牙痛
牙痛(toothache)是指牙齿因各种原因引起的疼痛而言,为口腔疾患中常见的症状之一,可见于西医学的龋齿、牙髓炎、根尖周围炎和牙本质过敏等。遇冷、热、酸、甜等刺激时牙痛发作或加重,属中医的“牙宣”、“骨槽风”范畴。
病因病机[编辑 | 编辑源代码]
手
、足阳明经脉分别人下齿、上齿,大肠、胃腑积热,或风邪外袭经络,郁于阳明而化 火,火邪循经上炎而发牙痛。肾主骨,齿为骨之余,肾阴不足,虚火上炎亦可引起牙痛。亦有多食甘酸之物,口齿不洁,垢秽蚀齿而作痛者。因此,牙痛主要与手足阳明经和肾经有关。
牙痛的病因一般来说,以下几种牙病可致牙痛:
①龋齿:初龋一般无症状,如龋洞变大而深时,可出现进食时牙痛,吃甜食或过冷、过热的食物时疼痛加重。这时可先用防酸止痛牙膏,温水刷牙,必要时用民间验方止痛,但有效的治疗方法应是填补龋洞。
②牙髓炎:多是由于深龋未补致牙髓感染,或化学药物或温度刺激引起,其疼痛为自发性,阵发性剧痛,可有冷、热刺激痛和叩痛。这种牙痛的应急处理,可用芬必得300mg口服,一日2次,止痛,或用民间验方止痛。根治的方法是在局麻下用牙砧磨开牙髓腔作牙髓治疗。
③牙根尖周炎:多由牙髓炎扩散到根管口,致根尖周围组织发炎。表现为持续性牙痛。患牙有伸长感,触、压痛明显,不能咬食物。这时可服消炎止痛药,如先锋霉素四号0.5克,一日3次;灭滴灵0.4克,一日3次,消炎痛25毫克,一日3次;并吃软食。也可用民间验方应急止痛。待消炎后再作根管治疗。
④牙外伤:如意外摔倒、碰伤或吃饭时咬到砂粒等致牙折或牙裂开,引起牙痛。可先服消炎、止痛药,也可用民间验方止痛。有条件者应到口腔科处理。
⑤智齿冠周炎:智齿萌出困难(阻生),加上口腔卫生不良,引起牙冠周围组织发炎、肿痛。可用口泰或口舒等含漱液漱口,服消炎、止痛药或用民间验方止痛。消炎后再拔除阻生牙。此外,流感、三叉神经痛、颌骨囊肿或肿瘤、高血压、心脏病,有时也会引起牙痛。所以对主诉牙痛,但牙齿又无任何病变者,切不可盲目滥用止痛药了之,应及时去医院专科诊治。
症状[编辑 | 编辑源代码]
以牙齿及牙龈红肿疼痛为主要表现的病证。多因平素口腔不洁或过食膏粱厚味、胃腑积热、胃火上冲,或风火邪毒侵犯、伤及牙齿、或肾阴亏损、虚火上炎、灼烁牙龈等引起。
常见证型有:①风火牙痛。证见牙齿痛,牙龈红肿疼痛,遇冷则痛减,遇风、热则痛甚,或有发热、恶寒、口渴、舌红、苔白干、脉浮数。治宜疏风清火,解毒消肿,方用清瘟败毒散等。②胃火牙痛。证见牙齿痛甚,牙龈红肿,或出脓渗血,牵及颌面疼痛、头痛,口渴、口臭,大便秘结,舌红苔黄,脉滑数。治宜清胃泻火,方用清胃散等。③虚火牙痛。证见牙齿隐隐微痛,牙龈微红、微肿,久则牙龈萎缩、牙齿松动,伴有心烦失眠、眩晕,舌红嫩,脉细数。治宜滋阴降火,方用知柏地黄丸等。
病证名。《诸病源候论》卷二十九:“牙齿皆是骨之所终,髓气所养,而手阳明支脉入于齿脉湿髓气不足,风冷伤之,故疼痛也。”形成本病的原因有四:
①因于火者,系阳明伏火与风热之邪相搏,风火上炎致牙齿疼痛。患牙得凉痛减。治宜疏风、泻火、解毒。用清胃散、玉女煎等方加减治疗;②因于寒者,风寒之邪客于牙体,致齿牙疼痛,患牙得热痛减。治宜散寒止痛。可选用麻黄附子细辛汤加减。
③因于虚者,多属肝肾两亏,虚火上炎,致牙齿浮动隐痛,脉细数。治宜滋养肝肾。可选用左归饮、大补阴丸、知柏地黄汤等加减。
④因湿热客于手足阳明二经,致龈肿腐溃,或齿牙腐蚀,甚至蛀空疼痛者,治宜清热、除湿、止痛。可选用温胆汤、甘露消毒丹酌加细辛、蜀椒等。此外,龋齿、蛀蚀亦可致牙痛。参见齿龋条。
临床表现[编辑 | 编辑源代码]
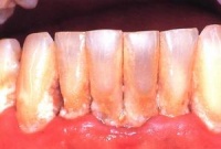
牙痛是一种常见疾病。其表现为:牙龈红肿、遇冷热刺激痛、面颊部肿胀等。牙痛大多由牙龈炎和牙周炎、龋齿(蛀牙)或折裂牙而导致牙髓(牙神经)感染所引起的。中医认为牙痛是由于外感风邪、胃火炽盛、肾虚火旺、虫蚀牙齿等原因所致。牙龈炎是常见的牙周组织疾病。是由于不注意口腔卫生,牙齿受到牙齿周围食物残渣、细菌等物结成的软质的牙垢和硬质的牙石所致的长期刺激,及不正确的刷牙习惯,维生素缺乏等原因所造成。
牙龈鲜红或紫红、肿胀、松软,有时龈缘有糜烂或内芽组织增生外翻,刷牙或吃东西时牙龈易出血,但一般无自发性出血,病人无明显的自觉症状,有时可有发痒或发胀感,口臭明显。
牙周炎是口腔常见病,其病因复杂。如牙垢、牙石、嵌塞的食物、不良修复体等局部因素的刺激,牙龈受到损害,加上细菌的作用,使牙周膜破环;维生素C的吸收、利用障碍;维生素D缺乏及各种因素导致的机体抵抗力下降,皆可引发牙周炎。
牙痛是本病的主要症状。早期,牙龈发痒、不适、口臭,继之牙龈红肿、松软,容易出血,疼痛,反复发作。日久牙龈与牙根部的牙周膜被破坏,形成一个袋子,叫牙周袋,袋内常有脓液溢出,炎症继续扩大,可成为牙周脓肿,病情加重,局部疼痛、肿胀,初为硬性,后变为软性,有波动感,可自行穿破,流出脓液,出脓后,疼痛可减轻,或反复发作,非常痛苦。
辨证[编辑 | 编辑源代码]
主症 牙齿疼痛。
牙痛甚烈,兼有口臭、口渴、便秘、脉洪等症,为阳明火邪;痛甚而龈肿,兼形寒身热,脉浮数等症者,为风火牙痛;隐隐作痛,时作时止,口不臭,脉细或齿浮动者,属肾虚牙痛。
治疗[编辑 | 编辑源代码]
1.基本治疗
配穴 风火牙痛者,加外关、风池; 胃火牙痛者,加内庭、二间;阴虚牙痛者,加太溪、行间。
操作 主穴用泻法,循经远取可左右交叉刺,合谷持续行针1—3分钟。配穴太溪用补法,行间用泻法,余穴均用泻法。
方义 合谷为远道取穴,可疏通阳明经络,并兼有祛风作用,可通络止痛,为治疗牙痛之要穴。颊车、下关为近部选穴,疏通足阳明经气
血。
2.其他治疗
耳针法 选上颌、下颌、神门、上屏尖、牙痛点。每次取2-3穴,毫针刺,强刺激, 留针20—30分钟。
注意事项[编辑 | 编辑源代码]
(1)注意口腔卫生,养成“早晚刷牙,饭后漱口”的良好习惯。
(2)发现蛀牙,及时治疗。
(3)睡前不宜吃糖、饼干等淀粉之类的食物。
(4)宜多吃清胃火及清肝火的食物,如南瓜、西瓜、荸荠、芹菜、萝卜等。
(5)忌酒及热性动火食品。
(6)脾气急躁,容易动怒会诱发牙痛,故宜心胸豁达,情绪宁静。
(7)保持大便通畅,勿使粪毒上攻。
(8)勿吃过硬食物,少吃过酸、过冷、过热食物。
(9)针刺除龋齿为暂时止痛外,对一般牙痛效果良好。
(10)应与三叉神经痛相鉴别。
牙痛的种类[编辑 | 编辑源代码]
大分类是两种:原发性牙痛和并发性牙痛。
原发性牙痛是指牙齿和牙龈本身的直接原因造成的,分为:
蛀牙引起的牙疼,俗称是牙髓炎或根尖周炎.这种牙痛的表现:牙齿已经有蛀牙形成,特别是对糖、奶类食品以及冷、热等物质的刺激特别敏感,因此发作起来的时候,是一种钻骨般的痛,并且通常不会伴随有牙龈的反应。这种牙痛一般是晚上比白天痛,躺着比坐着痛.
牙周炎引起的牙痛.牙周炎的患者不一定会有牙痛的,而是当牙龈出现萎缩后引起的, 因此患者以中老年人居多,牙齿疼痛的范围也不尽相同,有的人仅是一颗牙或相邻的两三颗牙痛。有的人则是上下牙床,大范围内的牙齿都会痛。造成这种现象的原因是,牙周炎的疼痛不是牙齿本身的原因造成的,而是由于口腔内的一种厌氧菌引发内牙龈——也就是牙周组织充血发炎,刺激到牙神经而引起的疼痛(特别是酸痛),在咬食的过程会直接加剧疼痛.另外,这种牙痛不会出现牙龈红肿的现象.
红肿型牙痛,主要表现般发作在上下后槽牙的牙龈,发病急,也可称为急性牙龈炎,俗称“风火牙痛”。牙龈严重肿起,痛点主要是牙龈,稍加触动就非常痛,别说咬嚼食物,连张口都会感觉痛,比真正意义上的牙痛还难受。严重者会有咽喉肿痛,淋巴腺肿大,发烧,大便不畅或便秘等症状。舌苔厚,干或黄,舌质颜色鲜红。从这些系列症状可以看出是因为身体的病变(俗称“上火”)所引发的牙龈急性发炎,其病变的原因不是牙龈和牙齿口腔本身引起的,所以这种牙痛也称为牙痛并发症。
神经性的牙痛,俗称“虚火牙痛”。这种牙痛跟牙龈和牙齿都没有直接关系,多是身体的其它原因引发了牙神经亢奋而引起的牙根痛。如熬夜或其它五官的病变及头痛等原因,都有可能引起这类牙痛,故也列为并发性牙痛。
这种牙痛一般多发于成年人或中老年人,是一种神经放射性的酸痛和隐痛,这时牙齿明显有松动,这种痛楚持续时间不会很久,一般2-3天之后就逐渐缓解消失了。
不管是哪种牙痛都要确定后,对症治疗,保证治疗的效果.
大分类是两种:原发性牙痛和并发性牙痛。
牙痛预防[编辑 | 编辑源代码]
要预防牙痛一要有效防止蛀牙二要防止牙龈萎缩和保证龈下清洁生活中要坚持做到以下几点:
1.减少或消除病原刺激物:减少或消除菌斑改变口腔环境创造清洁条件是防龋的重要环节最实际有效的办法是刷牙和漱口应该加强宣传教育从小养成口腔卫生习惯学会合理刷牙方法刷牙可以清除口腔中的大部细菌减少菌斑形成尽可能做到早晚各刷一次饭后漱口唾前刷牙更重要因为夜间间隔时间长细菌容易大量繁殖要顺刷即“上虐待由上往下刷下牙由下往上刷”“里里外外都刷到”还要注意刷后牙的咬面这样就可把牙缝和各个牙面上的食物残渣刷洗干净刷牙后要漱口不要横刷横刷容易损伤牙龈也刷不净牙缝里的残渣
2.多吃粗糙硬质和含纤维质的食物对牙面有磨擦洁净的作用减少食物残屑堆积硬质食物需要充分咀嚼既增强牙周组织又能磨擦牙齿咬面可能使窝沟变浅有利减少窝沟龋
3.减少或控制饮食中的糖:我国是以谷类为主食的国家控制饮食中的碳水化物防龋是有困难的但近年来糖制食品和各种饮料显著增多应注意宣传从小养成习惯睡前不吃糖得从幼儿就养成多吃蔬菜水果和含钙磷维生素等多的食物要尽可能吃些粗粮要重视母乳喂养婴儿近来国际上提倡控制饮食中的碳水化物使用代糖来降低龋齿这在我国当前是不实际的也是不经济的最近据报导美国常用的某种代糖含有毒性已经引起国际上的注意。
治疗牙痛的偏方[编辑 | 编辑源代码]
用新闻口洁素喷入口腔内,并用棉签蘸湿口洁素,压在牙痛处二分钟,然后将香烟丝粘成团,放在痛牙的顶部,紧咬,会很快止痛.
产妇牙痛的原因[编辑 | 编辑源代码]
产妇牙痛可能是患有牙周病、龋齿、细菌侵害牙本质、牙齿受到外力的猛烈撞击,牙齿断裂导致的。
保健常见牙病的防治[编辑 | 编辑源代码]
中医[编辑 | 编辑源代码]
牙痛,病证名。《诸病源候论》卷二十九:“牙齿皆是骨之所终,髓气所养,而手阳明支脉入于齿脉湿髓气不足,风冷伤之,故疼痛也。”形成本病的原因有四:
①因于火者,系阳明伏火与风热之邪相搏,风火上炎致牙齿疼痛。患牙得凉痛减。治宜疏风、泻火、解毒。用清胃散、玉女煎等方加减治疗;②因于寒者,风寒之邪客于牙体,致齿牙疼痛,患牙得热痛减。治宜散寒止痛。可选用麻黄附子细辛汤加减。
③因于虚者,多属肝肾两亏,虚火上炎,致牙齿浮动隐痛,脉细数。治宜滋养肝肾。可选用左归饮、大补阴丸、知柏地黄汤等加减。
④因湿热客于手足阳明二经,致龈肿腐溃,或齿牙腐蚀,甚至蛀空疼痛者,治宜清热、除湿、止痛。可选用温胆汤、甘露消毒丹酌加细辛、蜀椒等。此外,龋齿、蛀蚀亦可致牙痛。参见齿龋条。
症状查询专题[编辑源代码]
|
点击部位名称可查询更多相关疾病
|
按症状名称开头字母查询症状:
A | B | C | D | E | F | G | H | J | K | L | M | N | P | Q | R | S | T | W | X | Y | Z

