单核细胞

来自医学百科

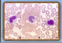
单核细胞(monocytes):约占3%,体积大,胞质丰富,染成灰蓝色,胞核常呈肾形或马蹄形,细胞形状不一,有圆形,多角形。

单核细胞是体积最大的白细胞。其细胞核常偏位,呈多形性,如卵圆形、肾形(a)、马蹄形(b)、不规则形(c)等,常有折叠感(c);染色质呈疏松网状,着色较浅。胞质较多,嗜碱性,但因含大量细小的嗜天青颗粒而染成灰蓝色,颗粒含过氧化物酶。  

功能[编辑 | 编辑源代码]

单核细胞是血液中最大的血细胞。目前认为它是巨噬细胞的前身,具有明显的变形运动,能吞噬、清除受伤、衰老细胞及其碎片。单核细胞还参与免疫反应,在吞噬抗原后将所携带的抗原决定簇转交给淋巴细胞,诱导淋巴细胞的特异性免性反应。单核细胞也是对付细胞内致病细菌寄生虫的主要细胞防卫系统,还具有识别和杀伤肿瘤细胞的能力。淋巴细胞则为具有特异性免疫功能的细胞。T淋巴细胞主要参与细胞免疫反应而B淋巴细胞参与体液免疫反应。  

参考值[编辑 | 编辑源代码]

自动计数仪法为男性0.003-1.3×109/L,女性0.002-1.1×109/L

Bk7ak.jpg

  

异常状态[编辑 | 编辑源代码]

【生理学变异

⒈升高 吸烟约高22%,月经周期的卵泡期偏高,周与周变异约高19%,小时与小时变异约吭18%,天与天的变异约高13%。

⒉降低 妊娠约低4%,高海拔约低27%。

【药物影响】

灰黄霉素引起粒细胞暂时减少,单核细胞相对增加。氨苄青霉素引起单核细胞增加伴粒细胞缺乏。氯丙嗪致在粒细胞缺乏前偶见单核细胞增加。

病理学变异】

⒈增加 见于骨髓单核细胞综合征传染性单核细胞增多症单核细胞增多症

单核细胞增多症可发生于恶性新生物贫血疟疾黑热病原虫感染各种疾病中,也可发生梅毒、进行性结核病毒性肝炎败血症心内膜炎、甲亢和结节关节炎等疾病。

⒉减少 见于急、慢性淋巴细胞白血病和全骨髓功能不全。

主题词或关键词: 单核细胞 生化指标 血液检查

相关疾病: 心内膜炎 白血病 肺结核

相关指标: 单核细胞直接计数 抗人球蛋白试验 淋巴细胞 白细胞计数 血清结合珠蛋白定量测定

参看[编辑 | 编辑源代码]