咯血
咯血是指气管、支气管及肺实质出血,血液经咳嗽由口腔咯出的一种症状。是喉部以下呼吸道或肺血管破裂,血液随咳嗽从口腔咯出。咯血可分痰中带血、少量咯血(每日咯血量少于100毫升)、中等量咯血(每日咯血量100~500毫升)和大咯血(每日咯血量达500毫升以上)。痰中带血丝或小血块,多由于黏膜或病灶毛细血管渗透性增高,血液渗出所致;大咯血,可由于呼吸道内小动脉瘤破裂或因肺静脉高压时支气管内静脉曲张破裂所致。
凡痰中带有血丝、或痰血相兼、或纯血鲜红,均称为咯血。咯血既是一个独立的证候,又可是多种疾病中的一个症状,主要涉及西医学的支气管疾病,如支气管扩张症、支气管炎、支气管内膜结核、支气管肺癌等;肺部疾病,如肺结核、肺炎、肺部肿瘤、肺吸血虫病、肺栓塞等;心血管疾病,如左心衰竭、二尖瓣狭窄等;其他如血液病、钩端螺旋体病、结节性动脉炎等。大量咯血死亡率高,而痰中偶带血丝由于症状轻,容易被患者及医师忽视,因而必须引起重视。
病因[编辑 | 编辑源代码]
各种咯血病因的发病率因报道的资料来源不同而有很大的差异,主要集中疾病的发病率较高。比如肺结核,占30%左右,支气管肺癌占20%左右,支气管扩张占20%左右。下面简单概括常见的咯血病因。
支气管疾病[编辑 | 编辑源代码]
支气管扩张、肺癌、慢性支气管炎、支气管内膜结核、良性支气管瘤、支气管结石、支气管非特异性溃疡等。
肺部疾病[编辑 | 编辑源代码]
肺结核、急性肺脓肿、慢性肺脓肿、肺炎、肺真菌病、肺寄生虫病、肺淤血、恶性肿瘤肺转移、肺囊肿、尘肺等。
心血管疾病[编辑 | 编辑源代码]
较常见的有风湿性心脏病,比如二尖瓣狭窄、肺栓塞、肺动脉高压、主动脉瘤、高血压性心脏病、冠心病、肺动静脉瘘等。
全身性疾病[编辑 | 编辑源代码]
外伤[编辑 | 编辑源代码]
胸部外伤、挫伤、肋骨骨折、枪弹伤、爆炸伤、医疗操作(胸腔穿刺、肺穿刺、肺活检、支气管镜检查等)引起的咯血等。
其他[编辑 | 编辑源代码]
机理[编辑 | 编辑源代码]
肺动脉内压力较低仅为主动脉压力的1/6左右,但血管床丰富,血流量大全身血液约97%流经肺动脉进行气体交换,因而肺动脉出血的机会较多,支气管动脉而来自体循环因此压力较高,破裂后可引起大量出血,咯血的机理主要有下面几种:
1.血管通透性增加 由于肺部的感染,中毒或血管栓塞时,病原体及其他谢产物可对微血管产生直接损害或通过血管活性物质的作用使微血管壁通秀性增加,红细胞自扩张的微血管内皮细胞间隙进入肺泡而造小量咯血。
2.血管壁侵蚀,破裂 肺部慢性感染使血管壁弹性纤维受损,局部形成小动脉血管瘤在剧烈咳嗽或动作时血管瘤破裂而大量出血,常造成窒息,突然死亡此种血管瘤多见于空洞性肺结核。
3.肺血管内压力增高 风湿性心脏疸同瓣狭窄,肺动脉高压,高血坟心脏病等情况下肺血管内压力增高,可造成血液外渗或小血管破裂而引起咯血。
4.止、凝血功能障碍 常见于血小板减少性紫癜等血液病,收于凝血因子缺陷或凝血过程障碍以及血管收缩不良等因素,在全身性出血倾向的基 上也可能出现咯血。
5.机械性损伤 外伤或肺结核钙化灶,支气管结石对血管的机械性损伤引起咯血。
检查[编辑 | 编辑源代码]
病史询问[编辑 | 编辑源代码]
出血为初次或多次如为多次,与以往有无不同。青壮年咳嗽咯血伴有低热者应考虑肺结核。中年以上的人,尤其是男性吸烟者应注意肺癌的可能性;须细致询问和观察咯血量色泽,有无带痰,询问个人史时须注意结核病接触史多年的吸烟史,月经史,职业性粉尘接触史生食螃蟹、螬蛄史等。
咯血伴胸痛者多见于肺梗死肺炎球菌性肺炎;咯血伴呛咳者多见于支气管肺癌,支原体肺炎ktk 磕碰血痰见于肺脓肿;大量咯血者多见于空洞性肺结核,支气管扩张动脉瘤破裂等。国内文献报告,无黄疸型钩端螺旋体病也有引起致病的大咯血。
体格检查[编辑 | 编辑源代码]
对咯血患者均应做胸部细致反复的检查有些慢性心、肺疾病可并忤状指(趾),进行性肺结核与肺癌患者常有明显的体重减轻有些血液病患有全身出血性倾向。
实验室检查[编辑 | 编辑源代码]
痰检查有助于发现结核杆菌真菌、细菌、癌细胞寄生虫卵、心力衰竭细胞等;出血时间凝血时间,凝血酶原时间血小板计数等检查有助于出血性疾病诊断;红细胞计数与原红蛋白测定有助于推断出血程度,嗜酸性粒细胞增多提示寄生虫病的可能性。
器械检查[编辑 | 编辑源代码]
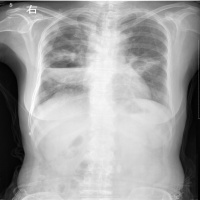
1X线检查 咯血患者均应做X线检查,胸部透视,胸部平片体层摄片,有必要时可做支气管造影协助诊断。 2CT检查 有助于发现细小的出血病灶。
3支气管镜检查 原因不明的咯血或支气管阻塞肺不张的患者应考虑支气管镜检查,如肿瘤、结核异物等,同时在直视同上取活体组织病理检查或异物取出,出血和痰液吸出等
4放射性放射性核素镓检查 助于肺癌与肺部其他肿物的鉴别诊断。
分类[编辑 | 编辑源代码]
根据出血部位及发病机理可分为三类
1、渗出性出血
血液从毛细血管渗出,可能由于结核杆菌所产生的毒素及结核病变产生的组织胺使毛细血管扩张,也可能与肺内压的改变,维生素缺乏或凝血功能不全有关,有的也可因长期服用异烟肼而致毛细血管透性增加而出血。此类咯血量少,多为痰中带血。
2、肺血管出血
肺结核病变侵蚀血管壁而引起出血,出血量可因损伤血管的大小及深浅程度而不等。当空洞壁上血管瘤(小动脉瘤)破裂时,可出现大量的咯血,甚至发生窒息休克或死亡。
3、支气管血管出血
结核性支气管扩张及支气管内膜充血糜烂型和肉芽溃疡型。由于溃疡面血液渗出或溃疡侵蚀血管壁而致出血。出血量多少不等。
影响因素[编辑 | 编辑源代码]
1.情绪方面。过度激动、兴奋或悲伤可导致咯血,因情绪急剧变化加快心脏跳动和血液循环,血压和肺内压升高,致使受损伤血管破裂而出现咯血。
2.运动方面。大量运动或剧烈咳嗽,可造成肺活量及肺内动脉压上升,使血管破裂引起咯血。
3.气候方面。当气候出现过冷、过热、忽冷、忽热时咯血的病人也相应增多。这可能与血管张力的变化以及血管脆性的增加有关。
4.病情方面。肺结核病人均有发生咯血的可能。一般咯血多见于活动性病灶及有空洞的病例,临床已治愈的肺结核(如病灶硬结钙化灶的脱落)个别病例也可发生咯血,可能由于病灶收缩撕裂血管所致,但咯血量较少。根据每次出血量的大小可分为小量咯血:少于100ml/次、中量咯血:100-300ml/次和大量咯血:多于300ml/次或多于600ml/24小时。咯血量与病灶范围的大小不一定成正比。有些病例病灶范围广泛甚至有空洞,但无咯血史。而另一些病例病变范围并不大,咯血量却很多。因此咯血量的多少并不能表明病情的轻重。
咯血与呕血的鉴别[编辑 | 编辑源代码]
为了更好地对咯血病人进行诊断和护理,认真做好鉴别诊断。
咯血:属呼吸道出血随咳嗽排出。血的颜色鲜红,血内含有气混有痰液。很少有黑便。
呕血:属上消化道出血。血的颜色暗红或呈咖啡色。如为胃内出血,血内可混有食物残渣。可有柏油样便。
诊断[编辑 | 编辑源代码]
经口腔吐出的血液并非都系咯血咯血应与口腔、鼻腔出血或上消化道的呕血鉴别,口血液常与唾液相混合,检查口腔可以发现出血处,鉴别诊断一般不难鼻腔出血时,血液自前鼻孔流出,不伴发咳嗽鉴别诊断也不困难,但血液自后鼻孔沿咽壁下流,吸人呼吸道后而再咳出来易被误诊为咯血,须仔细检查鼻腔发现病变和出血点。止消化道呕血与咯血有时鉴别较为困难呕血前常有恶心及上腹部不适,呕出物可混有食物,呕血后常排黑便患者常有胃病,肝脏病史。
咯血是临床常见症状应进一步明引起咯血的原发疾病,很多疾病均可引起咯血,主要有下列几种疾进行仔细鉴别诊断:
呼吸系统疾病[编辑 | 编辑源代码]
肺结核[编辑 | 编辑源代码]
咯血是肺结核患者常见的症状,约有50%的患者有程度不等的咯血,不少患者因咯血而就诊成为肺结核诊料的线索咯血量多少不等,少者仅为淡中带血,多者一次咯血可在500ml以上结核咯血颜色为鲜红色。
肺结核患者多见青壮年人患者多同时出现全身不适,疲乏无力,食欲缺乏体重减轻,午后低热,盗汗脉块等全身中毒症状。
肺结核的体征不同类型和不同病期而各不相同。典型的体征有患侧呼吸运动减低,触诊震颤增强叩诊呈浊音,听诊有支气管肺泡呼吸音和湿性啰音。
实验室检查痰结核菌检查阳性可确诊为肺结核,且可肯定为活动性病灶;血沉增速情况有助于考虑肺结核病灶的炎症程度,结核菌素试验对儿童诊断有一定的价值。
X线检查X线检查在肺结核的诊断上有很高的价值,大致表现有:斑点结节状,密度较高边缘清楚的纤维包围的干酪灶;云雾状或片状,密度较淡,边缘完整密度不均匀的球形病灶;具有环形边界透亮葋的空洞形成。
支气管镜检查直视下可见支气管结核病灶,刷检涂片和冲洗沉淀法涂片查结核菌和瘤细胞或咬检进行组织学检查可明确诊断。
根据病史临床表现,体征,X线痰结核菌检查和支气管镜检查一般诊断并不困难。
支气管扩张[编辑 | 编辑源代码]
咯血是支气管扩张的常见症状,文献报告约90%患者不同程度的咯血。少者数口多者每次达500ml以上,为鲜红色。
患者多为青壮年病程较长,常有慢性咳嗽,咳脓痰的病史追溯既往史患者多在幼年时期患过麻疹,百日咳、支气管肺炎等病症患者病程虽长,但全身情况比较良好,咯血后常不发热止血也较快,咳嗽、咳痰常与体位有关晨起或卧床后咳嗽加剧,咳痰量增多,痰量多者可达数百毫升痰液静置后可分为3层,上层为泡沫状黏液,中层为较清的浆液下层为脓液及细胞碎屑沉渣。
体检患者胸背下部可听到湿性啰音或呼吸音减弱常有忏状指(趾)。
X线检查一般患者X线平片上极少有征象。重度患者胸片显示一侧或双侧下肺纹理增粗,絮乱以及呈蜂窝壮阴影或见有小的液平面。支气管造影确定扩张的部位,范围形状并可决定治疗方案。
肺癌[编辑 | 编辑源代码]
约60%原发性肺癌有咯血症状,多为持续性或音断性痰中带血或小量咯血,血痰少大咯血者少见。本病多见国性老年患者,约20%患者血痰是第一个症状。
根据病史咳嗽,咳痰,咯血等症状X线检查,支气管镜检查刷检和咬检病理,细胞学检查可以确诊。
肺脓肿[编辑 | 编辑源代码]
多起病急骤,有高热,咳嗽胸痛,吐大量脓臭痰或脓血痰,常是肺炎和葡萄球菌败血症等的并发症约50%的患者有咯血症状,咯血量不大。病程约2周时间咳出大量脓痰时患者体温也降低,病变可逐渐被吸收,病情改善最近痊愈迁延不愈可形成慢性肺脓肿。
慢性肺脓肿体温常不升高,中毒症状亦少,咳脓血痰或脓痰较多有臭味,每天可达300ml以上,患者呈慢性病容贫血,消瘦,萎靡有杵状指。
实验室检查急性肺脓肿白细胞计数增高,中性粒细胞增加,慢性肺脓白细胞拉加不明显而有轻度贫血。痰涂片和培养可做出细菌学诊断和药敏试验,选用敏感的抗生素治疗。
X线检查病变初期为片状浓密阴影,后渐向周围肺组织扩展,而且不受叶间胸膜限制脓腔形成后则内壁光滑,常有液平,脓腔周围有炎症浸润后期脓腔渐缩小,炎润渐消退,最后形成少许条索状阴影而痊愈 一般根据急性发病史临床表现、X线检查,痰细菌学检查和诊断断性治疗诊断不困难。
慢性支气管炎[编辑 | 编辑源代码]
慢性支气管炎患有时也有咯血,一般为小量或痰中带血,为支气管黏膜充血损伤所致一般不须治疗,3~4d之内自行停止,但又易于复发体征,X线及痰液检查常无特性改变,慢性支气管炎患者发生持续少量咯血时须小心寻找其他原因,特别是支气管癌,以免延误诊断。
肺炎[编辑 | 编辑源代码]
急性肺炎大部分患者起病急骤,有寒战高热,咳嗽胸痛,咯血,咯血原因是肺实质处于高度充血状态小血管通透性增加并可发生破裂而致咯血。
肺炎球菌肺炎患者痰中混有血液者多见,有时血量在20ml以上,病期2~3d以后转的锈色痰。
肺炎杆菌性肺炎痰液呈红色。
流感病毒性肺炎常反复小量咯血,
肺真菌病[编辑 | 编辑源代码]
包括白色念珠菌,肺曲菌和新型隐球菌病等,通常有发热乏力,咳嗽,咯血痰或脓血痰多见于老年,幼儿或体弱营养不良的患者,X线易与化脓性肺炎及肺结核相混良的患者X线易与化脓性肺炎及肺结核混淆,痰液中找到直菌或血清反应阳性可确诊。
肺阿米巴病[编辑 | 编辑源代码]
为肝阿米巴病并发症之一,也可来自肠道病灶。通常有发热乏力、咳嗽、胸痛易与慢性肺脓肿、肺结核相混淆。典型的痰液呈棕褐色而带腥臭味X线检查可见肺内片状炎症或空洞影,多在右下肺。痰中偶可找到阿米巴滋养体。
9.肺吸虫病
本病有严格的地区性,多流行于浙江、福建四川等地区。患者都曾在病区进食未熟的石蟹或螬蛄史。主要临床症状是咳嗽咳痰,咯血,胸痛典型的痰呈铁锈色或棕黄色。病人虽有长期的反复咯血,但全身情况尚好体征不明显,血中嗜酸性粒细胞增多,X线有时能见浸润囊样阴影或胸腔积液胸膜增厚等,肺吸虫皮内抗原体试验阳性或痰中找到肺吸虫卵即能确诊。
肺包虫病[编辑 | 编辑源代码]
是由绦虫蚴寄生人体肺内所引起,早期可无症状,囊肿增大合并感染时则出现咳嗽咳痰,咯血及胸痛等症状,X线可见肺内呈圆形卵圆形,略叶分叶状阴影,囊肿破裂后空气进入则顶部呈现一半月形带本病流行于我国西北和内蒙古地区包虫抗原皮内试验及补体结合试验对诊断有重要意义。
支气管结石 [编辑 | 编辑源代码]
可能来自某些肺部病变的结石如肺结核,淋巴结结核,异物错构瘤放线菌病,肺脓肿等。
临床表现主要是干咳反复的咯血,或有咳出结石史。咯血量通常为痰中带血或小量咯血但有的病例可有大咯血,如结石阻寒支气管可伴有喘鸣、呼吸困难等症状继发感染而发热、咳嗽,咳痰等查体在梗阻的部位可听到局限性哮鸣音,伴感染后可听到罗音。
X线检查可发现有支气管结石阴影以后膈中叶根部较为多见,结石远羰有时可发现肺、不张或肺部感染支气管造影可发现支气管梗阻远端有钙化影,支气管镜检查对诊断也有一定帮助。
X线胸片上如炎症病变相应部位有钙化结节炎症消退后而咯血不止者,则支气管结石的可能性甚大。 12.尘肺
是肺职业病,可分为矽肺,矽酸盐肺滑石肺,肺铁未沉着症等,其临床表现主要有胸痛呼吸困难,咳嗽,咳痰偶有血痰或咯血,诊断主要依据职业及肺部X线表现。
亚性肿瘤肺转移[编辑 | 编辑源代码]
恶性肿瘤转移至肺部时常可引起咳嗽,咳痰,咯血等症状绒毛膜上皮癌、睾丸畸胎瘤和恶性葡萄胎最容易转移支肺部引起咯血症状。其他亚性肿瘤如鼻咽癌乳腺癌,食道癌,胃癌肝癌,结肠直肠癌,前列腺癌精原细胞瘤和类癌等也可能转移到肺部。
X线检查恶性肿瘤转移常为多发性,单发性者少见。多发性乾为圆形卵圆形、粟粒状,大小相仿边缘不整,发展较快。一般原发灶不易诊断须仔细设法寻找。
良性支气管瘤[编辑 | 编辑源代码]
良性支气管瘤主要有支气管瘤、平滑肌瘤、乳头状瘤等多发生于30~40岁的人中,多见于女性,因为肿瘤生长缓慢临床症状可延续多年,早期无任何症状,或仅有干咳或气喘并在远端发生感染或支气管扩张。 X线检查良性支气管瘤,最常见的是支气管腺瘤典型的X线征为肺部附近有圆形或类圆形阴影,密度均交一致边缘锐利,体层摄片更易于发现。
支气管镜检查易于做出诊断痰细胞学检查无助于诊断。
心血管系统疾病[编辑 | 编辑源代码]
风湿性心脏病二尖瓣狭窄[编辑 | 编辑源代码]
因为风湿性心脏病二尖瓣狭窄引起左心房衰竭,肺静脉及毛细管内压力明显增高肺充血,支气管黏及毛细管破裂引起咯血,多为淡中带血或小量咯血左心衰竭伴肺水肿时常咳出粉红色泡沫样痰。根据心脏病史,心脏听诊心尖区舒张期杂音X线显示左心房扩大,心电图显示左心房增大的“二尖瓣型P波”和右心室肥厚,超声心动图出现“城垛样“图形。
肺栓塞[编辑 | 编辑源代码]
肺栓塞是由于血栓阻塞了肺动脉而引起。临床表现患者有精神紧张,胸痛胸闷,咳嗽、咯血心慌、四肢凉、出汗等查体呈呼吸困难,面色苍白,烦躁不安发绀或有发热,脉细弱,心率增快心前区奔马律,肺内有湿性罗音,颈静脉怒张肝肿大等急性右心功能不全的体征。
X线检查肺栓塞可引起肺动脉高压征象,多发性小的肺栓塞呈支气管肺炎样弥散的浸润阴影,较大的栓塞则发生肺梗死呈楔形阴影。肺血管造影可显示直径0.5mm以上的血管能直接看到栓塞的部位和范围。也为手术治疗作好准备。
放射性核素扫描大有助于诊断。
肺动静脉瘘[编辑 | 编辑源代码]
肺内先天性血管畸形,多在青年时期发病,男性较多患者常有呼吸困难,心悸,批复咯血胸前区痛,发绀等,因病程长患者表现贫血的症状。
查体时发现可在病变部位听到边疆性收缩期杂音。发绀,杵状指和贫血的症状。
X线检查发现密度均匀边界清楚的团块阴影,病灶内偶有很少的钙化,阴影随深吸气扩大深呼气缩小。 肺动脉造影MRI检查可清楚地了解动静脉瘘的位置,单发或多发,也可为手术作好准备。
全身性疾病及其他原因[编辑 | 编辑源代码]
血液病[编辑 | 编辑源代码]
某些血液病如血小板结减少性紫癜白血病、血友等患者,也可引起咯血患者尚有呼吸道以外的出血倾向。如血小板结减少性紫癜以皮肤、黏膜出血为主以下肢更多,白血病常以齿龈出血,鼻衄皮肤出血点为多,血友病患者往往是有很轻微的外伤即可引起持久而严重的出血,多见幼儿发病
急性传染病[编辑 | 编辑源代码]
1.肺出血型钩端螺旋体病
肺出血型钩端螺旋体病即钩端螺旋体性出血性肺炎,是急性感染性传染病。多数患者起病急骤有恶寒或寒战,高热,头痛全身肌痛等症状,类似流感的症状,部分患者起病较缓慢仅有轻微发热伴有鼻咽部症状2~3d后出现咳嗽,淡中带拖血或咯血,胸闷气促和轻度发绀,有的患者发生大咯血,患者肺炎症状较显著但胸部体征较少,仅部分病例叩诊呈轻度浊音和听到湿性啰音。
X线胸片呈现双侧肺野斑片状模糊阴影以中、下野为著。病原学和血清学检查可以确定诊断。
2.流行性出血热
流行性出血热是出血热的一种,出血热是一组由虫媒病毒引起的自然疫源性传染病,临床上以发热出血,休克等症状为特征。以病急骤以畏寒,寒战,高热开始全身症状较重,尤以头痛,腰痛肌痛为突出出血常见于病3~5d,结膜,巩膜软腭和皮肤发生大头针帽大小出血点,出血点分布密集呈链条状排列,多见于上半身尤以胸部和上胸部,下半身较少见,患者可以引起咯血患者有不同程度的肾脏损在,有蛋白尿和血尿。
患者发热持续约5~6d退热后症状而加重,有的甚至出现休克,为此病的重要特征之一。
实验室检查血小板计数,大多数减少,流行性出血热抗体(EHF-AB)滴度常达1:1280以上有助于诊断。 根据流行季节(多在5~6月份)流行地区发热,出血和肾脏损害等三大临床症状和实验室检查,诊断并不困难。
3.白塞病
本病以慢性经过,临床表现多样化和反复作为特征。临床上主要表现阿弗他口炎伴有外生殖哭疱疹与溃疡眼部表现虹膜睫状体炎,角膜炎,前房积脓等皮肤有结节性红斑样疹,毛囊炎样损害,痤疮样损害血栓性静脉炎与血栓性动脉炎的表现,肺部血栓性动,静脉炎可引起咯血。
本病的表现复杂尤其是不典型的病例,诊断较为困难,而反复发作和急性女阴口疮样小溃疡是常见的症状对提示诊断有重要的帮助。
4.结缔组织病
其中系统性红斑狼郊和结节性多动脉炎偶可发生咯血。因为这类疾病常累及脏器和系统的损害,临床表现多种多样极为复杂。系统性红狼疮大都有皮疹,关节痛发热、继以头痛,纳差脱发等表现,常累及肾、心肺、肝、消化系统神经系统、眼、骨骼淋巴结等,并多次自行缓解和恶化。结节性多动脉炎约25%的口才出现多形性结节样皮损,患者常有不规则发热,多汗乏力,肌肉和关节痛等症状,常累及肾消化道,心和肺,累及肺引起肺内血栓可引起咯血甚至可能发生天咯血。
活检可明确诊断。
病因不明,多见于男性青年,病程数月至一年预后不良。临床表现间歇性咯血,伴呼吸困难和胸痛同时也伴有肾功能损害,表现为肾小球肾炎,肾功能损害为进行性最后死于尿毒症或肺部病变。
6“替代性月经”成年女性发生与月经财期相应的周期性咯血,须考虑为“替代性月经”此种异常现象罕见,原因未明有人认为体内雌激素的周期性浓度增高,引起肺毛细血管的充血,出血所致此外气管和支气管子宫内膜异位也引起此现象,但更为罕见。对于此种异常咯血现象经过长期观察和细致检查而不能发现其他原因咯血时方可诊为“替代性月经”。
诊断注意事项[编辑 | 编辑源代码]
1.忌不与吐血及口腔、咽、鼻出血相鉴别
咯血、呕血及口腔、咽、鼻出血最后均经口而出,不注意鉴别,容易导致误诊误治而贻误病情。咯血多血色鲜红,血中夹有泡沫或痰血相兼,咯血之前常有咳嗽、喉痒、胸闷等症状;呕血血色多呈咖啡色,常夹有食物残渣,大量呕血时亦可见鲜红色血,但大多呈黑色,且呕血之前多有胃肠道不适、疼痛、恶心等症状;口腔、咽部出血可见到出血部位,不难鉴别;鼻腔后部出血时容易误诊为咯血,在疑诊鼻腔后部出血时,应及时作鼻腔镜检查以确诊。
2.忌根据出血量的多少来判断原发疾病的轻重
一般一日咯血量在100ml以下为小量咯血,100~300ml为中量咯血,300ml以上称为大咯血。大咯血病情急重,容易引起咯血窒息,死亡率高,必须引起重视。但临床上咯血量的多少与原发疾病的轻重并不完全一致,如肺癌病人以痰中带血或少量咯血为多见,因此,不能因为咯血量少而认为原发疾病轻。
3.忌忽视他脏致病,多从阴虚燥热立论,忽视其他病理机制
咯血总由肺络受损所致,病位在肺,临床辨证,常常容易局限于从肺分析,而忽视从脉症综合分析来明确病变所在脏腑,如木火刑金、肝火上逆犯肺,肾水不足、肺失滋润、致水亏火旺,均可导致肺络受损而咯血,其病变脏腑主要在肝、肾。另外,临床上咯血多以阴虚燥热为多见,在辨证时,亦常常偏执于从阴虚燥热立论,忽视其他病理机制,如气不摄血等可能。皆从肺、从阴虚燥热等常法考虑,有时抓不住疾病的本质。
4.忌不亲自了解出血性状
对于咯血患者,医师首先应亲自观察咯出血液的性状,掌握第一手资料,不能只根据患者或家属的诉说来判断。在观察血液的性状时,应注意估计出血量,血液中是否夹有泡沫、痰液或食物残渣,如为大量鲜血,还要进一步观察大便的颜色,以初步明确出血部位及出血量,便于进一步选择有针对性的检查。
5.忌忽视病史、症状及必要的辅助检查
①痰液的性状:对于咯血患者,医师一般会注意了解血液的性状,而往往忽视观察痰液的性状。对痰液性状的观察,有助于疾病的诊断。咯血伴有大量脓痰,多见于支气管扩张症、肺脓肿、空洞型肺结核,典型时将24小时痰液静置后可分为3层:上层为泡沫、中层为粘液、下层为脓及坏死组织。粘液性痰多见于支气管炎、肺炎,浆液性痰多见于肺瘀血、肺水肿,鲜红血丝痰多见于结核病初期或病灶扩散期,粉红色浆液痰多见于肺水肿,铁锈色痰多见于肺炎、肺梗塞,棕褐色痰多见于肺瘀血等。咯血患者的痰液多呈血腥味,晚期恶性肿瘤患者的痰液多呈恶臭味。
②年龄:青少年咯血多见于肺结核、支气管扩张症,二者均可出现反复咯血。肺结核患者常伴有反复发作或迁延不愈的咳嗽、咯痰,或呼吸道感染而抗感染疗效不理想,可有长期低热、潮热、盗汗等症状;支气管扩张症则咳大量脓性痰,典型痰液为分层痰。结合X线胸片一般有助于二者的鉴别,但临床上诊断肺结核X线胸片存在多变因素,尤其是病变部位位于非好发部位或分布不典型时,X线胸片诊断比较困难;支气管扩张症亦约有10%的患者X线胸片无异常改变。在疑诊上述疾病而X线胸片又不支持时,应进一步行有关检查,如胸部CT、支气管镜、支气管造影等。中老年人咯血且过去健康状况良好者,应警惕支气管肺癌的可能,对于中老年人中有长期吸烟史的男性患者容易受到重视,但近年来40岁以后不吸烟的女性患者肺癌的发病率明显增加,应予重视。另外,老年人中肺结核的患病率或复发率有升高趋势,且有时从症状、体征、X线胸片表现与肺癌难以区分,必须进一步作胸部CT检查、痰结核菌检查及脱落细胞检查等,必要时可作支气管镜检查及活组织检查以明确诊断。
③发病:急性发病,伴发热、咳嗽、咯痰、偶有痰中带血者,多为急性气管-支气管炎、肺炎;伴高热、咳嗽、胸痛、咯吐大量粘液胶痰,有时痰中带血或中等量咯血者,多见于急性肺脓肿。慢性咳嗽、咯痰患者,偶有痰中带血者,多见于慢性支气管炎,而反复咯血者,多见于肺结核、支气管扩张症、肺癌、二尖瓣狭窄等。反复咯血伴咳嗽、呼吸困难,数周或数月后出现血尿、蛋白尿、肾功能衰竭者,多为肺出血-肾炎综合征,此病虽然少见,但病变进展迅速,预后差,本病以肺出血为首发症状者达80%。
④既往史及个人史:在考虑因心脏疾病,如二尖瓣狭窄或左心衰竭引起的肺淤血、肺水肿时,应询问患者有无心脏病史,平时有无心悸胸闷、呼吸困难等症状;年幼时患麻疹、病毒性肺炎,此后长期反复咳嗽、咯痰、咯血者,应考虑支气管扩张症;一月内有疫区接触史,出现血痰或大量咯血,伴寒战、高热、全身酸痛者,应考虑钩端螺旋体病;到过肺吸血虫病流行区,有食生蟹、刺菇史,出现咳嗽、胸痛、痰中带血、气急、发热者,应考虑肺吸虫病。
⑤其他部位出血:咯血时伴身体其他部位出血者,应考虑血液病的可能,如血小板减少性紫癜、白血病等,须进一步行血液病方面的有关检查以确诊。
⑥其他:如咯血伴咳嗽、呼吸困难、关节病变、皮肤紫癜等症状者,应考虑肺血管炎的可能;因女性患者咯血与月经周期密切相关者,应考虑有无替代性月经的可能等。
6.警惕咯血窒息的发生
大咯血窒息一旦发生,死亡率极高,因此,必须分析有无咯血窒息发生的可能,以便在咯血窒息发生时,能及时作出判断,及时救治。
①容易发生咯血窒息的可能因素:肺部广泛病变、肺功能低下者;严重的肺结核、支气管扩张、肺癌患者;慢性消耗性疾病,体质衰弱者;高度精神紧张者;体位不当,呈头高位、半卧位、坐位者。有上述因素的患者,医师应有高度的责任感,警惕咯血窒息的发生。
②咯血窒息的临床表现:咯血病人咯血突然中断或血液流出不畅,伴突发胸闷难忍、呼吸困难、烦躁紧张、颜面唇甲青紫、呼吸频率及深度改变、神志改变、二便失禁等。一旦有上述情况出现,必须及时救治。引
现场急救[编辑 | 编辑源代码]
1.设法劝慰病人,消除惊慌。让病人取侧卧位,头侧向一方,不要大声说话和用力咳嗽,冷毛巾或冰袋冷敷胸部(但要注意其他部位保暖),减少咯血。出血量多的可用砂袋压迫患侧胸部,限制胸部活动(适用于病变部位已经明确的病人)。如离医院很远,则应在咯血缓解后才能送医院抢救,否则途中颠簸会加重病情,甚至死亡。
2.口服三七粉、安络血或云南白药;农村也可用草木灰冲服止血;还可取鲜藕捣烂取汁冲服半碗,必要时服镇静药。
3.大咯血常造成窒息,一定要嘱咐病人把血吐出,不能强行憋住,也不要咽下,以免血块堵住气管。病人在咯血中,突然咯不出来,张口瞠目、烦躁不安、不能平卧、急于坐起、呼吸急促、面部青紫和喉部痰声辘辘,这些都是窒息的信号,有经验的病人还会用手指指着喉部,示意呼吸道堵塞。此时当争分夺秒,想方设法迅速排除呼吸道凝血块,恢复呼吸道畅通。
附:咯血所致窒息病人的抢救立即拦腰抱起病人,让其上身俯下、头低垂,轻拍病人背部。若是卧床病人,应立即让病人上半身垂在床沿下;如果病人病变部位明确,上身悬垂时注意健侧在上,病侧在下,同时将病人头向后仰伸,用金属匙柄,或用手指(包上纱布),撬开病人上下牙,清除口腔内血块,轻轻拍击病人背部,以利呼吸道内瘀血块排出。待病人恢复自动呼吸、面色转红和脱离危险后,立即送医院救治。
治疗[编辑 | 编辑源代码]
防止大量出血,需要对休克指标作仔细的临床监测(参见第204节)。出血时间,凝血时间,血小板计数,凝血酶原时间和部分凝血激酶时间应立即测定以发现任何凝血异常。影响凝血的药物如阿司匹林应停用。不使用麻醉药。
防止窒息,气道阻塞和播散至健肺,要把肺内血管外的血液排出。咳嗽是最有效的方法。必须鼓励病人咳嗽,并向病人示范如何在咳嗽前稍稍延长声门关闭时间以轻柔地清除分泌物。温水蒸气或雾化吸入有助于减少喉部刺激和便于突然爆破性咳嗽。医生的反复保证是使病人放心,保持有效咳嗽的非常有效的方法。如果出血速度很快,体位引流可能有益。不应让病人固定不动,而应鼓励其轻柔地移动,使出血一侧(如知道)位于下方。如发生支气管被血块阻塞或有肺不张迹象或进行性过度充气(血凝块的阀门作用所致),应立即经支气管镜以清除血块。
防止感染播散,特别是针对结核病。如果怀疑结核病是出血的原因,至少两种有效药物(包括异烟肼和利福平)的治疗应立即开始。如果怀疑吸入性肺脓肿,应立即给予青霉素或克林霉素。
止血需要针对有关原因。大血管出血可能只有肺切除或结扎出血的血管才有效,但由于这些方法死亡率高,故只能作为最后一着才合适。支气管动脉栓塞是可能有效的方法。任何大血管出血需早期输血;不要因害怕会导致重新出血或出血增加而拒绝输血。小血管出血通常能自动止血。
由于支气管扩张症的出血通常有感染的可能,所以采取适当的抗生素抗感染和体位引流是基本的治疗方法。
如果凝血异常(参见第131节)引起出血,有指征输全血,特殊的缺乏因子,新鲜冷冻血浆或血小板。
早期切除可能是支气管腺瘤或癌的适应证。支气管结石症也可能需要肺切除---千万不要经支气管内取石。继发于心衰或二尖瓣狭窄的出血,通常对心衰的特殊治疗有效。但极少数情况下,对于二尖瓣狭窄引起的致命性咯血,可能需要作急诊二尖瓣切开术。肺梗塞很少引起大咯血,几乎总是能自动止血。如果血栓反复出现并持续出血,抗凝剂是反指征,治疗应选择下腔静脉结扎或放置伞形滤过器。
消除恐惧是医生和护士最困难的任务,保持平静对病人来说非常不易。如果可能,应避免使用镇静剂和安定药,但绝对必需时可给予。禁用麻醉药。富有同情心和病人信任的治疗人员始终在场,通常是最好的镇静方法。
护理[编辑 | 编辑源代码]
一般护理[编辑 | 编辑源代码]
咯血病人的居室应保持安静、清洁、舒适、空气新鲜、阳光充足。
咯血尤以初春为多。生活上如果注意预防,可以把诱发咯血的因素降低到最低限度。其注意要点是:
①注意气候与咯血的关系;
②注意生活规律;
③注意稳定情绪;
④饮食。
对症护理[编辑 | 编辑源代码]
咯血的先兆观察与护理:约60%肺结核咯血患者都有咯血先兆。咯血先兆常表现为:胸闷、气急、咽痒、咳嗽、心窝部灼热、口感甜或咸等症状,其中大咯血好发时间多在夜间或清晨。根据咯血发生的规律,严格交接班制度,密切观其病情变化,加强夜班巡视,尤其是咯血高发时间,特别注意倾听患者的诉说及情绪变化,同时及时报告医生,给予有效的处理。
心理护理[编辑 | 编辑源代码]
多数患者都对大咯血有明显的恐惧心理,医护人员应耐心解释,解除顾虑。在大咯血的抢救过程中,患者容易产生埋怨心理,应耐心地做好解释工作,告诉患者止血有一过程,而且还取决于原发病的治疗情况。绝望心理常见于大咯血和多次咯血治疗无效,及少量咯血并伴有全身衰竭的重症患者,对这类患者的心理护理仍是难题,给他们讲述严重大咯血抢救成功的病例有一定的积极作用。在大咯血的同时,患者显得紧张、求救心切,有时因咯血不能说话,常用手势向医护人员表示求救,要多进行鼓励,同时也要告诉患者不必过于担忧,只有放松自己,消除紧张,安静休息,对疾病的恢复才会更有利。
咯血的观察与护理[编辑 | 编辑源代码]
咯血发生时应积极采取有效措施配合抢救,保持呼吸道通畅,嘱其采用患侧卧位,有利于健侧通气;向患者说明屏气无助于止血,且对机体不利,应尽量将血咳出,以防窒息,充分做好吸痰、气管插管、气管切开等抢救工作。同时遵医嘱给予止血药。
窒息的观察与护理[编辑 | 编辑源代码]
窒息是肺结核大咯血患者死亡的直接原因,因此其先兆症状的观察和及时有效的抢救是挽救患者的重要措施。大咯血时要密切观察病情变化,注意有无窒息先兆。护士若遇到上述先兆时,应立即通知医生,将患者变成头低脚高的体位,轻拍背部以利血块排出,可用手指卷上纱布清除口、鼻腔内血块,或迅速用鼻导管接吸引器插入气管内抽吸,以清除呼吸道内积血;并给予高流量吸氧或呼吸兴奋剂,以解除呼吸道梗阻。如牙关紧闭,应撬开牙关,挖出口腔里的血块,轻拍背部以利血块排出。在抢救过程中要沉着冷静,才能保证抢救的顺利进行。
复苏后的观察与护理[编辑 | 编辑源代码]
要嘱患者绝对卧床休息,保持室内安静,稳定患者情绪,保证患者充分休息,尽快恢复体力;密切注意患者以防窒息,严密观察其窒息先兆,防止患者再窒息的发生。特别是在夜班时,加强巡视,提高警惕;预防感染,做好患者的口腔护理,密切观察患者体温变化,发现异常,及时处理;加强饮食指导,嘱患者进食高热量、富营养、易消化的流质或半流质,特别要注意保持大便通畅,以防增加腹压致咯血及窒息再次发生。
预防[编辑 | 编辑源代码]
咯血,是内科常见急症,病因复杂,病情多变,严重者威胁病人生命,应尽快找出病因,明确出血部位。急则治其标,先止血。但千万不能忽略针对病因的治疗。虽然咯血国内常见的仍是支气管扩张、肺结核、肺肿瘤,但对每个病人均需全面考虑具体分析,有的放矢地进行检查、治疗。
1.预防感冒外出时要根据天气变化增加衣服,防止受寒感冒。
2.注意饮食饮食以富含维生素的食物为首选。
3.“管理空气”房间经常通风,保持适宜温度(一般18~25℃)和湿度(一般40%~70%)。
4.锻炼身体要进行适度的体育锻炼和呼吸功能锻炼。
5.备急救药家里要备小药箱,尤其要备足止咳药物,如治疗干咳为主的喷托维林(咳必清)片和糖浆;以镇咳为主的可愈糖浆;以镇咳化痰为主的棕胺合剂等。家庭必备止血药物如云南白药、镇静的药物如安定等。注意要及时更换小药箱里的过期药物。
6.戒烟、限酒患有呼吸道疾病的患者,一定要戒烟、限酒,以减少发生咯血的诱因。
7.情志调畅中医认为,情志变化和疾病有一定的关系,如“喜伤心”、“忧伤肺”。像《红楼梦》中患有肺结核的林黛玉平时忧虑过度,对花落泪,悲天悯人,最后因咯血而死。所以,预防咯血还要注意修身养性。
呕血是指呕吐物含有鲜血或血性物,一般上消化道,如食道和胃出血时容易引起呕血,先有恶心感,继之发生反射性呕吐。如呕吐物为鲜血则提示是食道出血,如呕吐物为咖.啡色的则表明是胃或十二指肠出血。 咯血又叫咳血,是指喉以下呼吸道出血经口腔咯出,多因肺部或支气管出血。咯血前常有喉部发痒感,血中常混有痰液。
患者对呕血与咯血分不清,往往把它们都称为吐血。如果是呕血,医生会考虑是上消化道出血,而咯血则多考虑是肺部或支气管出血。假如患者主诉不清,很可能导致医生误诊。因此区别呕血与咯血,对临床诊断有很大的意义。
中医对咯血的认识[编辑 | 编辑源代码]
咯血,证名。不嗽而喉中咯出小血块或血点。见《儒门事亲.咯血衄血嗽血》。因肾虚阴火载血上行,或心经火旺血热妄行所致。《赤水玄珠》卷九:“咯血者,喉中常有血腥,一咯血即出,或鲜或紫者是也,又如细屑者亦是也。”《张氏医通.诸血门》:“咯血者,不嗽而喉中咯出小块,或血点是也。其证最重,而势甚微,常咯两三口即止。盖缘房劳伤肾,阴火载血而上。亦有兼痰而出者,肾虚水泛为痰也。”治宜滋阴降火,用沙参麦冬汤、六味地黄丸加牛膝,或合茜根散加减。偏肺热者,用青饼子。若心经火旺,痰中带血丝,治宜清心为主,佐以清肺化痰,用导赤饮加黄连、丹皮、血余、蒲黄、天冬、寸冬、贝母、茯苓、或太平丸等方(见《血证论》)。
参看[编辑 | 编辑源代码]
- 治疗咯血的药品列表
- 《默克家庭诊疗手册》- 咯血
- 《物理诊断学》- 咯血
- 《急诊医学》- 咯血
- 出血
- 支气管肺癌
- 肺结核
- 支气管扩张
- 二尖瓣狭窄
- 肺脓肿
- 肺真菌病
- 肺炎
- 白血病
- 钩端螺旋体病
- 流行性出血热
- 白塞病
- 再生障碍性贫血
- 常见症状辨病 - 咯血
参考文献[编辑 | 编辑源代码]
- 《急诊鉴别诊断学》茅志成主编
- 《常见症状鉴别诊断学》朱豫川、郑海军、冯卫华主编
- 《诊断学》人民卫生出版社第七版医学教材.陈文彬、潘祥林主编
症状查询专题[编辑源代码]
|
点击部位名称可查询更多相关疾病
|
按症状名称开头字母查询症状:
A | B | C | D | E | F | G | H | J | K | L | M | N | P | Q | R | S | T | W | X | Y | Z
| ||||||||||||||||||||||||||||||||||||||




