二尖瓣狭窄

来自医学百科
Bk8rf.jpg

绝大多数二尖瓣狭窄(mitral stenosis)是风湿热后遗症。极少数为先天性狭窄或老年性二尖瓣环或环下钙化。二尖瓣狭窄患者中2/3为女性。主要有药物治疗及手术治疗。  

病因及发病机制[编辑 | 编辑源代码]

正常二尖瓣质地柔软,瓣口面积约4~6cm2。当瓣口面积减小为1.5~2.0cm2时为轻度狭窄;1.0~1.5cm2时为中度狭窄;<1.0cm2时为重度狭窄;二尖瓣狭窄后的主要病理生理改变是舒张期血流由左心房流入左心室时受限,使得左心房压力异常增高,左心房与左心室之间的压力阶差增加,以保持正常的心排血量。左心房压力的升高可引起肺静脉和肺毛细血管压力的升高,继而扩张和淤血。此时患者休息时可无明显症状,但在体力活动时,因血流增快,肺静脉和肺毛细血管压力进一步升高,即刻出现困难,咳嗽,紫绀,甚至急性肺水肿。肺循环血容量长期超负荷,可导致肺动脉压力上升。长期肺动脉高压,使肺小动脉痉挛而硬化,并引起右心室肥厚和扩张,继而可发生右心室衰竭。此时肺动脉压力有所降低,肺循环血流量有所减少,肺瘀血得以缓解。

单纯二尖瓣狭窄时,左心室舒张末期压力和容积正常。多数二尖瓣狭窄患者运动左心室射血分数升高,收缩末期容积减低。约有四分的二尖瓣狭窄严重者出现左心室功能障碍,表现为射血分数和其它收缩功能指数的降低,这可能是慢性前负荷减小的结果。多数二尖瓣狭窄的患者静息心排血量在正常范围,运动时心排血量的增加低于正常;少数严重狭窄者静息心排血量低于正常,运动时心排血量不增加反而降低,其主要原因除了二尖瓣狭窄外,还有左右心室功能均已受损。此外,由于左心房扩大,难于维持正常的心电活动,故常发生心房颤动。心室率快的快速心房颤动可使肺毛细血管压力上升,易加重肺淤血或诱发肺水肿。  

病理变化[编辑 | 编辑源代码]

病理变化先瓣膜交界处和基底部炎症水肿赘生物形成,

二尖瓣狭窄

由于纤维化和(或)钙质沉着,瓣叶广泛增厚,粘连,腱索融合,缩短,瓣叶僵硬,导致瓣口变形和狭窄,狭窄显著时成为一个裂隙样的孔。按病变程度分为隔膜型和漏斗型。隔膜型主瓣体无病变或病变较轻,活动尚可;漏斗型瓣叶明显增厚和纤维化,腱索和乳头肌明显粘连和缩短,整个瓣膜变硬呈漏斗状,活动明显受限。常伴有不同程度的关闭不全。瓣叶钙化进一步加重狭窄,并可引起血栓形成和栓塞。先天性的二尖瓣狭窄,其瓣叶增厚、交界融合、腱索增厚或缩短、乳头肌肥厚或纤维化,瓣上可有狭窄环、瓣下可有纤维带。最具特征性是只有一个乳头肌的二尖瓣降落伞状畸形,两个瓣叶的腱索都连接在此乳头肌上,整个瓣膜开加降落伞。  

临床表现[编辑 | 编辑源代码]

(一)症状

通常情况下,从初次风湿性心脏炎到出现明显二尖瓣狭窄的症状可长达10年;此后10~20年逐渐丧失活动能力。

1.呼吸困难:劳动力性呼吸困难为最早期的症状,主要为肺的顺应性降低所致。随着病程发展,日常活动即可出现呼吸困难,以及端坐呼吸,当有劳累,情绪激动,呼吸道感染性交妊娠或快速心房颤动等诱因时,可诱发急性肺水肿

2.咳嗽:多在夜间睡眠时及劳动后。多为干咳;并发支气管炎肺部感染时,咳粘液样或脓痰。左心房明显扩大压迫支气管亦可引起咳嗽。

3.咯血:①痰中带血或血痰,与支气管炎,肺部感染,和肺充血毛细血管破裂有关;常伴夜间阵发性呼吸困难;二尖瓣狭窄晚期出血肺梗塞时,亦可咯血痰;②大量咯血,是由于左心房压力突然增高,以致支气管静脉破裂出血造成。多见于二尖瓣狭窄早期,仅有轻度或中度肺动脉增高的患者。③粉红色泡沫痰,为毛细血管破裂所致,属急性肺水肿的特征。

二尖瓣狭窄

4.胸痛:约有15%的二尖瓣狭窄患者有胸痛表现,可能是由于肥大的右心室壁张力增高,同时心排血量降低致右心室缺血引起。经二尖瓣分离术或扩张术后可缓解。

5.血栓栓塞:20%的二尖瓣狭窄患者在病程中发生血栓栓塞,其中80%有心房颤动。栓塞可发生在脑血管冠状动脉肾动脉,部分病人可反复发生。或为多发生性栓塞。

6.其它症状:左心房扩大和左肺动脉扩张可压迫左喉返神经,引起声音嘶哑;左心房显著扩大可压迫食道,引起吞咽困难;右心室衰竭时可出现食欲减退腹胀恶心等症状。

(二)特征

1.心脏听诊心尖舒张中晚期低调的隆隆样杂音,呈递增型,局限性,左侧卧位时明显,可伴有舒张期震颤。心尖区第一心音亢进,呈拍击样。可在80%~85%的患者胸骨左缘3~4肋间或心尖区内侧闻及二尖瓣开瓣音(openingsnap,os),此音紧跟第二心音后,高调短促而响亮,呼气时明显,是隔膜瓣膜口的主瓣(二尖瓣前叶)在开放时发生震颤所致,拍击样第一心音和二尖瓣开瓣音的存在,高度提示二尖瓣狭窄以及瓣膜仍有一定的柔顺性和活动力,有助于隔膜型二尖瓣狭窄的诊断,对决定手术治疗的方法有一定的意义。由于肺动脉高压,可出现肺动脉瓣第二心音亢进和分裂。严重肺动脉高压时,可在胸骨左缘第2~4肋间闻及一高调,递减型的舒张早中期杂音,呈吹风样,沿胸骨左缘向三尖瓣传导,吸气时增强。此乃由于肺动脉及其瓣环的扩张,造成相对性肺动脉瓣关闭不全的杂音(graham-settll杂音)。有时还可听到肺动脉瓣收缩早期喀喇音,此音呼气时明显,吸气时减轻。严重的二尖瓣狭窄患者,由于肺动脉高压,右心室扩大,引起三尖瓣瓣环的扩大,导致相对性三尖瓣关闭不全。右心室收缩时部分血流通过三尖瓣口返流到右心房,因而出现三尖瓣区全收缩期吹风样杂音,向心尖区传导,吸气时明显。

2.其他体征:二尖瓣面容见于严重二尖瓣狭窄的患者,由于心排血量减低,患者两颧呈紫红色,口唇轻度紫绀。四肢末梢亦见发绀。儿童期发生二尖瓣狭窄者,心前区可见隆起,左乳头移向左上房,并有胸骨左缘处收缩期抬举样搏动,中度以上狭窄患者心脏浊音界在胸骨左缘第三肋间向左扩大,表示肺动脉和右心室增大。颈静脉搏动明显,表明存在严重肺动脉高压。 

诊断[编辑 | 编辑源代码]

一.病史、症状:最早出现的症状为夜间阵发性呼吸困难,严重时端坐呼吸;极重者可产生肺水肿,咳嗽,咳粉红色泡沫样痰,多于睡眠或活动后加重,可伴有咳痰,痰中带血,咯血,随着病情进展,出现下肢浮肿、尿少时,则呼吸困难可减轻。

二.体检发现:二尖瓣面容,口唇轻度紫绀。心前区隆起,心尖部可触及舒张期细震颤,心界于第三肋间向左扩大。心尖部s1亢进,呈拍击性,在胸骨左缘ⅲ~ⅳ肋间至心尖内上方可闻及开拍音,若瓣叶失去弹性则亢进的s1及开瓣音可消失;心尖部可闻及舒张中、晚期隆隆样杂音,呈递增性,以左侧卧位,呼吸末及活动后杂音更明显;肺动脉瓣p2音亢进伴分裂;在肺动脉瓣区胸骨左缘ⅱ~ⅲ肋间闻短促的舒张早期泼水样杂音,(graham-steell杂音)深吸气时加强。

三.辅助检查:

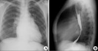
(一)X线检查:最早的改变是左心缘的左心房弧度明显,肺动脉主干突出,肺静脉增宽,右前斜位钡剂透视可见扩张的左心房压迫食道。病变严重时,左心房和右心室明显增大,后前位片示心影右缘呈双重阴影,肺门阴影加深,主动脉弓较小。左心室一般不大。当左心房压力达2.7kPa(20mmHg)时,中下肺可见KerleyB线。长期肺淤血后含铁血黄素沉积,双下肺野可出现散在的点状阴影。老年患者常有二尖瓣钙化,青壮年亦不少见。

二尖瓣狭窄

(二)心电图检查轻度二尖瓣狭窄者心电图可正常。特征性的改变为P波增宽且呈双峰形,提示左心房增大。合并肺动脉高压时,显示右心室增大,电轴右偏。病程晚期常合并心房颤动。

(三)超声心动图检查:是最敏感和特异的无创性诊断方法,对确定瓣口面积和跨瓣压力阶差,判断病变的程度,决定手术方法以及评价手术的疗效均有很大价值。二维超声心动图上可见二尖瓣前后叶反射增强,变厚,活动幅度减小,舒张期前叶体部向前膨出呈气球状,瓣尖的前后叶距离明显缩短,开口面积减小。M型超声可见舒张期充盈速率下降,正常的双峰消失,E峰后曲线下降缓慢,二尖瓣前叶,后叶于舒张期呈从属于前叶的同向运动,即所谓城垛样改变。左心房扩大,右心室肥大及右心室流出道变宽。多普勒超声显示缓慢而渐减的血流通过二尖瓣。示舒张期二尖瓣前叶穹形改变,左心房及左心室增大。

(四)放射性核素检查:放射性核素血池显像示左心房扩大,显象剂浓聚和通过时间延长,左心室不大。肺动脉高压时,可见肺动脉主干和右心室扩大。

(五)右心导管检查:右心室,肺动脉及肺毛细血管压力增高,肺循环阻力增大,心排血量减低。穿刺心房间隔后可直接测定左心房和左心房的压力,二尖瓣狭窄早期舒张期跨瓣压力阶差正常,随着病情加重,压力阶差增大,左心房收缩时压力曲线呈高大的a波。

鉴别诊断[编辑 | 编辑源代码]

发现心尖区隆隆样舒张期杂音并有左心房扩大,即可诊断二尖瓣狭窄,超声心动图检查可明确诊断。临床上二尖瓣狭窄应与下列情况的心尖区舒张期杂音鉴别:

(一)急性风湿性心脏炎心尖区有高调,柔和的舒张早期杂音,每日变化较大,风湿活动控制后,杂音可消失。这是因为心室扩大,二尖瓣相对狭窄所致,即Carey-Coombs杂音。

(二)“功能性”二尖瓣狭窄见于各种原因所致的左心室扩大,二尖瓣口流量增大,或二尖瓣在心室舒张期受主动脉返流血液的冲击等情况,如大量左至右分流的动脉导管未闭心室间隔缺损主动脉瓣关闭不全等,此杂音历时较短,无开瓣音,性质较柔和,吸入亚硝酸异戊酯杂音减低,应用升压药后杂音加强。

(三)左房粘液瘤为心脏原发性肿瘤中最常见者。临床症状和体征与二尖瓣狭窄相似,但呈间歇性,随体位而变更,一般无开瓣音而可听到肿瘤扑落音,心房颤动少见而易有反复的周围动脉栓塞现象。超声心动图表现为二尖瓣后面收缩期和舒张期均可见一团云雾状回声波。心导管检查显示左心房压力明显升高,选择性造影示左心房内充盈缺损。后者目前已少用,因有促使瘤栓脱落的可能。

(四)三尖瓣狭窄胸骨左缘下端闻及低调的隆隆样舒张期杂音,吸气时因回心血量增加可使杂音增强、呼气时减弱。窦性节律时颈静脉a波增大。二尖瓣狭窄舒张期杂音位于心尖区,吸气时无变化或减弱。超声心动图可明确诊断。

(五)原发性肺动脉高压多发生于女性患者,无心尖区舒张期杂音和开瓣音,左心房不扩大,肺动脉术嵌压和左心房压力正常。  

并发症[编辑 | 编辑源代码]

(一)心律失常:以房性心律失常最多见,先出现房性早搏,以后房性心动过速心房扑动,阵发性心房颤动直至持久性心房颤动。左心房压力增高导致的左心房扩大和风湿炎症引起的左心房壁纤维化是心房颤动持续存在的病理基础。心房颤动降低心排血量,可诱发或加重心力衰竭。出现心房颤动后,心尖区舒张期隆隆杂音的收缩期前增强可消失,快速心房颤动时心尖区舒张期隆隆杂音可减轻或消失,心率减慢时又明显或出现。

(二)充血性心力衰竭急性肺水肿:50%~75%的患者发生充血性心力衰竭,为二尖瓣狭窄的主要死亡原因。呼吸道感染是心力衰竭的常见诱因,在女性患者中妊娠和分娩亦常诱发心力衰竭。急性肺水肿是重度二尖瓣狭窄的急重并发症,多发生于剧烈体力活动,情绪激动,感染,突发心动过速或快速心房颤动时,在妊娠和分娩时更易诱发。上述情况下心室率明显加快,左心室舒张充盈时间缩短;肺循环血量增加;左心房压力明显升高,导致肺毛细血管压力增高,血浆渗出至组织间隙或肺泡内,从而引起急性肺水肿。

(三)栓塞:以脑栓塞最常见,亦可发生于四肢、肠、肾和脾等脏器,栓子多来自扩大的左心耳伴心房颤动者。右心房来源的栓子可造成肺栓塞或肺梗塞。

(四)肺部感染:本病患者常有肺静脉压力增高及肺淤血,易合并肺部感染。出现肺阔别感染后往往加重或诱发心力衰竭。

(五)亚急性感染性心内膜炎:较少见。  

治疗[编辑 | 编辑源代码]

(一)代偿期治疗:适当避免过度的体力劳动及剧烈运动,保护心功能;对风湿性心脏病患者应积极预防链球菌感染与风湿活动以及感染性心内膜炎

(二)失代偿期治疗:出现临床症状者,宜口服利尿剂并限制钠盐摄入。右心衰竭明显或出现快速心房颤动时,用洋地黄类制剂可缓解症状,控制心室率。出现持续性心房颤动一年以内者,应考虑药物或电复律治疗。对长期心力衰竭伴心房颤动者可采用抗凝治疗,以预防血栓形成和动脉栓塞的发生。

治疗的关闭是解除二尖瓣狭窄,降低跨瓣压力阶差。常采用的手术方法有:

经皮穿刺二尖瓣球囊分离术[编辑 | 编辑源代码]

这是一种介入性心导管治疗技术,其适应证为单纯二尖瓣狭窄。此方法能使二尖瓣口面积扩大至2.0cm2以上,明显降低二尖瓣跨瓣压力阶差和左心房压力,提高心脏指数,有效地改善临床症状。经皮穿刺二尖瓣球囊分离术不损害瓣下结构,操作熟练者,亦可避免并发症的发生;并且不必开胸,较为安全,患者损伤小,康复快,近期疗效已肯定。

经皮二尖瓣球囊成形术[编辑 | 编辑源代码]

经皮二尖瓣球囊成形术(percutaneousballoonmitralvalvuloplasty,PBMV)是利用球囊扩张的机械力量使粘连的二尖瓣叶交界处分离,以缓解瓣口狭窄程度。根据所用扩张器械的不同可分为Inoue球囊法,聚乙烯单球囊法、双球囊法及金属机械扩张器法。目前临床普遍应用的是Inoue球囊法。

二尖瓣狭窄

目前,以Inoue球囊法应用最广,约占90%,是目前最为常用的技术。自1984年日本心外科医生井上宽治(DR.KanjiInoue)首先在临床开展以来,此项技术在全世界各大医疗机构迅速推广,成为瓣膜病介入治疗中应用最为广泛的技术之一。目前,全世界约有5万以上的患者接受了此项治疗,患者主要集中在亚洲,北美,欧洲等地区,以中国,印度,日本,美国,法国等国开展较多。自此项技术开展以来,技术不断发展,从扩张器的形态到导管置放的方法均有许多革新与改进,直到目前技术的基本成熟,几次主要的发展如下:1982年Inoue采用自制橡胶尼龙夹层单球囊首先应用于临床;1984年Inoue首次公开报道采用改进后的球囊扩张的一组病例;1985年Lock等采用聚乙烯单球囊法获得成功;1986年AlZaibag等报道双球囊法的成功应用,同年Babic报道经动脉逆行插管非房间隔穿刺法获得成功;1997年Cribier等采用金属机械扩张器扩张二尖瓣狭窄获得成功。几种目前临床常用方法的优缺点如下:

1.Inoue球囊法主要优点是操作简便,适应症广,主要不足是费用较贵。

2.聚乙烯双球囊法主要优点是可以避免心脏一过性血流停止,主要缺点是操作复杂。

3.机械扩张器法主要优点是可重复使用,费用低,主要缺点是并发症较多。

近20年来,应用Inoue球囊开展PBMV术在我国获得广泛应用,目前在许多基层医院都已经广泛开展。根据国内200多家医院的统计结果,目前我国共完成PBMV术接近1万5千余例,且大多采用Inoue球囊技术,技术成功率稳定在95.2%~99.3%之间,严重并发症控制在1%以下,3~5年再狭窄率在15%~31%左右。以其无创,并发症少,受到广大患者的欢迎。我国有300多万的风湿性二尖瓣狭窄的患者,其中很大一部分适合采用PBMV术治疗,其进一步普及意义重大。目前许多国产球囊已在临床投入使用,效果满意。

适应证与禁忌证:一般讲,所有有症状的二尖瓣狭窄的患者均为PBMV的适应症。但由于合并其他情况不同以及个人自身条件和瓣膜条件不同,其术后近、远期效果可能不同,PBMV术的适应症可分为理想适应证和相对适应证。

 1.理想适应证

  1. 二尖瓣口面积≤1.5cm2,瓣膜柔软,无钙化和瓣下结构异常(Wilkins超声计分<8min);
  2. 窦性心律,无体循环栓塞史;
  3. 不合并二尖瓣关闭不全及其他瓣膜病变;
  4. 无风湿活动;
  5. 年龄在50岁以下;
  6. 有明确临床症状,心功能为NYHAⅡ~Ⅲ级者。

2.相对适应证:二尖瓣口面积≤1.5cm2,合并下列情况者:

  1. 二尖瓣叶弹性较差及钙化,Wilkins超声计分>8min,或透视下二尖瓣有钙化者;
  2. 外科闭式分离术后或PBMV术后再狭窄者;
  3. 合并轻度二尖瓣关闭不全或主动脉瓣关闭不全;
  4. 心房颤动患者食管超声心动图证实无左心房血栓(需抗凝治疗4~6周);
  5. 合并仅限于左心房耳部机化血栓或无左心房血栓的证据,但有体循环栓塞史者(需抗凝治疗4~6周);
  6. 高龄患者(需行冠状动脉造影);
  7. 合并中期妊娠患者;
  8. 合并急性肺水肿患者;
  9. 合并其他可施行介入性治疗的先天性心血管畸形患者,如房间隔缺损、动脉导管未闭、肺动脉瓣狭窄肺动静脉瘘等;
  10. 合并其他不适合外科手术情况的患者,如心肺功能差或因气管疾患等不宜手术麻醉者;
  11. 合并其他心胸畸形如右位心或明显脊柱侧弯者;
  12. 已治愈的感染性心内膜炎且经超声心动图证实无瓣膜赘生物者。

 3.禁忌证

  1. 合并左心房新鲜血栓者;
  2. 有活动性风湿病者;
  3. 未控制的感染性心内膜炎或有其他部位感染疾患者;
  4. 合并中度以上的二尖瓣关闭不全、主动脉瓣关闭不全及狭窄者;
  5. 瓣膜条件极差,合并瓣下狭窄,Wilkins超声计分>12分者。

人工瓣膜替换术[编辑 | 编辑源代码]

指征为:心功能在3~4级,伴有明显二尖瓣关闭不全和(或主动脉瓣病变且左心室增大;瓣膜严重钙化以致不能分离修补;钙化粥样瘤引起狭窄者。常用机械瓣生物瓣。机械瓣经久耐用,不致钙化或感染,但须终身抗凝治疗;伴有溃疡病或出血性疾病者忌用。生物瓣不需抗凝治疗,但可因感染性心内膜炎或数年后瓣膜钙化或机械性损伤而失效。  

预防[编辑 | 编辑源代码]

风湿性心瓣膜病二尖瓣狭窄主要由于反复风湿热发作引起,故此,预防风湿热反复发作是阻止本病产生及发展的关键。慢性风湿性二尖瓣狭窄早期多无明显症状,如有活动后心慌气喘患者应尽早到医院诊治,以利于早发现、早治疗,如已明确有二尖瓣狭窄的患者,应定期就医,及时治疗。单纯二尖瓣狭窄可行闭式二尖瓣扩张术。合并二尖瓣关闭不全行瓣膜置换术

对于由风湿病所引起的二尖瓣狭窄,其预防措施主要有以下几点:

1.风湿热应早期诊断、治疗。

2.防治咽部链球菌感染,风湿活动复发。

3.预防感染性心内膜炎。注意口腔卫生,坚持定期剧牙、洁牙等。进行耐寒锻炼,及时治疗上感及其它链球菌感染。

4.失代偿期:适当休息,限制钠盐摄入,口服利尿药改善状态  

护理保健[编辑 | 编辑源代码]

①注意心率、心律的变化。

②注意口腔卫生,及时处理隐藏的病灶。

③注意保暖,尽量避免上呼吸道感染

④卧床时间较长的病人,咳嗽有痰时,需协助多翻身,拍背,更换体位,以利痰液咳出。并及时给予药物治疗,以免发生肺炎

⑤定期门诊随访复查。

参看[编辑 | 编辑源代码]