匿名
未登录
讨论
贡献
登录
医学百科
搜索
黏膜
来自医学百科
名字空间
页面
更多
更多
语言
页面选项
Read
编辑
编辑源代码
历史
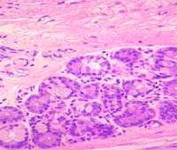
黏膜
nián mó
口腔
、器官、胃、肠、
尿道
等器官里面的一层薄膜,内有
血管
和
神经
,能分泌黏液。
导航
导航
症状百科
疾病百科
药品百科
中医百科
中药百科
人体穴位图
全国医院列表
功能菜单
最近更改
随机页面
Wiki工具
Wiki工具
上传文件
特殊页面
页面工具
页面工具
用户页面工具
更多
链入页面
相关更改
可打印版本
固定链接
页面信息
页面日志