支气管结石

来自医学百科
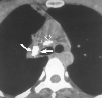
Bk95r.jpg

  

支气管结石[编辑 | 编辑源代码]

支气管结石病;bronchial calculus 支气管结石指位于支气管腔内或侵蚀到腔内的钙化团块,可引起严重的支气管刺激和阻塞症状

病因: 形成结石的原因有:1.异物吸引或感染分泌物构成结石的核心,外被钙盐沉积而逐步形成结石。

2.肺门淋巴结钙化或肺内钙化灶侵蚀支气管并进入支气管腔内形成,临床最多见。

3.支气管软骨脱落后进入支气管腔内形成。

临床表现:虽然仅很少数病人会咳出结石,但多数支气管结石病人有症状,是由于结石对支气管黏膜的机械刺激和结石对支气管梗阻引起。最常见症状是迁延性严重的咳嗽, 通常持续数年,常用治疗不能缓解,如果有肺部感染健康,会伴有大量脓痰,咯血是由于病变直接侵蚀血管,或侵蚀支气管受侵部位形成的肉芽组织所致,不像支气管扩张所见的那样咯血罕见致命。支气管结石阻塞后可闻及喘鸣音另可有慢性咳脓痰,严重可引起阻塞性肺炎肺不张、继发支气管扩张。

影像学表现:肺门有钙化的淋巴结阴影。钙化的位置和数目在不同时间照片上可有变化。结石阻塞支气管后可发生阻塞性肺炎或肺不张。相应的肺组织内有斑片状阴影,体积缩小。结石阻塞的支气管远端发生支气管粘液栓塞后形成柱状、“V”型或“Y”型致密阴影。

治疗:1.支气管镜取石, 在并发症出现之前应采用内镜取石。Cole等建议取出结石时,要避免暴力或撕拉,支气管灌洗有助于将结石与支气管壁分开。正如Faber所提出的,目前的治疗方案是开胸手术,实际上Faber等建议非手术治疗的病人仅限于“病人已咳出支气管结石或内镜已取出结石者”,如果暴力或撕拉邻近肺血管或食管的结石,在取出过程中可能发生意外。

2.手术的适应证 包括并发支气管扩张、慢性阻塞性肺炎、反复咯血和远端产生脓痰的支气管狭窄。术中尽量保留正常肺组织,但最大限度去除支气管结石和远端支气管扩张,手术病例中分离血管可能发生意外,最好在分离远端以前满意地控制肺动脉

预后: 目前暂无相关资料