睾丸

来自医学百科

睾丸,人体器官名。简称睾,亦作卵。是男性的主要生殖器,位于阴囊内,是产生精子和男性激素的器官。《灵枢.经脉》:“厥阴者,肝脉也。脉弗荣则筋急,筋急则引舌与卵。”《格致余论.疝气论》:“疝气有甚者,睾丸连小腹急痛也。”

部位[编辑 | 编辑源代码]

睾丸(testis)位于阴囊内,左右各一

睾丸在人体的部位示意图

。睾丸是微扁的椭圆体,表面光滑,分内、外侧面,前、后缘和上、下端。前缘游离;后缘有血管神经和淋巴管出入,并和附睾输精管下段(睾丸部)相接触。睾丸随着性成熟迅速生长,老年人的睾丸随着性机能的衰退而萎缩变小。  

结构[编辑 | 编辑源代码]

睾丸表面有一层坚厚

睾丸的结构

纤维膜,称为白膜,沿睾丸后缘白膜增厚,凸入睾丸内形成睾丸纵隔。从纵隔发出许多结缔组织小隔,将睾丸实质分成许多睾丸小叶。睾丸小叶内含有盘曲的精曲小管,精曲小管的上皮能产生精子。小管之间的结缔组织内有分泌男性激素的同质细胞。精曲小管结合成精直小管,进入睾丸纵隔交织成睾丸网。从睾丸网发出12~15条睾丸输出小管,出睾丸后缘的上部进入附睾。  

特征[编辑 | 编辑源代码]

睾丸属男性内生殖器官。正常男性有

睾丸

两个睾丸,分别位于阴囊左右侧。睾丸呈卵圆形,色灰白。成人睾丸长3.5-4.5厘米,宽2-3厘米,厚1-2厘米,每侧睾丸重10-15克。一般左侧者比右侧者低约1厘米。有的人睾丸一大一小,一高一低,如果差别不大,均属正常。睾丸内有大量弯曲的精曲小管,其间含有间质细胞。精曲小管是产生精子的地方,一个人生中产生的精子数目大得惊人,一次射精3-4毫升,含有3-4亿个精子,少则也有1-2亿个;一生中产生的精子数竟可达1万亿个以上。精子的产生易受温度等多种因素的影响,如果睾丸周围温度过高或受到化学毒物的影响,精子的产生将出现障碍。间质细胞产生雄激素,与男性第二性征生理功能等密切相关。  

病症[编辑 | 编辑源代码]

隐睾病

正常情况下,胎儿在子官内发育的后期,睾丸即降入阴囊内。然而,大约有3%的足月产男婴和30%的早产男婴发生隐睾睾丸未降)。这些婴儿中的大多数,在出生后数月内睾丸即可降入阴囊,但约有0.8%的男婴在出生后一年睾丸仍未降入阴囊

隐睾病示意图

。 

隐睾可表现为单侧,也可表现为双侧。隐睾通常是单独存在的,但也可伴发尿道异常(占隐睾病人的13%)及其它先天性异常,如男性特纳氏综合征(male Turner氏综合征),Prader-Willi氏综合征(低肌张力——低智能——性发育低下——肥胖综合征)或Reifenstein氏综合征。隐睾患儿到了五岁时,可观察到睾丸的组织学变化。大多数学者认为,幼年睾丸未降未必持久不降,可能延迟到青春期才能下降,需耐心等待。如果到青春期双侧睾丸仍未下降,则以后下降的机会极少;即使睾丸酮产生正常或轻度不足,也会造成不育症。对单侧隐睾者说来,其生育能力仍可能是正常的。 

隐睾的治疗主要包括内分泌治疗和手术治疗两方面。内分泌治疗:主要针对双侧隐睾患儿,应用绒毛膜促性腺激素,Lewis(1948)主张在青春期前1~2年应用绒毛促性腺激素30000单位(每周三次,每次单位);Robinson及Engle等(1954)认为短时期大剂量突击疗法疗效较佳,每天注射4000~5000单位,共三天,约20%患儿的每睾可降到阴囊内。手术治疗:凡内分泌治疗无效者,均应采用手木治疗:有人认为一般在4~6岁时手术为宜,多数学者认为手术最晚不应超过11岁。之所以强调手术的重要性,不仅由于生育能力的原因,而且还由于腹腔内睾丸存在着癌变的危险。 

目前对隐睾患者心理学方面的研究还很少。Cytryn等观察了27名~17岁隐睾男孩,认为这些男孩“体像”(body-imagine)和“性身份”(gender identity)的混乱有所增加。最近有人对10例作了外科手术的双侧隐睾患者进行了研究,认为这些患者在“性别分配”(sex assignment)、“早期性别分型”(early sex-typing)和“性身份形成”(gender identity formation)等阶段中,并不引起性角色和性身份的严重而持久的损害,但其发生手淫和其它性行为的时间比性器官正常的男性为晚。Roboch等发现,隐睾患者第一次射精的时间比正常对照组稍晚,其青春期遗精的发生率也较低;其成年期性生活也比正常对照组为少。 

如果隐睾男孩由于经常检查性器官而造成精神负担,或者经激素治疗后睾丸仍不下降,则可能导致性心理障碍。由于反复检查患儿的阴囊和睾丸的位置,患儿父母也会感到沮丧。医生一定要把隐睾的性质及其对成年期性功能的影响告诉患儿的父母,使之有一正确的认识。

异位睾丸

睾丸从腹股沟管下降时,可能并未降入阴囊内的正常位置,而引引起异位睾丸。异位睾丸很少见,它的临床意义及治疗原则一般与隐睾相同。如诊断明确,则一般均应考虑手术治疗,因为雄激素治疗一般无效。青春期以前尽早作睾丸固定术,通常均可使睾丸功能恢复正常。

无睾

先天性双侧无睾(睾丸缺如)极为罕见,文献上仅报告61例。其病因可能是:胎儿性别分化后,胎儿睾丸被某种毒素所破坏。治疗方法有:(1)替代疗法:青春期开始应用丙酸睾丸酮,每周肌注三次,直至外生殖器发育正常;此后剂量可减至10毫克,每周三次:或口服(舌下含)甲基睾丸素16~45毫克/日。(2)手术疗法:阴囊内植入假睾丸(硅橡胶或硅橡胶囊内装入硅胶,以后者较好),以减轻患者“体像”和心理的失调。最近有人报告一例无睾患者睾丸移植成功,该睾丸取自其挛生兄弟。

多睾

系指睾丸数目超过2个,本病于1670年首次发现并经病理证实。一般认为不超过3个睾丸,左侧多于右侧。多余的睾丸极少能正常发育,长期异位存在并萎缩的睾丸有发生恶变的可能,因此应将多余的睾丸尽早手术切除。

并睾

系指两侧睾丸融合一体,可发生于阴囊内,亦有在腹腔内。并睾常伴有其他严重先天畸形,能发育成活者甚少。

睾丸发育不全

胚胎时期由于血液供应障碍或于睾丸下降时发生精索扭转

精索扭转

,可引起本病。隐睾、性幼稚型及有脑垂体功能减退时也是引发本病的常见原因。单侧睾丸发育不全者因对侧睾丸代偿增生可不必治疗,而隐睾的病人则应及早手术治疗。

睾丸增生

睾丸增生是指睾丸较正常大,而其硬度及局部解剖关系均正常,常见于一侧睾丸缺如或发育不全时,对侧睾丸代偿性增生。一般不需特殊处理。  

保健[编辑 | 编辑源代码]

睾丸是男人最重要的性器官,它制造精子,分泌雄激素,它是男人之所以为男人的根本。不要等到病痛真正来临之时,再受到万众瞩目。为什么不早点观察、动手了解,以防患于未然?

1.“钻石”背后的红肿——附睾炎

前因后果:睾丸的周围后缘即是附睾,精子生产后暂时贮存在这里。附睾炎,30岁左右的人多见,大多是由于迟迟不愈的尿路又被细菌感染,致使病菌经输精管管腔进入附睾。它常跟着后尿道炎、前列腺炎精囊炎等发生。部位可单侧可双侧,发作时间可急可缓。

你的检查:整个阴囊红肿热痛,触摸敏感,小便时灼痛。阴囊静止时疼痛,但仰卧时症状减轻。

医生治疗:开些抗生素给你,缓解急性疼痛。然后冷敷睾丸,同时把它垫高,可以用卷起来的袜子或者医用纱布放在下面。如果自己不会放,可以穿一条固定的三角裤——还可以减轻精索部位的不适坠胀感。以防再犯:虽然男人要比女人在尿路感染的几率低的多,但一旦发生,后果会很严重。假如在小便时已有灼热感的话,必须立刻就医。

2.细菌侵蚀“钻石”——睾丸炎

前因后果:多因附睾炎直接蔓延至睾丸所致,由细菌引起。而儿童急性睾丸炎通常是流行性腮腺炎病毒引起的。

你的检查:跟附睾炎类似,但睾丸红热不是那么明显和强烈。你可以明显看到单侧或双侧睾丸肿大,按着疼痛,阴囊皮肤也明显红肿,同时摸起来热热的。

医生治疗:由于严重的睾丸炎会丧失生育能力,所以医生除了止痛药还会使用抗生素;另外还要冷敷睾丸。如果急性期医生治疗不当,细菌性睾丸炎可形成脓肿,或演变成慢性睾丸炎。 以防再犯:可让儿童接种流行性腮腺炎疫苗

3.“几只虫子钻进阴囊”——精索静脉曲张

前因后果:精索静脉曲张发病率占30~40岁男性人数的10%。它90%会发生在左侧,是因精索静脉血流淤积,从而造成静脉丛血管扩张、迂曲和变长。精索静脉曲张也会因肾肿瘤引起。精索静脉曲张值得重视的原因是它可能伴有睾丸萎缩和精子生成障碍,导致不育

超声诊断下的睾丸萎缩图

你的检查:你也许感觉隐隐作痛,像一小袋虫子钻进了你的阴囊内,也许毫无感觉。但站立时精索部位可看到或摸索到曲张的静脉丛,使劲鼓肚子,增加腹压可看到静脉曲张得更加重;少数会同时神经衰弱。情况较重的,会有阴囊坠胀痛,久站腰痛,但平卧休息就可缓解。

医生治疗:通过特殊检查方法,如超声诊断、红外线接触性阴囊测温,会发现精索静脉曲张,医生将判断你的症状是否需要治疗。这时要么通过注射药物使其闭合,要么把它绑扎起来把血管堵塞封闭,这是一种小手术,需要麻醉,大约30分钟。

以防再犯:由于精索静脉曲张属于静脉瘤的一种,所以只要身体一再出现新的静脉瘤,就有可能出现新的精索静脉曲张。

4.“第三个睾丸”——精液囊肿

前因后果:呆在睾丸或者附睾部位的精子发生的良性囊肿膨胀隆起的肿块大多如一块方糖那么大,人们戏称它为第三个睾丸,幸好这种情况非常罕见。

你的检查:虽然不会有任何疼痛发生,但是膨胀隆起就好像是一个圆球长在你的睾丸上方,可以单独摸索到。在黑屋中手电的照射下,精液囊肿是发亮的。

医生治疗:完全没必要治疗。如果你执意要消除掉那些肿块,医生可以为你手术摘除。以防再犯:避免睾丸及阴囊部位外伤。有规律地过性生活,避免长时间性冲动。

5.多余的液体——阴囊水囊肿

前因后果:由包在某一个或两个睾丸的薄膜层之间组织水制造过剩引起。有时会发生在一次睾丸受伤或睾丸炎之后,但大多数情况根本找不出任何原因。

你的检查:阴囊出现膨胀隆起,有时囊肿甚至能够达到一个足球那么大,但是感觉并不疼痛。医生治疗:可以通过一次不足道的麻醉小手术把多余的组织水吸干,此外医生要把那些渗漏出液体的阴囊小洞手术缝合

6.肇事的外伤——睾丸瘀伤

前因后果:睾丸发生损伤时,局部会有肿胀瘀血。又因为阴囊皮肤松弛,睾丸血液回流丰富,损伤后极易引起血肿感染。剧烈运动或性行为、暴力有时可引起提睾肌的强烈收缩,让睾丸“雪上加霜”。外伤之后,如果供应睾丸营养的血管损伤严重,它会萎缩、坏死,引起阳痿或性功能障碍。

你的检查:睾丸外伤后如果感到剧烈疼痛,你要利用手电筒在黑屋中查看你的阴囊,如果光线不能穿过阴囊,说明有血肿。

医生治疗:一般必须先坐下或躺下,检查有无溃破或外出血。若两侧睾丸对称、无错位,可用宽带托好,以减少晃动,减轻疼痛;如无宽带,可撕破旧衣服代替,只要托起就可固定;如有肿胀,可用冷敷法,有助于控制内出血

以防再犯:即使在第一刻你也许认为:不会死的。但那种撕心扯肺的剧痛会在几分钟后发作,让你真正意识到:的确哪儿出问题了。

7.裆内被粗暴一击——睾丸破裂

前因后果:如果下面那话真的被不幸命中……睾丸位于阴囊内、体表外,是男子最容易被攻击的部位。闭合性损伤较多见,如脚踢、手抓、挤压、骑跨;开放性损伤除战争年代外,平时较少发生,如刀刺、枪弹伤

你的检查:你本能地将身体蜷曲,祈祷睾丸剧痛尽快消失。严重的情况下发生昏厥阴囊血肿,睾丸轮廓不清,伴以出汗、恶心头晕

医生治疗:运用超声波检查和触摸,医生能够完全确定是否睾丸已经破裂。先冷敷。清创时医生会尽量保留睾丸组织,一旦精索动脉断裂或睾丸严重破裂无法修复,则必须切去睾丸,还要在阴囊放置引流物,并采用抗生素以防再犯感染。

以防再犯:加强腰部以下防护。

8.拉链的罪过——阴囊皮肤受伤

前因后果:抓痕、擦伤,或者由于拉链导致的蹭伤。

你的检查:阴囊皮肤瘀斑、血肿。如果阴囊被撕裂,睾丸外露在表面。

医生治疗:阴囊皮肤伤口很快就能愈合,因此并不需要特别紧急的治疗,大一点的伤口才去咨询专家。如果皮肤未被撕裂,你可以卧床休息,局部冷敷止痛;相反,要注射破伤风抗毒素针剂,局部清创、除去异物,还纳睾丸,还要用抗生素以防再次感染;如果阴囊皮肤完全撕脱,则需要手术重建阴囊。

以防再犯:避免阴囊部位外伤。

9.令人窒息的扭绞——睾丸扭转

前因后果:睾丸扭转并不罕见,从新生儿到老年人均可发生,但以儿童和20~25岁的人发病率高。此扭断可能因睾丸坏死被切除。拖延时间越长,睾丸丧失

睾丸扭转示意图

功能的可能性就越大,到时即使睾丸不被切除,也常因缺血过久导致睾丸产生的精子功能受到破坏而出现睾丸萎缩,扭转的本质原因—般是生殖器官先天畸形。如果在运动、外伤、睡眠时刺激提睾肌,使之收缩增强,导致提睾肌纤维呈现螺旋状,加上睾丸的重量,特别是只有一个睾丸外露的隐睾者更易发此病。睾丸扭转易发生在夜晚或凌晨。

你的检查:突然你不能运动,感觉一侧阴囊肿胀、触痛,剧烈疼痛,疼痛波及到下腹部腹股沟或大腿;不仅如此,恶心、呕吐发热纷至沓来。

医生治疗:睾丸扭转的早期,用大约半个小时的“徒手复位”手术即能获得良效,但发病时间一长,只能手术治疗。通常在睾丸扭转六个小时后,会造成不可逆转的损害,以至于睾丸必须被切除。轻度的睾丸扭转当时疼痛很剧烈,但稍休息后就能迅速减轻,包扎后可进行一般性活动;一旦受到较重的撞、碰、捏等,会发生剧烈的疼痛,重者还会发生休克。如果不幸发生,治疗后还要请医生做精液常规检查,以了解病侧睾丸的功能,这一点对未婚男子尤为重要。

以防再犯:20~25岁男子如突然出现阴囊肿胀、疼痛,应考虑到睾丸扭转的可能,要及时去医院泌尿外科检查诊治。

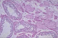
10.向身体挑战的肿瘤——睾丸癌

前因后果:睾丸癌是年轻男性高发的癌症之一,据

发生睾丸癌癌变的睾丸

统计显示,男性睾丸癌的发病率是十万分,且逐年增加,原因通常是恶性肿瘤转移造成。你的检查:在癌变之前无任何预兆的疼痛或者阴囊胀坠不适,大部分在洗澡的时候偶然摸到,若肿大硬实应立刻就诊。少数人可因为急性睾丸炎,使睾丸红肿热痛、全身畏寒

医生治疗:首先通过超声波检查发现一个疑似癌的肿瘤,并且几项肿瘤指标出现增高。一旦确定为,睾丸连同精索必须实施切除。通常很少两侧睾丸都出现癌变,所以生育能力会保留,即使肿瘤还未形成严重的转移,也要及早采取措施,避免恶化。一般来说,如果肿瘤还没有发生转移,治愈的几率是百分。即使癌细胞已经扩散,治愈的机会也要比许多其他癌症高百分到九十。

以防再犯:建议你时常摸摸睾丸,及早发现异常,得到医生确诊并及时治疗,这样治愈的几率较高。切记:时间就是生命。另外,原发性急性睾丸炎经医生治疗无效者,应考虑癌变的可能。睾丸富弹性,热胀冷缩,检查时间最好是热水浴以后,因为这时阴囊松弛。  

睾丸保养[编辑 | 编辑源代码]

睾丸有一层坚厚的纤维膜,将睾丸分成许多睾丸小叶。睾丸小叶内的精曲小管之间的结缔组织内有分泌男性激素的间质细胞,男子一旦进入到12-14岁的青春发育期后,间质细胞能生产大量的睾丸酮。

睾丸酮是雄性激素的主要成分,在人体内的生物效应极为重要。目前认为,睾丸酮水平随年龄增长而逐渐下降的原因,可能与人体的日常损耗和生活压力过大而导致睾丸系统技能老化相关。当雄性激素下降到一定程度时,便会出现暴躁、抑郁、易疲倦、性欲减退等症状,这便意味着进入了男性更年期。

睾丸保养是解决男人男性功能障碍的重要手段。男性可在洗澡时或睡前双手按摩睾丸,拇指轻捏睾丸顺时、逆时各按摩十分钟,长期坚持必有益处。如在按摩时发现有异疼痛感,可能为睾丸炎或附睾炎,请及时到医院检查。

睾丸酮

睾丸酮是雄性激素的主要成分,在人体内的生物效应极为重要,主要有以下几方面:

(1)新生儿时期,睾丸酮水平为一高峰,到青春期前下降至最低水平。

(2)青春期,睾丸酮水平升高。睾丸酮在血中浓度升高的年龄为12~17岁,此时也标志着男子的性功能已基本成熟,具备产生精子的能力和性欲的萌动。

(3)男子在20~30岁时,睾丸酮水平高达600μg/dl,同时显示为有节律的波动。即在一年中有周期性变化和每天中的节律性变化,成年男性睾丸酮水平在秋季时最高,春季时最低,每天的周期性节律性变化是清晨时最高,晚间最低。

(4)男子在40岁以后则开始下降,一般为400~200μg/dl。目前认为,睾丸酮水平随年龄增长而逐渐下降的原因,有研究表明可能与人体的日常损耗和生活压力过大而导致睾丸系统机能老化相关。当雄性激素下降到一定程度时,便会出现暴躁、抑郁、易疲倦、性欲减退等症状,这便意味着进入了男性更年期。  

睾丸是一样大小吗?[编辑 | 编辑源代码]

在正常男性中,双侧睾丸的大小不是完全相同的。据统计,右侧睾丸略大于左侧,以睾丸的长、宽、厚度计算,右侧平均为3.38cm X 2.37cm X 1.78cm,左侧平均为3.30cm X 2.27cm X 1.71cm。即使是同一个年龄组的人,睾丸的大小也有很大差别。但是在成年男性睾丸的体积在15ml以上,其功能都是正常的。

睾丸的测量方法比较简单,尤其是测量子比较法更为易行。其具体方法是:睾丸体积测量子为不同体积的形状,睾酮的椭圆形硬物,依次是1—25号。测量时将被测睾丸拉起,绷紧阴囊皮肤,将测量子与睾丸逐一比较,与睾丸大小最接近的测量子体积,即睾丸体积。了解自己睾丸正常时大小,有利于及时发现病变。正常人的睾丸,两侧是不等大的,但差别一般不太大。如果两侧睾丸过去大小基本相似,近期内突然出现一侧睾丸明显增大,应及时到医院进行检查。如在一侧睾丸增大的同时,伴有发热及局部疼痛,有可能是附睾炎或者睾丸炎。如睾丸增大不伴有任何症状,应考虑是否有睾丸肿瘤的可能,应及时检查,切不可粗心大意。  

睾丸疼痛怎么办[编辑 | 编辑源代码]

睾丸疼痛可大体上分为两种情况,急性的持续疼痛和慢性的经常性疼痛。 急性疼痛多见于睾丸炎和损伤。睾丸炎发生时,附睾与睾丸肿胀和疼痛,有些还有尿痛尿急脓尿等症状。睾丸损伤一般有外伤史和局部的肿胀及瘀血,睾丸除剧痛外并有阴囊肿大、皮肤水肿。如果急性睾丸疼痛没有得到及时治疗,就会变成慢性疼痛,疼痛较轻、泛化、具有放射性疼,所以不容易判断炎症的确切部位。

当你发现自己的睾丸疼痛,一般自己判断较为困难,千万不要自以为是乱用药,最好及早找专科医生求治,以免贻误病情。

参看[编辑 | 编辑源代码]