脂膜炎
panniculitis
皮下脂肪层由脂肪细胞所构成的小叶及小叶间的结缔组织间隔所组成。按炎症的主要发生部位可将脂膜炎分为小叶性脂膜炎及间隔性脂膜炎两大类。脂膜炎是一谱宽的综合征,随临床特点、关连的疾病、病理改变不同而可分为不同亚类。诊断除尽量发现引起的疾病和病原外,最早期新鲜的活俭,切除足够量的标本,行系列性病理切片(以定间隔性、小叶性或混合性),很为重要。
病因[编辑 | 编辑源代码]
较为复杂,局部因素如外伤、寒冷、注射某些药物,全身因素如结核感染、扁桃腺炎等可引起脂膜炎,一些系统性疾病如红斑狼疮、硬皮病、结节病也可引起脂膜炎。皮下脂肪血管的病变也常影响脂膜而出现炎症改变。
临床表现 缺乏特异性,以淡红色至棕褐色的皮下结节或斑块较为多见,大小、数目不定,自觉疼痛和压痛。皮损可发生在身体各处,以双下肢及臀部为多见。病程大多慢性,愈后可遗留色素沉着及程度不等的萎缩。
常见类型[编辑 | 编辑源代码]
结节性红斑及硬红斑是脂膜炎中最为常见的疾病。其他变形的脂膜炎如下:
结节性发热性非化脓性脂膜炎[编辑 | 编辑源代码]
又称韦伯-克里斯琴二氏病。是原发性小叶性脂膜炎,病因不清。患者以女性居多。临床上为反复发作的皮下结节,直径约2~3cm左右,表面红,有压痛,见于躯干及四肢,以下肢为多见。结节经数周或数月后逐渐消退,但不时又有新结节单个或成批出现。成批出现时常伴有不同程度的发热、全身乏力、食欲不振及关节酸痛。本病一般无内脏损伤,预后良好。组织病理学检查主要为小叶内脂肪细胞变性、坏死。多数组织细胞及少量淋巴细胞、浆细胞的浸润,血管壁增厚,内膜增厚,后期皮下脂肪内发生广泛的纤维化。本病应与结节性红斑和硬红斑相鉴别,结节性红斑多见于青年女性,常在春秋发病,皮损在小腿伸侧,结节较小而浅在,表面红,愈后无萎缩瘢痕;硬红斑的结节较大且深在,表面暗紫红色,可破溃结疤,好发于小腿屈侧,患者常有结核感染。本病尚无特效疗法,主要处理是矫治病灶,注意休息,可试用水杨酸盐类、消炎痛、皮质类固醇激素及抗生素等。
寒冷性脂膜炎[编辑 | 编辑源代码]
寒冷环境中造成局部皮下脂肪损伤,表现为紫绀色的皮下结节或斑块,局部温度较低,好发于大腿、臀部及面颊部。避免受寒,注意保暖,给予高蛋白、高维生素饮食,损害可在数周内逐渐消退。
新生儿皮下脂肪坏死[编辑 | 编辑源代码]
见于健康的足月新生儿,表现为限局性坚实的暗红色皮下结节,好发于臀部、腹部及肩背部,经数周或数月后可逐渐自行消退。本病的发生可能与分娩时受伤、受冷等因素有关,患儿母亲多数为高龄初产妇,并以产钳分娩。对患儿注意保暖,加强营养,局部保护均可使病变消退,一般不留疤痕。
皮脂类固醇激素后脂膜炎[编辑 | 编辑源代码]
见于长期大量使用皮质类固醇激素的患者,在突然停服或骤然减药后在面颊、肩背部及臀部等出现皮下结节,表面皮肤潮红,亦可正常皮色。患者以儿童多见,大多因白血病、肾炎等长期服用皮质类固醇激素。本病无需特殊治疗,适量服用皮质类固醇激素后即可慢慢消退。
外伤性脂膜炎[编辑 | 编辑源代码]
脂肪细胞较为脆弱,受到外伤容易引起皮下脂肪坏死,继而导致炎症反应,造成局部红肿,出现硬的斑块,好发于较为肥胖的妇女及儿童。局部理疗可促进炎症吸收,组织修复。
此外,一些系统性疾病可侵及脂肪组织而出现脂膜炎,如深在性红斑狼疮,又称狼疮性脂膜炎,是以脂肪组织病变为主的红斑狼疮,表现为一个或多个深在的皮下结节,愈后常留下明显的萎缩性瘢痕。好发于面颊部、臀部及臂部。还应该提及的是有些恶性肿瘤病如淋巴瘤恶性组织细胞增生症、白血病等也可以皮下结节或斑块为主要症状,若误诊为脂膜炎将延误治疗影响预后,因此对原因不明的皮下结节或斑块应及时取材作组织病理学检查,以早诊断、早治疗。
治疗[编辑 | 编辑源代码]
本病尚无特效治疗。纤维蛋白溶解药、氯化奎宁、硫唑嘌呤、环磷酰胺等有一定疗效。在急 性炎症期或有高热等情况下,糖皮质激素泼尼松每天40—60mg和非甾体抗炎药有明显效果。 对症处理,可用激素控制炎症急性过程,但当体温下降,结节消退,停药后常有复发。如果 患者还有其它自身免疫病,首先应积极正确治疗已有的免疫病,可以用激素控制急性症状, 继之用中药及免疫调节剂进行全身治疗,针对本病易复发的特点,在治疗过程中亦应给予防 复发治疗。
诊断要点[编辑 | 编辑源代码]
1 .临床特征:
( 1 )好发于青壮年女性;
( 2 )以反复发作与成批出现的皮下结节为特征,结节消退后局部皮肤出现程度不等的凹陷和色素沉着;
( 4 ) 当病变侵犯内脏脂肪组织,视受累部位不同,出现不同症状。内脏广泛受累者,可出现多脏器功能衰竭、大出血或并发感染。
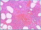
2 .病理诊断:皮肤结节活检,其组织病理学改变是诊断的主要依据,它可分为三期:
( 1 )第一期(急性炎症期):在小叶内脂肪组织变性坏死,有中性粒细胞、淋巴细胞和组织细胞浸润,部分伴有血管炎改变。
( 2 )第二期(吞噬期):在变性坏死的脂肪组织中有大量巨噬细胞浸润,吞噬变性的脂肪细胞,形成具有特征性的 " 泡沫细胞 " 。
( 3 )第三期(纤维化期):泡沫细胞大量减少或消失,被纤维母细胞取代;炎症反应被纤维组织取代,最后形成纤维化。
根据以上临床及组织病理学特点可以作出诊断,但需与以下几种疾病鉴别:
( 1 )结节性红斑:亦可发生对称性分布的皮下结节,但结节多局限于小腿伸侧,不破溃, 3~4 周后自行消退,愈后无萎缩性疤痕。全身症状轻微,无内脏损害。继发于其它系统性疾病(如白塞病等)者,则伴有相关疾病的症状。病理表现为间隔性脂膜炎伴有血管炎。
( 2 )硬红斑:主要发生在小腿屈侧中下部,疼痛较轻,但可破溃形成难以愈合的溃疡。组织病理学表现为结核结节或结核性肉芽肿,并有明显血管炎改变。
( 3 )组织细胞吞噬性脂膜炎:亦可出现皮下结节、反复发热、肝肾功能损害、全血细胞减少及出血倾向等,但一般病情危重,进行性加剧,最终死于出血。组织病理学变化可出现吞噬各种血细胞及其碎片的所谓“豆袋状”组织细胞,这可与本病鉴别。
( 4 ) 结节性多动脉炎:常见的皮肤损害亦是皮下结节,其中心可坏死形成溃疡,但结节沿动脉走向分布,内脏损害以肾脏与心脏最多见,外周神经受累十分常见。核周型中性粒细胞胞浆抗体( P-ANCA )与乙肝表面抗原阳性具有诊断价值,病理证实有中小动脉坏死性血管炎,动脉壁有粒细胞与单核细胞浸润。
( 5 ) 皮下脂膜样 T 细胞淋巴瘤:表现高热、肝脾肿大、全血细胞减少及出血倾向,与系统型结节性脂膜炎极其相似。但脂肪组织中有肿瘤细胞浸润,均为中小多形 T 细胞,中扭核及脑回状细胞核具有重要诊断价值,常有反应性吞噬性组织细胞出现。免疫组化 CD45RO 和 CD4 阳性,而 CD20 阴性。
( 6 ) 恶性组织细胞病:与系统型结节性脂膜炎相似,表现高热、肝脾肿大、全血细胞减少、红斑、皮下结节等,但组织细胞异形性明显,并可出现多核巨异常组织细胞,病情更为凶险,预后极差。
( 7 ) 皮下脂质肉芽肿病:皮肤损害 结节或斑块, 0.5~3cm ,大者可达 10~15cm ,质较硬,表面皮肤呈淡红色或正常皮色,轻压痛,分布于面部、躯干和四肢,以大腿内侧常见,可持续 0.5~1 年后逐渐隐退,且不留萎缩和凹陷。无发热等全身症状。早期的病理改变为脂肪小叶的包性炎症,有脂肪细胞变性坏死,中性粒细胞、组织细胞和淋巴细胞浸润,晚期发生纤维化,组织内出现大小不一的囊腔。本病好发于儿童,结节散在,消退后无萎缩和凹陷,无全身症状,有自愈倾向。
( 8 ) 类固醇激素后脂膜炎:风湿热、肾炎或白血病的儿童短期内大量应用了糖皮质激素,在糖皮质激素减量或停用后的 1~13 天内出现皮下结节,结节 0.5~4cm 大小不等,表面皮肤正常或充血,好发于因应用糖皮质激素而引起的皮下脂肪积聚最多部位,如颊部、下颌、上臂和臀部等处,数周或数月后可自行消退,无全身症状,如激素加量或停用后再度应用也可促使结节消退。多数病例无全身症状。组织病现可见病变在脂肪小叶,有泡沫细胞、组织细胞和异物巨细胞浸润及变性的脂肪细胞出现并见针形裂隙。
本病无特殊治疗,皮损可自行消退而无瘢痕。
( 9 ) 冷性脂膜炎:本病是一种由寒冷直接损伤脂肪组织引起的一种物理性脂膜炎,表现为皮下结节性损害,多发生于婴幼儿,成人则多见于冻疮患者或紧身衣裤所致的血循环不良者。
本病好发于冬季,受冷数小时或 3 天后于暴露部位如面部和四肢等处出现皮下结节,直径 2~3cm ,也可增大或融合成斑块,质硬、有触痛、呈紫绀色,可逐渐自行消退而不留痕迹。主要病理变化为急性脂肪坏死。
( 10 ) 其他:还需同胰腺性脂膜炎(胰腺炎和胰腺癌)、麻风、外伤或异物所致的皮下脂肪坏死等相鉴别。此外尚须排除 a1 抗胰蛋白酶缺乏脂膜炎,类固醇类激素后脂膜炎等。
临床表现[编辑 | 编辑源代码]
脂膜炎症状与体征:临床上呈急性或亚急性经过,以反复全身不适、关节痛、发热、皮下结节为特征。结节性脂膜炎根据受累部位,可分为皮肤型和系统型。
皮肤型[编辑 | 编辑源代码]
病变只侵犯皮下脂肪组织,而不累及内脏,临床上以皮下结节为特征,皮下结节大小不等,直径一般 1 ~ 4 cm ,亦可大至 10 cm 以上。在几周到几个月的时间内成群出现,呈对称分布,好发于股部与小腿,亦可累及上臂,偶见于躯干和面部。脂膜炎皮肤表面呈暗红色,带有水肿,亦可呈正常皮肤色,皮下结节略高出皮面,质地较坚实,可有自发痛或触痛。结节性脂膜炎位于皮下深部时,能轻度移动,位置较浅时与皮肤粘连,活动性很小。结节性脂膜炎反复发作,间歇期长短不一。结节消退后,局部皮肤出现程度不等的凹陷和色素沉着,这是由于脂肪萎缩,纤维化而残留的萎缩性疤痕。有的结节可自行破溃,流出黄色油样液体,此称为 " 液化性脂膜炎 "( Liquefying panniculitis) 。它多发生于股部和下腹部,小腿伸侧少见。愈后形成不规则的疤痕。
脂膜炎约半数以上的皮肤型患者伴有发热,可为低热、中度热、或高热,热型多为间歇热或不规则热,少数为弛张热。通常在皮下结节出现数日后开始发热,持续时间不定,多在 1 ~ 2 周后逐渐下降,可伴乏力、肌肉酸痛、食欲减退,部分病例有关节疼痛,以膝、踝关节多见,呈对称性、持续性或反复性,关节局部可红肿,但不出现关节畸形。多数患者可在 3 ~ 5 年内逐渐缓解,预后良好。
系统型[编辑 | 编辑源代码]
除具有上述皮肤型表现外,还有内脏受累。内脏损害可与皮肤损害同时出现,也可出现在皮损后,少数病例广泛内胖受损先于皮损出现。各种脏器均可受累,包括肝、小肠、肠系膜、大网膜、腹膜后脂肪组织、骨髓、肺、胸膜、心肌、心包、脾、肾和肾上腺等。系统型脂膜炎的发热一般较为特殊,常与皮疹出现相平行,多为驰张热,皮疹出现后热度逐渐上升,可高达 40℃ ,持续 1~2 周后逐渐下降。消化系统受累较为常见,出现肝损害时可表现胁痛、肝肿大、脂肪肝、黄疸与肝功能异常。侵犯肠系膜、大网膜、腹膜后脂肪组织,可出现腹痛、腹胀、腹部包块、肠梗阻与消化道出血等。骨髓受累,可出现全血细胞减少。呼吸系统受累,可出现胸膜炎、胸腔积液、肺门阴影和肺内一过性肿块。累及肾脏可出现一过性肾功能不全。累及中枢神经系统可导致精神异常或神志障碍。脂膜炎预后差,内脏广泛受累者可死于多脏器功能衰竭,或上消化道等部位的大出血或感染结节性脂膜炎。
| |||||||||||||||||||||||||||||||||||||||||||
