克罗恩病
克罗恩病(crohn disease,CD),又称局限性回肠炎、局限性肠炎、节段性肠炎和肉芽肿性肠炎、也译为克隆氏病,是一种原因不明的肠道炎症性疾病。本病和慢性非特异性溃疡性结肠炎两者统称为炎症性肠病(IBD)。克罗恩病在整个胃肠道的任何部位均可发生,但好发于末端回肠和右半结肠。以腹痛、腹泻、肠梗阻为主要症状,且有发热、营养障碍等肠外表现。病程多迁延,常有反复,不易根治。
症状[编辑 | 编辑源代码]
比较多样,与肠内病变的部位、范围、严重程度、病程长短以及有无并发症有关。典型病例多在青年期缓慢起病,病程常在
数月至数年以上。活动期和缓解期长短不一,相互交替出现,反复发作中呈渐进性进展。少数急性起病,可有高热、毒血症状和急腹症表现,多有严重并发症。偶有以肛旁周围脓肿、瘘管形成或关节痛等肠外表现为首发症状者。本病主要有下列表现。
(一)腹泻常见(87%~95%。多数每日大便6~9次,一般无脓血或粘液;如直肠受累可有脓血及里急后重感。
(二)腹痛常见(50%-90%)。多位于右下腹,与末端回肠病变有关。餐后腹痛与胃肠反射有关。肠粘膜下炎症刺激痛觉感受器,使肌层收缩,肠壁被牵拉而剧痛。浆膜受累、肠周围脓肿、肠粘连和肠梗阻、肠穿孔和急性腹膜炎以及中毒性巨结肠等均能导致腹痛。以急性阑尾克罗恩病为首发症状的仅占1.8%,但克罗恩病病程中出现一般急性阑尾炎的可达84%~95%。
(三)发热占85%-94%。活动性肠道炎症及组织破坏后毒素的吸收等均能引起发热。一般为中等度热或低热,常间歇出现。急性重症病例或伴有化脓性并发症时,多可出现高热、寒战等毒血症状。
(四)腹块约1/3病例出现腹块,以右下腹和脐周多见。肠粘连、肠壁和肠系膜增厚、肠系膜淋巴结肿大、内瘘形成以及腹内脓肿等均可引起腹块。易与腹腔结核和肿瘤等混淆。
(六)其他表现有恶心、呕吐、纳差、乏力、稍瘦、贫血、低白蛋白血症等营养障碍和肠道外表现以及由并发症引起的临床表现。
病症分布及对象[编辑 | 编辑源代码]
本病分布于世界各地,中国较欧美少见。近十余年来临床上仍较少见。据1990---2008年国内文献报道,经手术及病理证实的共16例,而2009年文献报道5例。男女间无显著差别。任何年龄均可发病,但青、壮年占半数以上。
发病机制[编辑 | 编辑源代码]
(一)免疫患者的体液免疫和细胞免疫均有异常。半数以上血中可检测到结肠抗体、循环免疫复合体(CIC)以及补体C2,C4的升
高。利用免疫酶标法在病变组织中能发现杭原抗体复合物和补体C3。组织培养时,患者的淋巴细胞具有毒性,能杀伤正常结肠上皮细胞;切除病变的肠段,细胞毒作用亦随之消失。白细胞移动抑制试验亦呈异常反应,说明有细胞介导的迟发超敏现象;结核菌素试验反应低下;二硝基氯苯(DNCB)试验常为阴性,均支持细胞免疫功能低下。近年来还发现某些细胞因子,如II-1,2,4,6,8,10,y干扰素和a肿瘤坏死因子等与炎症性肠病发病有关。说明CD的发病可能与免疫异常有一定关系。
(二)感染应用特异性的DNA探针以PCR方法发现2/3CD患者组织中有副结核分枝杆菌(MP);用CD组织匀浆接种金黄地鼠,半数出现肉芽肿性炎症,40%为MPPCR阳性;CD组织中可找到麻疹病毒包涵体;在无菌环境下,实验动物不能诱发肠道炎症;另外甲硝唑对CD有一定疗效。所有这些均提示感染在CD的发病中可能有一定作用。
(三)遗传本病发病有明显的种族差异和家族聚集性。就发病率而言,白种人高于黑人,单卵双生高于双卵双生;CD患者有阳性家族史者10%一15%;研究发现本病存在某些基因缺陷。以上提示本病存在遗传倾向。
以前的研究证明了16号染色体上的一种基因的突变与克罗恩氏病之间的关系。近期发表的一些文章确定这种基因是NOD2基因,在细菌触发的炎症反应中起作用。临床上使用抗菌素治疗某些克罗恩氏病。在实验室里,在无菌环境中制备的炎症性肠病(IBD)动物模型经常不表现为IBD。因此NOD2基因是克罗恩氏病的易患基因非常好的候选,以及与克罗恩氏病发生、免疫反应和肠细菌作用有关的一种重要共同致病因子。
NOD2是一种富含亮氨酸的重复基因,为感知脂多糖所必须并可激活核因子κB(NF-κB)信号传递途径。类固醇可抑制NF-κB以及肿瘤坏死因子和其它细胞因子的表达。克罗恩氏病病人单核细胞NF-κB激活和肿瘤坏死因子表达加速。NOD2表达局限在单核细胞,在这里作为致病细菌成分的细胞浆受体。易患结肠炎的小鼠脂多糖信号传递有缺陷。研究人员筛查了512例来自德国和英国家庭或德国三人组(有IBD的德国病人及他们无病的父母)的病人,以及正常对照。溃疡性结肠炎或克罗恩氏病的诊断通过临床、放射学、内窥镜和组织学检查确定。将不确定结肠炎病人从研究中排除。6%克罗恩氏病病人是NOD2纯合子。溃疡性结肠炎病人没有属于这一类的,对照组也没有NOD2纯合子。NOD2杂合子存在于18%的克罗恩氏病、6%的溃疡性肠炎病人,以及8%的对照。Hampe等人指出,突变少见,只有6.5%的克罗恩氏病病人是纯合子。这种突变为克罗恩氏病的发生提供了高度风险。NOD2和溃疡性肠炎之间没有相关性,但是NF-κB活化在克罗恩氏病强于溃疡性肠炎。
病理[编辑 | 编辑源代码]
总的来说,
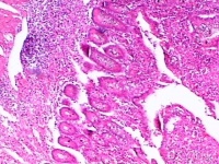
克罗恩病为贯穿肠壁各层的增殖性病变,并侵犯肠系膜和局部淋巴结。病变局限于小肠(主要为末端回肠)和结肠者各占30%,二者同时累及各占40%,常为回肠和右半结肠病变。Crohn将病理变化分为急性炎症期、溃疡形成期、狭窄期和痰管形成期(穿孔期)。本病的病变呈节段分布,与正常肠段相互间隔,界限清晰,呈跳跃区(skiparea)的特征。急性期以肠壁水肿炎变为主;慢性期肠壁增厚、僵硬,受累肠管外形呈管状,其上端肠管扩张。粘膜面典型病变有:①溃疡:早期浅小溃疡,后成纵行或横行的溃疡,深入肠壁的纵行溃疡即形成较为典型的裂沟,沿肠系膜侧分布。肠壁可有脓肿。②卵石状结节:由于粘膜下层水肿和细胞浸润形成的小岛突起,加上溃疡愈合后纤维化和疤痕的收缩,使粘膜表面似卵石状。③肉芽肿:无干酩样变,有别于结核病。肠内肉芽肿系炎症刺激的反应,并非克罗恩病独有;且20%~30%病例并无肉芽肿形成,故不宜称为肉芽肿性肠炎。④瘘管和脓肿:肠壁的裂沟实质上是贯穿性溃疡,使肠管与肠管、肠管与脏器或组织(如膀耽、阴道、肠系膜或腹膜后组织等)之间发生粘连和脓肿,并形成内瘘管。如病变穿透肠壁,经腹壁或肛门周围组织而通向体外,即形成外瘘管。
临床诊断[编辑 | 编辑源代码]
克罗恩病的临床检查[编辑 | 编辑源代码]
血液检查:可发现是否存在贫血或感染的迹象。
近来,不少欧美研究报道,某些自身抗体的检测可有助于鉴别溃疡性结肠炎与克罗恩病,但其诊断价值在亚洲患者中尚待进一步证实。
结肠镜检查:利用结肠镜作全结肠及回肠末段检查,是诊断克罗恩病最敏感的检查方法。这一检查的风险主要为肠穿孔和出血。
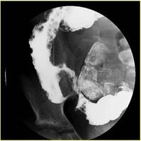
钡剂灌肠检查:这一检查不如结肠镜敏感和可靠,因此通常并不作为首选的检查方法,但可用于不适宜进行结肠镜检查的患者。
X线小肠造影:可观察小肠的病变情况,有助于确定肠腔狭窄的部位。
CT:可同时观察整个肠道及其周围组织的病变情况,尤其对于腹腔脓肿等并发症有重要的诊断价值。
由于克罗恩病的累及范围广,其诊断往往需要X线与结肠镜检查的相互配合。结肠镜检查在直视下观察病变,对该病的早期识别、病变特征的判断、病变范围及严重程度的估计较为准确,且可取活检,但只能观察到回肠末段,遇肠腔狭窄或肠粘连时观察范围会进一步受限;X线检查可观察全胃肠道,特别在显示小肠病变、肠腔狭窄等方面有重要价值,因此可与结肠镜互补。
实验室检查[编辑 | 编辑源代码]
(一)血象等检查白细胞常增高;红细胞及血红蛋白降低,与失血、骨髓抑制以及铁、叶酸和维生素B12等吸收减少有关。血细胞比容下降;血沉增快。
(二)粪便检查可见红、白细胞;隐血试验可阳性。
(三)血生化检查粘蛋白增加,白蛋白降低。血清钾、钠、钙、镁等可下降。
(四)肠吸收功能试验因小肠病变而作广泛肠切除或伴有吸收不良者,可作肠吸收功能试验,以进一步了解小肠功能(详见“吸收不良综合征”)。
x线检查[编辑 | 编辑源代码]
肠道钡餐造影能了解末端回肠或其他小肠的病变和范围。其表现有胃肠道的炎性病变,如裂隙状溃疡、卵石征、假息肉、单发或多发性狭窄、痰管形成等,病变呈节段性分布。钡剂灌肠有助于结肠病变的诊断,气钡双重造影可提高诊断率。X线腹部平片可见肠拌扩张和肠外块影。腹部CT,检查对确定是否有增厚且相互分隔的肠袢,而且与腹腔内脓肿进行鉴别诊断有一定价值。
内镜检查[编辑 | 编辑源代码]
内镜检查和粘膜活检可见粘膜充血、水肿、溃疡、肠腔狭窄、假息肉形成以及卵石征等不同表现。病变呈跳跃式分布。超声内镜检查有助于确定病变范围和深度,发现腹腔内肿块或脓肿。
治疗[编辑 | 编辑源代码]
目前尚无特效疗法。
无并发症时处理原则是全身支持治疗和缓解有关症状。活动期宜卧床休息给高营养低渣饮食。严重病例暂禁食,纠正水与电解质平衡紊乱,采用肠内或肠外高营养支持。贫血宜补充维生素B12、叶酸或输血。低蛋白血症可输清蛋白或血浆。为控制肠道继发感染,可选用广谱抗生素和甲硝唑。药物治疗可选用水杨酸偶氮磺胺吡啶、肾上腺皮质激素或6-巯基嘌呤,对控制活动期症状有效。
支持疗法和对症治疗十分重要。加强营养、纠正代谢紊乱、改善贫血和低白蛋白血症。必要时可输血、血浆、白蛋白、复方氨基酸,甚至要素饮食或静脉内全营养(TPN)。Teahon经10年观察113例克罗恩病服用要素饮食,其缓解率为85%,与肾上腺皮质激素相比,其缓解率以及1,3,5年的复发率无明显异常。解痉、止痛、止泻和控制继发感染等也有助于症状缓解。应用阿托品等抗胆碱能药物,应警惕诱发中毒性巨结肠可能。补充多种维生素、叶酸以及铁、钙等矿物质。锌、铜和硒等元素是体内酶类和蛋白质的组合成分,具有保护细胞膜作用。
(一)水杨酸偶氮磺胺吡啶(Sulfasalazine,SASP)和5-氨基水杨酸(5-ASA)适用于慢性期和轻、中度活动期病人。SASP在结肠内由细菌分解为5-ASA与磺胺吡啶。后者能引起胃肠道症状和白细胞减少、皮疹和精液异常而导致不育等不良反应;而前者则是SASP的有效成分,主要是通过抑制前列腺素合成而减轻其炎症。治疗剂量为4-6g/d,分4次服用,一般3--4周见效,待病情缓解后可逐渐减量至维持量1-2g/d,维持多久说法不一,多数主张连续应用1~2年。一般认为SASP不能预防克罗恩病复发。对不能耐受SASP或过敏者可改用5-ASA。5-ASA的剂型有多种,国内
如Pentasa(颇得斯安)2}-4g/d,分4次服用;奥沙拉嗪(含2分子5-ASA,由偶氮基联结而成)等。对直肠和乙状、降结肠病变可采用SASP或5-ASA制剂2-4g/d灌肠或栓剂0.5g/枝,1--2次/d,肛门用药。严重肝、肾疾患、婴幼儿、出血性体质以及对水杨酸制剂过敏者不宜应用SASP及5-ASA制剂。有介绍对SASP过敏者可试脱敏疗法,可能使部分患者得以继续服用SASP。方法是先停药1-2周后,自250mg/d开始,每7-10天增加250mg/d,至2g/d时维持。一般认为妊娠和哺乳期可继续用药,但也有认为妊娠最后数周不宜使用。
(二)肾上腺皮质激素皮质激素的作用为稳定溶酶体酶,减少毛细血管通透性,抑制化学趋向性及吞噬作用,并能影响细胞介质的免疫反应。常用于中、重症或暴发型患者。治疗剂量为泼尼松(强的松)40-60mg/d,用药10-14天,有75%一90%患者症状缓解,以后可逐渐减量至5一15mg/d,维持2--3个月。对不能耐受口服者,可静滴氢化可的松200-400mg/d或甲基强的松龙48mg/d或ACTH40-60u/d,14天后改口服泼尼松维持。由于皮质激素的严重副作用和无益于预防,因此一般主张在急性发作控制后尽快撤掉。10%一15%病人在完全停用激素后症状复发而需长期口服泼尼松10-15mg/d以控制病情,也可采用隔日口服泼尼松或合用SASP或s-ASa作为维持治疗。对直、乙结、降结肠病变可采用药物保留灌肠,如氢化可的松唬珀酸盐100mg,0.5%普鲁卡因100m1,加生理盐水100m1;缓慢直肠滴人,每晚1次;也可与SASP,s-ASA或锡类散等药物合并使用,妊娠期也可应用。用药过程中应警惕肠穿孔、大出血、腹膜炎及脓肿形成等并发症。
(三)其他药物对磺胺药或肾上腺皮质激素治疗无效者,可改用或加用其他免疫抑制剂,如硫唑嘌呤、6-琉嘌呤(6MP)、环胞素、FK506等,也可合用免疫增强剂,如左旋咪唑、干扰素、转移因子、卡介苗及免疫球蛋白等;此外,甲硝唑(灭滴灵)、广谱抗生素、分离的丁细胞和单克隆抗体等也可应用,但上述各药的疗效评价不一。
硫唑嘌呤和6MP能竞争抑制嘌呤核糖核甘酸的生物合成。硫唑嘌呤在体内代谢为6MP,对难治性克罗恩病有诱导缓解,促进瘘管闭合并减少激素用量的作用;对溃疡也有诱导和维持缓解作用。常用剂量为每日mg/kg,如同时应用别嘌醇,剂量可减半。平均起效时间为3个月,如用药半年未见效,可停药。副作用有胰腺炎(3.3%),骨髓抑制(2%),过敏性肝损伤(0.3%)等。因有诱发肿瘤可能,不宜用于肿瘤高危人群,也不宜用于妊娠妇女。
环胞素能抑制细胞因子,如III和Y干扰素等,对耐药的克罗恩病是否有效说法不一。有报告短期口服有利于瘘管愈合。
氨甲蝶吟(MTX)是叶酸拮抗剂,适用于难治性病变,急性CD肌肉注射25mg,每周1次,连续12周,4/5患者临床症状及内镜检查改善。慢性患者在上述治疗有效后改为口服15mg,每周1次,每月减2.5mg,至每周7.5mg,3/4左右患者有效,在治疗剂量下对骨髓抑制不明显。
甲硝唑除抗菌作用外,尚有免疫调节作用,主要用于回结肠和结肠CD,常用剂量每日---15mg/kg,因有恶心、纳差、头晕、外周神经炎等副反应,因此宜从小剂量开始,维持剂量100--200mg/d,如6个月无效可停药。对小肠CD的疗效评价不一。
此外,有采用FK506,抗TNF-a。单抗,重组IL-10以及T淋巴细胞分离取出术等治疗CD有一定疗效的报告,但远期疗效有待进一步观察。
(四)外科手术。因手术后复发率高(可达50%以上),故手术的适应证主要是针对并发症,包括完全性肠梗阻、瘘管与腹腔脓肿、急性穿孔活不能控制的大量出血,以及诊断上难以排出癌肿、结核者。对肠梗阻要去人炎症活动引起的功能性痉挛与纤维狭窄引起的机械梗阻,前者经禁食、积极内科治疗多可缓解而不需要手术;对没有合并脓肿形成的瘘管,积极内科保守治疗有事亦可闭合,合并脓肿形成活内科治疗失败的瘘管才是手术的指征。手术方式主要是病变肠段的切除。因误诊为阑尾炎等二在手术中发现为此病是,如无肠梗阻、穿孔等并发症,不必做肠切除术。本病手术治疗后复发部位多在肠吻合口附近。术后复发的预防至今仍是难题。一般选用美沙拉嗪;甲硝唑可能有效,但长期使用不良反应多;硫唑嘌呤活巯嘌呤在易于复发的高位患者可以考虑使用。预防用药推荐在术后2周开始,持续时间不少于3年。手术治疗用于完全性肠梗阻,肠瘘与脓肿形成,急性穿孔或不能控制的大出血,以及难以排除癌肿的患者。手术切除包括病变及距离病变远、近侧10cm的肠段及其系膜和淋巴结。如局部粘连严重或脓肿形成、不能切除,可作短路或旷置术,根据情况再作二期病变肠管切除术。如为腹腔内脓肿则切开引流。对多处病变的病例,只切除有并发症的病变肠管,避免因过度切除发生短肠综合征。术后复发率很高,应注意随诊。
并发症[编辑 | 编辑源代码]
90%以上病例有程度不等的肠梗阻,
且可反复发生。急性肠穿孔占40%--60%。肛门区和直肠病变、瘘管、中毒性巨结肠和癌变等,国内相对少见。肠外或全身性病变有:关节痛(炎)、口疤疹性溃疡、结节性红斑、坏疽性脓皮病、炎症性眼病、慢性活动性肝炎、脂肪肝、胆石病、硬化性胆管炎和胆管周围炎、肾结石、血栓性静脉炎、强直性脊椎炎、血管炎、白塞(Behcet)病、淀粉样变性、骨质疏松和柞状指等;年幼时患病的可有生长受阻表现。
预防[编辑 | 编辑源代码]
一、未病前的预防
中医学认为本病是由于脾肾虚弱、感受外邪、情志内伤、饮食劳倦等因素导致的。现代医学认为克隆病的发病原因不明确,可能与病毒感染、免疫、遗传因素有密切关系。结合中西观点,可从生活起居、饮食、精神调养、增强体质等几个方面进行预防:
1.生活中注意“与人为善”;
2.生活起居要有规律;
3.禁食生冷不洁食物;
4.适当进行体育锻炼;
5.精神调养
二、已病后的预防(预后)
本病为一慢性反复发作的疾病,由于病因不明,尚无根本的治愈方法。许多病人在其病程中都会出现一次以上的并发症需要手术治疗,而手术治疗的复发率甚高有,报道可达97%。本病的复发率与病变范围和病症侵袭的强弱等因素有关,而且死亡率还比较高。此外,本病随病程的延长和年龄的增长复发率逐渐升高,而健康者的比率下降。近年来采用各种治疗措施对极少数病人是有效的,可帮助患者度过病情活动期的难关。
保健[编辑 | 编辑源代码]
克罗恩病患者饮食方面目前主张:
给高营养低渣饮食,适当补充叶酸、维生素B12等多种维生素及微量元素。研究表明应用完全胃肠内营养有利于克罗恩病的治疗,在给患者补偿营养同时,还能控制病变的活动性,特别适用于局部并发症的小肠克罗恩病低碳水化合物饮食可有效控制克罗恩病。国外研究机构证实:低碳水化合物饮食对克罗恩病治疗有利。
预后[编辑 | 编辑源代码]
生活中若做到“与人为善”,可经治疗好转,也可自行缓解。“与人为善”乃“于己为善”。但多数患者反复发作,迁延不愈,其中相当部分患者在其病程中会出现1次以上并发症而手术治疗,预后不佳。
