支气管扩张
支气管扩张症(bronchiectasis)多见于儿童和青年。大多继发于急、慢性呼吸道感染和支气管阻塞后,反复发生支气管炎症、致使支气管壁结构破坏,引起支气管异常和持久性扩张。临床表现主要为慢性咳嗽、咳大量脓痰和(或)反复咯血。最早于19世纪初由Laennec报道,1922年Sicacd行支气管造影证实,1950年Reid将造影与病理学检查结合起来。近年来随着急、慢性呼吸道感染的恰当治疗,其发病率有减少趋势。
病因和发病机理[编辑 | 编辑源代码]
支气管扩张的主要发因素为支气管-肺组织的感染和支气管阻塞感染引起管腔粘膜的充血、水肿,使管腔狭小分泌物易阻塞管腔,导致引流不畅而加重感染;支气管阻塞引流不畅会诱发肺部感染。故两者互相影响促使支气管扩张的发生和发展。先天生发育缺损及遗传因素引起的支气管扩张较少见。
多数患者在童年有麻疹百日咳或支气管肺炎迁延不愈的病史,以后常有呼吸道反复发作的感染。气管和主支气管扩张较少见,因为较大的支气管有完整的软骨环、呼吸道清除功能较好,且管径较大,肌层及弹力纤维也较厚,故不容易发生阻塞及支气管壁的严重破坏。肺段和亚段以下的小支气管管壁支架组织薄弱,管径小,容易发生痰液潴留和阻塞,而导致支气管扩张。
支气管扩张可分为先天性与继发性两种。先天性较少见,是由于先天性支气管发育不良,存在先天性缺陷或遗传性疾病,使肺的外周不能进一步发育,导致已发育支气管扩张,如支气管软骨发育不全(Williams-Camplen综合征)。有的病人支气管扩张在出生后发生,但也有先天异常的因素存在,如Kartagener综合征,患者除支气管扩张外可伴有内脏异位和胰腺囊性纤维化病变,它实际上属于纤毛无运动综合征(immotile cilia syndrome)的一个亚型。支气管扩张症也可见于Young综合征,该病特征为阻塞性精子缺乏,慢性鼻窦炎,反复肺部感染和支气管扩张。部分支气管扩张病人显示免疫球蛋白缺陷。IgG缺乏易于反复细菌感染,其中IgG2和IgG4缺乏更为重要。
继发性支气管扩张的主要发病因素是支气管和肺的反复感染、支气管阻塞以及支气管受到牵连,三种因素相互影响。儿童时期麻疹、百日咳、流行性感冒(某些腺病毒感染)或严重的肺部感染如肺炎克雷白杆菌、葡萄球菌、流感病毒、真菌、分枝杆菌以及支原体感染,使支气管各层组织尤其是平滑肌纤维和弹性纤维遭到破坏,黏液纤毛清除功能降低,削弱了管壁的支撑作用,吸气、咳嗽时管腔内压力增加,管腔扩张,而呼气时不能回缩,分泌物长期积存于管腔内,发展为支气管扩张;支气管肿瘤,支气管内膜结核引起的肉芽肿、瘢痕性狭窄,异物吸入(吸入性肺炎、吸入有害气体或硅石、滑石粉等颗粒)、黏液嵌塞或管外原因(如肿大的淋巴结、肿瘤压迫)均可使支气管腔发生不同程度的狭窄或阻塞,使远端引流不畅发生感染而引起支气管扩张;随病情进展,支气管周围纤维增生、广泛胸膜增厚以及肺不张、胸腔内负压对病肺的牵引,产生对支气管牵拉,同时由于局部防御机制和清除功能降低,反复感染使支气管壁肌层萎缩,软骨破坏、张力下降,在管壁外牵拉力作用下形成持久的扩张。
病理[编辑 | 编辑源代码]
本病在支气管组织解剖结构上呈现不可复原性的扩张和变形。支气管扩张肉眼检查可见支气管壁明显增厚,伴有不同程度的变形,管腔可呈囊、柱状或梭状扩张。扩张的管腔内常有粘液充塞、粘膜明显炎症及溃疡,支气管壁有不同程度破坏及纤维组织增生。显微镜下可见支气管壁淋巴细胞浸润或淋巴样结节,粘液腺及淋巴细胞非常明显。支气管粘膜的柱状上皮常呈鳞状上皮化生。支气管壁有不同程度的破坏,甚至不能
见到正常结构,仅见若干肌肉及软骨碎片。管壁上有中性粒细胞浸润,周围肺组织常有纤维化、萎陷或肺炎等病理改变。
一般炎症性支气管扩张多见于下叶。由于左侧总支气管较细长,与气管的交叉角度近于直角,因此痰液排出比右侧困难,特别是舌叶和下叶基底段更是易于引流不畅,导致继发感染,故左下叶支气管扩张较右下叶为多见。舌叶支气管开口接近下叶背支,易受下叶的感染,故左下叶与舌叶的支气管扩张常同时存在。支气管扩张在上叶尖支或后支者多数为结核性所致。伴随支气管行走的肺动脉可有血栓形成,有的已重新沟通。支气管动脉也可肥厚、扩张。支气管动脉及肺动脉间的吻合支明显增多。病变进展严重时,肺泡毛细血管广泛破坏,肺循环阻力增加,最后可并发肺源性心脏病、甚至心力衰竭。
临床表现[编辑 | 编辑源代码]
其典型症状为慢性咳嗽伴大量脓痰和反复咯血。慢性咳嗽伴大量脓性痰痰量与体位改变有关,如晨起或入夜卧床时咳嗽痰量增多,呼吸道感染急性发作时黄绿色脓痰明显增加,一日数百毫升,若有厌氧菌混合感染则有臭味。咯血可反复发生程度不等,从小量痰血至大量咯血,咯血量与病情严重程度有时不一致支气管扩张咯血后一般无明显中毒症状。若反复继发感染支气管引流不畅,痰不易咳出,可感到胸闷不适炎症扩展到病变周围的肺组织,出现高热、纳差盗汗、消瘦、贫血等症状。性重症支气管扩张的肺功能严重障碍时劳动力明显减退,稍活动即有气急、紫绀伴有杵状指(趾)。
患者的体征取决于病变范围及扩张程度,轻微的支气管扩张可无明显体征,一般在扩张部可听到大小不等的湿性罗音,其特点是持久存在。此外,可伴有阻塞性肺炎、肺不张或肺气肿的体征。在慢性病程的支气管扩张患者,可见杵状指、趾及全身营养较差的情况。
辅助检查[编辑 | 编辑源代码]
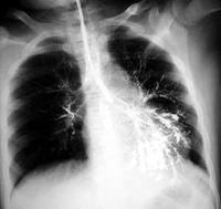
胸部X线[编辑 | 编辑源代码]
可见囊状支气管扩张的气道表现为显著的囊腔,腔内可存在气液平面。囊腔内无气液平面时,很难与大疱性肺气肿或严重肺间质病变的蜂窝肺鉴别。支气管扩张的其他表现为气道壁增厚,主要由支气管周围的炎症所致。由于受累肺实质通气不足、萎陷,扩张的气道往往聚拢,纵切面可显示为“双轨征”,横切面显示“环形阴影”。这是由于扩张的气道内充满了分泌物,管腔显像较透亮区致密,产生不透明的管道或分支的管状结构。但是这一检查对判断有无支气管扩张缺乏特异性,病变轻时影像学检查可正常。
支气管碘油造影[编辑 | 编辑源代码]
支气管碘油造影可明确支气管扩张的部位、性质和范围,为外科手术提供重要的资料。随着胸部CT,尤其是高分辨率CT(HRCT)的应用普及,支气管碘油造影的应用已经被HRCT取代了。因此,目前该项检查已经很少使用。
高分辨率CT[编辑 | 编辑源代码]
胸部HRCT诊断支气管扩张症的敏感性和特异性均达到了90%,是支气管扩张症的首选检查手段。普通胸部CT扫描也可诊断支气管扩张,但敏感性仅有66%。支气管扩张在HRCT上的特征性表现包括:支气管扩张,支气管管壁增厚,支气管由中心向外周逐渐变细的特点消失以及扩张气管内气液平的存在。当支气管内径大于相伴行走的支气管动脉时,可以考虑支气管扩张的诊断。
肺功能检查[编辑 | 编辑源代码]
由于肺脏具有极大的通气储备能力,病变比较局限的支气管扩张,患者的肺功能可以完全正常。若病变较为严重,主要表现为FEV1、最大通气量、FEV1/FVC及小气道用力呼气流速均降低,而残气量/肺总量比增高。支气管扩张发展到广泛性肺组织纤维化时,肺功能可出现弥散功能障碍。
诊断及鉴别诊断[编辑 | 编辑源代码]
(一)诊断
根据反复咯脓痰、咯血的病史和既往有诱发支气管扩张的呼吸道感染病史,HRCT显示支气管扩张的异常影像学改变,即可明确诊断为支气管扩张。纤支镜检查或局部支气管造影,可明确出血、扩张或阻塞的部位。还可经纤支镜进行局部灌洗,采取灌洗液标本进行涂片、细菌学和细胞学检查,进一步协助诊断和指导治疗。
(二)鉴别诊断
需与支气管扩张鉴别的疾病主要为慢性支气管炎、肺脓肿、肺结核、先天性肺囊肿、支气管肺癌和弥漫性泛细支气管炎等,仔细研究病史和临床表现,以及参考胸片、HRCT、纤维支气管镜和支气管造影的特征常可做出明确的鉴别诊断。下述要点对鉴别性诊断有一定参考意义:
- 慢性支气管炎:多发生在中年以上的患者,在气候多变的冬、春季节咳嗽、咳痰明显,多为白色黏液痰,感染急性发作时可出现脓性痰,但无反复咯血史。听诊双肺可闻及散在干湿啰音。
- 肺脓肿:起病急,有高热、咳嗽、大量脓臭痰;X线检查可见局部浓密炎症阴影,内有空腔液平。急性肺脓肿经有效抗生素治疗后,炎症可完全吸收消退。若为慢性肺脓肿则以往多有急性肺脓肿的病史。
- 肺结核:常有低热、盗汗、乏力、消瘦等结核毒性症状,干湿啰音多位于上肺局部,X线胸片和痰结核菌检查可作出诊断。
- 先天性肺囊肿:X线检查可见多个边界纤细的圆形或椭圆阴影,壁较薄,周围组织无炎症浸润。胸部CT检查和支气管造影可助诊断。
- 弥漫性泛细支气管炎:有慢性咳嗽、咳痰、活动时呼吸困难,常伴有慢性鼻窦炎,胸片和胸部CT显示弥漫分布的小结节影,大环内酯类抗生素治疗有效。
治疗[编辑 | 编辑源代码]
支扩急性加剧确诊后应给予抗生素、治疗基础病、减轻炎症反应、促进支气管卫生、控制出血、损害严重的叶段炎症或出血灶可手术切除。威胁生命的大咯血( 每天> 600ml) 要紧急处理。通过气管内插管,支气管镜或肺部CT以确定出血的肺叶或部位并令患者患侧卧位。有条件医院可行支气管动脉栓塞术。必要时仍可手术切除怀疑出血的部位。
治疗基础疾病[编辑 | 编辑源代码]
对活动性肺结核伴支气管扩张应积极抗结核治疗,低免疫球蛋白血症可用免疫球蛋白替代治疗。
控制感染[编辑 | 编辑源代码]
出现痰量及其脓性成分增加等急性感染征象时需应用抗生素。可依据痰革兰染色和痰培养指导抗生素应用,但在开始时常需给予经验治疗(如给予氨苄西林、阿莫西林或头孢克洛)。存在铜绿假单胞菌感染时,可选择口服喹诺酮类,静脉给予氨基糖苷类或第三代头孢菌素。对于慢性咯脓痰的患者,除使用短程抗生素外,还可考虑使用疗程更长的抗生素,如口服阿莫西林或吸人氨基糖苷类,或间断并规则使用单一抗生素以及轮换使用抗生素。
改善气流受限[编辑 | 编辑源代码]
支气管舒张剂可改善气流受限,并帮助清除分泌物,伴有气道高反应及可逆性气流受限的患者常有明显疗效。
清除气道分泌物[编辑 | 编辑源代码]
化痰药物,以及振动、拍背和体位引流等胸部物理治疗均有助于清除气道分泌物。为改善分泌物清除,应强调体位引流和雾化吸人重组脱氧核糖核酸酶、后者可通过阻断中性粒细胞释放DNA降低痰液黏度。
外科治疗[编辑 | 编辑源代码]
近年手术治疗支扩明显减少。手术目的是切除阻塞的肿瘤或异物的残留物,切除最严重损伤段或叶的分泌物,黏液嵌塞或黏液栓;切除顽固性出血区;切除可能有难治性病原菌如多耐药结核分枝杆菌或鸟胞内综合型分枝杆菌感染的受损肺部。术后平均随访4~6年认为90%以上患者症状改善,围手术期死亡率低于3%。双肺移植可用于囊性纤维化和呼吸衰竭患者,其一年生存率为75%,五年生存率48%。其它类型的支扩肺移植无效。
宜食物品[编辑 | 编辑源代码]
支气管扩张之人,适宜服食“肺热型咳嗽”和“肺燥型咳嗽”中所说的食品,诸如梨、罗汉果、柿、枇杷、无花果、荸荠、萝卜、冬瓜、丝瓜、薄荷、胖大海、蕺菜、海蜇、豆腐、白菊花、金银花、百合、甘蔗、豆浆、蜂蜜、饴糖、白木耳、柿霜、北沙参、海松子、花生、柑、橙、芹菜、茭白、蕹菜、菊花脑、菠菜、莴苣、茼蒿、枸杞头、马兰头、藕、地瓜、黄瓜、绿豆芽、田螺、螺蛳、香蕉、苦瓜、番茄、竹笋、瓠子、菜瓜、海带等食品。
预防常识[编辑 | 编辑源代码]
支气管扩张症的治疗,主要是感染的防和治,防治感染的关键在于加强呼吸道痰液的引流,并根据感染的病原菌适当选用抗生素,必要时亦可进行支气管冲洗局部给药,湿化呼吸道及应用祛痰药物,亦可根据扩张的支气管部位进行体位引流。大咯血时必须积极抢救,防止窒息。对于反复发生呼吸道感染或大咯血的病人,经支气管造影或CT检查显示支气管扩张范围较局限(一般不超过二个肺叶),心肺功能无严重障碍者可做肺叶切除,效果较好。积极防治呼吸道感染(尤其是幼年期)对预防支气管扩张的发生具有重要意义。已患支气管扩张者,应锻炼身体,努力增强体质,坚持体位排痰及戒烟、减少尘埃吸入,预防感冒等防止支气管扩张的发展。
参看[编辑 | 编辑源代码]
- 《医学影像学》- 支气管扩张症
- 《老年百病防治》- 支气管扩张症
- 《放射诊断学》- 支气管扩张症
- 《呼吸病学》- 支气管扩张症
- 《默克家庭诊疗手册》- 支气管扩张症
- 《胸外科学》- 支气管扩张
- 《家庭医学百科·医疗康复篇》- 支气管扩张
- 《病理学》- 支气管扩张
参考文献[编辑 | 编辑源代码]
- 《内科学》人民卫生出版社第七版医学教材.陆再英、钟南山主编
- 《希氏内科学》第22版
- 《协和呼吸病学》第2版.蔡柏蔷、李龙芸主编
- 支气管扩张症的诊治进展.国际呼吸杂志2006年第26卷第9期Int J Respir, Sep. 2006, Vol. 26. No. 9
