血栓闭塞性脉管炎

来自医学百科
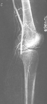
Bka7a.jpg

  

疾病名称[编辑 | 编辑源代码]

血栓闭塞性脉管炎  

疾病概述[编辑 | 编辑源代码]

英文名称:thromboangitis obliterans。发生于中小动脉(同时累及静脉神经)的慢性进行性节段性炎症血管损害;病变累及血管全层,导致管腔狭窄、闭塞。又称伯格氏病。多发生于青壮年男性,多有重度嗜烟历史。典型的临床表现间歇性跛行、休息痛及游走性血栓性静脉炎。该病主要侵犯肢体,尤其是下肢的中、小动脉及其伴行的静脉和皮肤浅静脉,受累血管呈现血管壁全层的非化脓性炎症,管腔内有血栓形成,管腔呈现进行性狭窄以至完全闭塞,引起肢体缺血而产生疼痛,严重者肢端可发生不易愈合的溃疡坏疽。病因至今尚不清楚。可能导致永久性功能障碍或肢体丢失,甚至死亡。  

疾病分类[编辑 | 编辑源代码]

血管外科  

疾病病因[编辑 | 编辑源代码]

血栓闭塞性脉管炎的病因至今尚不清楚,一般认为与下列因素有关:

(一)吸烟:综合国内外资料,血栓闭塞性脉管炎患者中吸烟者占60~95%。临床观察发现,戒烟能使血栓闭塞性脉管炎患者病情缓解,再度吸烟又可使病情恶化。Erb等在鼠的动物实验中发现,烟草浸出液能引起血管病变。Harkavy等用烟草浸出液作皮内试验发现,血栓闭塞性脉管炎患者阳性率达78~87%,而正常人仅为16~46%。但吸烟者中发生血栓闭塞性脉管炎毕竟还是少数,部分血栓闭塞性脉管炎患者亦无吸烟史。因此,吸烟可能是血栓闭塞性脉管炎发病的一个重要因素,但不是唯一的病因。

(二)寒冷、潮湿、外伤:我国血栓闭塞性脉管炎的发病率以比较寒冷的北方为高。流行病学调查发现,80%的血栓闭塞性脉管炎患者发病前有受寒和受潮史;部分患者有外伤史。可能这些因素引起血管痉挛和血管内皮损伤,并导致血管炎症和血栓闭塞。

(三)感染营养不良:临床观察发现,许多血栓闭塞性脉管炎患者有反复的霉菌感染史。Thompson发现血栓闭塞性脉管炎患者的皮肤毛菌素试验阳性率为80%,而对照组仅20%。Craven认为,人体对霉菌的免疫反应,诱发血液纤维蛋白原增高和高凝状态可能与血栓闭塞性脉管炎的发病有关。

许多国家的学者发现,血栓闭塞性脉管炎在经济收入和生活水平低下的人群中多见。Hill等分析了印尼的血栓闭塞性脉管炎后发现,大多数患者的饮食中缺乏蛋白质,尤其是必需氨基酸。还有人在作大白鼠试验时发现,饮食中缺乏VitB1和VitC可诱发大白鼠的血管炎。因此,蛋白质、维生素B1和维生素C缺乏可能与本病有关。

(四)激素紊乱:血栓闭塞性脉管炎患者绝大多数为男性(80~90%),而且都在青壮年时期发病。有人认为,前列腺功能紊乱或前列腺液丢失过多,可使体内具有扩张血管和抑制血小板聚集作用的前列腺素减少,并有可能使周围血管舒缩功能紊乱、血栓形成从而导致本病。

(五)遗传:血栓闭塞性脉管炎患者中1~5%有家族史。不少学者发现人类白细胞抗原(HLA)的某些特殊位点与血栓闭塞性脉管炎的发病有关。日本学者发现血栓闭塞性脉管炎的HLA-J-1-1阳性率为46%,而正常人仅18%。另有报道,血栓闭塞性脉管炎患者的HLA-BW54、HLA-BW52和HLA-A阳性率增高。其中HLA-J和HLA-BW54均受遗传因子支配。

(六)血管神经调节障碍:植物神经系统对内源性或外源性刺激的调节功能紊乱,可使血管容易处于痉挛状态。长期血管痉挛可使管壁受损、肥厚,容易形成血栓导致血管闭塞。

(七)自身免疫功能紊乱:近10余年,自身免疫因素在血栓闭塞性脉管炎发病中所起的作用日益受到重视。Gulati等发现血栓闭塞性脉管炎患者血清中ⅠgG、IgA、和ⅠgM明显增加,而补体CH50和C3则减少,并在患者的血清和病变的血管中发现抗动脉抗体和对动脉有强烈亲合力免疫复合物。Smoler等在20例血栓闭塞性脉管炎中发现7例存在胶原抗体,而对照组无1例存在胶原抗体。Bollinger等和Berlit等则分别在血栓闭塞性脉管炎中发现弹性蛋白抗体。Gulati等认为,吸烟等因素可改变血管抗原性,产生自身抗动脉抗体。由此形成的免疫复合物沉积于患者的血管导致血管炎症反应和血栓形成。  

疾病病理[编辑 | 编辑源代码]

血栓闭塞性脉管炎是青壮年的动脉和静脉的一种周期性、节段性炎症病变。病变多数发生在四肢血管,尤其是下肢为常见。病理改变首先是血管内膜增厚,随后有血栓形成,以致最后血管完全阻塞。通常病变首先出现于肢体动脉远端,如胫后、胫前、尺、桡、足弓掌弓、趾、指等动脉,病变进一步发展才累及股动脉肱动脉等。病变节段和正常部分之间的界线非常分明,伴行静脉常同时受累,一般都较轻。晚期,血管周围有纤维组织增生、硬化。  

临床表现[编辑 | 编辑源代码]

患者几乎都为男性,年龄在25~45岁间,病程缓慢。典型症状有间歇性破行,伴患肢怕冷、麻木、刺痛。足趾有持续性疼痛,尤其在夜间卧床时加剧(静止痛)。后期出现足部坏疽和溃疡。

(一)疼痛:疼痛是本病最突出的症状。病变早期,由于血管痉挛,血管壁和周围组织神经末梢受到刺激而使患肢(趾、指)出现疼痛、针刺、烧灼、麻木等异常感觉。随着病变进一步发展,肢体动脉狭窄逐渐加重,即出现缺血性疼痛。轻者行走一段路程以后,患肢足部或小腿胀痛,休息片刻疼痛即能缓解,再次行走后疼痛又会出现,这种现象称为间歇性跛行。产生间歇性跛行的机理一般认为是血液循环障碍时,肌肉运动后乳酸等酸性代谢产物积聚,刺激局部神经末梢引起疼痛。也有人认为,动脉狭窄或闭塞后,动脉压降低,肢体运动时,肌肉收缩所产生的压力超过肌肉内动脉的压力,使局部血流显著减少,从而引起患肢疼痛。重者即使肢体处于休息状态,疼痛仍不能缓解,称为静息痛。此时疼痛剧烈、持续,尤以夜间为甚。患肢抬高疼痛加重,下垂后则略有缓解。患者常屈膝抱足而坐,或将患肢下垂于床旁,以减轻患肢疼痛,形成血栓闭塞性脉管炎的典型体位。一旦患肢发生溃疡、坏疽、继发感染,疼痛更为剧烈。

(二)发凉,皮温降低患肢发凉、怕冷,对外界寒冷敏感是血栓闭塞性脉管炎常见的早期症状。随着病情的发展,发凉的程度加重,并可出现动脉闭塞远端的肢体皮肤温度降低。

(三)皮肤色泽改变:患肢缺血常使皮肤颜色呈苍白色,肢体抬高后更为明显。下述试验有助于了解肢体循环情况:①指压试验:指压趾(指)端后观察局部皮肤或甲床毛细血管充盈情况,如果松压后5秒钟皮肤或甲床仍呈苍白或瘀紫色,表示动脉供血不足。②肢体抬高试验:抬高肢体(下肢抬高70~80°,上肢直举过头),持续60秒,如存在肢体动脉供血不足,皮肤呈苍白或蜡白色。下垂肢体后,皮肤颜色恢复时间由正常的10秒延长到45秒以上,且颜色不均呈斑片状。肢体持续处于下垂位时,皮肤颜色呈潮红或瘀紫色。③静脉充盈时间:抬高患肢,使静脉排空、瘪陷,然后迅速下垂肢体,观察足背浅表静脉充盈情况。如果静脉充盈时间大于15秒,表示肢体动脉供血不足。此外,部分患者受寒冷刺激或情绪波动,可出现雷诺综合征,表现为指(趾)皮肤苍白、青紫、潮红间歇性改变。

(四)游走性血栓性浅静脉炎:40~50%的血栓闭塞性脉管炎患者发病前或发病过程中可反复出现游走性血栓性浅静脉炎。急性发作时,肢体浅表静脉呈红色条索、结节状,伴有轻度疼痛和压痛。2~3周后,红肿疼痛消退,但往往留有色素沉着。经过一段时间,相同部位或其他部位又可重新出现。值得注意的是,部分血栓闭塞性脉管炎患者在尚未出现肢体动脉搏动减弱和肢体慢性缺血征象时,已经存在反复发作的游走性血栓性浅静脉炎。因此,有人把游走性血栓性浅静脉炎看成是血栓闭塞性脉管炎的前驱表现。

(五)肢体营养障碍:患肢缺血可引起肢体营养障碍,常表现为皮肤干燥脱屑、皱裂;汗毛脱落、出汗减少;趾(指)甲增厚、变形、生长缓慢;肌肉萎缩、肢体变细。严重时可出现溃疡、坏疽。溃疡、坏疽常先出现在趾端、甲旁或趾间,可因局部加温、药物刺激、拔甲、损伤等因素诱发。开始多为干性坏疽,继发感染后形成湿性坏疽。根据溃疡、坏疽的范围可分为三级。I级,溃疡、坏疽局限于趾(指)部;Ⅱ级,溃疡、坏疽超过跖趾(掌指)关节;Ⅲ级,溃疡、坏疽超过踝(腕)关节。

(六)肢体动脉搏动减弱或消失:根据病变累及的动脉不同,可出现足背动脉胫后动脉、腘动脉或尺动脉桡动脉、肱动脉等动脉搏动减弱或消失。但需注意,约有5%的正常人足背动脉先天性缺如而不能扪及搏动。尺动脉通畅试验(Allen试验)可鉴别尺动脉搏动未扪及者动脉体表位置解剖变异和动脉闭塞。方法是抬高上肢,指压阻断桡动脉后,重复握拳数次,促使静脉回流。然后将手放至心脏水平,如果尺动脉通畅,手指手掌皮肤迅速转为粉红色(40秒内)。反之,只有解除桡动脉指压后,皮色才能恢复正常。尺动脉通畅试验还可了解尺动脉搏动存在者尺动脉远端通畅情况。方法同上,如持续指压阻断挠动脉后,手指保持苍白色,提示尺动脉远端闭塞。应用同样原理,可以了解挠动脉有无有闭塞性病变以及挠动脉远端通畅情况。  

诊断[编辑 | 编辑源代码]

早期可有非特异性症状,如:患肢发凉怕冷、麻木乏力、皮肤点片状、条索状紫红斑、下肢酸胀等;

(1)具有确定诊断意义的症状、体征:间歇性跛行、静息痛、动脉搏动减弱或消失、肢端典型溃疡或坏死动脉造影或MRA/CTA影像学依据。

(2)具有高度拟诊意义的症状、体征:有抽烟史的中青年男性、游走性静脉炎、肢端典型的皮肤表现、溃疡或坏死患肢动脉彩超、血流图、踝肱指数异常的。

(3)鉴别诊断依据:女性、无抽烟史、或老年男性且首次发病年龄超过45岁;有大动脉硬化、闭塞、或血栓栓塞证据、或有长期糖尿病史,血管并发症证据明显的;以前没有慢性肢体动脉缺血证据,有风心病或冠心病特别是有房颤的;应该是其它相关的动脉疾病表现,诊断脉管炎应慎重;至于下肢静脉疾病症状更弥散,与动脉疾病症征差距更明显,稍有血管病常识的医生应该不难鉴别,此不赘述。  

影像表现[编辑 | 编辑源代码]

四肢动脉造影可显示动脉阻塞部位和侧支循环情况,可与闭塞性动脉硬化症的表现颇为相似。在血栓闭塞性脉管炎,动脉造影可发现管腔变狭小,至后期一段血管呈完全闭塞。在闭塞处之上管腔较光滑、无充盈残缺现象,其血管并不呈扭曲状。血栓闭塞住脉管炎与闭塞性动脉硬化症都可产生侧支循环,  

保健贴士[编辑 | 编辑源代码]

1.饮食宜清淡,忌辛辣、生冷,以绝生痰之源。

2.在缓解期,药膳疗法通常以补益肺、脾、肾为主,不宜进食鲤鱼、虾、蟹、生鸡等“发物”。

3.在急性感染期,饮食宜清淡富含营养,应戒辛辣、燥热之品。饮食疗法应结合辨治情况运用。

不同患者饮食禁忌:

1.血瘀阻络型患者(喜暖怕冷,足趾端皮肤苍白,持续胀痛,无溃疡),可进食生姜羊肉汤、鸭、鹿血、山碴、桂枝桂圆肉;忌生冷。

2.热毒伤络型病人(反复游走性血栓性浅静脉炎,趾端可发生坏疽及溃疡)宜食清热解毒,易消化的食物,如绿豆、梨、西瓜马齿觅等。可饮用菊花茶、金银花露或用荷叶竹叶、鲜车前煎汤代水。

3.气血两虚型患者(形体消瘦乏力,患肢肌肉萎缩,皮肤枯皱脱屑,创面经久不愈)宜食营养丰富,易消化食物,如瘦肉、鸡蛋、牛奶等。可用党参黄芪白术大枣牛肉食用。  

治疗[编辑 | 编辑源代码]

血栓闭塞性脉管炎的治疗原则是防止病变发展,改善患肢血供,减轻患肢疼痛,促进溃疡愈合。具体方法如下:

(一)一般治疗

1.坚持戒烟是血栓闭塞性脉管炎的治疗关键。本病的预后很大程度上决定于患者是否坚持戒烟。其他治疗措施能否取得疗效也与是否坚持戒烟密切相关。避免寒冷、潮湿、外伤和注意患肢适当保暖有助于防止病变进一步加重和出现并发症。但也不宜采用患肢局部热敷,以免增加组织氧耗量,造成患肢缺血坏疽。

2.患肢运动练习(Buerger运动)有助于促进患肢侧支循环建立,增加患肢血供。方法是,平卧位,患肢抬高45°,维持1~2分钟。然后坐起,患肢下垂床边2~5分钟,并作足部旋转、伸屈运动10次。最后将患肢放平休息2分钟。每次重复练习5回,每日练习数次。

(二)药物治疗

1.中医中药根据辨证论治原则治疗。

(1)阴寒型:治则温经散寒为主,佐以活血化瘀法。方剂选用阳和汤加减。

(2)湿热型:治则以清热利湿为主,佐以凉血化瘀法。方剂选用四妙勇安汤加味或茵陈赤小豆汤加减。

(3)热毒型:治则以清热解毒为主,佐以活血化瘀法。方剂选用四妙活血汤加减。

(4)气血两亏型:治则以补养气血活血法。方剂选用顾步汤加减或人参养荣汤加减。

其他可选用的中草药制剂:

(1)毛冬青毛披树根):有效成份为黄酮甙,可直接作用于血管平滑肌使外周血管扩张。常用剂量:毛冬青250g,煎服,每日1次或毛冬青针剂2~4ml,肌注,每日~2次。1~3月为一疗程。

(2)复方丹参针剂(丹参降香,每ml含生药各1g)。具有改善微循环,增加患肢血供的作用。常用剂量2~4ml,肌注,每日~2次。或将复方丹参注射液20ml加入5%葡萄糖溶液500ml中,静脉滴注,每日~2次。2~4周为一疗程。

2.血管扩张药具有解除动脉痉挛,扩张血管的作用。适用于第一、第二期患者。对于动脉完全闭塞的患者,有人认为血管扩张药不但不能扩张病变的血管,反而由于正常血管的"窃血"作用加重患肢缺血。常用药物有:苄唑啉妥拉苏林),25mg,口服,每日3次或25mg,肌注,每日2次。烟酸,50mg,口服,每日3次。盐酸罂粟碱,30mg,口服或皮下注射,每日3次。采用动脉内注射妥拉苏林、654-2、普鲁卡因等药物能提高疗效,但需反复穿刺动脉,可造成动脉损伤痉挛,临床应用受到限制。

3.前列腺素具有扩张血管和抑制血小板作用。治疗血栓闭塞性脉管炎取得良好效果。常用给药途径为动脉注射和静脉滴注。国内报道采用前列腺素E1(PGE1100~200mg,静脉滴注,每日1次治疗血栓闭塞性脉管炎,有效率为80.8%。前列腺环素(PGI2)具有更强的扩张血管和抑制血小板作用,但因其半衰期短,性能不稳定,临床应用疗效不肯定。

4.己酮可可碱(pentoxifylline,trental)能降低血液粘滞度,增加红细胞变形性,使其能够通过狭窄的血管,从而提高组织灌注量。常用剂量:400mg,口服,每日~4次。连续服药1~3月或长期服用。国外报道服药后能减轻静息痛和间歇性跛行,促进溃疡愈合。治疗肢体动脉闭塞性疾病有效率达95%。

5.低分子右旋糖酐(平均分子量2~4万)具有减少血液粘滞度,抑制血小板聚集、改善微循环的作用。常用剂量:低分子右旋糖酐500ml,静脉滴注,每日~2次。10~15天为一疗程,间隔7~10天可重复使用。

6.蝮蛇抗栓酶蝮蛇蛇毒提取的具有降低纤维蛋白原和血液粘滞度的物质。近年来,我国先后用从东北蛇岛和长白山蝮蛇蛇毒提纯的抗栓酶和清栓酶治疗血栓闭塞性脉管炎,显效率分别达到64%和75.4%。无明显副作用

7.激素激素治疗意见尚不统一。有人认为激素能控制病情发展和缓解患肢疼痛。阪口报道采用强的松龙20mg动脉注射治疗血栓闭塞性脉管炎,3日和7日内疼痛明显减轻或消失者,分别占43.5%和26.1%。对不能施行动脉注射者,采用溃疡、坏疽以上部位的健康组织皮下注射,止痛效果优良者也占37%。

8.二氧化碳能使血管平滑肌电活动减弱或消失,使血管壁处于松弛状态使血管扩张。动脉内注射二氧化碳能扩张血管、促进侧支循环建立。一般采用95%二氧化碳2ml/kg体重股动脉注射或0.3ml/kg体重肱动脉注射。每周1次,4~8次为1疗程,一般治疗1~2疗程。国内报道疗效优良率为75.7%。

(三)手术治疗

1.交感神经节切除术肾上腺部分切除术交感神经节切除术能解除血管痉挛,促进侧支循环建立,改善患肢血供。适用于第一、第二期患者。根据病变累及上肢或下肢动脉,采用同侧胸或腰第2、3、4交感神经节及其神经链切除术。对于男性患者,应避免切除双侧第1腰交感神经节,以免引起件功能障碍。术前应常规进行交感神经阻滞试验,如阻滞后患肢症状缓解,皮肤温度上升1~2℃以上,提示患肢存在血管痉挛,切除交感神经节后常能取得良好疗效。反之,则说明患肢动脉闭塞,不宜选用交感神经节切除术。由于交感神经节切除术主要改善皮肤血供,因此常能使皮肤温度升高,皮肤溃疡愈合,但不能缓解间跛症状。对于第二、第三期患者,有人认为采用交感神经节切除术合并肾上腺部分切除术,能提高近、远期疗效。

2.动脉血栓内膜剥除术是将病变动脉的血栓内膜剥除,从而重建患肢动脉血流的手术方法。适用于股、腘动脉闭塞,而腘动脉的分支(胫前动脉、胫后动脉和腓动脉)中至少有一支通畅的第二、第三期患者。常用方法有:开放法,切开整个闭塞的动脉段,直视下剥离并取出血栓内膜。适用于短段动脉闭塞。半开放法,多处短段切开闭塞的动脉,用剥离器分离血栓内膜后,将其取出。适用于长段动脉闭塞。此外,还有二氧化碳气体剥离法和带囊导管剥离法。由于动脉血栓内膜剥除术治疗血栓闭塞性脉管炎临床适应者较少、远期疗效不佳,现已较少采用。

3.动脉旁路移植术在闭塞动脉的近、远端行旁路移植,是另一种重建患肢动脉血流的方法。适应证同动脉血栓内膜剥除术。动脉移植材料多采用自体大隐静脉膝关节以上也可采用人造血管。由于血栓闭塞性脉管炎病变主要累及中、小动脉,输出道条件往往较差,很少有条件采用动脉旁路移植术。

4.大网膜移植术游离血管蒂大网膜移植术能使大网膜组织与患肢建立良好的侧支循环,改善患肢血供,具有明显缓解静息痛和促进溃疡愈合的作用。适用于腘动脉以下三支动脉均闭塞的第二、第三期患者。方法是游离大网膜,将胃网膜右动、静脉与股动脉、大隐静脉或腘动、静脉吻合,然后把经剪裁或未经剪裁的大网膜移植于患肢内侧。近期疗效满意,远期疗效尚不肯定。

5.静脉动脉化将闭塞近端的动脉与静脉吻合,使闭塞近端的动脉血转流到患肢的静脉系统,从而改善患肢血供。适应证同大网膜移植术。早年采用动、静脉直接吻合,因动脉血流不能冲开正常静脉瓣膜的阻挡,结果多告失败。近10年来,国内外学者在动物实验的基础上,采用分期或一期动静脉转流重建患肢血液循环获得成功。方法是根据患肢动脉闭塞平面不同,采用股、腘动脉与股浅静脉、胫腓干静脉或大隐静脉吻合形成动静脉瘘,使动脉血既能不断向瘘口远端的静脉瓣冲击,又能从瘘口近端的静脉向心回流。经过一段时间(2~6月)后,瘘口远端的静脉中的瓣膜由于长期承受逆向动脉血流冲击和静脉段扩张而发生关闭不全。这时再将瘘口近端的静脉结扎,就能使动脉血循静脉单向灌注到患肢的远端。国内文献报道疗效满意。

(四)高压氧治疗能够提高血氧含量,增加肢体供氧量,从而减轻患肢疼痛,促进溃疡愈合。方法是每天在高压氧仓内行高压氧治疗1次,持续2~3小时。10次为一疗程,休息1周后再进行第二疗程。一般可进行2~3疗程。

(五)其他治疗

1.镇痛

(1)止痛药:吗啡度冷丁等止痛药能有效地缓解患肢疼痛,但易成瘾,应尽量少用。解热镇痛药索米痛安乃近消炎痛等也可试用,但疗效不肯定。

(2)连续硬膜外阻滞:能缓解患肢疼痛,扩张下肢血管,促进侧支循环建立。适用于严重静息痛的下肢血栓闭塞性脉管炎患者。一般选择第2、3腰椎间隙留置硬膜外导管。间断注入1%利多卡因或0.1%地卡因3~5ml。操作时应严格掌握无菌技术,导管留置时间以2~3天为宜,留置时间过长容易并发硬膜外间隙感染。

(3)中药麻醉:主要药物为东莨菪碱洋金花总碱,能使患者安睡,疼痛缓解。其中东莨菪碱尚有扩张周围血管,增加心肌收缩力和改善微循环的作用,能增加患肢血流量。常用剂量:东莨菪碱1~3mg,洋金花总碱2.5~5mg,静脉推注、静脉滴注或肌肉注射。每次辅以氯丙嗪12.5~50mg。连续应用3~5天,改为隔日或隔二日一次。一般用药后3~4小时病人自然清醒。必要时可于用药后5小时注射毒扁豆碱0.5mg催醒。

(4)小腿神经压榨术(Smithwich手术)根据患肢疼痛部位施行小腿下段感觉神经压榨术,能起到良好的止痛效果,70%的患者可得到长期止痛。主要缺点是足部感觉迟钝,常需几个月才能恢复。

2.创面处理

(1)干性坏疽:保持创面干燥,避免继发感染。可采用酒精消毒创面并覆盖无菌纱布保护。

(2)湿性坏疽:去除坏死组织,积极控制感染。可采用敏感的抗生素溶液湿敷或东方I号、金蝎膏、玉红膏外敷。坏疽边界清楚,可行清创术或截趾(指)术。

3.截肢术足部坏疽继发感染并出现全身中毒症状、肢体剧痛难忍影响工作生活,经各种治疗难以控制或足部坏疽达足跟、踝关节以上且界限清楚可行截肢术。施行截肢术应注意以下两点,①在保证残端愈合的前提下,尽量选择有利义肢安装的较低截肢平面。②截肢术操作过程中应注意保护截肢残端血供,尽可能避免加重患肢缺血的因素。具体措施包括,皮肤、皮下组织筋膜一层切开,不宜过多游离皮瓣;切断骨膜时应贴近截骨平面,避免向近端过多分离骨膜;肌肉切断平面与截骨平面相同,尽量切断可能坏死的肌肉组织;此外,术中应避免使用止血带。  

中医理论[编辑 | 编辑源代码]

血栓闭塞性脉管炎简称脉管炎,中医叫“脱疽”、“十指零落”等。脉管炎的发病原因较复杂,一般因受寒冻过剩,外伤后引起血管、神经损伤;忧思或房劳过度,可使心、肝、肾、脾的功能失调,而导致经络、气血功能紊乱而发病。脉管炎分虚寒型、湿热型、淤滞型和热毒型。虚寒型初见下肢发凉、怕冷、麻木、疼痛,同时伴有疲乏感,局部胀紧压迫感或足底垫物感有间歇性跛行,行走时因小腿沉困、憋胀,距离越来越短,治疗宜温经散寒,益气活血、化淤通络。湿热型表现为患肢怕冷、疼痛,常为游走性。行走时下肢酸困、憋胀、沉重乏力;下肢常出现肿块或结节,红肿热痛;患肢有时浮肿。治疗宜先清热凉血,继而化淤、散结、利湿。淤滞型表现为患肢怕冷,触之冰凉,疼痛呈持续性,皮肤紫红、暗红或青紫色,脚端皮肤有淤点。治疗宜温经通络,活血化淤。热毒型表现为患肢疼痛,白天轻夜间重,肢体局部红肿,大便干。治疗宜清热解毒,化淤通络。此类型大多指趾骨肌肉坏死,疼痛难忍,创面及易感染,此时寒热湿细菌毒素等侵犯脉络,末梢血循环障碍严重,此时不宜单纯使用脉通维脑路通等扩张血管药,宜中西医结合用中药清热解毒,配合抗生素促使炎症消退,再给以活血化淤的药物治疗。  

预后及预防[编辑 | 编辑源代码]

预后:经治疗病情继续恶化或截肢者,预后差。

预防:本病病因未明,但某些因素能诱发本病,并能引起病情的发展,故积极地采取预防措施,能稳定病情、减轻症状。

1.绝对禁烟是预防和治疗本病的一项重要措施。

2.足部清洁与干燥保持足部清洁、防止感染;因湿冷比干冷对病情更为有害,故宜保持足部干燥;因患部已有血液循环不良,即使轻微外伤亦易引起组织坏死和溃疡形成,故切忌任何形式的外伤。

3.防寒保暖无论是在工作或休息时均宜保持足部温暖,以改善足部血液循环,但不能过热,以免增加氧消耗量。

4.体位变动与足部运动劳动时应随时变换体位,以利于血液循环。平时可进行足部运动(Buerger运动),以促进患肢侧支循环。方法为:患者平卧,抬高患肢45°,维持1~2min,然后两足下垂床旁2~5min,同时两足及其趾向四周活动10次,再将患肢放平休息2min,如此反复练习5次,每天数回。

5.避免应用缩血管药物。

参看[编辑 | 编辑源代码]