肾移植

来自医学百科

肾移植就是将健康者的肾脏移植给有肾脏病变并丧失肾脏功能的患者。开刀是治疗慢性肾功能衰竭的一项有效手段,肾移植因其供肾来源不同分为自体肾移植,同种肾切除移植,和异种肾移植。习惯上把同种肾移植简称为“自体”肾移植。两种肾移植则冠以“自体”或“异种”。  

简介[编辑 | 编辑源代码]

肾移植是把一个健康的肾脏植入病人右下腹的髂窝内。因为右侧髂窝的血管较浅,手术时容易与新肾

肾移植示意图

脏血管接驳。一般多选择髂内动脉进行吻合,如果右髂内动脉管腔内出现动脉硬化、管腔狭小,术后恐血流量不足,亦可以与病人髂外动脉作吻合,血管吻合后,放开全部阻断血管的血管钳,待新的肾脏供血良好,便逐层缝合腹壁,完成手术。肾移植并非新肾与旧肾的交换。

肾移植前是否一定要把病肾切除呢?目前的肾移植手术仅需完成健康肾植入腹腔的程序,已不主张移植前先作双肾切除了,除非十分必要。

所谓必要,即是指原有的肾脏病继续存在,会直接危害患者的健康,或使疾病进一步扩散。例如严重的肾结核,肾脏本身的功能已失去,结核病灶的存在,还会向各处扩散;又如多发性铸型结石的存在,伴发顽固的细菌感染,容易引发败血症肾盂积脓、肾周脓疡等危及生命的并发症;此外,还有肾脏肿瘤、巨大的多囊肾、大量的血尿等情况,也考虑先作肾切除,复原后再做肾移植,并非两种手术同时进行。除了上述疾病,均不主张处理原来的肾脏。  

肾移植指征[编辑 | 编辑源代码]

一般来讲,肾移植是慢性肾功能不全最理想的治疗方法,故凡是慢性肾功能不全发展至终末期,均可用肾移植治疗。但为了提高肾移植存活率,临床上选择合适的患者较为严格,一般从病情、原发病种类、年龄等方面考虑。Scr>1326μmol/L(15mg/dL),Ccr<5mL/min是肾移植的基本依据。从原发病来讲,最常见的适合作肾移植受者的原发病是原发性肾小球肾炎,其次是慢性肾盂肾炎、间质性肾和囊性肾病。年龄虽然不是选择的主要指标,但以在15~55岁的青壮年为好。  

适应证:[编辑 | 编辑源代码]

(1)自体肾移植的主要适应证为肾动脉起始部具有不可修复的病变者。在复杂肾内结石或畸形采用一般方法难以解决的时候,亦可行离体肾脏修复后,再移植至髂窝(即Bench手术)。

(2)同种肾移植适于每个患有不可恢复的肾脏疾病并有慢性肾衰竭的病人。常见的有肾小球肾炎、间质性肾炎肾盂肾炎、肾血管硬化症和多囊肾。此外还有外伤所致双肾或孤立肾丧失者。  

禁忌证:[编辑 | 编辑源代码]

肾功能衰竭有关的疾病应列为肾移植术的禁忌证。

(1)当肾脏疾病是由全身疾患所引起的局部表现时,不能考虑肾移植,因为这一疾病将蔓延到移植的肾脏。如淀粉样变性结节性动脉周围炎和弥漫性血管炎等。

(2)全身严重感染肺结核消化性溃疡恶性肿瘤病人,不能考虑肾移植。因在移植后应用免疫抑制剂类固醇时,疾病将迅速恶化。  

国内发展历程[编辑 | 编辑源代码]

1960年吴阶平院士率先实行第一例人体肾移植。20世纪70年代肾移植全国正式展开。

肾移植手术

自1989年以来,每年施行1000例以上,至1994年底累计13594例次。开展肾移植医院由1991年77个增至1993年的95个。至1993年底,1年生存率从1984年的86.7%提高到93.7%,长期存活率也逐年上升。

至1998年底, 全国开展肾移植的单位已达80个,肾移植总数达到2万余例。

2000年5月国内肾移植累计已达2.53余万例次. 我国每年实施肾移植4000余例次,居亚洲之首,最长健康存活达23年。目前国内已有91家医院能够开展临床肾移植手术。

2005年3月20日在武汉总医院获得成功国内首例自体肾移植手术完成。

目前肾移植5年以上存活者超过1000例,10年以上超200例

国外发展历程 

1933年乌克兰外科医生Voronoy施行了第一例人同种异体尸肾移植,但失败了。

1936年苏联医生沃罗诺伊(Voronoy)进行了最早的同种肾移植。

1947年,美国医生Hume将肾移植于病人手臂血管上获得了短期有功能存活,使得这位急性肾衰病人得以生存。

1954年,在美国波士顿的布里格姆医院,约瑟夫.默里(Joseph Murry)医生做了世界第一例纯合双生子间的肾移植手术,获得成功,开辟了器官移植的新纪元,也为其他器官(如肝、胰和心脏等)的移植铺平了道路。

1955年国医生Hume在肾移植中使用了类固醇激素,使同种移植有了新的进展。

1960年国医生卡恩(Calne)在狗的肾移植中用了6-硫基嘌吟,后来在临床中发现副作用而停止使用。

1962年硫哇嘌吟临床应用使肾移植的成功率大幅度提高。随后淋巴细胞免疫球蛋白制剂的普及,以及使用了脾切除术抑制排斥等方法为移植的成功奠定了基础。

从1988年至2000年,全世界共有137347例肾移植,其中活体肾移植的数量占30%。  

肾移植优缺点[编辑 | 编辑源代码]

优点[编辑 | 编辑源代码]

肾移植造影

肾移植肾晚期尿毒症患者透析治疗外的一种治疗方法,肾移植是一种手术,目前已比较成功,但也有一些弊端。

成功的肾移植可以使患者免除透析的必要,而且比腹膜透析血液透析更能有效的治疗肾衰。成功移植一只肾能够提供比透析多10倍的功能。移植患者与透析患者相比,所受的限制更少,生活的质量更高。大多数患者比透析时感觉更好,更有体力。  

缺点[编辑 | 编辑源代码]

找到合适的移植肾的过程是复杂的,确定移植的肾与受者在血型和组织型上是否良好匹配,需要进行各种各样的检查。

即使是良好匹配的患者也不总是合适的受者。供者和患者需要都没有感染和其它医学问题,不会使患者的康复复杂化。移植患者必须使用免疫抑制药物预防移植肾被排斥。这些药物具有副作用,会增加获得一些感染,病毒和某种类型的肿瘤的风险。移植患者需要一生服药,或者至少在移植物还在继续工作的时候服用。

肾脏移植物并不会永远坚持下去。比较年轻的患者在一生中可能需要两次或者几次移植。如果移植失败,患者可以回到透析治疗中去,等待另一次移植。

移植患者,受到免疫抑制的,比其它人具有更高的获得感染的风险。他们要遵守正常“健康饮食指南”。其后遗症之一的体重增加(通常是因为服用类固醇类药物的副作用)和高胆固醇,都会增加心脏病的风险。健康的饮食习惯可以帮助降低风险。  

术后饮食保健[编辑 | 编辑源代码]

基本要求是:吃的科学合理与干净卫生。 

肾移植解剖

(1)对水的要求肾移植前少尿无尿的病人,需依赖血液透析机来脱水,也就是要提高透析液一侧的负压方能透析,这就使得细胞外液及细胞本身均有不同程度的脱水,所以病人有口干、皮肤干燥症状。对肾移植前的患者严格控制水的入量是必要的。然而,肾脏移植患者的尿量肾功能的恢复而恢复后,就要鼓励病人适当地饮水。但由于肾移植术后尿量恢复是个生理过程,病人不再有以往的口干等症状,一般不想主动饮水,这时鼓励病人适当饮水以保持尿量,实际上仍是治疗措施之一。 

(2)吃的科学合理:肾移植术后,肾功能逐渐恢复至正常,加之应用激素类药物,病人的食欲都有不同程度的增加,此时应相对控制主食的摄入量,以免在短时间内体重增加太快,副食方面,优质动物蛋白如鱼,鸡、牛肉、瘦肉、虾等都可以吃,但要适量,不要暴饮暴食。如何判断蛋白的摄入量合格与否?可在复查尿素氮肌酐之前的一周,将每日所进的蛋白量相对固定,然后看尿素氮化验指标,如果指标在正常范围之内,可在上次的蛋白摄人量基础上,酌情增加蛋白的摄入量,一周后化验尿素氮,如果结果仍属正常,这说明此时的蛋白摄入量可被移植肾所接受,如果尿的化验结果有轻度升高,则说明此时的蛋白摄入量不能被移植肾所全部承受,应调整蛋白的入量,可较第一周稍多,但较第二周稍少。由于尿素氮作为判断肾功能,不如血肌酐真实,易受蛋白摄入量、感染、发烧等多因素的影响。所以还要求病人自己细心去摸索,找出最适合自己的蛋白摄入量,同时适当限制淀粉含量高(主要是主食)、含糖量高的食物的摄入量。因为如果主食入量太多,病人的运动量又少时,很容易增加体重,在短时间内,体重增长太多,就容易造成免疫抑制剂用量相对地不足,而诱发排异反应,导致一系列严重后果。 

(3)吃的干净卫生:肾脏移植术,由于大剂量服用免疫抑制剂,对外界病菌的抵抗能力下降。如果吃的不干净,很容易出现腹痛腹泻。严重者可伴有高烧、呕吐,导致大量水份丢失,如不及时补充水盐、电解质,则会造成脱水,而使肾脏灌流量不足导致急性肾功能衰竭。所以,病人要注意个人卫生外,有条件的话,应尽量在家中进餐或自炊自用。外面买来的熟食,一定要进行加工后再食用。尤其在夏秋季节,生吃蔬菜瓜果时,一定要清洗干净,谨防病从口入。  

肾移植患者要符合哪些条件[编辑 | 编辑源代码]

并不是所有的尿毒症患者都可以进行肾移植手术的,要符合以下条件:

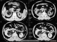
肾移植CT

(1)尿毒症患者年龄范围最好在12-65岁间;患者年龄大于65岁,但心脏、肺脏及肝脏器官功能正常,血压平稳,精神状态良好者,也可考虑作肾移植术。

(2)患者为慢性肾炎尿毒症终末期或其他肾脏疾病而致的不可逆转的肾功能衰竭;

(3)经过血透或腹透治疗以后,尿毒症患者一般情况好,体内无潜在的感染病灶,能耐受肾脏移植手术者;

(4)没有活动性溃疡、肿瘤、肝炎及结核病史,也没有精神、神经系统病史的尿毒症患者。

(5)与肾源的组织配型良好的患者。

随着现代科研技术的发展,肾移植成功率有了提高,大多数肾移植中心对移植患者无绝对的年龄限制,主要依据患者的身体状况决定是否施予肾移植。  

夫妻间肾移植[编辑 | 编辑源代码]

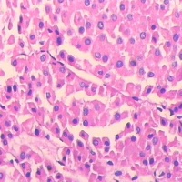
肾移植切片病理

肾移植是治疗尿毒症比较有效的方式,到现在为止,肾移植手术的成功率并不算很高。并且手术后的排异性并没有得到很好的解决。

在夫妻间实施的肾移植,明显高于尸体供肾移植的存活率。

夫妻间供肾移植的存活率等同于有血缘关系的亲属活体供肾移植,因为长期生活在一起的夫妻,在生活环境、饮食习惯上很相似,而且因为性生活的密切接触,生育过子女之后,双方体内就会有抗原的交换,细胞的嵌合,组织有相容的地方,从而形成免疫耐受,手术后排异性小。

据有关专家研究表明,常年做爱的夫妻相互之间的体液得以充分交流;因此当其中一方需要移植对方的器官时,其排斥性会明显的降低。

因此,符合共同生活两年以上的条件,血型相符的夫妻,即可进行肾移植,临床效果很好。  

尿毒症患者肾移植的时机[编辑 | 编辑源代码]

尿毒症患者的肾移植手术,应该在什么时机比较合适呢?这要很据患者及手术的情况来决定。

常规血透患者,移植之前24小时内必须充分透析一次,以清除体内的代谢产物,不过术后出血发生。

腹膜透析患者一般持续腹透直至手术前,如果没有感染可以在肾移植成功之后2月再拔管。但是做胰肾联合移植的腹透患者应在植肾时拔管,以免影响手术操作。

有的说法认为透析时间在半年以上,受者移植后体内免疫抗体减少,但从环孢素的广泛应用,已没有必要因此要求透析时间。但部分学者坚持对患易复发肾脏病的尿毒症患者,须持续透析6个月以上再考虑肾移植。

至于采用血液透析还是腹膜透析,对患者肾移植后肾存活率的影响没有差异。  

并发症[编辑 | 编辑源代码]

有些病人发生不可逆的慢性移植物排斥,其他后期并发症包括药物毒性,潜在的肾疾病再发,强的松副作用及感染。再者,同种肾移植病人的恶性肿瘤发生率有所增加。发生上皮癌的危险性较正常人大10~15倍,淋巴瘤的危险性大约30倍左右。肿瘤的处理与对非免疫抑制性病人的癌症相同。治疗鳞状上皮一般不需减少或停用免疫抑制剂,但处理进展较快的肿瘤和淋巴瘤则主张暂停免疫抑制剂。近年来在移植物受者,EB病毒有关的B细胞淋巴瘤十分见。虽然已假定各种肿瘤都与应用环孢菌素和ALG或OKT3有关,而更像的是与采用更有效的免疫抑制剂过度抑制免疫相符合。  

解决肾移植长期存活的途径[编辑 | 编辑源代码]

主要解决免疫反应其途径有:

选择合理的供肾 从免疫角度选择供肾需进行下述检查:

淋巴细胞毒试验(直接交叉配合试验)检测受者体内是否有预存抗移植肾抗原的抗体阳性时不用

红细胞ABO血型系统输血要求进行选择;③白细胞抗原(HLA)配合情况人体第 对染色体短臂上有HLA区包括已括已知的ABCD及DR等基因位点若以每个位点个抗原计从已知的近百个抗原做排列组合则会出现多达百万个表现型因此在无关人之间找到完全配合的几乎不可能近年来研究结果表明DR抗原与肾移植存活有较密切关系近亲间由于遗传规律HLA抗原相同的机率比无关人明显高术前应认真配合以选择合适供肾而在无关人间只能做到相对配合以提高肾移植的存活率因此经过上述诸试验可基本预防超急排异反应的发生选择相对合适的供肾不能完全解决组织相容性问题

抑制免疫反应 既然在无关人间难于选择到组织相容性完全一致的供者就需采取抑制免疫的措施以延长移植肾的存活期其措施包括;

①免疫抑制剂常用者为强的松和硫唑嘌呤有时辅以环磷酰胺尸体肾移植肾后其一年存活率为%左右亲属肾移植则为~%或更高近年来应用环孢霉素A后不但减少了上述药物的用量及副作用使人/肾年生存率有了较大的提高达/%免疫抑制剂也包括一些生物制品如抗淋巴细胞球蛋白(ALG)最近又制成特异性较好的单克隆抗体OKT使排异反应的治疗得到进一步提高②手术消除淋巴细胞包括胸腺切除脾切除和胸导管引流术等已不作为常规方法应用只有移植前白细胞过低时行脾切除少数做胸导管引流淋巴液经过滤去除淋巴细胞后再输入人体③放射治疗:有全身照射(包括体外循环血照射)已基本弃用移植肾局部照射尚用来治疗排异反应

上述措施确可使移植肾存活期延长但它是非特异性的用后全身免疫力下降易于发生各种感染(细菌病毒和原虫)肿瘤发病率也明显较正常人群高加之各种药物的副作用如白细胞减少肝功能损害库兴氏征糖尿病及应激性溃肠也可出现为此仍应探索一套合理的用药方案

特异性免疫抑制 专门针对移植肾产生作用不影响全身免疫力包括免疫耐受和免疫增加目前尚属实验阶段距临床应用尚需做大量工作

影响肾移植效果的其他因素 肾移植效果尚与以下因素有关:

①输血可提高移植存活率机理尚不清楚但效果是肯定的

②血透析:可改善病情易于耐受手术同时有资料说明透析时间长的移植效果好

③供肾质量:正常肾脏热缺血时间超过半小时移植后较难恢复功能热缺血时限越短越好

④手术技术:移植肾置于髂窝肾动脉与骼内动脉端对端吻合肾静脉髂外静脉端侧吻合输尿管膀胱吻合技术上比较简易但病人体弱凝血机制稍差手术应认真细致才能避免合并症(如出血感染淋巴囊肿尿瘘等)提高肾移植效果

⑤再移植:除移植后近期内由于排异反应失败者外一般认为再次移植的效果与首次移植相似甚至由于首次移植后长期用免疫抑制剂故再次移植应更好一些

影响肾移植病人的长期存活因素[编辑 | 编辑源代码]

肾移植病人的长期存活,始终是移植界所关心的主要问题。随着新型的免疫抑制剂的开发应用,目前我国的肾移植工作蓬勃发展,病例数不断扩大,人、肾1年存活率逐年提高。但是,如果以半寿期(移植第1年后50%的移植物失功的时间)预测肾移植的长期效果的话,近20年来,肾移植的长期存活率没有得到明显改善,1年内总有10%-15%的移植肾丧失功能,5年内人存活率为67%左右,10 年存活率不到38%。肾移植长期存活的主要障碍是带正常肾功能死亡和慢性移植肾肾病(称慢性排斥反应或慢性移植肾功能衰退),慢性移植肾肾病的发生机理尚不清楚,一般认为,免疫因素和非免疫因素悬影响慢性移植肾肾病的主要因素,也是影响移植肾长期存活的主要因素。

一、免疫性因素

1.免疫抑制不足 随着肾移植存活时间的延长,如何选择理想的免疫抑制方案?免疫抑制剂应该如何调整?有关免疫抑制剂应服用多大剂量,应该维持多高的谷值浓度,对肾移植患者至关重要入;尽管一年移植肾存活率有明显提高。但是,长期使用这类药可导致肾功能损害,产生剂量相关性的可逆性肾中毒,使感染发生率明显增加。这些毒副作用可促进肾组织发生慢性病理改变和影响移植肾的长期存活率。环孢素A+硫唑嘌呤+皮质激素“三联”或环孢素A+皮质激素“二联免疫抑制方案治疗中,总的免疫抑制用药剂量过低是晚期 急性排斥反应最常见和最主要的原因。擅自减/停免疫抑制剂可直接导致严重的移植肾排斥反应,影响移植肾的长期存活。

2.急性排斥反应 急性排斥反应是慢性排斥反应主要的诱发因素,也是导致移植肾失败的主要因素。急性排斥、晚期急性排斥、急性排斥反应频繁发作及其难治性急性排斥严重地影响移植肾的长期存活。

3.群体反应性抗体 群体反应性抗体是判断移植受者免疫状态常用的、可靠的指标。目前认为高度致敏者与临床超急性排斥反应抗体水平的高低与移植肾长期存活也有明显的相关性。肾移植受者高敏状态始终是困扰再次移植进展的一个重要部下,预先了解受者是否存在高敏免疫状态必须靠PRA的分析。PRA水平高的肾移植受者接受HLA- A、B、DR错配的移植物有极大的生命风险。

4.再次肾移植 第二次移植存活率比第一次移植低10-15%,多次肾移植的患者长期效果不理想。

5.HLA配型 80年代末引发一场关于配型临床价值的争论,目前已经表明无论短期还是长期存活,配型与不配型具有显著性差异。我国与日本的资料显示,HLA-A、B、 DR相配的尸体肾移植效果接近于HLA相同的同胞间移植,1年肾存活率可达90%。由此可见,HLA-A、B、DR位点的相配,可以提高1年移植肾存活率 6-10%,提高5-10年肾存活率10-20%,预测半寿期增长1倍左右。选择与受者组织相容性抗原最接近的供者,尽量减少急性排斥的次数和程度,其目的是为了提高移植效果。显然,以同卵孪生同胞间为最好,依次为异卵孪生,兄弟姐妹,父母,血缘相近的亲属。

二、非免疫性因素

1.移植肾缺血时间、急性肾小管坏死移植肾功能延迟 移植肾热缺血时间、冷缺血时冷缺血时间较长,其功能恢复必将延长。国外3454例患者急性小管坏死的发生率37.5%,国内多在3.2-11.3%之间。肾功能恢复率与冷缺血时间呈相关性。急性肾小管坏死不影响长期存活率。但是,急性肾小管坏死与急性排斥并存,移植肾失败率非常高。移植肾功能延迟者术后移植肾1、3和5年存活率分别为90%、70%和57%。同时还发现,近期移植肾功能异常者,术后排斥反应的发生率增加,这是值得我们密切注意的。

2.原发性肾脏病 过去认为不适宜作肾移植术的原发性肾脏病,到目前为止大部分已不再列为禁忌证。由于内科对这些肾病治疗的进步,移植后多数患者可获得满意效果。当然还有些疾病患者的肾移植失败率仍很高,明显降低了长期存活率。

3.高血压 肾移植术后的高血压状态对患者机体及移植肾可产生极大的危害。长期高血压会导致肾小球内毛血管压力增高,滤过压增大,肾小球处于高滤过状态,进而损伤基底膜,导致肾功能损害。长期高血压引起肾小球动脉硬化,可进一步加重高血压。移植后发生高血压,常常影响移植肾长期存活率。

4.高脂血症 由于长期口服激素和免疫抑制剂,高胆固醇血症的发生率为30-67%,高脂血症占20-33%。高脂血症是肾移植患者发生动脉硬化的危险因素,约有40%肾移植患者死于心血管疾病和闭塞性血管疾病。

5.供受者之间的不匹配 供受者之间的性别、年龄、体重和体表面积的不匹配直接影响肾移植的远期效果。女性和老年供肾移植后效果很差。在美国移植中心,10年以上的资料分析,表明供肾重量/受者体重比例大于3.5g/kg者,3年移植肾存活率>70%;小于2.0g/kg者3年肾存活率<50%。供肾重量与受者体表面积之间也存在一定的关系。供/受者体表面积比例<0.8,慢性移植肾功能衰竭发生率平均为重6%;>0.8者仅有3%的移植肾功能衰竭。  

肾移植术的护理[编辑 | 编辑源代码]

护理评估:1健康史 了解病人疾病发生,发展及治疗经过,有无其它慢性疾患.

2身体状况(1)症状和体征:评估病人的生命体征,注意有无高血压,水肿贫血营养不良等情况.了解病人肾区疼痛的性质,范围,程度及有无压痛等.注意评估病人有无其它部位的感染病灶.(2)辅助检查:了解术前常规及特殊检查结果,如各脏器凝血功能机制,血型,HLA配型等.

3心理及社会支持状况 (1)心理状态:肾移植病人在手术前存在慢性病,手术病人的心理特征,包括抑郁,悲观,消极,意志力下降等.应通过术前评估提供有效的心理护理.(2)认知程度:病人对肾移植相关知识的了解程度及是否愿意接受亲属肾或尸体肾,对手术的期望程度,只有病人充分理解并愿意接受肾移植时,才能积极配合医护人员的治疗和护理.(3)社会支持系统:家属对肾移植的风险,术后并发症的认知程度及心理承受能力;家属及社会支持系统对肾移植所需的昂贵费用的承受能力.  

 护理措施 [编辑 | 编辑源代码]

1术前护理(1)心理护理:受者在移植前的心理反应是否健康,往往影响移植后的身心状态.因此,应鼓励病人增强其战胜疾病的信心.(2)协助病人做好术前各项检查,血型及HLA配型等.(3)补充营养:病人进适量蛋白,高糖类,高维生素,低盐饮食,以增强抵抗力;(4)术前准备:遵医嘱预防性应用抗生素,以及免疫抑制药物;(5)术前1-2天将病人移至隔离房间,避免交叉感染;(6)术前晚温盐水灌肠1次,约600ml,给予镇静药物,以保证充足的休息和睡眠.(7)术日晨置导尿管,以便术中及术后观察每小时尿量,术日晨测量体重,体温血压,并记录.

2术后护理(1)一般护理:1)将病人安置在空气层流无菌室,采取严格的消毒隔离措施,预防感染.2)监测生命体征:及早发现感染和排斥反应.3)卧位:病人取平卧位,肾移植侧下肢屈曲15-25度,以减少切口疼痛和血管吻合口张力.

(2)尿液的观察和护理1)尿色及质的观察:监测有无血尿,蛋白尿和糖尿.术后3-5天常有一定程度的血尿,属正常现象,如尿色深并伴有血块或新鲜出血,应密切观察病人的全身情况.2)多尿的观察的护理:部分病人移植术后24小时尿量可达5000---10000ml以上,此期间应密切注意尿量,根据尿量控制补液量,做到"量出为入",以维持机体水,电解质平衡.3)少尿的观察和护理:移植术后尿量少于30ml/h,要密切观察病人的血压,脉搏,首先应排除血容量不足,如果在短时间内增加输液量,尿量略增,则为血容量不足.如尿量不增多,则应警惕发生肾后性梗阻.尿外渗,移植肾血管栓塞,急性肾小管坏死,急性排斥反应等情况.

(3)各种导管的护理:经常检查各导管是否通畅,保持引流管的正确位置.保持负压吸引管处于负压吸引状态,以利于液体引出.

(4)饮食护理:术后肠蠕动恢复.排气后.可进流质饮食,并逐渐改为半流食,普食.其饮食应是高热量,低蛋白,各种维生素,低脂肪,低盐饮食.

(5)保持大便通畅:术后3天未排便者应给予少量缓泻药,以防因大便干结增加腹压,而造成移植肾血管破裂的严重后果.

(6)排异反应的观察及处理原则:密切观察病人是否有排异反应的迹象,并鉴定是超急,急性或慢性排异反应.排异反应表现:1)体温突然升高;2)移植肾区自觉胀痛3)尿量显著减少,体重增加;4)血压升高;5)B超发现移植肾明显肿大.对上述任何一项症状,都要及时报告医师,及时处理. 

(7)移植肾并发症的预防及护理:1)感染:是肾移植术后最常见的并发症,也是造成病人死亡的主要原因,其主要是因为病人接受大量的免疫抑制药治疗,使机体对各种病菌的抵抗力大大降低,极易引起感染,特别是肺部感染发生率最高.2)出血或血肿:是肾移植早期最常见的并发症之一,出血部位常为皮下及肌层,血管吻合口,输尿管的断端,多发生在术后1-2天内.表现为伤口渗血,负压引流管持续大量引流出鲜红血液了,严重时出现移植肾区突然肿大及胀痛,继而血压下降,甚至休克.因此,手术后病人应平卧1周,并严密监测引流的颜色,性状,量及生命体征的变化.3)消化道出血:多发生在急性排斥反应,用大量激素"冲击"治疗后.为防止消化道应激性溃疡出血,移植术后必须应用保护胃黏膜及抗酸类药物.4)尿瘘:表现为肾移植术后,病人尿量减少,腹壁伤口有尿液外渗.一旦出现尿瘘,做负压吸引,保持伤口下敷料干燥;留置导尿,保持导尿管通畅.尿瘘一般能自行愈合,如不愈合,则手术处理.

3肾移植术后病人的健康教育要点(1)终身服用免疫抑制药物.指导病人掌握服用药物的方法和剂量,注意事项及不良反应的观察.(2)应加强预防与治疗感染.(3)保护移植的肾脏免受外界的伤害.移植肾一般置于髂窝内,距体表较近.且无脂肪囊保护,故缺乏缓冲能力,在受外力挤压时极易挫伤.(4)注意尿量,尿色的观察,定期进行尿蛋白,尿比重,血色素及肾功能的测定,注意有无慢性排异的发生.(5)进行适当的锻炼,提高机体抗病能力,为恢复工作创造条件.(6)定期复诊.一般出院后第1个月周复查2次,第2个月周复查1次,第3个月周复查1次,至术后半年每个月复查1次,若病情有变化,随时就诊.  

肾移植饮食[编辑 | 编辑源代码]

(1)热能:初期热能供给每日维持在6 276千焦(1 500千卡);若病人肾移植术后恢复良好,病情稳定,于l周后可逐渐将热能提高至10 460千焦(2 500千卡)/日。

(2)蛋白质:肾移植初期蛋白质按每日每公斤体重0.8克供给,密切观察病人血中尿素氮及肌酐水平,根据这些肾功能指标变化,随时调整蛋白质的供给量。蛋白质供给量应随肾功能恢复逐渐增加,直至每日每公斤体重1.5克.o克。移植肾已恢复功能时,每日蛋白质供给总量可达80克,所供给蛋白质应为高生物价优质蛋白质。

(3)糖类:肾移植病人由于需克服排异反应而使用大剂量的糖皮质激素,使糖耐量下降,血糖升高,甚至会出现继发性糖尿病,所以对糖类供给要适当限制,糖类占总热能的50%-60%。

参考[编辑 | 编辑源代码]