胆管癌

来自医学百科

胆管癌cancer of biliary duct是指原发于左右肝管汇合部至胆总管下端的肝外胆管恶性肿瘤原发性胆管癌较少见,占普通尸检的0.02%~0.45%,肿瘤病人尸检的2%胆道手术的0.3%~1.8%。在欧美胆囊癌为胆管癌的1.5~5倍,日本的资料则胆管癌多于胆囊癌男女之比约为1.5~3.0。发病年龄多为50~70岁,但也可见于年轻人  

病因[编辑 | 编辑源代码]

胆管癌的病因尚不清楚与其发病可能有关的因素有:溃疡性结肠炎胆结石中华分枝睾吸虫感染胆总管囊肿等这些因素都能增加胆管癌发病的危险性

胆管癌精美图解

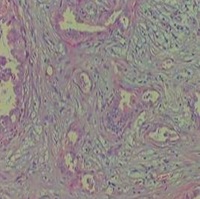
病理改变】

1.肝外胆管癌的发生部位在解剖学上根据癌发生的部位肝外胆管癌可分为:①左右肝管癌;②肝总管癌;③胆囊管癌;④肝总管胆囊管及胆总管汇合处癌;⑤胆总管癌

2.肝外胆管癌的大体形态:肝外胆管癌在大体形态上可分为三型:

①管壁浸润型:可见于胆管的任何部位最为多见由于受累的管壁增厚可致管腔变小或狭窄进而可发生阻塞现象

②结节型:较管壁浸润型少见可见于较晚期的胆管癌癌结节的直径可1.5~5.0cm

③腔内乳头状型:最少见可见于胆管的任何部位但汇合部更为少见此型可将胆管腔完全阻塞癌组织除主要向管腔内生长外亦可进一步向管壁内浸润生长

3.肝外胆管癌的组织学类型:根据癌细胞的类型分化程度及癌组织生长方式肝外胆管癌可分为以下6型:

乳头状腺癌:除个别为管壁浸润型外几乎均为腔内乳头状型

②高分化腺癌:在胆管癌中最多可占2/3以上可见于任何部位癌组织均在管壁内浸润生长环绕整个管壁浸润的癌组织呈大小不等形状不规则的腺体结构有的可扩大呈囊腔

③低分化腺癌:即分化差的腺癌癌组织部分呈腺体结构部分为不规则的实性片块亦在管壁内弥漫浸润生长

未分化癌:较少见有的小细胞未分化癌与胆囊的未分化癌相同癌细胞在胆管壁内弥漫浸润间质较少癌组织侵袭较大常可侵及胆管周围脂肪组织或邻近的器官

印戒细胞癌:较少见它与胆囊或胃肠道的印戒细胞癌一样由分化程度不等的含有粘液的癌细胞构成癌细胞无一定结构弥漫浸润

鳞状细胞癌:罕见其组织形态与其他器官所见者相同

4.肝外胆管癌的扩散与转移:早期发生转移者较少主要是沿胆管壁向上向下浸润直接扩散如上段肝管癌可直接侵及肝要比中下段癌多见最常见的是肝门淋巴结转移也可至腹腔其他部位的淋巴结血路转移除非是晚期癌者一般较少各部位的胆管癌以肝转移最多见尤其高位胆管癌癌组织易侵犯门静脉形成癌性血栓可导致肝转移也可向邻近器官胰腺胆囊转移。  

临床表现[编辑 | 编辑源代码]

胆管癌早期症状不论在哪一部位,其临床表现主要为伴有上腹部不适

胆管癌超声内镜检查

的进行性黄疸食欲不振消瘦瘙痒等。如合并胆结石及胆道感染,可有发冷发热等,且有阵发性腹痛隐痛。如位于一侧肝管癌肿,开始常无症状,当影响至对侧肝管开口时,才出现阻塞性黄疸。如胆管中部癌不伴有胆石感染,多为无痛性进行性阻塞性黄疸。黄疸一般进展较快,不呈波动性。检查可见肝肿大、质硬、胆囊不肿大。如为胆总管下端部,则可扪及肿大的胆囊。如肿瘤破溃出血,可有黑便大便潜血试验阳性、贫血等表现。

临床表现主要为伴有上腹部不适的进行性黄疸,食欲不振、消瘦、瘙痒等,如合并胆结石及胆道感染可有发冷、发热等,且有阵发性腹痛及隐痛。如位于一侧肝管,癌肿开始常无症状,当影响至对侧肝管开口时才出现阻塞性黄疸;如胆管中部癌不伴有胆石及感染,多为无痛性进行性阻塞性黄疸,黄疸一般进展较快,不呈波动性。检查可见肝肿大,质硬,胆囊不肿大;如为胆总管下端部,则可扪及肿大的胆囊,如肿瘤破溃出血,可有黑便或大便潜血试验阳性,贫血等表现。  

检查[编辑 | 编辑源代码]

1.实验室检查:主要表现为梗阻性黄疸肝功能异常胆红素碱性磷酸酶

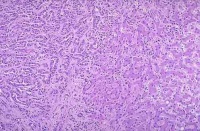
胆管癌的病理改变镜下观

增高等

2.B超检查:反复仔细的B超检查可显示扩张的胆管梗阻的部位甚至肿瘤胆管癌的超声像可呈肿块型条索状突起型及血栓状肝内胆管癌常呈肿块或条索状肝门部癌常为条索状下部胆管癌常为突起型肝门部血栓状声像可能是肝门癌胆囊癌或转移癌由于胆管扩张发生在黄疸之前B超具有诊断早期胆管癌的价值

3.PTC:是诊断胆管癌的主要方法它能显示胆管癌的位置和范围确诊率可达94%~100%

4.CT:胆管癌的CT基本表现为⑦显示为胆管癌之近端胆管明显扩张接近肿瘤的胆

管壁增厚于增强扫描时胆管更清晰可被强化管腔呈不规划的缩窄变形一般可发现软组织密度的肿瘤影其CT值为50Hu增强扫描时被强化CT值为60~80Hu②肿瘤多数沿胆管壁浸润性

胆管癌HE×100

生长胆管壁增厚边缘欠清晰增强扫描时可被强化而易显示少数呈息肉状或结节状向管腔内生长结节为软组织密度③肿瘤向腔处浸润扩展管壁边缘模糊常侵犯胆囊肝脏毗邻的血管淋巴组织而呈不均密度软组织影形态不规整组织结构模糊界限不清

5.ERCP:可直接观察十二指肠乳头造影能显示梗阻远端胆管

6.血管造影血管造影术可较好地判定胆管癌能否被切除

7.细胞学检查:在PTCD基础上扩大窦道插入纤维胆道镜可直接观察并钳取肿块活检行PTC或PTCD时可抽取胆汁行细胞学检查  

治疗[编辑 | 编辑源代码]

一、中药治疗[编辑 | 编辑源代码]

大量临床实践证明,对中晚期病人进行大剂量放、化疗,或对产生耐药的患者再次进行化疗只能导致虚弱的生命更加垂危,加速了患者死亡。临床常常可以见到,患者死因不是因为癌症本身造成,而是由于不科学、不恰当的杀伤性治疗所致。如肝癌多次介入后出现腹水、黄疸等肝功衰竭而致死;肺癌胸水化疗后导致呼吸衰竭而死亡;胃癌肠癌化疗后恶心呕吐,患者更加衰竭而死亡;白血球下降,患者感染而死亡等。

中药可以弥补手术治疗、放射治疗化学治疗的不足,既能巩固放疗、化疗的效果,又能消除放化疗的毒副作用

胆管癌温馨提示:

胆管癌的黄疸早期运用中医降逆止呕疏肝利胆,退黄去湿,以利小便,退黄滋养,控制肿瘤,晚期西医胆管引流后,及时运用中医扶正固本,疏肝利胆。扶正祛邪,恢复免疫脏腑功能为主。  

二、手术治疗[编辑 | 编辑源代码]

(1)可切除肝门部胆管癌手术方法的选择:

①肝门部胆管胆总管及胆囊切除胆肠吻合适用于未侵及肝实质之肝总管癌

胆管癌术中

②肝方叶或加部分右前叶切除及肝门部胆管肝外胆管切除胆肠吻合适用于肝总管癌或汇合部胆管癌

③肝方叶或左半肝切除及肝门部胆管肝外胆管切除胆肠吻合适用于左肝管及肝总管癌

④肝方叶或右半肝切除及肝门部胆管肝外胆管切除胆肠吻合适用于右肝管及肝总管癌

⑤超半肝或三肝切除及肝门部胆管肝外胆管部分尾状叶切除胆肠吻合适用于左或右肝管癌侵及二级以上肝管和尾状叶肝管

⑥姑息性切除肝方叶及肝门部胆管肝外胆管切除胆肠吻合并残留部分癌组织如尾状叶肝管或门静脉前壁

⑦门静脉主干汇合部或左右干前壁受侵犯者切除其受累部分静脉壁再予血管修补重建术后辅以腔内放疗

(2)肝门部胆管癌故息性手术:胆肠内引流术是首选的姑息手术方法原则是胆肠吻合口应尽量远离病灶根据PTC显示扩张的胆管情况选择胆肠吻合部位部分病例由于病灶侵犯肝门或因肝萎缩-肥大复合征存在萎缩叶胆管吻合引流价值不大肥大叶胆管显露困难使不少无法切除的病例仅能置管引流常用的方法是扩张癌性狭窄后放置尽可能粗而较硬的T形管U形管或内支撑导管T形管经胆总管或经肝引出

切除的左半肝

均可为了防止滑脱应将引流管缝合固定于胆管壁及周围组织上并做一上段空肠造瘘供术后回输胆汁及必要时管饲营养非手术置管引流常用的方法为PTCD也可经PTCD窦道扩大后放置内支撑管穿过狭窄段

(3)中下部胆管癌切除术:中下部胆管癌比肝门部及乳头部癌少见目前多数学者为其手术方式是胰头十二指肠切除术中下部癌无法切除者可用上述姑息性方法  

三、化疗:[编辑 | 编辑源代码]

术中经胃网膜有动脉插管至肝动脉留置药物泵导管皮下埋泵术后经药物泵给药常用的化疗药为5-Fu.MMC  

四、放疗:[编辑 | 编辑源代码]

术中放疗术后定位放疗及分期内照射等根治性剂量照射放疗对晚期胆管癌有一定的效果因其可使癌细胞变性坏死与抑制其生长可延长晚期胆管癌病人的生存期

参考[编辑 | 编辑源代码]