透明血栓

来自医学百科

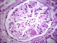
透明血栓(hyaline thrombus)这种血栓发生于微循环小血管内,只能在显微镜下见到,故又称微血栓,主要由纤维素构成,见于弥散性血管内凝血

血栓形成髂静脉内,向下腔静脉延续,当延续到对侧髂静脉入口处后,由于有血流流入,血小板继续析出,继续形成白色血栓,顺血流延伸,并常游离于血管腔内而不与血管壁粘连

主要由嗜酸性同质性纤维蛋白构成,最常见于弥漫性血管内凝血

Bk7m8.jpg