚猫肉牡蛎。

(3)发热宜吃豆腐渣无花果大麦绿豆苦瓜节瓜水蛇。

(4)盗汗宜吃猪心、羊肚、燕麦、高粱豆腐皮。

(5)肝脾肿大、出血、贫血同白血病有关内容。

【 忌 】

(1)忌咖啡兴奋性饮料。

(2)忌葱、蒜、姜、桂皮等辛辣刺激性食物。

(3)忌肥腻、油煎、霉变、腌制食物。

(4)忌公鸡、猪头肉等发物。

(5)忌海鲜。

(6)忌羊肉狗肉韭菜胡椒温热性食物。

(7)忌烟、酒。  

确诊部位[编辑 | 编辑源代码]

1、隔肌以上,咽淋巴环,颈部纵隔或肺门锁骨下,腋或胸部滑车与臀部。

2、隔肌以下;脾脏,主动脉旁,骼部,腹股沟,与股部,肠系膜窝。  

护理[编辑 | 编辑源代码]

一、病情观察:

1.观察全身症状如贫血、乏力、消瘦、盗汗、发热、皮肤癌痒、肝脾肿大等。

2.观察淋巴结肿大所累及范围、大小。

3.严密观察有无深部淋巴结肿大引起的压迫症状,如纵隔淋巴结肿大引起咳嗽呼吸困难、上腔静脉压迫症,腹膜后淋巴结肿大可压迫输尿管引起肾盂积水

4.观察有无骨骼浸润,警惕病理性骨折、脊髓压迫症发生。

二、对症护理:

1.患者发热时按发热护理常规执行。

2.呼吸困难时给予高流量氧气吸入,半卧位,适量镇静剂

3.骨骼浸润时要减少活动,防止外伤,发生病理性骨折时根据骨折部位作相应处理。

三、一般护理:

1.早期患者可适当活动,有发热、明显浸润症状时应卧床休息以减少消耗,保护机体。

2.给予高热量、高蛋白、丰富维生素、易消化食物,多饮水。以增强机体对化疗、放疗承受力,促进毒素排泄

3.保持皮肤清洁,每日用温水擦洗,尤其要保护放疗照射区域皮肤,避免一切刺激因素如日晒、冷热、各种消毒剂、肥皂、胶布等对皮肤的刺激,内衣选用吸水性强柔软棉织品,宜宽大。

4.放疗、化疗时应观察治疗效果及不良反应。

四、健康指导:

1.注意个人清洁卫生,做好保暖,预防各种感染。

2.加强营养,提高抵抗力

3.遵医嘱坚持治疗,定期复诊。  

易混淆病种[编辑 | 编辑源代码]

慢性淋巴结炎:多有明显的感染灶,且常为局灶性淋巴结肿大,有疼痛及压痛,一般不超过 2 - 3 厘米抗炎治疗后可缩小。

巨大淋巴结增生:为一种原因不明的淋巴结肿大,主要侵犯胸腔,以纵膈最为多见,也可侵犯肺门与肺内。

假性淋巴瘤:常发生在淋巴结外的部位,如眼眶 、 胃的假性淋巴瘤等。

结核淋巴结炎:有时很难与恶性淋巴瘤鉴别。比较典型的患者常有肺结核

淋巴结转移癌:淋巴结常较硬,质地不均匀,可找到原发灶,很少全身性淋巴结肿大。

注意事项[编辑 | 编辑源代码]

恶性淋巴瘤容易在锁骨,腋下,腹股沟会出现肿大淋巴结,放化疗不能根治,因为放化疗对正常细胞和恶性淋巴细胞没有辨别能力。恶性淋巴瘤溃烂后,伤口不易愈合,所以建议不要或者少用外贴膏药。以防溃烂。中医内服药疗效较好。中医内服切忌不宜以毒攻毒。  

淋巴瘤早期症状类似感冒[编辑 | 编辑源代码]

由于恶性淋巴瘤表现比较隐匿,不易被察觉。淋巴瘤早期症状与很多常见感冒等“小毛病”类似,最明显的症状就是颈部、腋窝或腹股沟出现无痛性的浅表淋巴结肿大,生长可快可慢,有的甚至经消炎治疗可以好转和消退,更易误诊。其他的表现有不明原因的发热(尤其是夜间发烧)、体重下降、没有胃口、乏力、消化不良、腹泻、咳嗽、呼吸困难、皮肤发痒、扁桃体肿大、头疼等,均需警惕患上淋巴瘤的可能性。

如何早期发现淋巴瘤?专家介绍了一个简单的自测办法——摸。因为多数淋巴瘤患者先在浅表淋巴结发病,如颈部、腹股沟和腋下淋巴结,这些部位都很容易自测到。所以除了牙痛扁桃体炎等显而易见诱发淋巴结肿痛的原因外,如果淋巴结出现无痛性、进行性肿大,自测者就应去医院看医生并做B超或X线等检查,以排除淋巴肿瘤。  

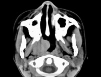
恶性淋巴瘤的播散与转移[编辑 | 编辑源代码]

恶性淋巴瘤大多首先侵犯表浅和 / 或纵隔、腹膜后、肠系膜淋巴结,少数可原发于结外器官。 较多的患者在早期表现为无痛的颈部淋巴结肿大,以后其他部位的亦陆续发现。淋巴结从黄豆大到枣大,中等硬度,坚韧,均匀,丰满。一般与皮肤无粘连,在初期和中期互不融合,可活动。到了后期淋巴结可长到很大。可互相融合。

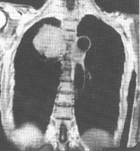
纵隔也是好发部位之一,受侵的纵隔淋巴结,可以是单个的淋巴结肿大,也可以是多个淋巴结融合成巨块,外缘呈波浪状,侵犯一侧或双侧纵隔,以后者较多见。

原发性肝恶性淋巴瘤少见。继法侵犯肝脏的并不少见。部分病人可以肝脾肿大为首发症状。为淋巴结以外最长受侵的部位。但这些患者大多无明显的异常。

恶性淋巴瘤约 2% 左右可发生于肺部,表现为肺野内边界清楚的圆形或分叶状阴影,患者自觉症状很少。有的患者可侵犯肺门或纵隔淋巴结,一般很少有上腔静脉压迫征或纵隔肌麻痹,治疗预后也较好。由纵隔侵犯肺部的恶性淋巴瘤多靠近肺门,常常连成一片,可为单侧或双侧性,并常伴有气管旁淋巴结肿大,也易引起压迫症状,其预后不如原发于肺的病例。

小肠恶性淋巴瘤在手术时 50% 以上以有肠系膜淋巴结受侵,如小肠肿块较大,有溃疡、多发,并侵犯淋巴结则预后不佳。恶性淋巴瘤从肠黏膜下层的淋巴滤泡开始,向内侵及黏膜层,向外达肌层。由于黏膜与黏膜肌层有瘤组织侵润,正常黏膜皱襞消失变平坦。肠壁增厚、僵硬,甚至蠕动消失。

参看[编辑 | 编辑源代码]