骨化性肌炎
骨化性肌炎系指肌腱、韧带腱膜及骨骼肌的胶原性支持组织的异常骨化现象而言。骨外伤的一种并发症,又称创伤性骨化性肌炎。祖国医学属“骨折”范畴。
骨化性肌炎-疾病概述[编辑 | 编辑源代码]
骨化性肌炎(myositisossificans)为进行性骨质结构于肌肉、结缔组织内沉积
所引起的肌肉硬化、趾、拇畸形的一种疾病。病因不清。一部份呈常染色体显性遗传。
常见于儿童或青年。表现为畸特的先天性斜颈、扭转和颈部肌肉肿胀、变硬,但多数不伴疼痛。全身肌肉均可累及。剧烈运动或外伤可引起肌肉破裂、出血和血肿形成,多数病人血肿吸收,但亦可继发肌肉僵硬和骨化形成,最终引起受累肌肉相应关节僵直和残废。X片检查可见肌肉内有羽毛状钙化。临床应与职业病所致的局限性骨化性肌炎,外伤性骨化肌炎等相鉴别。
骨化性肌炎-疾病病因[编辑 | 编辑源代码]
骨化性肌炎,是指正常无钙化的组织发生了钙化以也叫异位骨化。它的发生可与外伤性血肿有关,有的并无明显原因,它的基本病理改变是在纤维结缔组织中,原始细胞增殖活跃伴有丰富的毛细血管网,钙盐沉积,形成骨。成熟的异位骨化具有骨的结构,外层包裹纤维结缔组织,里面是
原则上应避免早期对受累局部进行热疗,超声波,按摩。缓慢。柔和的运动可预防挛缩。应采用渐进性运动练习,不当的治疗会使骨化加剧,对妨碍活动的骨化的切除,必须等到9-12个月或骨化成熟,骨化静止后才可进行。
骨化性肌炎多半是有明确的外伤史,发生部位是在肌肉内,主要病理改变是血肿的机化或钙化。本病为进行性骨质结构于肌肉、结缔组织内沉积所引起的肌肉硬化、趾、拇畸形的一种疾病。病因不清。一部份呈常染色体显性遗传。有学者报导产生骨化有四个因素:
①刺激因素:常常是挫伤占60%~70%,可导致血肿。这种损伤可很轻微,仅少量的骨骼肌或肌原纤维受损。
③存在基因表达缺陷的间叶细胞,这些细胞接受适当的信号后可生成骨样或软骨样细胞。
④存在连续发生骨化组织的环境,其中信号基因最为关键,Urist命名该基因为BMP。
骨化性肌炎-发病机理[编辑 | 编辑源代码]
骨化性肌炎是由于关节内或关节附近发生骨折、脱位后,固定不良、反复粗暴的整复
手法、被动活动,或在脱位后不久、骨膜重新与骨相连之前,过早地进行被动和强力活动,使纤维组织增生,骨或骨化生所致。祖国医学认为:是因外伤瘀滞、气血失和,瘀血和筋膜交织,日久形成包块、硬结,引起血肿骨化。多发于关节、股死头肌、内收肌、上臂肌、小、臀、膝、肩、肘等部位的肌肉处。
病变组织多为肌肉,也可为筋膜、肌腱、骨膜。肌肉受伤后成纤维细胞与间胚叶细胞增殖,酷丝纤维肉瘤或肌肉肉瘤。细胞分区具有特征性,中心区为高度聚集的细胞,其外围是成纤维细胞组成的第二区带,再由成熟的能够定位的新骨组成第三区带。当中心区有因出血形成的血池时组织像似巨细胞瘤,应注意鉴别。发生于筋膜者表现大致同上,但不含有肌纤维。而发生于肌腱止点者可形成一外生骨疣。发生于骨膜者最终可致骨软骨瘤。
骨化性肌炎-临床表现[编辑 | 编辑源代码]
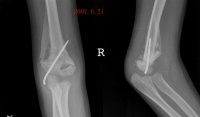
既往有外伤史,而伤后又未作任何处理,尤其是关节附近软组织损伤。如常发生于肱前肌
,则表现为肘关节区肿胀、压痛,肘关节被动主动活动受限。随后疼痛与肿胀消退,在肘关节前方可摸到一个包块,因包块出现而肘关节功能受到影响。另外也可见于三角肌、内收肌。
1.常有肘关节损伤史,多见于青少年。
2.早期以肘关节活动时疼痛为主,肘关节活动受限。
3.在肘关节周围可以摸到异常骨块,该骨块可逐渐增大,以后又可缓慢回缩至骨块成熟。
骨化性肌炎-疾病类型[编辑 | 编辑源代码]
分为两种类型,外伤性骨化性肌炎和进行性骨化性肌炎。其中以外伤性骨化性肌炎最常见。
外伤性骨化性肌炎[编辑 | 编辑源代码]
外伤性骨化性肌炎也称局限性骨化性肌炎,只显单一病灶。多见于30岁以前。常发生在外伤后,也有少数病例为并发与其他疾病者,例如发生在偏瘫、脊髓前角灰白质炎
,烧伤或破伤风病人。外伤后,软组织内出血可能是造成骨化的原因。常于外伤2-3周后,在软组织出现钙化及骨化。病变常出现在易接受外伤的部位,如肘、股、臀部。在邻近长骨的骨干部分沿骨干的方向排列,呈层状骨化,而且于一处或数处可与邻近骨相联。病变很少伸延到骨端及关节的部位。
骨化好发与肱前肌,表现为肘关节区肿胀与疼痛,肘关节被动与主动活动均受限。疼痛与肿胀减退后在肘关节前方可以摸到一个界线清楚的硬的肿块。因肌肉无弹性,故肘关节伸屈受限;由于肿块的阻挡,屈曲也明显受限。
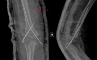
x线特征:受伤后不久可出现局限性肿快。伤后3-4周,在肿快内显示毛状致密象,其临近骨将显示骨膜反应。伤后6-8周,病变边缘部清楚地被致密骨质所包绕,而具有新生骨的外貌。软组织肿块的核心部有时显囊性变且逐渐扩大其内腔,到晚期而显出类似蛋壳状的囊肿。伤后5-6个月肿块收缩,因而肿块与邻近的骨皮质和骨膜反应之间显出x线透亮带。
进行性骨化性肌炎[编辑 | 编辑源代码]
进行性骨化性肌炎为先天性遗传性疾病患,有时表现为家族性疾患。男性较多见,常发病于婴儿或小儿。常于生后几岁就被发现患此疾病。早期症状为受累部疼痛、热、肿胀,而后,常于背、颈、肩部皮下组织内出现硬块,剧烈疼痛或压痛。此时,可能合并发烧。随着病灶的胶样化,皮下组织的肿块逐渐缩小,以至变硬而固定的肿块。至此,急性期症状暂告消失,x线检查已可知病灶中有钙盐沉着。接着又可有新的病灶出现。因此,可出现一组一组的肌肉、肌腱、韧带相继受累现象。轻微的外伤就可促使病情加重,因此应避免做活体组织检查。大约于30岁以后,此病就停止进展。本病预后不佳,多见于呼吸障碍或嚼饥骨化所致的慢性饥饿。运用中医中药、辨证施治,采用行气活血,化瘀通络,消肿散结的方法治疗本病,通过整体调节使机体阴阳气血达到平衡有序的目的。本病治疗越早效果越佳。中药外敷与口服中药冲剂相结合,治疗该疾病疗效高、恢复快,可使钙化的肌肉吸收,功能恢复,达到康复的目的。
骨化性肌炎-疾病治疗[编辑 | 编辑源代码]
中西医结合对骨化性肌炎的分期治疗法[编辑 | 编辑源代码]
1早期(反应期):
局部软组织出现肿块,有时发热,伴有疼痛,关节活动受限。X线摄片示软组织内有不规则棉絮状模糊或关节周围云雾状的钙化阴影,以肘关节骨化性肌炎为例,在前臂伸屈肌、肱二头肌及肱三头肌近肘关节处采用轻柔适中的抚、摸、揉、推、弹、拨等手法。以松解剥离肌腱、腱膜及肌肉的粘连,其后术者一手持患肢腕部,一手持肘关节上中部,轻微持续牵引。再持患肢腕部轻柔地做肘关节无痛下的内收,外展和前后屈伸方向的抖动及环转手法,切忌手法粗暴及对局部肿块和关节囊行按摩刺激。
更忌对肘关节用力拔伸牵引,硬性内翻,外翻及前后屈伸。手法治疗期间同时配合局部薰洗并指导病人行无痛或稍痛下肘关节主动活动功能锻炼。
2中期(活跃期):
发热,局部皮温高,压痛,质硬肿块。局部肿块因逐渐骨化较前增大明显,肌肉僵硬萎缩,关节疼痛不明显,关节功能活动障碍。X线摄片示肿物周围花边状新骨大量生成,界限清楚,经过一段时间后,肿物停止发展并有所缩小,而形成较为致密的骨化性团块,可给予患肢依照早期手法按摩,然后术者一手持患肢肘关节近端,一手持患肢前臂中部。柔和稍用力逐渐被动屈伸肘关节,常常可听到骨化性肌炎断裂声,及粘连撕裂声此时肘关节的被动活动可达到基本正常范围。如遇骨性阻挡,切忌强行被动屈伸,以免再次发生骨折,应待骨化组织逐渐成熟及局限后。行手术治疗。手法治疗后,局部薰洗治疗,并指导病人在疼痛可耐受情况下,行肘关节以主动活动为主,被动活动为辅的功能锻炼。
3晚期(骨化期):
局部无疼痛,肌肉僵硬萎缩严重,关节强直在某一体位或仅有轻微的活动度,X线摄片示出现壳状骨性软骨骨化,范围局限骨化明显致密,行手术切除骨化组织及关节松解术,用肘外侧切口在肱骨外髁嵴部,分别向肘前及肘后剥离,显露骨化组织后将其切除并彻底松解粘连组织,闭合切口前应松止血带,仔细止血放置负压引流术后经3周制动进行关节主动活动,以免再发生粘连待刀口愈合拆线后行中药熏洗治疗。
4中药熏洗:
中药熏洗根据舒筋活血、散瘀止痛、温经通络、软坚散结的治则,选用如下组方进行熏洗,每天2次每次min,每剂熏洗3天,10天为1个疗程。处方:鸡血藤30g,生南星30g,红花30g,木鳖子20g,生二乌15g,木瓜25g,三棱25g,莪术25g,海桐皮30g,路路通30g,桑枝30g,桂枝30g,山甲15g等。用布将上药包好,用冷水先浸泡20~30min,然后再加热煮沸,30min后倒入脸盆先熏后洗患处。
5、手法治疗
(1)患者取坐位,术者立于患侧术者一手握其患肢的手掌,另一手大拇指、食指从肩部起运用“缕法”缓缓向下缕顺,缕时,每隔一段缕捏1次,以达到理筋分筋之目的。
(2)术者右手大拇指运用顺法、从肩、臂至曲池、手三里、合谷等穴进行点揉,以达到通络止痛的作用。
(3)术者两手掌由腋下至肘部,下达前臂运用“搓法”先轻后重,由重转轻进
行搓动,以达到舒筋散瘀及松解肌腱的功效。
(4)术者一手或两手握其患肢的远端,运用“运拉”法顺势牵引,牵力不可粗暴,使患肢伸的功能逐渐恢复。
(5)术者左手固定其患肢的上臂,右手握其腕部,运用“屈法”使患肢的掌心向着肩部屈曲。此时,术者手法用力要均匀,不可急于求成。以免加重肘部的软组织损伤。以上手法在第一次熏洗后进行,反复施术3遍。时间以15分钟为宜,每天1次。
6.放射治疗
放射治疗通过改变DNA而对快速分裂的细胞产生的影响,阻止间充质干细胞分化为成骨细胞的干细胞,从而有效地阻止局限性骨化性肌炎的形成。因骨折后反复多次整复而发生局限性骨化性肌炎者,可应用放射治疗,尤其是切除骨化块后为预防复发更应进行放射治疗。
7.康复介入治疗
减小局部压力和多活动患肢是预防该病的基本方法。一旦怀疑骨化性肌炎发生,应停止被动活动,主动活动应限制在无痛范围内。骨化性肌炎可引起局部疼痛,有时会较剧烈,有效的治疗方法为局部注射赖氨酸阿司匹林。
8、按摩法。
早在黄帝内经《素问•举痛论篇》 “按之则血气散,故按之痛止”,又说:“按之则热气至,热气至则痛止矣。” 《素问•血气形志篇》 ,“形数惊恐、经络不通,病生于不仁,治之以按摩醪药”的记载。可见其历史之悠久。通过按摩能起到舒筋活络,祛瘀生新,松解组织粘连。功能锻炼,能使血液循环加快,改善局部的新陈代谢与按摩相得益彰,配合温经通络,活血化瘀,祛风除湿,行气止痛,软坚散结的中药熏洗,以达到治愈的目的。
做操,运动。治疗和防止病情扩大[编辑 | 编辑源代码]
1.徒手训练
⑴叉腰和背手:主要训练内旋;
⑵摸头:单手或双手摸头,主要训练外旋;
⑶匍匐:趴地伸上肢,双手伏于地,利用臀部进退以前举肩;
⑷坐于桌旁:患手置于桌上,利用自身体重自行各方向的活动;
2.器械训练
⑴体操棒训练;用健手带患手作肩关节活动。
⑵滑轮训练;通过头顶的滑轮,用健手带动患手外展上举,但此法易致肩痛。
⑶摆动训练;弯腰伏于高台上,患者握适当重物作各种方向的肩关节活动。
⑷肩胛梯;以手指爬升墙上有小阶梯的肋木。
⑸肩胛轮;同时训练肩外展上举与旋转。
3.被动训练
⑴全范围运动;由治疗师根据解剖和生理进行,是疗效最好,副作用最少的方法。
⑵本体感觉神经肌肉易化法。
⑶松动术。
肘关节
从功能角度考虑,肘关节挛缩的康复重点是恢复屈肘,其次为伸肘;
运动治疗以患者的耐受度或轻度疲劳感为宜;
积极预防骨化性肌炎。
.腕与手
腕与手的挛缩多源于外伤、烧伤和风湿性关节炎等。其评定与康复治疗较复杂。
骨化性肌炎-疾病预防[编辑 | 编辑源代码]
本病是严重创伤的并发症,可以通过努力而阻止它的发生与发展,凡关节脱位,严重创伤的患者。应及时请骨科医师诊治,不要盲目推拿,按摩造成继发损伤,关节脱位。应及时复位如有较大血肿,要及时穿刺抽出后加压包扎,关节创伤宜早期制动。用石膏托固定于功能位,若有肿胀宜中西医结合,使肿胀迅速消退。对于脊髓损伤致截瘫患者,若发现下肢有不明原因的较大血肿时,应及时穿刺抽出并加压包扎,这些都是预防严重创伤后继发骨化性肌炎的有效方法。
| |||||||||||||||||||||||||||||||||||||||||||
