乳头状腺癌

来自医学百科

模板:Infobox disease

宫颈乳头状腺癌英文名:Villoglandular adenocarcinoma of the cervix, VGA),也称乳头状腺癌绒毛型宫颈腺癌villoglandular papillary adenocarcinoma, papillary villoglandular adenocarcinoma,)、高分化宫颈乳头状腺癌well-differentiated villoglandular adenocarcinoma),是一类罕见的宫颈癌。和其他类型的宫颈癌相比,它更容易病发于年轻妇女人群,并有较好的预后[1]

子宫内膜乳头状腺癌是一类相似的疾病,可能由于子宫内侧病发产生[2]

特征与症状[编辑 | 编辑源代码]

宫颈乳头状腺癌的特征与症状与其他类型的宫颈癌相似,可能包括性交后的阴道失血英语-{vaginal bleeding}-性交疼痛。早期的损伤可能是完全无症状的。

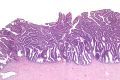
诊断[编辑 | 编辑源代码]

宫颈毛玻璃样细胞癌的诊断取决于器官检查,比如活体检查。在显微镜下,有乳头样的维管组织核心结构,这和它们的长度有关(绒毛膜绒毛英语-{Chorionic villi}-),其表面覆盖着腺状的伪复层纤毛柱状上皮

治疗[编辑 | 编辑源代码]

肿瘤的治疗取决于肿瘤分期英语-{cancer stage}-。肿瘤的预后通常良好,通过宫颈锥切术英语-{Cervical conization}-可以保留生育能力英语-{fertility}-子宫颈切除术英语-{cervicectomy}-也可以作为治疗方法。

相关[编辑 | 编辑源代码]

其他图片[编辑 | 编辑源代码]

参考[编辑 | 编辑源代码]

  1. Korach, J.; Machtinger, R.; Perri, T.; Vicus, D.; Segal, J.; Fridman, E.; Ben-Baruch, G.. Villoglandular papillary adenocarcinoma of the uterine cervix: a diagnostic challenge.. Acta Obstet Gynecol Scand. 2009, 88 (3): 355–8. Error: Bad DOI specified模板:Namespace detect showall. PMID 19172445. 
  2. Zaino, RJ.; Kurman, RJ.; Brunetto, VL.; Morrow, CP.; Bentley, RC.; Cappellari, JO.; Bitterman, P.. Villoglandular adenocarcinoma of the endometrium: a clinicopathologic study of 61 cases: a gynecologic oncology group study.. Am J Surg Pathol. Nov 1998, 22 (11): 1379–85. PMID 9808130. 

模板:女性生殖道肿瘤

参考来源[编辑 | 编辑源代码]