血栓形成

来自医学百科

在活体的心脏血管腔内,血液发生凝固或血液中的某些有形成分互相粘集,形成固体质块的过程,称为血栓形成(thrombosis),在这个过程中所形成的固体质块称为血栓(thrombus)。

血液中存在着相互拮抗凝血系统和抗凝血系统(纤维蛋白溶解系统)。在生理状态下,血液中的凝血因子不断地被激活,从而产生凝血酶,形成微量纤维蛋白,沉着于血管内膜上,但这些微量的纤维蛋白又不断地被激活了的纤维蛋白溶解系统所溶解,同时被激活的凝血因子也不断地被单核吞噬细胞系统所吞噬。上述凝血系统和纤维蛋白溶解系统的动态平衡,即保证了血液有潜在的可凝固性又始终保证了血液的流体状态。然而,有时在某些能促进凝血过程的因素作用下,打破了上述动态平衡,触发了凝血过程,血液便可在心血管腔内凝固,形成血栓。  

血栓形成的条件和机制[编辑 | 编辑源代码]

凝血系统在流动的血液中被激活的条件[编辑 | 编辑源代码]

心血管内膜的损伤内皮细胞有一系列的防止血液在心血管内凝固的功能:①它是一个单细胞层的薄膜屏障,把血液中的凝血因子、血小板和能促发凝血的内皮胶原隔离开来;②能分泌凝血酶调节蛋白(thrombomodulin),它是一种糖蛋白覆于内膜表面,能和凝血酶结合而控制凝血酶的作用;③合成前列环素,能抑制血小板粘集;④分泌二磷酸腺苷酶,把血小板释出的、对血小板彼此粘集具有强烈作用的ADP转变为抗粘集作用的腺嘌呤核苷酸;⑤内皮细胞的细胞膜表面含有肝素分子硫酸乙酰肝素),它有促进抗凝血酶Ⅲ的作用;又含有α2巨球蛋白,它能抑制凝血因子活化过程的链锁反应。⑥生成纤溶酶活化因子,有促进纤维蛋白溶解的作用。⑦合成蛋白S(PS),它能协同活化的蛋白C(PC)抑制凝血因子Ⅴa、Ⅷa(a表示活化的)。由于以上因素,如果没有心血管内膜的损伤,超出生理限度的血小板和凝血因子的活化就不可能发生。况且,内皮细胞还具有促血凝的作用,因它能合成组织因子,存于内皮细胞内,内皮细胞损伤时得以释出,从而激活外途径凝血过程。  

内皮细胞损伤暴露出皮下的胶原[编辑 | 编辑源代码]

这对活化血小板和凝血因子Ⅻ至关重要。内皮下结缔组织内的纤维连接蛋白也有助于血液细胞纤维蛋白原粘着在暴露的血管壁上。此外,内皮下由血小板和内皮细胞所生成的凝血酶敏感蛋白(thrombospondin,一种糖蛋白)也可和纤维蛋白原和纤维连接蛋白等大分子结合,使血细胞和血管壁粘连。然而在触发凝血过程中起核心作用的是血小板的活化。能激活血小板的物质有胶原、凝血酶、ADP和凝血恶烷A2(thromboxane A2)等,在内皮损伤后,首先激活血小板的是与血小板接触的胶原,继后凝血链锁反应被启动而产生了凝血酶,并且血小板继续地被活化又不断释出ADP和血栓素A2,随血流而来的是血小板在局部不断地被激活。血小板活表现为下述三项反应:①粘附反应,血小板粘附于局部胶原(需要有内皮细胞所合成的von Willebrand因子的介入),同时由于其胞浆内微丝微管的收缩而变形,血小板的是颗粒逐渐消失而使胞浆同质化。②释放反应,血小板的α颗粒(含有纤维蛋白原、纤维连接蛋白、抗肝素即血小板第4因子、血小板生长因子及血小板所合成的凝血酶敏感白)和致密颗粒(含有丰富的ADP、Ca离子、去甲肾上腺素组胺、5-HT)的内容物向血小板外释出,其中ADP对在此经过的血中血小板不断地互相粘集起了重大作用。与此同时,位于血小板膜的第3因子(磷脂)也暴露于细胞膜,成为和凝血因子Ⅸa、Ⅷa、Ca2+结合的场所,X在这里被激活后,Xa、Va、Ca2+也在这里结合,形成凝血酶原酶、将凝血酶原激活成凝血酶。③粘集反应,促使血小板彼此粘集成集群的因子主要是ADP、血栓素A2和凝血酶。最起始的粘集是通过释放反应所释出的ADP,在ADP量少的情况下,所形成的血小板粘集堆是可复性的,即一旦血流加速,粘集成堆的血小板仍可一一散开;但随着血小板愈粘集愈多,活化后释出的ADP也愈多,粘集堆逐成为不可复性。促成不可复性粘集的另一因子是血小板活化时所生成的血栓素A2,后者既有强大的促粘集性,又有使血小板发生释放反应的功能。在凝血因子Ⅻ(内途径)和Ⅶ(外途径)分别被胶原和组织因子所激活、凝血反应的产物凝血酶形成后,凝血酶、ADP、血栓素A2共同使血小板粘集堆成为持久性。血栓形成是以在胶原暴露的局部形成持久性血小板粘集堆开始的,因此血栓多见于静脉内膜炎、结节性多动脉炎动脉粥样硬化溃疡风湿性和细菌性心内膜炎心肌梗死等病变的心血管内膜(壁)上。  

血流状态的改变由于比重的关系[编辑 | 编辑源代码]

在正常流速和正常流向的血液内,红细胞白细胞在血流的中轴(轴流),外层是血小板,流动得较红、白细胞缓慢,是外围是一层血浆带(边流),将血液的有形成分和血管壁隔绝,阻止血小板和内膜接触。当血流缓慢或血流产生漩涡时,血小板得以进入边流,增加了和血管内膜接触的机会,血小板粘连于内膜的可能性必然增大。此外,血流缓慢和血流产生漩涡时,被激活的凝血因子和凝血酶能在局部达到凝血过程所必需的浓度。尽管在光学显微镜下,血流缓慢并不造成可以察觉的内膜变化,但电镜下却可发现血流缓慢,严重缺氧时,内皮细胞胞浆出现空泡,最后整个细胞变成无核结构的物质,由此不难推论,内皮细胞的变性坏死,不但丧失了上述的抗凝血因子的合成和分泌,而且内皮下胶原也得以暴露于血流,这样,即可触发内源性和外源性凝血途径。不少事实表明血流缓慢是血栓形成的重要因素,例如静脉发生血栓约比动脉发生血栓多4倍,静脉血栓常发生于久病卧床的患者和静脉曲张的静脉内等。静脉比动脉容易发生血栓,除了血流缓慢因素外,还因静脉有静脉瓣,静脉瓣内的血流不但缓慢,而且呈漩涡,因此静脉血栓形成往往以瓣膜囊为起始点;此外,静脉不似动脉那样随心脏搏动而舒张,其血流有时甚至可出现短暂的停滞;静脉壁较薄,容易受压;血流通过毛细血管到静脉后,血液的粘性有所增加等因素。心脏和动脉内的血流快,不易形成血栓,但在血流较缓和出现漩涡时,也会有血栓形成,如二尖瓣狭窄左心房血流缓慢并出现漩涡,动脉瘤内的血流呈漩涡状流动,这时均易并发血栓形成。  

血液凝固性增加血液凝固性增加[编辑 | 编辑源代码]

或称血液的高凝状态,是指血液比正常易于发生凝固的状态,见于弥散性血管内凝血(DIC)和游走性血栓性脉管炎(Trausseau综合征)。DIC的血液凝固性增加是由于一系列因素所诱发的凝血因子激活,或有组织因子的释出,Trausseau综合征则发生于一些癌肿,尤其是胰腺癌胃癌乳腺癌支气管,其血液的凝固性增加系由于癌细胞释出促凝因子,如组织因子、促凝血因子A(procoagulant A)等。此外,血小板增多或血小板粘性增加也可增高血液的凝固性,如妊娠、手术后、产后、高脂饮食、吸烟、冠状动脉粥样硬化时,血栓形成的可能性增加均与此有关。

需要强调的是,上述血栓形成条件,往往是同时存在的。例如手术后卧床、创伤晚期癌全身转移时的血栓形成,既由于血液的凝固性增加,又由于静卧时血流缓慢和下肢静脉(尤其是腓肠肌内的静脉)受压。  

血栓形成的过程及血栓的形态[编辑 | 编辑源代码]

无论心或动脉、静脉内的血栓,其形成过程都从血小板粘附于内膜裸露的胶原开始。当内源性和外源性凝血途径启动后最后产生的凝血酶将纤维蛋白原水解,其纤维蛋白单体再聚合成纤维蛋白多聚体(纤维素)。纤维素和内皮下的纤维连接蛋白共同使粘集的血小板堆牢固地粘附于受损内膜表面,不再离散,形成境下均匀一致、无结构的血小板血栓,电子显微镜下,血小板彼此紧密接触,轮廓仍然保存,但内部颗粒已消失。在血小板与血小板之间有少量纤维素存在(图3-3)。

(电子显微镜照片)(采自Anderson)

血小板粘集堆的形成是血栓形成的第一步,嗣后血栓形成的过程及血栓的组成、形态、大小都取决于血栓发生的部位和局部血流速度)。

血管内膜粗糙,血小板粘集成堆,使局部血流形成漩涡

血小板继续粘集形成多数小梁,小梁周围有白细胞粘附

小梁间形成纤维素网,网眼中充满红细胞

血管腔阻塞,局部血流停滞,停滞之血液凝固

血栓形成过程示意图

  

血栓大致可分为以下几种类型[编辑 | 编辑源代码]

白色血栓[编辑 | 编辑源代码]

(pale thrombus)发生于血流较速的部位(如动脉、心室)或血栓形成时血流较速的时期〔如静脉混合性血栓的起始部,即延续性血栓(propagating thrombus)的头部〕。镜下,白色血栓主要由许多聚集呈珊瑚状的血小板小梁构成,其表面有许多中性白细胞粘附,形成白细胞边层,推测是由于纤维素崩解产物的趋化作用吸引而来。血小板小梁之间由于被激活的凝血因子的作用而形成网状的纤维素,其网眼内含有少量红细胞。肉眼观呈灰白色,表面粗糙有波纹,质硬,与血管壁紧连。  

红色血栓[编辑 | 编辑源代码]

(red thrombus)发生在血流极度缓慢甚或停止之后,其形成过程与血管外凝血过程相同。因此,红色血栓见于混合血栓逐渐增大阻塞管腔,局部血流停止后,往往构成延续性血栓的尾部。镜下,在纤维素网眼内充满如正常血液分布的血细胞。肉眼观呈暗红色。新鲜的红色血栓湿润,有一定的弹性,陈旧的红色血栓由于水分被吸收,变得干燥,易碎,失去弹性,并易于脱落造成栓塞。  

混合血栓[编辑 | 编辑源代码]

(mixed thrombus)静脉的延续性血栓的主要部分(体部),呈红色与白色条纹层层相间,即是混合性血栓。其形成过程是:以血小板小梁为主的血栓不断增长以致其下游血流形成漩涡,从而再生成另一个以血小板为主的血栓,在两者之间的血液乃发生凝固,成为以红细胞为主的血栓。如是交替进行,乃成混合性血栓(图3-5)。在二尖瓣狭窄和心房纤维颤动时,在左心房可形成球形血栓;这种血栓和动脉瘤内的血栓均可见到灰白色和红褐色交替的层状结构,称为层状血栓,也是混合性血栓。  

透明血栓[编辑 | 编辑源代码]

(hyaline thrombus)这种血栓发生于微循环小血管内,只能在显微镜下见到,故又称微血栓,主要由纤维素构成,见于弥散性血管内凝血。  

延续性血栓[编辑 | 编辑源代码]

血栓形成于髂静脉内,向下腔静脉延续,当延续到对侧髂静脉入口处后,由于有血流流入,血小板继续析出,继续形成白色血栓,顺血流延伸,并常游离于血管腔内而不与血管壁粘连(采自Eder )  

血栓的结局[编辑 | 编辑源代码]

1.软化、溶解、吸收。当第Ⅻ因子被激活后,活化的第Ⅻ因子已开始激活纤维蛋白溶酶系统,裂解纤维蛋白原和纤维素,血栓的持续存在并增长,抑或软化、溶解、吸收,取决于凝血系统和纤维蛋白溶酶系统两者之间活性的对比。血栓内的白细胞,其溶蛋白酶也有溶解血栓成分的能力。当溶解血栓成分的酶量多、活性强时,血栓可被溶解,小的血栓可完全被溶解吸收。

2.机化血栓形成后,从血管壁向血栓长入内皮细胞和纤维母细胞,随即形成肉芽组织,血小板的血小板生长因子可能起着促使肉芽组织生长的作用。肉芽组织伸入血栓,逐渐加以取代而发生机化。机化过程早在血栓形成后1~2天即已开始,较大的血栓,在2周左右已可完成机化。机化的血栓和血管壁有牢固的粘着,不再有脱落的危险。血栓机化中的新生内皮细胞,被覆血栓内由于血栓干涸产生的裂隙,形成迷路状但可互相沟通的管道,使血栓上下游的血流得以部分地沟通,这种现象称为再通(recanalization)(图3-6)。近年发现,血管腔内的单核细胞也可自血液内通过血栓的游离面侵入血栓内,而且在血栓内部埋藏着的单核细胞也可活化,上述的细胞都可游走,被覆于血栓内的裂隙,继而转变成血管内皮细胞,形成新生的血管,所以,血栓机化和再通并不完全依赖于血管壁细胞成分的侵入。

3.钙化长久血栓既不被溶解又不被充分机化时,可发生钙盐沉着。在静脉即形成静脉石(phlebolith)。  

血栓对机体的影响[编辑 | 编辑源代码]

血栓形成能对破裂的血管起堵塞破裂口的作用,阻止出血,这是对机体有利的一面,如胃十二指肠慢性溃疡的底部和肺结核性空洞壁,其血管往往在病变侵蚀时已形成血栓,避免了大出血的可能性。然而,在多数情况下,血栓造成的血管管腔阻塞和其他影响,却对机体造成严重的甚至致命的危害。

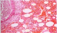
1.阻塞血管动脉血栓未完全阻塞管腔时,可引起局部器官缺血萎缩,如完全阻塞或引起必需的供血量不足而又缺乏有效的侧支循环时,可引起局部器官的缺血性坏死。如脑动脉血栓引起脑梗死、心冠状动脉血栓引起心肌梗死,血栓闭塞性脉管炎引起患肢坏疽等。静脉血栓形成后,若未能建立有效的侧支循环,则引起局部淤血水肿、出血,甚至坏死,如肠系膜静脉血栓可导致出血性梗死。肢体浅表静脉血栓,由于静脉有丰富的侧支循环,通常不引起临床症状

机化的血栓

血管腔内的血栓已为肉芽组织取代有再通现象×100

2.栓塞。在血栓未和血管壁牢固粘着之前,血栓的整体或部分可以脱落,形成栓子,随血流运行,引起栓塞。如栓子内含着细菌,可引起栓塞组织的败血性梗死或栓塞性脓肿

3.心瓣膜变形。心瓣膜血栓机化,可引起瓣膜粘连,造成瓣膜狭窄,如在机化过程中纤维组织增生而后瘢痕收缩,可造成瓣膜关闭不全,见于风湿性心内膜炎亚急性细菌性心内膜炎

4.微循环的广泛性微血栓形成,即DIC,可引起全身性广泛出血和休克

参考[编辑 | 编辑源代码]

血液
白血病白血球
淋巴系统: 淋巴性白血病 (急性, 慢性) | 淋巴瘤 (霍奇金淋巴瘤, 非霍奇金淋巴瘤) | 淋巴增生 | 骨髓癌 (多发性骨髓癌, 质浆细胞瘤)
骨髓: 骨髓性白血病 (急性, 慢性) | 骨髓增殖性疾病 (原发性血小板增多症, 红血球增多症) | 骨髓成形不良症候群 | 骨髓纤维化 | 嗜中性白血球过低症
红血球
贫血 | 血色病 | 镰状细胞贫血 | 地中海贫血 | 溶血性贫血 | 再生不良性贫血 | 蚕豆症 | 遗传性球形红细胞增多症 | 遗传性椭圆形红血球增多症 | 其他血红蛋白病
凝血因子血小板
血栓形成 | 深静脉血栓形成 | 肺栓塞 | 血友病 | 自发性血小板缺乏紫斑症 | 血栓性血小板缺乏紫斑症 | 弥散性血管内凝血