食道癌
食道癌又叫食管癌,是发生在食管上皮组织的恶性肿瘤,占所有恶性肿瘤的2%。全世界每年约有22万人死于食道癌。中国是食道癌高发区,全国每年有近15万人死于本病,因食道癌死亡者仅次于胃癌居第二位,发病年龄多在40岁以上,男性多于女性,但近年来40岁以下发病者有增长趋势。食道癌的发生与亚硝胺慢性刺激、炎症与创伤,遗传因素以及饮水、粮食和蔬菜中的微量元素含量有关。食管癌治疗的主要手段是手术治疗,放射治疗有时也可根治,单纯化疗效果虽不理想,但常常需用化疗作辅助治疗。因此,临床上常是手术、放疗和化疗的综合使用,称为综合治疗。食管癌治疗效果的好坏,关键在于肿瘤是否早期。肿瘤越早期,其治疗效果越好。
流行病学[编辑 | 编辑源代码]
食道癌在中国有明显的地理聚集现象,高发病率及高病死率地区相当集中。其发病率在河北、河南、江苏、山西、陕西、安徽、湖北、四川等省在各种肿瘤中高居首位,其中河南省病死率最高,以下依次为江苏、山西、河北、陕西、福建、安徽、湖北等省。年平均病死率在100/10 万以上的县市有21个,最高的是河北省邯郸市(303.37/10 万)和磁县(149.19/10 万),山西省的阳城(169.22/10 万)和晋城(143.89/10 万),河南省的鹤壁市(169.22/10 万)和林州市(131.79/10 万)。
对流行地区分布的深入分析发现,同一省的不同地区可以存在迥然不同的发病情况,高、低水平地区相距很近,而病死率水平却可相差几十倍到二、三百倍。由高病死率水平到低病死率水平常形成明显梯度,呈不规则同心圆状分布。主要的高病死率水平地区分布在:河南、河北、山西三省交界(太行山)地区;四川北部地区;鄂豫皖交界(大别山)地区;闽南和广东东北部地区;苏北以及新疆哈萨克族聚居地区。在世界范围内同样存在高发区,哈萨克斯坦的古里亚夫、伊朗北部的土库曼、南非的特兰斯开等,其发病率均超过100/10万。
食管癌的病因学[编辑 | 编辑源代码]
认为食管癌的发病可能与以下因素有关:
1.饮食习惯:长期吸烟和饮烈性酒,长期吃热烫食物,食物过硬而咀嚼不细等与食管癌的发生有一定关系。
2.致癌物质 :(1)亚硝胺:亚硝胺类化合物是一组很强的致癌物质。食管癌高发区河南林县居民喜食酸菜,此酸菜内即含亚硝酸胺。实践证明食用酸菜量与食管癌发病率成正比。(2)霉菌:国内有人用发霉食物长期喂养鼠而诱发食管癌。
3.遗传因素:人群的易感性与遗传和环境条件有关。食管癌具有比较显著的家庭聚集现象,高发地区连续三代或三代以上出现食管癌患者的家庭屡见不鲜。
4.癌前病变及其他疾病因素如慢性食管炎症、食管上皮增生、食管粘膜损伤、Plummer-Vinton综合征、食管憩室、食管溃疡、食管白斑、食管瘢痕狭窄、裂孔疝、贲门失弛缓症等均被认为是食管癌的癌前病变或癌前疾病。
5.营养和微量元素膳食中缺乏维生素、蛋白质及必需脂肪酸,可以使食管粘膜增生、间变,进一步可引起癌变。微量元素铁、钼、锌等的缺少也和食管癌发生有关。
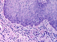
食管癌病理[编辑 | 编辑源代码]
早期食管癌可分为隐伏型(肉眼不易察觉,显微镜下证实)、糜烂型(粘膜轻度糜烂缺损)、斑块型(粘膜面有大小不等的斑块,癌变处粘膜明显增厚)、乳头型(肿瘤呈结节状、乳头状、或息肉状隆起,边缘与周围粘膜分界清楚)。
临床病理分期[编辑 | 编辑源代码]
食管癌的临床病理分期,对治疗方案的选择及治疗效果的评定有重要意义。1976年全国食管癌工作会议制订的临床病理分期标准如表18 - 7。 表 18-7 食管癌的临床病理分期分期病变长度病变范围转移情况0不规定限于粘膜层无转移1< 3 cm侵入粘膜下层无转移23~5 cm侵入部分肌层无转移3> 5 cm侵透肌层或外层局部淋巴结转移4> 5 cm有明显外侵远处淋巴结或器官转移
病理形态分型[编辑 | 编辑源代码]
(1)早期食管癌的病理形态分型:早期食管癌按其形态可分为隐伏型、糜烂型、斑块型和乳头型。其中以斑块型为最多见,占早期食管癌的 1/ 2左右,此型癌细胞分化较好。糜烂型占 1/ 3左右,癌细胞的分化较差。隐伏型病变最早,均为原位癌,但仅占早期食管癌的1/10左右。乳头型病变较晚,虽癌细胞分化一般较好,但手术所见属原位癌者较少见。
(2)中、晚期食管癌的病理形态分型:可分为髓质型、蕈伞型、溃疡型、缩窄型、腔内型和未定型。其中髓质型恶性程度最高,并占中、晚期食管癌的1/2以上。此型癌肿可侵犯食管壁的各层,并向腔内外扩展,食管周径的全部或大部,以及食管周围结缔组织均可受累,癌细胞分化程度不一。蕈伞型约占中、晚期食管癌的1/6~ 1/ 5,癌瘤多呈圆形或卵圆形肿块,向食管腔内呈蕈伞状突起,可累及食管壁的大部。溃疡型及缩窄型各占中、晚期食管癌的1/10左右。溃疡型表面多有较深的溃疡,出血及转移较早,而发生梗阻较晚。缩窄型呈环形生长,且多累及食管全周,食管粘膜呈向心性收缩,故出现梗阻较早,而出血及转移发生较晚。腔内型比较少见,癌瘤突向食管腔内,呈圆形或卵圆形隆起,有蒂与食管壁相连,其表面常有糜烂或溃疡。肿瘤可侵入肌层,但较上述各型为浅。少数中、晚期食管癌不能归入上述各型者,称为未定型。
组织学分型[编辑 | 编辑源代码]
(1)鳞状细胞癌:最多见。
(2)腺癌:较少见,又可分为单纯腺癌、腺鳞癌、粘液表皮样癌和腺样囊性癌。
(3)未分化癌:较少见,但恶性程度高。 食管上、中段癌肿绝大多数为鳞状细胞癌,食管下段癌肿则多为腺癌。我院的622例食管癌,441例作了病理学检查,其中鳞状细胞癌占87.3%、腺癌10.6%、未分化癌1.5%、其他癌0.6%。
临床表现[编辑 | 编辑源代码]
食管癌在早期往往是无明显症状的,偶有表现为胸骨后隐痛不适者。随着肿瘤增大,患者会出现进食时吞咽不适或异物感。常表现为进食速度减慢并常需汤水送饭。数月后因肿瘤进一步增大并阻塞食管腔,患者只能进食流质,当肿瘤完全阻塞管腔时,病人表现为“滴水难通”。从症状出现至完全梗阻一般约一年时间。因此,有可疑症状时应尽早到医院检查。
食道癌的早期症状[编辑 | 编辑源代码]
早期食管癌症状多不典型,易被忽略。主要症状为胸骨后不适、烧灼感、针刺样或牵拉样痛,进食通过缓慢并有滞留的感觉或轻度哽噎感。早期症状时轻时重,症状持续时间长短不一,甚至可无症状。正是由于症状不典型,可有可无,大多数患者都没能引起注意,以致拖延到中晚期。但只要非医学专业朋友掌握这些基本常识,多关心自己身体,对疾病早期诊断还是非常有帮助的。
食道癌的中晚期症状[编辑 | 编辑源代码]
1.吞咽困难:进行性咽下困难是绝大多数患者就诊时的主要症状,但却是本病的较晚期表现。因为食管壁富有弹性和扩张能力,只有当约2/3的食管周径被癌肿浸润时,才出现咽下困难。因此,在上述早期症状出现后,在数月内病情逐渐加重,由不能咽下固体食物发展至液体食物亦不能咽下。如癌肿伴有食管壁炎症、水肿、痉挛等,可加重咽下困难。阻塞感的位置往往符合手癌肿部位。
2.食物反应:常在咽下困难加重时出现,反流量不大,内含食物与粘液,也可含血液与脓液。
3.其他症状:当癌肿压迫喉返神经可致声音嘶哑;侵犯膈神经可引起呃逆或膈神经麻痹;压迫气管或支气管可出现气急和干咳;侵蚀主动脉则可产生致命性出血。并发食管-气管或食管-支气管瘘或癌肿位于食管上段时,吞咽液体时常可产生颈交感神经麻痹征群。
体征[编辑 | 编辑源代码]
早期体征要缺如。晚期可出现打呃、吞咽困难。并且由于患者进食困难可导致营养不良而出现消瘦、贫血、失水或恶病质等体征。当癌肿转移时,可触及肿大而坚硬的浅表淋巴结,或肿大而有结节的肝脏。还可出现黄疸、腹水等。其他少见的体征尚有皮肤、腹白线处结节,腹股沟淋巴结肿大。
食管癌的转移[编辑 | 编辑源代码]
1.食管内壁的直接扩散及浸润 癌体的旁上皮底层细胞癌变或形成原位癌,是食道癌表面扩散法子之一,首要累及部位是食管粘膜及粘膜下层,它也是最早转移的处所,因为食管粘膜及粘膜下层无浆膜层且有着丰厚的淋巴管,可经食管固有膜或粘膜下层淋巴管直接浸润相邻器官,如肺、气管、支气管、胸膜、心包、主动脉等。食管上段癌可侵入喉部、气管及颈部软组织,甚至侵入支气管,形成支气管一食管瘘;也可侵入胸导管、奇静脉、肺门及肺组织,部分可侵入主动脉而形成食管-主动 脉瘘,引起大出血而致逝世。下段食道癌常可累及贲门及心包。一般觉得直接扩散在上段癌较多,下段癌较少。 大多数粘膜下扩散肉眼观无明显 异常,镜检才可观察到。沿淋巴扩散的结节,好似第二个原发癌,这种食管壁内的扩散法子 ,一般距离原发灶5~6cm,故手术切除的长度要适当 选择,这于手术成功 与否有直接接洽
2.淋巴结转移 食管的淋巴道转移较常见,约占病例的2/3,产生一般较早,首要见于食管旁淋巴结、肺门淋巴结、锁骨上淋巴结及贲门淋巴结,转移以低分化鳞癌及未分化癌多见,转移部位与食管淋巴引流方向有关,上段食道癌可侵犯食管旁、喉后、颈深和锁骨上淋巴结,如出现声嘶,多由于转移淋巴结压迫喉返神经。中段食道癌常产生食管旁或肺门淋巴结转移,也可向上或向下转移。
3.血行转移 转移一般产生较晚,食道癌的血行转移较少见,常见转移部位有胃、肝、肺、肾、胸膜、腹膜、肾上腺及胰腺等,以肝及肺较常见。
食管癌的并发症[编辑 | 编辑源代码]
1.恶病质:在晚期病例,由于咽下困难与日俱增,造成长期饥饿导致负氮平衡和体重减轻,对食管癌切除术后的并发症的发生率和手术死亡率有直接影响。实际上每1例有梗阻症状的晚期食管癌病人因其经口进食发生困难,都有程度不同的脱水和体液总量减少。患者出现恶病质和明显失水,表现为高度消瘦、无力、皮肤松弛而干燥,呈衰竭状态。
2.出血或呕血:一部分食管癌病人有呕吐,个别食管癌病人因肿瘤侵袭大血管有呕血,偶有大出血。据吴英恺和黄国俊(1974)报道,一组841例食管癌和贲门癌病人中,24例(2.8%)有呕血,血液来自食管癌的癌性溃疡、肿瘤侵蚀肺或胸内的大血管。呕血一般为晚期食管癌病人的临床症状。
3.器官转移:若有肺、肝、脑等重要脏器转移,可能出现呼吸困难、黄疸、腹水、昏迷等相应脏器的特有症状。食管癌病人若发生食管-气管瘘、锁骨上淋巴结转移及其他脏器的转移、喉返神经麻痹以及恶病质者,都属于晚期食管癌。
4.交感神经节受压:癌肿压迫交感神经节,则产生交感神经麻痹症(Homer综合征)。
5.水、电解质紊乱:因下咽困难这类病人有发生严重的低血钾症与肌无力的倾向。正常人每天分泌唾液约1~2升,其中的无机物包括钠、钾、钙及氯等。唾液中钾的浓度高于任何其他胃肠道分泌物中的钾浓度,一般为20mmol/ml。因此,食管癌病人因下咽困难而不能吞咽唾液时,可以出现显著的低血钾症。
有些鳞状细胞癌可以产生甲状旁腺激素而引起高血钙症,即使病人在无骨转移的情况下同样可以有高血钙症。术前无骨转移的食管癌病人有高血钙症,往往是指示预后不良的一种征象。
6.吸入性肺炎:由于食管梗阻引起的误吸与吸入性肺炎,病人可有发热与全身性中毒症状。
7.因癌转移所引起,如癌细胞侵犯喉返神经造成声带麻痹和声音嘶哑;肿瘤压迫和侵犯气管、支气管引起的气急和刺激性干咳;侵犯膈神经,引起膈肌麻痹;侵犯迷走神经,使心率加速;侵犯臂丛神经,引起臂酸、疼痛、感觉异常;压迫上腔静脉,引起上腔静脉压迫综合症;肝、肺、脑等重要脏器癌转移,可引起黄疸、腹水、肝功能衰竭、呼吸困难、昏迷等并发症。
8.食管穿孔:晚期食管癌,尤其是溃疡型食管癌,因肿瘤局部侵蚀和严重溃烂而引起穿孔。因穿孔部位和邻近器官不同而出现不同的症状。穿通气管引起食管气管瘘,出现进饮食时呛咳解剖学,尤其在进流质饮食时症状明显;穿入纵膈可引起纵膈炎,发生胸闷、胸痛、咳嗽、发热、心率加快和白细胞升高等;穿入肺引起肺脓疡,出现高热、咳嗽、咯脓痰等;穿通主动脉,引起食管主动脉瘘,可引起大出血而导致死亡。
9.其他 据文献报道,有的食管鳞状细胞癌病有肥大性骨关节病,有的隐性食管癌病人合并有皮肌炎,还有个别食管腔有梗阻的病人发生“吞咽晕厥”(swallow syncope),可能是一种迷走神经-介质反应。
食道癌的检查[编辑 | 编辑源代码]
- X线食管钡餐检查:此为最基本的常规检查。此法检查简单、无痛苦、符合率高。检查可观察食管的蠕动状况、管壁的舒张度、食管黏膜改变、食管充盈缺损和梗阻程度。食管蠕动停顿或逆蠕动,食管壁局部僵硬不能充分扩张,食管黏膜紊乱、中断和破坏,食管管腔狭窄,不规则充盈缺损、溃疡或瘘管形成及食管轴向异常等均为食管癌的重要征象。低张双重造影对早期食管癌的检出较常规造影更有效。
- 食管内窥镜检查:内窥镜直接放入食管腔内,定位能清楚地窥察食管的情况并可将病变照像、活检等,此为确诊食管的最权威的检查。
- 食管CT 检查:CT 检查可清晰地显示食管与邻近纵隔器官的关系。正常食管与邻近器官分界清楚,食管厚度不超过5mm,如食管壁厚度增加,与周围器官分界模糊,则表示食管病变存在。CT 检查还可充分显示食管癌病灶大小、肿瘤外侵范围及程度,同时,CT 检查结果还有助于确定手术方式、制定放疗计划等。1981 年,Moss 提出食管癌的CT 分期,Ⅰ期:肿瘤局限于食管腔内,食管壁厚度≤5mm;Ⅱ期:食管壁>5mm;Ⅲ期:食管壁增厚,同时肿瘤向邻近器官扩展,如气管、支气管、主动脉或心房;Ⅳ期:肿瘤有远隔转移。
食管癌的治疗[编辑 | 编辑源代码]
本病的根治关键在于对食管癌的早期诊断。食管癌早期的治疗应该是应该采用手术、放化疗、中医药治疗相结合的综合治疗方式,中晚期就要采用中医保守治疗。
手术治疗[编辑 | 编辑源代码]
1.大型手术治疗:外科手术是治疗早期食管癌的首选方法。食管癌患者一经确诊,身体条件允许即应采取手术治疗。根据病情可分姑息手术和根治手术两种。姑息手术主要对晚期不能根治或放疗后的病人,为解决进食困难而采用 食管胃转流术、胃造瘘术、食管腔内置管术等。根治性手术根据病变部位和病人具体情况而定。原则上应切除食管大部分,食管切除范围至少应距肿瘤5cm以上。下段癌肿手术切除率 在90%,中段癌在50%,上段癌手术切除率平均在56.3%~92.9%。
手术的禁忌症为 ①临床x线等检查证实食管病变广泛并累及邻近器官,如气管、肺、纵 隔、主动脉等。②有严重心肺或肝肾功能不全或恶病质不能耐受手术者。
2.小型手术治疗:一般临床建议晚期患者(几乎不能下咽的患者)进行放支架,这个一个小型手术,把一个很小的支架放入病灶部位,撑开,扩充食管(ps:瞬间撑开会很疼),以达到能让病人可以进食,不过这个只能短期的延续生命,适合已经不能做手术切除的患者,价钱大概在1W左右,地方不一样价钱也不一样,如果家里经济条件允许,这种方法能延长一定的生命期。
放射治疗[编辑 | 编辑源代码]
食管癌放射治疗的适应症较宽,除了食管穿孔形成食管瘘,远处转移,明显恶液质,严重的心、肺、肝等疾病外,均可行放射治疗。
1) 适应证:
(1)病人一般情况在中等以上;
(2)病变长度不超过8cm为宜;
(3)无锁骨上淋巴结转移,无声带麻痹,无远处转移;
(4)可进半流食或普食;
(5)无穿孔前征象※,无显著胸背痛;
(6)应有细胞学或病理学诊断,特别是表浅型食管癌。
※ 注:食管癌穿孔前征象:①尖刺突出:病变处尖刺状突出,小者如毛刺,大者如楔形;②龛影形成:为一较大溃疡;③憩室样变:形成与一般食管憩室相似,多发生在放疗后;④扭曲成角:食管壁失去正常走行,似长骨骨折后错位一样;⑤纵隔炎:纵隔阴影加宽,病人体温升高,脉搏加快,胸背痛。穿孔后预后很差,大部病人于数月内死亡。
2) 照射剂量及时间:通常照射肿瘤量为60Gy~70Gy/6~7周。
3) 外照射的反应
(1)食管反应:照射肿瘤量达10~20Gy/1~2周时,食管粘膜水肿,可以加重咽下困难,一般可不作处理,照射量达30~40Gy/3~4周后,可产生咽下痛及胸骨后痛,宜对症处理。
(2)气管反应:咳嗽,多为干咳,痰少。
4) 合并症
(1)出血:发生率约为1%。应在选择病人时,对那些有明显溃疡,尤其是有毛刺状突出的较深溃疡者,应特别谨慎,减少每次照射剂量,延长总治疗时间,在放疗过程中,应经常X线钡餐观察。
(2)穿孔:发生率约为3%,可穿入气管,形成食管气管瘘或穿入纵隔,造成纵隔炎症。
(3)放射性脊髓病:放射性脊髓病是头、颈、胸部恶性肿瘤放射治疗的严重并发症之一。潜伏期多在照射后1~2年。
食道癌的中医药治疗[编辑 | 编辑源代码]
中医认为,食道癌病机之根本为阳气虚弱,机体功能下降,主强治疗宜温阳益气,扶助正气,提高机体功能,所以治疗主方要体现这一中医治疗原则。关于食管癌的分证各有不同,立法用药亦随之而异。但治法总不离疏肝理气、降逆化瘀、活血化瘀、软坚散结、扶正培本、生津润燥、清热解毒、抗癌止痛、温阳益气等。
(一)中成药 食管癌治疗应以手术、放化疗为主的综合治疗。中医治疗也是很重要的组成部分,其中中成药具有剂量成分稳定、服用方便、疗效方便的优点。
(二)中医辨证施治
1. 气滞型
主证:早期食管癌的表现,无明显吞咽困难,只为吞咽时感食管内挡噎、异物感或灼痛,胸郁闷不适及背部沉紧感,时隐时沉的吞咽不利感。 X 线检查主要为早期食管癌的病变。舌质淡黯,舌苔薄白,脉弦细。
治法:疏肝理气,温阳益气,扶正抑瘤。
2. 梗噎型
主证:症状单纯,轻度梗噎或吞咽不利。 X 线检查多属早、中期髓质型、蕈伞型食管癌。舌质黯青,苔黄白,脉弦细。
治法:抗癌散结,理气降逆,温阳扶正。
3. 阴枯阳衰
主证:病期已晚,咽下困难,近于梗阻,呕恶气逆,形体消瘦,气短乏力,烦热唇燥,大便干如粪,舌质黯绛,瘦小,少苔乏津或无苔,也有苔黄黑干而裂者,脉细数或沉细无力。
经过多年的潜心研究和临床试验,共同研制出了抗癌系列特效纯中药。采用“三位一体疗法”主要治疗食道癌、贲门癌、胃癌所引起的噎食倒食、粘痰不断、入食即吐、反流食、吞咽困难、消瘦、声音嘶哑、胸闷、乏力、病灶反射性疼痛等不同症状都有良好的效果。
食道癌患者的护理[编辑 | 编辑源代码]
术前护理[编辑 | 编辑源代码]
1.心理护理 病人有进行性吞咽困难,日益消瘦,对手术的耐受能力差,对治疗缺乏信心,同时对手术存在着一定程度的恐惧心理。因此,应针对病人的心理状态进行解释、安慰和鼓励,建立充分信赖的护患关系,使病人认识到手术是彻底的治疗方法,使其乐于接受手术。
2.加强营养 尚能进食者,应给予高热量、高蛋白、高维生素的流质或半流质饮食。不能进食者,应静脉补充水分、电解质及热量。低蛋白血症的病人,应输血或血浆蛋白给予纠正。
3.胃肠道准备
①注意口腔卫生;
③术前禁食,有食物潴留者,术前晚用等渗盐水冲洗食管,有利于减轻组织水肿,降低术后感染和吻合口瘘的发生率;
④拟行结肠代食管者,术前须按结肠手术准备护理,见大肠癌术前准备。
4.术前练习 教会病人深呼吸、有效咳嗽、排痰、床上排便等活动。
术后护理[编辑 | 编辑源代码]
除观察生命体征等常规护理外,还应:
1.保持胃肠减压管通畅 术后24~48h引流出少量血液,应视为正常,如引出大量血液应立即报告医生处理。胃肠减压管应保留3~5天,以减少吻合口张力,以利愈合。注意胃管连接准确,固定牢靠,防止脱出,引流通畅。
2.密切观察胸腔引流量及性质 胸腔引流液如发现有异常出血、混浊液、食物残渣或乳糜液排出,则提示胸腔内有活动性出血、食管吻合口瘘或乳糜胸,应采取相应措施,明确诊断,予以处理。如无异常,术后1~3天拨除引流管。
3.严格控制饮食 食管缺乏浆膜层,故吻合口愈合较慢,术后应严格禁食和禁水。禁食期间,每日由静脉补液。安放十二指肠滴液管者,可于手术后第2日肠蠕动恢复后,经导管滴入营养液,减少输液量。手术后第5日,如病情无特殊变化,可经口进食牛奶,每次ml,每2hl次,间隔期间可给等量开水,如无不良反应,可逐日增量。术后第10~12日改无渣半流质饮食,但应注意防止进食过快及过量。
4.观察吻合口瘘的症状
食管吻合口瘘的临床表现为高热、脉快、呼吸困难、胸部剧痛、不能忍受;患侧呼吸音低,叩诊浊音,白细胞升高甚至发生休克。处理原则:①胸膜腔引流,促使肺膨胀;②选择有效的抗生素抗感染;③补充足够的营养和热量。目前多选用完全胃肠内营养(TEN)经胃造口灌食治疗,效果确切、满意。特色治疗
饮食护理[编辑 | 编辑源代码]
重视饮食调护,治疗期间应给予清淡、营养丰富、易于消化的食物,并应注重食物的色、香、味、形,以增进食欲,保证营养;治疗间歇阶段则宜多给具有补血、养血、补气作用的食品,以提高机体的抗病能力。
心理护理[编辑 | 编辑源代码]
加强情志护理,安慰患者,消除紧张、恐惧、抑郁、颓丧等心理,耐心做好治疗解释工作。如有脱发者,可配置发套,病情允许情况下,可以组织患者散步及娱乐活动,尽量使患者在接受化疗过程中处于最佳身心状态。
术后并发症的处理[编辑 | 编辑源代码]
食道癌术后并发症的处理在食道癌治疗中具有重要的意义,食道癌术后往往会伴有不同程度的并发症,临床指出:食道癌术后并发症除吻合口瘘外,患者还可出现腹泻、反流性食管炎、功能性胸胃排空障碍及呼吸道感染等,对于食道癌术后并发症的处理主要表现在以下几个方面:
1、功能性胸胃排空障碍:食道癌切除术后,常易出现胃运动失常,引起胸胃功能排空障碍而导致大量胃内容物潴留,这也是食道癌术后的并发症之一。
处理措施:根据具体情况积极予以倒置胃管引流、胃管胃肠减压、空肠造瘘或胃液回输等治疗,并给予肠内、肠外营养支持和药物调理胃肠道功能等处理,改善恶心、呕吐症状促进患者胸胃功能的恢复,提高生活质量。
2、反流性食管炎:是食道癌术后常见的并发症,主要表现为每于餐后躺体前屈或夜间卧床睡觉时有酸性液体或食物从胃食管反流至咽部或口腔,伴有胸骨后烧灼感或疼痛感、咽下困难等症状。
处理措施:食道癌术后患者饮食应取半卧位或坐位,可选用流食、半流食,宜少量多餐,吞咽动作要慢,更要忌烟酒、辛辣等刺激性较强的食物;避免餐后即平卧,卧时床头抬高20~30cm裤带不宜束得过紧避免各种引起腹压过高。
3、食道癌术后呼吸道感染:表现为咳嗽、胸闷、呼吸困难等症状,为食道癌术后最常见的并发症之一。
4、严重腹泻:食道癌切除术后胃肠功能紊乱导致腹泻,目前临床多认为与迷走神经切断、胃泌素浓度增高有关。
处理措施:应积极给予止泻药物,同时给予补液,以免患者发生脱水。
为取得较满意的治疗效果,首先应了解和掌握可能会出现的食道癌术后并发症,才能做好充分的准备积极对症治疗,做好食道癌术后并发症的预防工作,可有效降低术后并发症的发生率。
患者饮食注意问题[编辑 | 编辑源代码]
食管癌病人的突出症状是吞咽困难,也是食道癌病人在饮食方面的严重问题。大多数食道癌病人的吞咽困难是逐渐发生的,并呈进行性加重。开始时病人仅在进干燥食物时有梗噎感,逐步加重,甚至发展到进软食、半流食都有困难,最终出现喝水、进食均完全困难,使病人的营养状况越来越差,最后导致恶液质。由此可见,摄食困难是食道癌病人的一个十分严重的问题。
对于已确诊的早、中期食道癌病人应抓紧时机全面地给病人增加营养,给病人含有高蛋白和高维生素的软食或半流食,尽可能利用其胃肠道的吸收功能多补充营养,使病人有一个较好的身体状况。
食道癌病人饮食中主要注意避免:
1、当病人出现哽噎感时,不要强行吞咽,否则会刺激局部癌组织出血、扩散、转移和疼痛。在哽噎严重时应进流食或半流食。
2、避免进食冷流食,放置较和时间的偏冷的面条、牛奶、蛋汤等也不能喝。因为食道狭窄的部位对冷食刺激十分明显,容易引起食道痉挛,发生恶心呕吐,疼痛和胀麻等感觉。所以进食以温食为好。
3、不能吃辛、辣、臭、腥的刺激性食物,因为这些食物同样能引起食道痉挛,使病人产生不适。对于完全不能进食的食道癌病人,应采取静脉高营养的方法输入营养素以维持病人机体的需要。
食管癌的预后[编辑 | 编辑源代码]
一般中晚期病例,癌的切除率由早年的60%上升到近年来的90%以上;癌的切除后死亡率从25%下降至1%-5%;吻合口瘘的发生率约在3%以下,术后5年生存率在30%上下。特别是食管癌高发区现场防治研究和早诊手段的改进,早期癌的手术切除率达100%,手术死亡率在2.5%以下,术后5年生存率达92.6%。
食管癌的预防[编辑 | 编辑源代码]
预防对策:不吃发霉变质食物;少吃过热、过烫食物,喝茶、喝粥以50℃以下为好;防止水源污染、改善水质;不吸烟、不饮烈性酒;补充人体所需的微量元素;多吃蔬菜水果,增加对维生素C的摄入。易感人群监视,普及防癌知识,提高防癌意识。
中国不少地区特别在食管癌高发区建立了防治基地,进行了肿瘤一级预防(病因学预防),包括改良饮水、防霉去毒,改变不良的生活习惯等。发病学预防(二级预防或称化学预防)是对食管癌高发地区进行普查,对高危人群进行化学药物干预治疗。
预后[编辑 | 编辑源代码]
早期食管癌及时根治预后良好,手术切除5年生存率>90%。症状出现后未经治疗的食管癌患者一般在一年内死亡。食管癌位于食管上段、病变长度超过5cm、已侵犯食管肌层、癌细胞分化程度差及已有转移者,预后不良。
参看[编辑 | 编辑源代码]
- 自我调养治病/食管癌
- 病理学/食管癌
- 治疗食道癌的药品列表
- 《医学影像学》- 食管癌
- 《常见中老年疾病防治》- 食管癌
- 《自我调养巧治病》- 食道癌
- 肿瘤学
- 吞咽困难
- 胸闷
- 咳嗽
- 腹痛
- 胃癌
- 放疗
- 化疗
| |||||||||||||||||||||||
