滑膜肉瘤
滑膜肉瘤是恶性程度较高的软组织恶性肿瘤,源于关节、滑膜及腱鞘滑膜组织。发病部位以四肢的大关节为多,也可发生于前臂、大腿,腰背部的肌膜和筋膜上。主要以手术治疗为主。
名称[编辑 | 编辑源代码]
滑膜肉瘤
分类[编辑 | 编辑源代码]
概述[编辑 | 编辑源代码]
滑膜肉瘤起源于滑膜、滑囊和腱鞘,是发生频率较高的一种软组织肉瘤以四肢最好发,尤其是膝关节,外与关节无关的部位如头颈部、腹壁、后腹膜也可发生。 全身凡有关节滑膜、滑囊、腱鞘均可受累,一般原发于关节囊外,后穿入关节囊。可发于任何年龄,但以20~40岁见。男多于女,病理长短不等,以1年左右多见。
滑膜肉瘤是发生频率较高的一种软组织肉瘤,好发于15-40岁,四肢的大关节附近,特别是膝关节附近好发,另外与关节无关的部位如头颈部、腹壁、后腹膜也可发生。本病的基本X线表现有三点:软组织肿块,局部骨皮质破坏,肿瘤的钙化和骨化。此病好发于关节附近,呈分叶结节状,密度增高,边界清楚的软组织肿块。其内可见骨化影,呈条状或块状轮廓清楚的高密度影,部分骨化影中可见骨小梁结构,少数病例为骨化性肿块。应与骨旁骨肉瘤、骨化性肌炎、骨肉瘤等鉴别。
发病机制[编辑 | 编辑源代码]
滑膜肉瘤的发病机制目前还不清楚。
1.大体所见在手足小的Ⅰ期病变,其包膜完整易于分离此瘤虽然起始于滑膜,但并不像腱鞘囊肿一样,不与关节腔或腱鞘相通。肿瘤切面呈软肉状实体无囊腔,可分泌出黏液在大肢体的深部滑膜肉瘤,恶性级别高其包膜不完整,周围为水肿的血管丰富的炎性反应组织所包绕在肿物外行钝性剥离常可撕破包膜。肿瘤内为软的、白色肉样物质分泌胶样液,其软度大约可用吸引器吸出。 2.组织学形态手及足部小滑膜肉瘤的组织片上呈双相表现一部分为成群滑膜细胞在淡染的黏液物质中,细胞常呈腺状,可见有无细胞的裂隙,就像是被纵切开的毛细血管,但其被覆的不是内皮细胞而是肿瘤细胞。此组织中所含的蛋白糖类可以在冷冻切片上用组织化学方法证实。此瘤的另一区是由成纤维细胞所组成为梭形细胞偶见分裂象呈纤维肉瘤状的人字形排列,细胞与基质占同等比例在嗜伊红染的基质中有清楚的纤维,滑膜细胞可以像其他细胞一样,产生胶原。
发病部位[编辑 | 编辑源代码]
膝关节(最常见)、腕关节、肘关节、肩关节、前臂软组织、手指、足部,也有时可发生于肌腱和筋膜上。
临床表现[编辑 | 编辑源代码]
临床表现为关节附近的无痛肿块,患者可能出现关节周围肿胀或肿块,肿块可沿软组织伸展至整个前臂。在肿块皮肤表面可能有静脉怒张。肿块质地大多为中等,也有较硬和较软。会出现不同程度疼痛、隐痛或钝痛,甚至后期呈剧烈疼痛,夜间疼痛显著。有些患者局部肢体活动受限。在四肢关节附近,以局部肿胀、肿块、疼痛,活动受限为主要临床症状,以软组织肿块、肿块钙化、骨骼改变及骨膜反应为主要X线表现。恶性滑膜瘤临床X线表现不典型而易误诊、漏诊。
治疗措施[编辑 | 编辑源代码]
以手术切除肿瘤为主要治疗,并争取做到广泛切除,如有重要血管受肿瘤侵犯血管需随肿瘤一并切除,则有行血管移植的必要,切除不彻底有较高的局部复发率,文献报道,边缘切除,复发率高达77%。好发肺转移,但淋巴转移也不少见,其发生率20%左右,因此凡引流淋巴结较大者在肿瘤切除的同时必要施行淋巴结清扫术。 5年生存率在20%~50%左右,局部切除不彻底者,可辅加放疗,目前化疗效果尚不肯定。
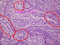
病理改变[编辑 | 编辑源代码]
1.肉眼所见 肿瘤呈结节状或分叶状,境界清楚,但无真包膜,一般质地较软,少数因钙化或骨化而出现砂砾样斑点。切面灰白色,鱼肉样,常杂有灰黄色和暗红色的坏死出血区。
2.镜下所见 组织学上一般分为双相型和单相型,双相型一般上皮样细胞和梭型细胞的数量相当,均匀分布,有的上皮样细胞条索可形成脉管样的不典型的假腺腔或小的血窦样裂隙。单相型以上皮细胞为主型,或梭型细胞为主型。在某一些病例中,在双相型细胞中,可见到瘤组织由未分化的小圆形或卵圆形瘤细胞组成,此型也叫未分化型。恶性度高。
群体[编辑 | 编辑源代码]
以青少年及中年患者多见,男性多于女性,好发部位为大关节附近,主要在膝部,其次在踝、髋及肩关节附近。有半数以上病倒发生于下肢,四分的病例发生于上肢。颈及躯干较少,肿瘤浸润性生长,切除后易复发,病程不一,起初为无痛性肿块,长大并出现不同程度疼痛,一般肿瘤可侵犯周围骨组织。瘤块较大时影响关节活动。
鉴别诊断[编辑 | 编辑源代码]
鉴别诊断主要是病理鉴别。要掌握滑膜肉瘤特征性形态,双相分化,即两型细胞之间有过渡。常需同腺癌、软组织腺泡样肉瘤、纤维肉瘤、平滑肌肉瘤、神经鞘瘤相鉴别。
X光检查[编辑 | 编辑源代码]
X线检查为本病主要辅助诊断方法,以病理检查为确诊依据。但临床症状及X线表现不典型,组织学多样,误诊、漏诊较多。本病的X线表现须与以下病变鉴别:
(1)周围型骨纤维肉瘤:好发长骨干骺端及骨干,很少引起跨关节破坏,但骨质破坏较恶性滑膜瘤明显,且出现的钙化率低。
(2)脂肪肉瘤:发病部位不在滑膜附近,常有较大范围钙化。
(3)关节结核:为慢性进行性骨关节病,关节软组织及滑膜受累多呈弥漫性表现,而非肿块状影,关节膜积液常较明显,随病变进展将出现明显的关节骨质破坏,关节明显变窄及纤维僵直。
(4)色素沉着绒毛结节性滑膜炎,常显分叶状或结节状肿块,但此病不易钙化,且有明显关节积液。
X线表现[编辑 | 编辑源代码]
(1)软组织肿块。临床所能触及的肿块并不都在X线上显示出来。有的表现局部软组织肿胀,有的出现软组织肿块。一般肿块密度较邻近软组织稍高,大小不等,小的只有豌豆大,大者可巨大,有跨越关节生长的特点。
(2)软组织肿块钙化。软组织肿块内可见到不定形、不规则钙化影,占30%。钙化的原因可能与出血、感染、坏死及软骨钙化等有关,且钙化的多少与肿瘤恶性度有关,钙化越少,恶性度越高。
(3)骨骼改变。会出现不同程度骨质压迫、缺损或溶骨性破坏。譬如骨质疏松,骨萎缩畸形,囊性骨缺损,骨质糜烂,溶骨性破坏,关节改变。骨质轻度疏松为早期表现,以后压迫性骨萎缩、变细或囊性缺损,进一步发展出现骨质破坏。骨破坏大多呈不规则状,也可呈囊状,跨关节者可侵及多骨。本病一般关节无改变,但偶尔可有侵入关节,使间隙增宽或出现软组织肿块,也可出现关节积液,易误诊为关节疾患。
(4)骨膜反应。可出现平行、花边状或针状骨膜反应,有些虽未见到明确骨膜反应,但邻近骨皮质可见到刺状突起。可能出现Codman三角。
动脉造影[编辑 | 编辑源代码]
动脉造影对本病有较大诊断价值, 造影可显示肿块处新生毛细血管、血管湖及其他恶性肿瘤的特点。造影还可帮助手术避免损伤大血管,或进行动脉内化疗。本病在目前初诊时如不通过活检,难以获得确诊。一般认为位于关节附近的肿块或其内有钙化,X线表现极不典型时,应高度怀疑恶性滑膜瘤。
治疗方案[编辑 | 编辑源代码]
以手术切除肿瘤为主要治疗,并争取做到广泛切除,如有重要血管受肿瘤侵犯血管需随肿瘤一并切除,则有行血管移植的必要,切除不彻底有较高的局部复发率,文献报道,边缘切除,复发率高达77%。好发肺转移,但淋巴转移也不少见,其发生率20%左右,因此凡引流淋巴结较大者在肿瘤切除的同时必要施行淋巴结清扫术。5年生存率在20%-50%左右,局部切除不彻底者,可辅加放疗,目前化疗效果尚不肯定 滑膜肉瘤也是恶性程度很高的肿瘤,晚期因有远处的转移的情况,所以病情可以表现为轻重不一,但预后相对较差。
药物对滑膜肉瘤本身无明显作用,化疗药物仅用于术后辅助治疗,术后应用抗生素以防感染是必要的。
输血及应用人体白蛋白对于体弱病重患者来说,是必要的,不可少的。辅助检查对滑膜肉瘤之诊断基本检查已足够,但如果疑有肺或区域性淋巴结转移时,可考虑选用特需检查专案。
坤鹤百草以辩证与辨病相结合施治结合某些抗癌中药常能收到较好疗效.可有效的改善全身症状,对于有远处转移以没有手术适应症的可以有效治疗;提高近期和远期疗效;失去西医根治机会者,可减少痛苦,提高生命质量,提高远期生存。
1.手术如果没有辅助治疗或病变对辅助治疗没有反应,则要获得可靠的局部控制就需要根治性外科切除
当病变对术前放疗和(或)术前化疗有反应时,则局部切除后局部复发率小于10%。对于位置深在的位于肢体近端和躯干周围的较大病变而言即使对辅助治疗有满意的反应,施行边缘切除后,局部复发率仍然非常高与此相比,那些位于肢体远端的小而表浅的病变对新辅助疗法反应满意者,局部复发风险较低。
若触诊发现局部淋巴结异常往往提示有转移的可能应在对原发肿瘤施行手术之前进行淋巴结活检如果区域淋巴结已有转移则病变属Ⅲ期,其预后凶险。
滑膜肉瘤--外科处理影像
对Ⅰ期小肿瘤,广泛切除是肯定的治疗,其复发率不高,如一旦复发,则需广泛截肢常遇到的麻烦是在术前并未认识到是滑膜肉瘤,而作为腱鞘囊肿行囊内或边缘切除。术后已摸不到肿物无法确定其分期,待病理结果为肉瘤已将病变扩大到伤口的边缘。其处理办法是等待局部有了复发的证据再来设计手术方案此种办法的缺点是有转移的中等危险,并且其复发也比原来广泛,处理也被耽搁其变通的办法是对危险区行放射治疗以抑制未表现出来的复发用放疗的缺点是不能肯定手术时播散的范围,并且肿瘤细胞散在缺氧的瘢痕之中健疗效果更差。再者在手或足部放疗其放疗瘢痕使手或足功能更为障碍。再一个变通办法是在可能播散区的近侧行广泛截肢,此法增加了残废,但对控制疾病则是肯定的。 Ⅱ期肢体近侧大滑膜肉瘤需要彻底外科处理广泛切除或广泛截肢有较高的复发率,附加其他治疗,特别是在术前给予放射治疗使高度恶性的滑膜肉瘤行广泛切除后的复发率明显降低。至于更为保守的边缘切除并用附加放疗能否有如上述良好结果则尚无报道。附加治疗对此肿瘤效果较好,是由于滑膜肉瘤对放疗较其他软组织肉瘤更为敏感
滑膜肉瘤即可向区域淋巴结转移。也可向远隔肺部转移。对于前者做淋巴结肿物放疗后行局部切除仍可使疾病控制一定时间,从理论上讲行化疗对于微小转移是有效的
2.化疗新辅助化疗偶尔可产生较好的效果使本应截肢的患者得以施行保肢手术由于此方面数据不足,不能得出可靠的满意反应率。
术后化疗作为局部淋巴结和(或)远隔部位转移灶的最终治疗方法仅对部分患者有部分反应,但不能对该病变达到即刻或长期的控制
3.放疗大部分滑膜肉瘤对新辅助放疗有满意的反应当放疗作为最终的或姑息的治疗方法时通常可使该病获得满意的缓解
疾病预防[编辑 | 编辑源代码]
滑膜肉瘤多见于成年人,好发于四肢各大关节,属于恶性肿瘤,如发生于关节周围之肿块,应考虑滑膜肉瘤之可能。应行CT和同位素扫描检查,明确范围和全身状况,确诊以活检病理报告为准。治疗上依据肿瘤部位、范围决定保肢或截肢手术或放疗、化疗。
由于本病病因未明,尚无有效预防措施,早发现早诊断早治疗是关键。
护理方法[编辑 | 编辑源代码]
家庭护理[编辑 | 编辑源代码]
1、肿瘤病人家属应调整好自己的心态
亲人患了肿瘤对家属同样是一种打击,全家都会为之担心,为之痛苦,家庭气氛也随之变得紧张起来。由于对肿瘤抱有偏见,多数家属也会经历一段紧张、焦 虑甚至恐惧的时期。想到今后为了照顾患者会影响自己的学习、工作,为了得到最好的治疗而支付较高的开销,家属们往往也承受着巨大的精神压力。所以,这时家 属有必要先对自己的心态加以调整。
应正视现实,振作精神,多一份责任心和义务感,对肿瘤要有一个正确的认识,应相信大多数肿瘤是可以治愈的,要知道自己的情绪和心态会直接影响到病 人,所以对于家属第一个要求便是要在自己亲人罹患肿瘤的事实面前,能够镇静自若,控制和调整好自己的心态,或至少应在病人面前做到“内紧外松”。
2、肿瘤病人家属应给予病人最大的理解、同情、安慰和关怀
病人思想上有什么痛苦、疑虑、担忧、畏惧等,最能了解透彻的无疑是他最亲近的家属,家属往往扮演着病人心理医生的角色,在病人的精神上所起的作用是 不可估量的。所以,家属应想病人之所想,最大限度地分担病人的痛苦,让病人从他们那里得到更多的温暖和安全感;对病人做思想工作需要知识和耐心,切不可急 燥;对病人提出的一些特殊要求应给予理解和满足,使病人能在心灵上得到安慰;病人往往对孤独的生活非常敏感,有一种被抛弃的感觉,这时家属的关怀和体谅就 显得尤为重要。如果没有家属的支持,病人常会感到缺少精神支柱,丧失治疗信心。
3、肿瘤病人家属应与病人的主管医师和专业护理人员进行必要的交流和沟通
这样才能了解医师的治疗计划和安排,协助医护人员做好有关诊疗的准备和善后工作;对治疗后可能发生的情况和不良反应需有所了解,并对病人进行恰当的 解释,鼓励病人接受治疗;仔细观察病人病情,及时准确地向医师反馈治疗后的情况,做好医、患之间的联系和沟通,使庞大而长期的治疗康复计划得以顺利实施。
4、肿瘤病人家属应在专业人员的指导下做好病人的家庭护理工作
包括合理安排病人的饮食、起居及康复锻炼,努力学习和掌握一定的医学护理知识和技巧。对住院病人应尽可能多地给予探视和陪伴,代医院做些服务性工 作,如喂饭、搀扶、洗澡等。当病人病危时,不论白天黑夜至少应有一位家属陪伴在病人身边,以便照顾。细致而周全的照顾是必要的,但对处在康复阶段的病人还 应注意培养他们的主动意识,过分的关心可能会让病人失去自主感和自尊感,产生依赖心理,影响病人对正常工作及生活的适应能力。
饮食护理[编辑 | 编辑源代码]
'患者'宜'食'的食物:
2、宜多吃具有抗外阴肿瘤和白斑作用的食物,如芝麻、杏仁、小麦、大麦、土瓜、乌骨鸡、乌贼、乌梢蛇、猪胰、菊花、乌梅、桃子、荔枝、马齿苋、鸡血、鳗鱼、鲍鱼、蟹、鲎、沙丁鱼、文蛤、玳瑁。
3、疼痛宜吃鲎、赤、龙虾、淡菜、海参、虎鱼、甜菜、绿豆、萝卜、鸡血。
4、瘙痒宜吃苋菜、白菜、芥菜、芋艿、海带、紫菜、鸡血、蛇肉、穿山甲。
5、增强体质、预防转移宜吃银耳、黑木耳、香菇、猴头菇、鸡肫、海参、薏米、核桃、蟹、石龙子、针鱼。
6、外阴肿瘤手术手术后,耗气伤血,宜多食补气养血之品,如大枣、龙眼、扁豆、粳米、荔枝、香菇、胡萝卜、鹌鹑蛋、藕粉、豆类等。
7、外阴肿瘤手术后的放疗:耗阴损液,宜多食滋阴养液之品,如菠菜、小百菜、藕、犁、西瓜、香蕉、葡萄、海参、甘蔗、百合等。
8、外阴肿瘤手术后的化疗:易气血两损,宜常食补养气血之物,如木耳、香菇、核桃仁、桑椹、苡米粥、红枣、桂圆、海参等。
9、香菇 鲜香菇90克,用植物油适量、食盐少许炒过,加水煮成汤食。可预防癌症。
10、平菇 平菇适量,煎汤、煮食,或研末服。
11、菱实 鲜菱实20-30个,加水适量,小火煎成浓汤,分2-3次服。对胃癌、子宫颈癌有一定疗效。
12、乌龙茶 常喝乌龙茶有一定防癌作用。
13、蜂乳 坚持服食,能增强人体免疫力,具有防癌效果。
14、其他 牛奶或羊奶,不仅有丰富的维生素,而且含有某些防癌物质;新鲜蔬菜如萝卜、圆白菜、南瓜、豌豆、莴苣等,对于抵消食物中的亚硝胺都有一定作用;胡萝卜、菠菜、番茄、紫菜等,都含有丰富的维生素A,皆有一定的防癌作用。
患者'食'的食物:
(2)忌葱、蒜、姜、桂皮等辛辣刺激性食物。
(3)忌烟、酒。
(4)忌肥腻、油煎、霉变、腌制食物。
(5)忌公鸡、鹅等发物。
(6)瘙痒严重时忌海鲜及刺激、致敏食物。
化疗护理[编辑 | 编辑源代码]
1.注意观察患者胃肠道反应。抗癌药物刺激消化道黏膜后,有食欲不振、恶心、呕吐、腹泻等副作用,可通过服药同 时服镇静药的方法减少这类反应。如胃肠道反应严重,除应注意观察呕吐物的颜色、性质和数量外对症处理,可用止吐药,饮食上给以清淡可口的食物,少吃油腻不 易消化的食物。
2.抗癌药物常引起患者不同程度的口腔溃疡,这是由于药物对消化道黏膜的正常增生和更新有抑制作用,使得黏膜变 薄易破。如果患者内有残牙、义齿或吃剩的食物残存物,很容易戳穿黏膜引起感染,形成口腔黏膜溃疡。因此,在患者化疗期间,要加强口腔卫生宣传,刷牙要彻 底,动作要轻柔,每日早、晚各一次。经常用消毒液漱口,以预防口腔感染。对已经发生口腔炎的患者,可在溃疡处涂冰硼散类药物。
3.用药期间患者应每周检查一次红细胞、白细胞、血红蛋白和血小板,由于化疗药物会抑制造血细胞,所以化疗期间出现白细胞和血小板减少很多见。停药后一般会恢复正常。化疗期间患者应常规服用维生素B1、维生素B6、利血生和保肝药物,以防治白细胞减少和肝损害。
4.观察原发肿瘤处或身体其他部位有无不明原因的肿胀和包块,肿胀处有无压痛,如有异常应立即去医院就诊。
5.对于脱发,患者不要惊慌,因毛囊上皮生长迅速,对有些抗癌药物敏感,容易引起头发脱落。遇到这种现象家属应 当向患者做好解释工作,尽管有些患者脱发较严重,但停药后仍会长出新的头发,这样可以减轻患者的精神压力。另外,可以给患者多吃瘦肉、鸡蛋、鱼、新鲜水果 等,有助于保护皮肤,减少脱发。
| |||||||||||||||||||||||
