骨髓瘤

来自医学百科
(重定向自浆细胞瘤

骨髓瘤(又称浆细胞瘤)是起源于骨髓浆细胞恶性肿瘤,是一种较常见的恶性肿瘤。有单发性和多发性之分,以后者多见。多发性骨髓瘤又称细胞骨髓瘤(Multiple myeloma,简称MM),是由具有合成和分泌免疫球蛋白的浆细胞发生恶变,大量单克隆的恶性浆细胞增生引起易累及软组织,晚期可有广泛性转移,但少有肺转移。较多见于脊,占脊柱原发肿瘤的10%,以腰椎部多见。好发年龄多在40岁以上男性与女性之比约2∶1。多发于40岁以上男性,好发部位依次为脊椎肋骨颅骨胸骨等。

临床症状[编辑 | 编辑源代码]

骨髓瘤是中年和晚年(40~60岁) 发生的多发恶性骨髓内肿瘤。椎体、肋骨、胸骨、颅骨和骨盆为其好发部位。晚期,股骨肱骨亦可被累,但膝和肘以下的骨质极少发生。其主要症状为疼痛,初期为间歇性,继为持续性,疼痛十分剧烈。神经可能被压迫,造成放射性疼痛截瘫。肿瘤一旦发现后,多数患者逐渐发生进行性贫血恶病质变化。但很少产生转移瘤,肺部极少被累。

骨髓瘤主要症状是持续的脊柱疼痛,呈进行性加重。多发者其痛范围很广。约40%~50%的患者伴有病理性骨折。易出现截瘫和神经根受压症状。

一般有进行性贫血,血沉明显增快。部分患者血清钙增高,常伴有继发甲状旁腺机能亢进血清总蛋白量增高。球蛋白增多,白蛋白减少或正常。血清蛋白电泳大部分有异常免疫球蛋白峰。尿蛋白常呈阳性,但本-周蛋白阳性率不高,约30%~60%。同时尿中草酸钙结晶与碱性磷酸盐增多。骨髓涂片呈现增生性骨髓象,浆细胞数目至少占有核细胞的8%。

骨髓瘤有一个长短不定的无症状期,少数病人以背痛为首发症状,并伴有贫血和恶病质。还有病人因病理骨折来就诊。  

老年人可见的的症状体征[编辑 | 编辑源代码]

1.神经系统症状仅见于少数患者 如脊髓压迫所致的瘫痪、神经根疼痛及排便障碍淀粉样变浸润周围神经引起腕管综合征(carpal tunnel syndrome);高黏滞度导致头痛无力视力障碍视网膜病变

2.其他 若M-蛋白形成冷球蛋白,则可出现雷诺现象、循环障碍坏疽。淀粉样变的发生率我国仅占7%左右,表现为巨舌心脏扩大心功能不全心律失常肾功能不全淋巴结肝脾肿大均不多见。

3.临床分期 目前均采用Durie&Salmon 于1975 年提出的分期法,根据治疗前与预后有关的各种因素(血红蛋白、钙、M-蛋白量以及骨骼受累程度)估计全身肿瘤负荷程度:低度负荷(Ⅰ期):<0.6×1012 细胞/m2;中度负荷(Ⅱ期):(0.6~1.2)×1012 细胞/m2;高度负荷(Ⅲ期):>1.2×1012 细胞/m2。每期根据肾功能区分为:“A”血清肌酐<177μmol/L(2mg/dl);“B”血清肌酐>177μmol/L(2mg/dl)。Ⅰ期的中位生存期>60 个月,Ⅱ、Ⅲ期的中位生存期分别为43 个月及23 个月,ⅠA 的患者一般不需治疗,应密切观察,判定是否为进展性骨髓瘤,可根据明显的临床症状和渐进性M-蛋白升高和本周蛋白尿的出现或增多。

孤立性骨髓瘤的表现

孤立性骨髓瘤约占骨髓瘤的3%。病变仅侵犯骨骼的某个局部部位,产生局部疼痛。多数患者无贫血、高血钙及肾功能不全。约1/4患者血清或尿中的M蛋白含量较一般低(<15g/L)。正常的免疫球蛋白不受抑制。骨髓未侵及的部位浆细胞数不增多。诊断依靠局部的组织学诊断证实,X线检查可有局部骨骼变化,但无全身性骨骼破坏。局部病变治疗后,血清及尿M蛋白消失。  

临床诊断[编辑 | 编辑源代码]

影像学检查[编辑 | 编辑源代码]

x线骨骼检查:受累骨骼示圆形穿凿样缺损,以颅骨为典型。也可见弥漫性骨质疏松及脱钙。

骨髓瘤患者骨骼溶骨现象

X线主要表现为多个溶骨性破坏和广泛的骨质疏松

x线检查时,在被累的骨质中,可以发现多数溶骨性穿凿形缺损,周围无反应性新骨增生,此为骨髓瘤的特点。所以病理性骨折较多。椎体发病时,则产生压缩骨折。四肢发生病理性骨折时,可以引起小量骨膜反应性新骨增生。在颅顶骨中骨髓瘤的典型x线征象为分布不规则的多发穿凿形缺损,一见即可识别。但长骨骨干发病时,骨质的破坏有时与此不同,根据x线照片无法与溶骨性骨肉瘤或转移瘤区别。  

医学检验[编辑 | 编辑源代码]

一般实验室检查

一般有进行性贫血,血沉明显增快,部分患者血清钙增高,常伴有继发甲状旁腺机能亢进。血清总蛋白量增高。球蛋白增多,白蛋白减少或正常。血清蛋白电泳大部分有异常免疫球蛋白峰。尿蛋白常呈阳性,但本-周蛋白阳性率不高,约30

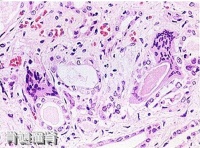
骨髓瘤肾(显微镜下图片)

%~60%。同时尿中草酸钙结晶与碱性磷酸盐增多。

实验室检查可发现以下数种变化:

(1)约50%病例的血清球蛋白增高

(2)约50%病例的血清钙增高,有高至18毫克%者;此种病例的甲状旁腺继发性增生;

(3)进行性贫血,系因造血机构被肿瘤破坏所致;

(4)少数晚期病例的周围血液中可能发生假性浆细胞白血病现象,

(5)75%病例屎中有凝溶蛋白,

(6)约有70%病例在晚期发生肾病

(7)血清蛋白电泳:丁或日球蛋白显著增高,或p及7球蛋白之间出现呈单株峰型M球蛋白。

(8)免疫电泳:增高的M球蛋白经免疫电泳分析,大多为。IgG(约占50%—60%)、IgA(约占20%-25%),其他为IgD轻链,极少数为IgE

(9)尿本周氏蛋白:约60%-70%的病例可阳性。

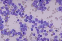
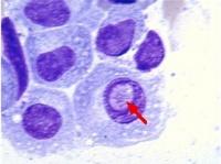
细胞学检查

肿瘤血运丰富呈暗红色或深红色,较脆软。骨髓穿刺找到大量异常浆细胞可确诊。血清蛋白增高,A/G倒置,蛋白电泳异常,显示β和r球蛋白升高。并可出现白血病血象。40%以上的病人尿中Bence-Jones蛋白阳性。另外有血钙增高,尿蛋白电泳异常等。

骨髓瘤细胞(低倍镜所见)

镜下可见瘤体主要由大量密集的瘤细胞组成,间质极少。瘤细胞多呈圆形或卵圆形,但具有不同程度的幼稚性。按分化程度的差异,可分为高分化型(小细胞型)及低分化型(大细胞型)两种。前者分化较成熟,体积小,具有圆形而偏心性的核,染色质呈车轮状,亦称浆细胞型骨髓瘤;后者分化差,体积大,有时有双核,核仁明显,核分裂较多见,亦称网状细胞型骨髓瘤。

骨髓涂片呈现增生性骨髓象,浆细胞数目至少占有核细胞的8%。 骨髓瘤患者X线检查:可表现为正常,约占10%。主要表现为广泛骨质疏松和多发性骨质破坏。可见方法性骨质密度减低,骨小梁变细变稀,骨皮质变薄。局限性骨质破坏,可表现为卵圆形或不规则形骨质缺损,少数亦可呈皂泡样膨胀或硬化性改变。肿瘤一般不侵入椎间盘,故椎间隙正常。因为该肿瘤可见于枕骨大孔处,所以凡神经学检查提示受累节段较高者,应行MRI检查。

骨髓象:骨髓瘤细胞占有核细胞的10%以上。因骨髓内病灶分布不均,故一次阴性不能排除本病。  

鉴别诊断[编辑 | 编辑源代码]

典型的多发性骨髓瘤病例诊断并不困难。主要依据骨髓穿刺活检发现异常浆细胞浸润,X光片发现骨质破坏性改变,血清电泳检出M蛋白或/和尿中存在轻链。诊断的同时还应做好鉴别诊断。

1、骨髓穿刺活检发现大量骨髓瘤细胞 此为最主要的诊断依据。但浆细胞增多也可见于类风湿关节炎,骨髓内肿瘤转移、慢性炎症等诸多疾病,但在上述疾病中,浆细胞一般不超过10%,且无形态异常。

2、骨质破坏性改变 此需和肿瘤骨转移老年性骨质疏松、甲状旁腺机能亢进等相鉴别。

3、高球蛋白血症 主要为M蛋白和/或蛋白尿(尿中可检出本一周蛋白),但M蛋白及本一周蛋白尚可见于其它疾病如转移癌、巨球蛋白血症、多发性肉瘤等。  

表现[编辑 | 编辑源代码]

骨髓瘤髓外浸润

脊髓或神经根受压

⑵ 骨髓瘤性脑膜炎

⑶ 周围神经性损害

⑷ 脑部损害

骨髓瘤单克隆球蛋白增高所致的

⑴ 反复感染:体内抗体形成障碍及细胞免疫缺陷,故易发生细菌病毒感染,细菌尤以肺炎球菌性肺炎多见,其次与泌尿系统感染及败血症病毒的带状疫疹为多见。感染是常见的初发症状,又是治疗中重要并发症,也是主要的死亡原因。

⑵ 高粘滞综合症:约2-5%患者发生此征。表现为头晕、头痛、视力障碍、肢体麻木眼底检查可见视网膜静脉扩张,伴渗血、出血

肾脏病变:肾脏病变是本病比较常见而又具特征的临床表现,50%患者早期即出现蛋白尿、血尿管型尿。因而误诊为肾脏疾病。与感染一样,肾功能衰竭既可以 是本病的初发表现,也是主要死亡原因之一。在大多数情况下,肾功能衰竭呈慢性、渐进性的,但少数情况下可发生急性肾功能衰竭,主要诱因是高钙血症脱水, 若处理及时得当,是可运转的。

⑷ 其他:高钙血症、高尿酸血症淀粉样变性、肝脾肿大。

治疗[编辑 | 编辑源代码]

治疗方案[编辑 | 编辑源代码]

化疗放疗为主,对长管状骨病理骨折地可作髓内钉固定,严重者可作截肢,若因脊柱骨针所引起脊髓压迫,可作椎板切除减压,预后差。

一般采用综合治疗,以放疗和化疗为主,手术治疗为辅。

放射治疗 骨髓瘤对放射线中度敏感,姑息性治疗和根治性治疗的照射剂量有所不同。 化疗 病变较广泛者,宜选用化疗。一般多选用左旋苯丙氨酸氮芥环磷酰胺,还有甲基苄肼、双氯已亚硝脲及长春新硷等。

手术治疗 若有脊髓或神经根受压,应行减压术,同时应用化疗。 术病预后较差,一般多在1年内死亡。经综合治疗后可延长生命。  

预防保健[编辑 | 编辑源代码]

饮食起居[编辑 | 编辑源代码]

骨髓瘤的发生与环境、饮食等因素有关,故预防本病发生,增强病人的体质,积极治疗慢性疾患,避免射线化学毒物的接触,对于疾病的防治具有重要的意义。

中医方法宜注意调理情志,防止七情太过,从而保持气血和畅,阴阳平衡,预防疾病的发生。

患病之后,保持乐观情绪,性情勿大怒、勿大悲伤,树立战胜疾病的信心,是战胜疾病的重要一环。注意身体锻炼,顺四时而调形体,可采取气功太极拳等方法,以增强体质,预防疾病发生,或配合本病治疗。注意起居有常,劳逸有度,适寒温,避虚邪,尤宜节房事,以防肾精暗耗。宜禁烟酒,注意饮食调养,忌暴饮暴食,饮食偏嗜。避免辛辣肥甘厚味之品。既病之后,可对症选用补血、壮骨和减轻脾肿大的食品。

家庭护理[编辑 | 编辑源代码]

1.休息 一般病人可适当活动,过度限制身体能促进病人继发感染和骨质疏松,但绝不可剧烈活动,应避免负载过重,防止跌、碰伤,视具体情况使用腰围夹板,但要防止由此引起血液循环不良。如病人因久病消耗,机体免疫功能降低,易发生合并症时,应卧床休息,减少活动。有骨质破坏时,应绝对卧床休息,以防止引起病理性骨折。

2.为防止病理性骨折 应给病人睡硬板床,忌用弹性床。保持病人有舒适的卧位,避免受伤,特别是坠床受伤。

3.饮食护理 给予高热量、高蛋白、富含维生素、易消化的饮食。肾功能不全的患者,应给予低钠、低蛋白或麦淀粉饮食,以减轻肾脏负担。如有高尿酸血症及高钙血症时,应鼓励病人多饮水,每日尿量保持在2000ml以上,以预防或减轻高钙血症和高尿酸血症。

4.对肢体活动不便的老年卧床病人,应定时协助翻身,动作要轻柔,以免造成骨折。受压处皮肤应给予温热毛巾按摩理疗,保持床铺干燥平整,防止褥疮发生。

5.口腔护理 肾功能损害的病人,因代谢物积累过多,部分废物进呼吸道排出而产生口臭,影响病人食欲,应做好口腔护理,并给予0.05%洗必泰液和4%碳酸氢钠液交替漱口,预防细菌和真菌感染

6.疼痛护理 随着病情进展,骨痛症状难以缓解,骨痛程度轻重不一,主要发生于富含红骨髓的骨骼,如肋骨、胸骨等。神经根可因受压而出现神经痛。要关心体贴病人,尽量减轻病人痛苦。尤其对病人因身体活动时引起的疼痛,应密切观察,细心护理。按医嘱给予适量的镇静止痛药,必要时可给予杜冷丁吗啡镇痛药。也可进行局部放射治疗,以减轻症状。神经性疼痛的病人可给予相应的局部封闭或理疗。

7.贫血护理 观察贫血的症状和判断贫血程度,给予相应的护理。

8.预防感染 本病以呼吸道感染肺炎为多见,其次是泌尿道感染,故应保持病室清洁空气,温湿度适宜,避免受凉和防止交叉感染,协助病人经常更换体位,及时排痰;鼓励水化利尿

9.化疗护理 化疗期间病人应多饮水,每日入液量不少于3000ml,并碱化尿液,准确记录液量,维持水电解质平衡

10.心理护理 疏导病人说出自已的忧虑,加倍地给予关爱和照顾,尽力缓和病人的精神压力,帮助病人正视现实,摆脱恐惧,情绪平稳。

参看[编辑 | 编辑源代码]