肉芽组织

来自医学百科

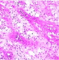
肉芽组织(granulation tissue):由新生薄壁的毛细血管以及增生成纤维细胞构成,并伴有炎性细胞浸润,肉眼表现为鲜红色,颗粒状,柔软湿润,形似鲜嫩的肉芽故而得名。为幼稚阶段的纤维结缔组织.

简介[编辑 | 编辑源代码]

Bk7j6.jpg

镜下可见大量由内皮细胞增生形成的实性细胞索及扩张的毛细血管,向创面垂直生长,并以小动脉为轴心,在周围形成袢状弯曲的毛细血管网。在毛细血管周围有许多新生的纤维母细胞,此外常有大量渗出液及炎性细胞。炎性细胞中常以巨噬细胞为主,也有多少不等的中性粒细胞淋巴细胞,因此肉芽组织具有抗感染功能。巨噬细胞能分泌PDGF、FGF、TGF-β、IL-1及TNF,加上创面凝血血小板释放的PDGF,进一步刺激纤维母细胞及毛细血管增生。巨噬细胞及中性粒细胞能吞噬细菌及组织碎片,这些细胞破坏后释放出各种蛋白水解酶,能分解坏死组织及纤维蛋白,肉芽组织中毛细血管内皮细胞亦有吞噬能力,并有强的纤维蛋白溶解作用。  

修复[编辑 | 编辑源代码]

瘢痕性修复或称不完全性修复,是在组织细胞不能进行再生性修复的情况下,由损伤局部的间质新生出的肉芽组织溶解吸收异物并填补缺损,继之肉芽组织逐渐成熟,转变为瘢痕组织,使缺损得到修复。  

肉芽组织[编辑 | 编辑源代码]

(一)概念[编辑 | 编辑源代码]

肉芽组织(granulation tissue)是新生的富含毛细血管的幼稚阶段的纤维结缔组织。  

(二)肉芽组织的成分及形态特点[编辑 | 编辑源代码]

肉芽组织是由纤维母细胞、毛细血管及一定数量的炎性细胞等有形成分组成的。其形态特点如下。

1.肉眼观察 肉芽组织的表面呈细颗粒状,鲜红色,柔软湿润,触之易出血而无痛觉,形似嫩肉故名。

2.镜下观察 基本结构为:①大量新生的毛细血管,平行排列,均与表面相垂直,并在近表面处互相吻合形成弓状突起,肉眼呈鲜红色细颗粒状。②新增生的纤维母细胞散在分布于毛细血管网络之间,很少有胶原纤维形成。③多少不等的炎性细胞浸润于肉芽组织之中。肉芽组织内常含一定量的水肿液,但不含神经纤维,故无疼痛。  

(三)肉芽组织的作用[编辑 | 编辑源代码]

肉芽组织在组织损伤修复过程中有以下重要作用:①抗感染保护创面;②填补创口及其它组织缺损;③机化或包裹坏死、血栓、炎性渗出物及其他异物。

机化(organization)是指由新生的肉芽组织吸收并取代各种失活组织或其它异物的过程。最后肉芽组织成熟,转变为纤维瘢痕组织。包裹(encapsulation)是一种不完全的机化。即在失活组织或异物不能完全被机化时,在其周围增生的肉芽组织成熟为纤维结缔组织形成包膜,将其与正常组织隔离开。  

(四)肉芽组织的结局[编辑 | 编辑源代码]

肉芽组织在组织损伤后2~3天内即可开始出现,填补创口或机化异物。随着时间的推移,肉芽组织按其生长的先后顺序,逐渐成熟。其主要形态标志为:水分逐渐吸收;炎性细胞减少并逐渐消失;毛细血管闭塞、数目减少。最终肉芽组织成熟为纤维结缔组织并转变为瘢痕组织。

参考[编辑 | 编辑源代码]