肘关节脱位
肘关节脱位占全身四大关节脱位总数的一半。构成肘关节的肱骨下端呈内外宽厚,前后薄扁。侧方有坚强的韧带保护,关节囊前后部相当薄弱。肘关节的运动,主要为屈伸。尺骨冠状突较鹰嘴突小。因此对抗尺骨向后移动的能力要比对抗向前移动的能力差。所以肱关节后脱位远比其它方向的脱位较为常见。新鲜脱位经早期正确诊断及适当处理后,不会遗有明显的功能障碍。如早期未能得到及时正确的处理,则可能导致晚期严重的功能障碍。此时无论何种精心治疗,都难以恢复正常功能,而仅仅是得到不同程度的功能改善而已。
病因学[编辑 | 编辑源代码]
肘关节后脱位最为常见,大多发生于青壮年,由传达暴力和杠杆作用所造成。跌倒时用手撑地,关节在半伸直位,作用力沿尺、桡骨长轴向上传导,使尺、桡骨上端向近侧冲击,并向上后方移位。当传达暴力使肘关节过度后伸时,尺骨鹰嘴冲击肱骨下端的鹰嘴窝,产生一种有力的杠杆作用,使止于喙突上的肱前肌和肘关节囊前壁撕裂。肱骨下端继续前移,尺骨鹰嘴向后移,形成肘关节后脱位。由于暴力方向不同,尺骨鹰嘴除向后移位外,有时还可向内侧或外侧移位,有些病例可合并喙突骨折。肱前肌被剥离,以致形成血肿,肘关节脱位可合并肱骨内上髁骨折,有时骨折片嵌在关节内阻碍复位,可有尺神经损伤。
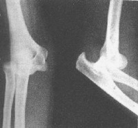
影像学表现[编辑 | 编辑源代码]
肱骨远端与桡、尺骨近端的关节对位关系发生分离。以肱骨远端为标准点,桡尺骨近端向后上方移位为后脱位,向前下方移位为前脱位,向侧方移位为侧方脱位。以肘关节后脱位为最常见。
临床表现[编辑 | 编辑源代码]
1.脱位的特殊表现 肘部明显畸形,肘窝部饱满,前臂外观变短,尺骨鹰嘴后突,肘后部空虚和凹陷。关节弹性固定于120~140度,只有微小的被动活动度。肘后骨性标志关系改变,在正常情况下肘伸直位时,尺骨鹰嘴和肱骨内、外上髁三点呈一直线;屈肘时则呈一等腰三角形。脱位时上述关系被破坏,肱骨髁上骨折时三角关系保持正常,此征是鉴别二者的要点。
2.肘关节脱位的合并症 后脱位有时合并尺神经伤及其它神经伤、尺骨喙突骨折,前脱位时多伴有尺骨鹰嘴骨折等。
3.X线检查 肘关节正侧位片可显示脱位类型、合并骨折情况,并与髁上骨折相区别。
诊断[编辑 | 编辑源代码]
有外伤史,以跌到手掌撑地最多见。患处肿、痛、不能活动,患者以健手托住患侧前臂,肘关节处于半伸直位,被动运动时伸不直肘部。肘后空虚感,可摸到凹陷处。肘部三点关系完全破坏,失去正常关系。X线检查可确诊。
自我诊断[编辑 | 编辑源代码]
在全身的关节脱位中,肘关节脱位最常见。多见于青壮年,常发生在跌倒时,肘关节伸直前臂旋后位手掌着地,使肘关节过度后伸所致。
肘关节脱位时除肘部肿胀、疼痛、伸屈活动受限外,还可见有肘部明显畸形,在肘前方可摸到肱骨下端,在肘后可触及尺骨鹰嘴。肘关节呈所谓“靴状”畸形,而且肘关节常在弹性固定于半伸位。
肘关节脱位,有时可合并关节附近骨折,甚至并发血管和神经损伤,应予以重视。
治疗措施[编辑 | 编辑源代码]
1.新鲜肘关节后脱位
手法复位,多用牵引复位法。在臂丛麻醉下,术者一手握住伤肢前臂、旋后,使肱二肌松弛后进行牵引,助手作反牵引,先纠正侧方移位,再在继续牵引下屈曲肘关节,同时将肱骨稍向后推,复位时可感到响声,如已复位,关节活动和骨性标志即恢复正常,如果一人操作,可用膝肘复位法或椅背复位法。
注意事项:复位前应检查有无尺神经损伤,复位时应先纠正侧方移位,有时要先将肘稍过伸牵引,以便使嵌在肱骨鹰嘴窝内的尺骨喙突脱出,再屈肘牵引复位,若合并肱骨内上髁骨折,肘关节复位后,肱骨内上髁多可随之复位;但有时骨折片嵌入肱尺关节间隙,可高度外展前臂,利用屈肌的牵拉作用将骨折片拉出。
复位后的处理:复位后,用石膏或夹板将肘固定于屈曲90度位,3~4周后去除固定,逐渐练习关节自动活动,要防止被动牵拉,以免引起骨化肌炎。
肘关节脱位合并肱骨内上髁骨折或桡骨小头骨折,手法复位失败者,可行手术复位;成人可作桡骨小头切除。
2.陈旧性脱位
陈旧性肘关节脱位,损伤在三个月以内,可试行手法复位,如不能复位时,切不可强力复位,应采取手术复位。如合并有尺神经损伤,手术时应先探查神经,在保护神经下进行手术复位,复位后宜将尺神经移至肘前,如关节软骨已破坏,应考虑作肘关节成形术或人工关节置换术。
3.肘关节前脱位
手法复位时,应将肘关节呈高度屈曲位进行,一助手牵拉上臂,术者握前臂,推前臂向后,即可复位。复位后固定于半伸肘位4周,有时尺骨鹰嘴不能手法整复,需手术复位固定。
肘关节脱位的药物治疗[编辑 | 编辑源代码]
初期[编辑 | 编辑源代码]
【方药】
1.主方活血止痛汤(赵竹泉《伤科大成》)
处方:当归12克,川芎6克,乳香6克,苏木6克,红花5克,没药6克,土鳖虫9克,三七3克,赤芍9克,陈皮3克,落得打6克,紫荆藤9克。水煎服,每日剂。
2.外用方双柏散(上海中医学院《中医伤科学讲义》)
处方:大黄2份,侧柏叶2份,黄柏1份,薄荷l份,泽兰1份。共研细末,用凡士林调煮成膏,外敷患处。
中期[编辑 | 编辑源代码]
【治法】 和营续损,舒筋活络。
【方药】
主方舒筋活血汤(钱秀昌《伤科补要》)
处方:羌活6克,防风9克,荆芥6克,独活9克,当归12克,续断12克,青皮5克,牛膝9克,五加皮9克,杜仲9克,红花6克,枳壳6克。水煎服,每日剂。
后期[编辑 | 编辑源代码]
【治法】 补养气血,温通经络。
【方药】
处方:当归10克,白芍10克,姜黄6克,宽筋藤15克,松节6克,海桐皮12克,羌活10克,防风10克,续断10克,甘草6克,黄芪15克。水煎服,每日l剂。
2.外用方舒筋活血洗方(上海中医学院《中医伤科学讲义》)
处方:伸筋草9克,海桐皮9克,秦艽9克,独活9克,当归9克,钩藤9克,红花6克,乳香6克,没药6克。解除外固定后,煎水熏洗患肢。
合并损伤性骨化者,可加醋(后下)煎水,熏洗患处。
肘关节脱位的练功活动 脱位整复后,应鼓励患者早期进行练功活动,固定期间可作肩、腕及掌指关节活动,解除固定后逐渐开始肘关节主动活动,活动时以屈肘为主。但必须禁止肘关节的粗暴被动活动,以免发生损伤性骨化。
症状查询专题[编辑源代码]
|
点击部位名称可查询更多相关疾病
|
按症状名称开头字母查询症状:
A | B | C | D | E | F | G | H | J | K | L | M | N | P | Q | R | S | T | W | X | Y | Z

