强直性脊椎炎

来自医学百科
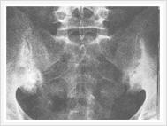
强直性脊柱炎患者X光照片

强直性脊柱炎(ankylosing spondylitis)是一种慢性全身性炎性疾病,它的病因不明,主要侵犯脊柱,尤以骶髂关节病变最为常见。它的最为显著的变化为关节纤维化和骨性强直,引起骨性强直及畸形。累及髋关节者占1/4,偶可累及膝、踝及手足小关节。有遗传因素。寒冷及潮湿地区多见。男性青壮年多见。人类白细胞抗原HL-B1280% 阳性。X射线可见椎体骨质疏松,边缘相连成骨桥,但是仍呈方形及保留椎间隙。治疗重点是缓解 疼痛,防治畸形。截骨术可矫正脊椎驼背畸形、关节屈曲挛缩或融合畸形。还可做人工关节置换术。

症状[编辑 | 编辑源代码]

全身症状[编辑 | 编辑源代码]

绝大多数的强直性脊柱炎发病于青年期,起病往往隐匿;40岁以上发病者少见。女性病变发展缓慢,往往诊断延迟。强直性脊柱炎是一种全身性疾病,可有厌食、低热、乏力,体重下降和轻度贫血等全身性症状。  

局部表现[编辑 | 编辑源代码]

1.下腰痛和脊柱僵硬 是最为常见的表现。下腰痛发生缓慢,钝痛状,讲不清痛在什么地方,有时牵涉至臀部。也可以疼痛很严重,集中在骶髂关节附近,放射至髂嵴股骨大转子与股后部,一开始疼痛或为双侧,或为单侧,但几个月后都变为双侧性,并出现下腰部僵硬。晨僵是极常见的症状,可以持续时间长达数小时之久。长期不活动使僵硬更为明显,病人往往诉说由于僵硬与疼痛,起床十分困难,只能向侧方翻身,滚下床沿才能起立。

有些病人疼痛较轻,只有晨僵与腰部肌肉韧带压痛点,往往被诊断为"风湿痛"、"纤维织炎",甚至被认为有"神经官能症"。向腿部有放射痛的还长期被诊断为"腰腿痛"和"坐骨神经痛"。

早期时体征不多,可有轻度腰椎活动受限,但只在过伸或侧屈时才能察觉。骶髂关节处可有压痛,但一般不严重,随着病变进展,骶髂关节处于强直,此时该部位可以完全无痛,而脊柱强硬成为主要体征之一。病员能保持双膝伸直位时将指尖触及地板并不能据此而认为腰部并无活动障碍,因为良好的髋关节完全可以起代偿作用。检查脊柱有无强直应该从脊柱的过伸、侧屈与旋转等方面全面检查。下列方法(Schober试验)有所帮助:病员直立位时在第5腰椎棘突上作一记号,再在脊柱中线距该记号10cm处作第二个记号。嘱病员最大限度前屈脊柱而膝关节保持完全伸直位,在正常情况下,两点之间距离可增加5cm以上,即可达15cm以上。增加不足4cm,可视为腰椎活动减少。

病变继续发展便会出现胸椎后凸与颈椎发病。此时诊断比较容易。病员靠壁站立,他的枕部无法触及墙壁,严重时可有重度驼背畸形,病员双目无法平视,他只能靠屈曲髋与膝才能得以代偿。至于颈部表现,一般发病较迟;也有只限于发展至胸段便不再向上延伸的。少数病员早期即发生颈部症状,并迅速强直于屈颈位。

2.胸廓扩张度减弱 随着病变向胸段脊柱发展,肋脊关节受累,此时出现胸痛,并有放射性肋间神经痛。只有少数病人自己发觉吸气时胸廓不能充分扩张。因肋脊关节强直,在检查时可发现吸气时胸廓不能活动而只能靠膈肌呼吸。在正常情况下,最大限度吸气与呼气,于第四肋间处的活动度可达5cm以上。不足5cm者应视为胸廓扩张度减弱。早期很少有肺功能削弱的。至后期时,由于重度脊柱后凸与丧失胸廓扩张能力,使肺通气功能明显减退。

3.周围大关节炎症35%的强直性脊柱炎可有周围关节炎,以髋关节最为常见。通常为双侧性,起病慢,很快出现屈曲挛缩和强直,为保持直立位,往往膝部有代偿性屈曲。肩关节为第二个好发部位。偶有膝关节病变。其它关节少有发病。

4.关节外骨骼压痛点 主要发生在胸肋交界处、棘突、髂嵴、股骨大转子、胫骨结节坐骨结节和足跟,有时这些症状也可以早期出现。

5.骨骼外病变 主要为眼部病变,可有急性葡萄膜炎,发生率可高达25%。心血管疾患有主动脉炎主动脉瓣关闭不全心脏扩大房室传导阻滞心包炎等。肺部病变主要为肺上叶进行性纤维化。神经系统病变常为继发性,有自发性寰枕关节半脱位马尾神经受压表现。后者表现为大小便障碍与会阴部鞍区状麻木。在发病率方面,白种人的发病率为0.05%,多见于男性,男女的比例大致为10∶1。但最近的研究发现女性病例,无论在临床表现与X线表现,都进展较慢。由于症状不够严重,诊断往往迟延,造成女性病例稀少的现象。女性病例往往为轻型或亚型,估计男女之间的比例约为7:3。  

病理[编辑 | 编辑源代码]

强直性脊柱炎至今病因未明,可能与遗传性易感因素有关。HLA-B27影响本病发病机理的方式至今不清楚,但必须看到B-27与强直性脊柱炎的发病有着密切的关系。并非所有具有B-27抗原的病人都会使疾病发展,B27的存在还不足以使每个人都发病。看来B27本身并不重要,主要是它与其他基因间的不平衡联系,改变了免疫反应,使机体易于发病,很可能B27抗原作为病毒或其它外来因素的受体,在本病的发病过程中起作用;也可能B27抗原与外来因素有些相似,使这些因素起着异常免疫反应而致病。外来因素种类很多,长期以来怀疑感染是主要的因素,但未能被证实。目前发现革兰氏阴性肠道杆菌,如肺炎杆菌对本病的发病可能起着作用。

至于致病因子是B27本身,还是与B27有着密切关系的基因,目前还不了解,B27基因可以影响疾病严重程度,但不能肯定它可以影响疾病的发展。

根据正常人HLA-B27普查的结果,B27阳性的人有20~25%的X线表示出骶髂关节和脊柱炎表现。假使将这种亚临床型和轻型的都统计在内,本病的发病率可高达1.5%。但也有报告HLA-B27阳性的人中,有5%患有强直性脊柱炎。产生发生率高低不一致的原因是对骶髂关节炎的诊断标准不一,使发生率有显著差别。必须指出,不是凡发现有骶髂关节炎且伴有症状者都可以诊断为强直性脊柱炎。

强直性脊柱炎与类风湿性关节炎有所不同,它主要侵犯纤维软骨关节,如椎间盘胸骨柄耻骨联合棘间韧带。骶髂关节100%受累,有软骨破坏,腐蚀与软骨下骨皮质硬化,最后纤维化至骨性强直。

关节囊和韧带附着於骨骼处也可以出现局灶性炎性病灶。这些病灶以后也会有反应性纤维化与骨质沉着。还可以有其它关节以外的病灶,如葡萄膜主动脉根部也可有炎性病变。  

临床诊断[编辑 | 编辑源代码]

基因诊断[编辑 | 编辑源代码]

活动期75%病例血沉增快,但也有正常的,往往出现血清C-正反应蛋白明显增高。血清碱性磷酸酶值轻度或中度增高,往往提示病变较广泛,或有骨骼腐蚀,并不足以说明病变处于活动期。血清IgA和IgM可有轻度或中度增高。

90%以上的病员具有HLA-B27基因。正常人也可有HLA-B27,并与地区与种族有关。欧美白种人6~8%可具有HLA-B27,而海地印地安人50%具有B27。没有中国人的资料,但知日本人与非洲黑人却很少具有B27。测定HLA-B27可以帮助诊断强直性脊柱炎,但却不能作为常规试验。该试验不能确定本病的诊断,仅提示有本病的可能性;有许多类似疾病也可以具有HLA-B27。

部分本病患者并不存有HLA-B27,这类病例往往缺乏家族史与较少发作急性葡萄膜炎,但却具有B7或BW16。  

放射学诊断[编辑 | 编辑源代码]

以骶髂关节炎最为突出。骶髂关节出现x线征象时往往已较迟,几乎完全是双侧性。最初出现的是关节附近

退变性骶髂关节炎

有斑片状骨质疏松区,特别是骶髂关节的中下段最为明显。接着便出现了骨腐蚀与软骨下骨皮质硬化。在骶髂关节的中下段,髂骨面覆盖着薄层软骨,因此该处首先出现骨骼变化,且比较明显。在骶髂关节的上1/3处,有坚强的韧带连接着骨面,也可以有类似的X线征象。

软骨下骨侵蚀的X线表现为关节间隙的假性增宽。接下去便是纤维化、钙化、骨桥形成与骨化。一般说来,软骨下骨皮质硬化比骨腐蚀明显些,最终骶髂关节完全强直,通常需数年之久。

在脊柱方面主要表现在椎间盘、脊椎小关节、肋脊关节,后纵韧带寰枢关节。很少有上述关节出现病变而骶髂关节却不受侵犯。早期阶段,椎间盘纤维环浅层有炎症,伴反应性骨硬化与邻近椎体腐蚀,使椎体变成方形。纤维环逐渐骨化,并有骨桥形成。同时脊椎后关节和邻近韧带亦有类似的变化,最终脊柱完全融合,如竹节状(图96-10)。

强直性脊柱炎的患者还可以出现椎间盘周围椎体骨质腐蚀和硬化,竹节状改变亦在此节段中断,通常发生在疾病的后期。临床上常有急性发作,并有局限性疼痛。该区常有上述X线征象,称为"椎间盘炎"。这种病变易误诊断为结核化脓性骨髓炎,甚至认为是转移性病灶。

化脓性骶髂关节炎

周围大关节炎症以髋关节最常见。表现为对称性、均匀性关节间隙狭窄,软骨下骨板不规则骨硬化,关节外缘骨刺形成,最后骨性强直。肩关节为第二好发部位,病变情况与髋关节相类似,骨腐蚀主要发生在肱骨头外上方。  

血液诊断[编辑 | 编辑源代码]

(1)HLA-B27:强直性脊椎炎病人HLA-B27抗原阳性率高达90%-96%,HLA基因的遗传特征使AS具有明显的家族聚集性。因此,HLA-B27抗原的检测,不但有助于AS早期诊断、鉴别诊断和预防AS的发生发展,间接了解AS病情及预后。并通过其家属HLA-B27抗原的检测,及早发现该病易患者,及早预防。但单纯HLA-B27抗原阳性不能作为诊断或确诊AS的手段,因在普通人群中HLA-B27抗原阳性者占4%-8%,另外约10%AS为HLA-B27抗原阴性。

(2)血沉:血液中红细胞沉降率称为血沉(ESR)。国内通用魏氏法测定。健康男性小于15毫米/小时,女性小于20毫米/小时。血沉在感染、炎症、肿瘤、组织损伤等多种疾病时均可增快,因此属非特异性试验。不能作为诊断依据,但AS发病初期,疾病未控制情况下,半数以上可增高,在疾病得到控制后,血沉可恢复正常。因此对AS患者查血沉可了解疾病活动性,并可用于疗效判定。

(3)C反应蛋白(简称CRP):正常值小于5微克/毫升,与血沉一样,不具有特异性诊断意义,但AS初期或本病活动期,病情未控制时CRP增高,反之则降低,同样可了解疾病活动性和疗效判断。

(4) 血小板(简称PLT):AS疾病稳定期血小板与正常人无显著差异,在疾病活动期时PLT显著高于正常人,平均血小板体积(MPV)、血小板分布宽度(PDW)增大,血小板比率(P-LCR)显著低于正常人。其机制可能为AS由于感染因素存在,破坏了人体凝血系统之间的平衡,凝血系统亢进,使血液处于高凝状态。因此也可作为诊断本病、判断疾病活动,评价疗效、估计预后的指标。  

治疗[编辑 | 编辑源代码]

药物[编辑 | 编辑源代码]

本病无特效治疗方法。在急性期主要措施是缓解疼痛与防止畸形。阿斯匹林效果不好。镇痛作用较好的当首推保泰松消炎痛类非激素抗炎药物(NSAIDS)。保泰松开始剂量为每日mg,分4次服用,维持量为每天100~200mg。它的缺点是副反应大。消炎痛的剂量为100mg,分4次服用,最好临睡时再加服50mg。缺点也是有副反应。其它新型非激素抗炎药物具有同样功效。不主张全身使用皮质醇类激素,但局部应用效果却很好。皮质醇类激素滴眼剂用于急性虹膜炎效果很好,重度病例可作眶内注射。关节腔内注射也很有效。  

手术[编辑 | 编辑源代码]

脊柱截骨术系在腰椎后部切去楔形骨块,手法折断前方韧带,使腰椎前凸增加,畸形改善。常用的脊柱截骨术有下列数种:

单节段脊柱截骨术

一般选在腰2~3或腰3~4之间。以腰2~3节段为例,截骨的范围为腰2棘突与下关节突的下半部和腰3棘突及上关节突的上半部,楔形截骨的尖角应针对腰2~3椎间盘水平。截骨完成后即应用矫形架或手法进行矫形,使前方的前纵韧带折断,腰椎前凸增加而改善驼背畸形。截骨平面应接触良好,并需用牢固的内固定物,以往都用不锈钢丝缚扎棘突,目前以Harrington棒或Luque棒较为常用。术后石膏背心固定时间不应少于6个月。 单节段截骨术加椎体间植骨术

为防止矫形度数丧失与获得最大限度矫形,可经腹膜外途径,直视下矫形并在张开的椎间隙前半部植入方形骨块,可得到最大限度矫形。

多节段脊柱截骨术

严重驼背畸形者可适用多节段截骨术,在腰3~4处行截骨术后可在上方2个节段处即腰1~2处作第二个截骨术,可望获得良好的矫形。

脊柱截骨术加椎体松骨质掏空术

截骨的尖顶针对腰椎椎体后方。截骨完毕前将椎体内松质骨刮空矫形后造成椎体的塌陷。掏空术使脊柱缩短,比较安全,截骨面接触好,术后矫正角度丧失的可能性明显减少。对髋关节骨性强直者宜先行髋关节置换术。 在急性期预防畸形发生十分重要。

截骨术的并发症:①截瘫:大都因截骨平面选择不当所致,截骨的尖端没有针对椎间盘水平,矫形后出现脊椎移位;②脂肪栓塞:因截骨数量少,矫形时后方骨质受到强烈挤压,使骨内压力骤增而使脂肪进入循环;③腹主动脉破裂:腹主动脉硬化者无伸展的能力,强行矫形时可因此而死于手术台上;④矫形度数的丧失:手术后矫形度数的丧失主要原因为石膏背心固定时间不足与后方截骨面接触不良所致。  

预防[编辑 | 编辑源代码]

1.采用正确的工作姿势,特别是长期从事同-姿势工作的人要注意适当的活动。

2.防止过度疲劳

3.正确的睡眠姿势。

4.防止风寒、潮湿的侵袭。

5.使用合理、符合健康要求的寝具。不良的寝具是许多脊椎病的祸根。

6.加强锻炼、特别是颈部和腰部的活动。

如果早期得到诊断,轻度的畸形并不影响病人的生活。要告诫病人正确对待疾病,在行走、坐位时都要保持良好的姿势,务必使脊柱保持平直,睡觉时改用硬板床与薄枕。在体疗医师指导下进行锻炼,免除一切可能招致损伤或诱发畸形的体育运动。

早期的畸形较轻,尚未达到骨性融合,因而畸形是可以纠正的。睡硬板床及作骨盆牵引可望改善。 另外,利用纯天然锯峰齿鲛软骨粉恢复人体关节达到软骨再生,成为80年代之后,各先进国家相继开始的全新的医学尝试。在欧洲,锯峰齿鲛的萃取物已经被认定为药品,在美国,OAM(替代医疗事务局)也把鲨鱼软骨当作代替医疗的一环进行研究和普及,而日本更是直接采用纯天然锯峰齿鲛软骨粉作为代替医疗的一环广泛运用于临床,并且因为天然无副作用而深得人心。7.5g/天的用量就是日本鲨鱼软骨普及协会十几年来的一个统计数据。十几年的临床结果,证实了锯峰齿鲛软骨粉的人体软骨再生的作用,为人类彻底攻克强直性脊椎炎带来了明亮的曙光。

后期的畸形已有骨性融合,非手术治疗难以奏效。对严重驼背畸形者可施行脊柱截骨术。手术的指征是:①重度驼背畸形,膝关节与髋关节伸直时双目不能平视;②病变已静止,血沉正常;③一般情况良好,年龄较轻,肺功能无多大损害者。腰椎侧位片腹主动脉有钙化者禁忌手术。如双髋亦有强直者应先行髋关节置换术,才考虑施行截骨术。  

保健[编辑 | 编辑源代码]

概述[编辑 | 编辑源代码]

强直性脊柱炎的病程变化很大,它具有自行缓解或加剧的特征,一般说来比较轻,并能自动缓解。据统计资料,在发病20年以后,还有65~80%的患者能胜任全日工作。决定预后的因素是周围大关节炎症、颈椎强直与重度驼背畸形。这些情况一般发生在发病后的最初10年内。轻型病例可以生活得像正常人一样的好。  

日常饮食[编辑 | 编辑源代码]

每日应按时进行锻炼,锻炼应循序渐进,持之以恒。其目的是维持脊柱生理曲度、防止畸形;保持良好的胸廓括动度,避免影响呼吸功能;防止或减轻肢体因废用而致肌肉萎缩并维持骨密度和强度,防止骨质疏松。其重要性不亚于药物治疗‘运动应包括:保持脊柱灵活性的运动,如颈、腰各个方向的运动、转动等;维持胸廓活动度的运动,如深呼吸、扩胸运动;肢体运动;种类繁多,如散步,作一些体操等。我国的太极拳和气功,其动作缓慢、轻柔,对本病有一定的帮助。脊柱和髋关节有轻度屈曲畸形的病人,每日可进行)—2次的俯卧1~2每次~30分钟。利用自身体重作对抗性牵引,以达到纠正畸形的目的。在适宜的水温下游泳,既包括扩胸运动;又有肢体活动,还有利于维持脊柱正常生理曲度,不失为一种较好的锻炼方法。水的浮力可以减轻肢体的重量,以利于活动受累关节,但严禁跳水,以防造成颈椎损伤引起的严重后果;热水浴、矿泉浴等各种透热的方法,对本病也有一定帮助。跑步有可能加重强直性脊柱炎的症状,尤其是髋关节受累者更不宜提倡,竞技体育也应避免。运动以后可能会增加关节疼痛,若经短期休息即能缓解,则属于正常;如运动后新增加的疼痛持续两小时以上,或者运动引起的疲劳、不适难以恢复,则说明运动已过度,应适当进行调整运动量、运动类型,甚至暂停进行休息。  

运动[编辑 | 编辑源代码]

控制炎症,缓解症状;防止脊柱、髋关节僵直畸形,保持最佳功能位置;用手术方法矫正关节功能障碍

强直性脊柱炎病人对进食并无禁忌,日常饮食应富含蛋白质和维生素。

除少数病人因全身症状严重和疼痛明显需短期卧床休息外,大多数病人都能坚持工作,但应避免过度劳累及受风寒、潮湿。减少或避免引起持续性疼痛的体力活动。为防止驼背畸形,病人应避免长期从事弯腰工作,并加强姿势训练

无论处在本病的急性发作期,还是慢性期,病人均应注意保持正常的姿势:站立时应尽量挺胸、收腹和双眼平视,坐位时应尽量挺直腰背。要睡硬板床,大多取仰卧位,,避免促进屈曲畸形的体位。睡眠时宜用低枕,一旦出现上胸椎及颈椎受累,应停用枕头。这样不但可以避免畸形,还能减轻夜间疼痛和僵硬感觉。记住定期测量身高,保持身高记录,是防止不易发现的早期脊柱弯曲的一个良好措施。

每日应按时进行锻炼,锻炼应循序渐进,持之以恒。

其目的是维持脊柱生理曲度、防止畸形;保持良好的胸廓括动度,避免影响呼吸功能;防止或减轻肢体因废用而致肌肉萎缩并维持骨密度和强度,防止骨质疏松。其重要性不亚于药物治疗‘运动应包括:保持脊柱灵活性的运动,如颈、腰各个方向的运动、转动等;维持胸廓活动度的运动,如深呼吸、扩胸运动;肢体运动;种类繁多,如散步,作一些体操等。我国的太极拳和气功,其动作缓慢、轻柔,对本病有一定的帮助。脊柱和髋关节有轻度屈曲畸形的病人,每日可进行)—2次的俯卧1~2每次~30分钟。利用自身体重作对抗性牵引,以达到纠正畸形的目的。

在适宜的水温下游泳,既包括扩胸运动;又有肢体活动,还有利于维持脊柱正常生理曲度,不失为一种较好的锻炼方法。水的浮力可以减轻肢体的重量,以利于活动受累关节,但严禁跳水,以防造成颈椎损伤引起的严重后果;热水浴、矿泉浴等各种透热的方法,对本病也有一定帮助。跑步有可能加重强直性脊柱炎的症状,尤其是髋关节受累者更不宜提倡,竞技体育也应避免。运动以后可能会增加关节疼痛,若经短期休息即能缓解,则属于正常;如运动后新增加的疼痛持续两小时以上,或者运动引起的疲劳、不适难以恢复,则说明运动已过度,应适当进行调整运动量、运动类型,甚至暂停进行休息。

适当的理疗对强直性脊柱炎也有一定帮助。当畸形顽固地进展时,可用支架或器械进行矫正。  

治疗新趋势[编辑 | 编辑源代码]

强直性脊椎炎是一种慢性、进行性发炎疾病。其治疗是根据疾病的临床活性以及侵犯的器官程度而定,主要有复健及运动治疗、非类固醇消炎药、免疫调节剂、类固醇局部注射、抗肿瘤坏死因子疗法等。治疗最终的目的就是要减少疼痛、僵硬,以及维持正常的脊椎关节活动度并预防并发症。

目前治疗的观念是先用非类固醇消炎止痛药,减少关节的疼痛与僵硬,再使病人能有适度运动,维持良好的姿势及正常的活动。日常的保健可鼓励病 人多做伸展脊椎运动(如游泳、柔软体操、跳舞等)。还要注意背部保健,包括充分休息、睡硬床垫、热敷,多做深呼吸、戒烟以保护胸腔,以及避免长时间的弯腰 动作,例如驾车、种田、从事园艺工作等都是背部保健的不二法门。

非类固醇类消炎药目的在控制发炎与减轻疼痛,急性活动期应全剂量投予,缓解期剂量可根据疼痛程度自行调整;免疫调节剂也证实对僵直 性脊椎炎合并周边关节炎、干癣、发炎性大肠疾病及葡萄膜炎等有效;双磷酸盐药物静脉脉冲疗法可减少发炎及调节免疫;严重的急性期病人,可使用类固醇脉冲疗 法,以求迅速控制病情。

消炎止痛药的剂量可由病患依据疼痛程度自行调整药,无症状时甚至于可停药。免疫调节剂(所谓第二线药物)长期使用,对患者的脊椎关节炎亦有明显的治疗效果。

而近年来国外的研究数据显示,抗肿瘤坏死因子的生物制剂,在治疗强直性脊柱炎有突破性的进展。接受这些药物注射后的病人大部分均有显著改善的效果。

西药副作用及药物顺从性,使得强直性脊柱炎的治疗效果仍未能令人满意。新的免疫调节剂与抗肿瘤坏死因子效果虽好,但价格昂贵,健保尚未给付。因此,中医药疗法仍有其空间。

强直性脊椎炎属于中医骨痹范畴,中医治疗以滋补肝肾为本,兼顾清热活血、祛寒、止痛。综合文献及专家意见,独活、黄耆、白芍桂枝狗脊葛根雷公藤薏苡仁羌活牛膝地龙龟板等中药为组成的方剂,如桂枝芍药知母汤、羌活胜湿汤独活寄生汤、疏经活血汤、左归丸小活络丹、龟 鹿二仙胶等,曾有初步报告或古籍学理显示可能有效。但这些研究共同的缺点是研究设计不够严谨,疗效评估等未有统一的标准,数据有夸大之嫌,以致尚无在国际期刊发表。  

建议[编辑 | 编辑源代码]

强直性脊柱炎的病程变化很大,它具有自行缓解或加剧的特征,一般说来比较轻,并能自动缓解。据统计资料,在发病20年以后,还有65~80%的患者能胜任全日工作。

决定预后的因素是周围大关节炎症、颈椎强直与重度驼背畸形。这些情况一般发生在发病后的最初10年内。轻型病例可以生活得像正常人一样的好。

1,如果你确诊是AS,恭喜你,你是属于0、5%的幸运儿,你可以耐心的看下去。

2。如果你是女性AS,让你高兴的是你的得病几率和成为美女的几率一样。

3。你必须努力赚钱。有了钱,可以拥有很多止疼药和喝不完的中药

4。没有钱,要学会免费锻炼。

5。如果你的身体不灵活,但大脑要灵活。

6。大脑如果不灵活。嘴一定要甜。(女的要善解人意)假如你还没另一半的话。

7。如果身体和大脑包括金钱你都不具备的话,你脾气一定要好。

8。对AS的治疗不要停留在美好幻想上,包括爱情。

9。实在忍受不住疼痛的时候再吃止疼药。

10。止疼药只能止疼,不治病。

11。吃药,锻炼,一个也不能少。

12。如果坚持不住锻炼,床头可挂张晚期AS的照片。

13。健康和残废,相信你会做出正确选择的。

14。能坐着就别躺着,能站着就别坐着,能站着就尽量活动。

15。站累了可以趴着,假如你已经看出驼背或准备驼背。

16。别发火,尤其是在家里,他们已经很容忍你了。

17。不要把以后的日子寄托在某个人身上。

18。自己是最可靠的人,当然,还有父母,

19。如果脸部关节没强直,就要笑,哪怕是微笑。

20。笑也是缓解和宣泄疼痛的很好方法。

21。如果你脸上痛苦,会有人心里痛苦。尤其是爱你的人。

22。出远门的时候别忘了带上钥匙,包括止疼药。

23。有些时候要明白你是个病人,尤其是喝酒,抽烟,打牌的时候。

24。有些时候不能把自己看成病人,在保暖的前提下穿出风采来。

25。要有风度,哪怕是驼背也要很专业,驼背和抬头走路是两回事。

26。不要迷恋女色。

27。正常情况下,作爱次数和病情发展是成正比的。

28。一定要和妻子一起学习肾与AS的厉害关系。

29。感情要专一。

30。一定要找一个爱你的,哪怕是他(她)的外部条件差一些。

31。有一个真心对你的爱人,你会发现在以后的日子里是多么的重要。

32。另一半即使是不那么的爱你,最起码也要有耐心。

33。早结婚,尽快有自己的家,这样对规范治疗AS很有帮助。

34。饮食起居一定要有规律,给自己制定详细的时间表。

35。千万不要怕麻烦,如煎药,锻炼。如果你现在怕麻烦,将来更麻烦。

36。尽量不要让别人知道这病是如何的严重,包括父母。

37。要学会“舍得”,该放下的就放下,

38。一种适合自己的药物,一套科学的锻炼方法,一个健康快乐的心态。

39。坚持好“三个”。你会发现AS也不是那么的可怕。

40。不要想象以后多么的好,也不要想象多么的坏。

41。生活不是以你的想象而改变的。

42。不要因AS而放弃你的理想,当然,体育竞技类除外。

43。不要认为自己为何这样的倒霉,整日沉浸在忧愁中。

44。你对AS的态度,决定了它对你的态度。

45。要有爱心,恒心,耐心。

46。我们不能控制明天会成什么样子,但完全可以把握好今天。

47。得了AS就象把你和一只狼关在一起,你逃不出去,看你怎样控制它。

48。条件成熟的话,尽量早要小孩。

49。如果你坚持看到这里。无论你是否是AS, 但证明你很有耐心。  

其他类型症状[编辑 | 编辑源代码]

  

幼儿强直性脊椎炎[编辑 | 编辑源代码]

16岁以前的儿童和少年,与成年人一样可患强直性脊柱炎,称为幼年强直性脊椎炎。幼年强直性脊椎炎和幼年类风湿关节炎同属儿童和少年时期最常发生的慢性关节炎,甚至幼年强直性脊椎炎可能比幼年类风湿关节炎更为多见。

幼年强直性脊椎炎的发病特点如下:这类病人和成年发病的强直性脊椎炎比较,虽有许多共同特点,但也有许多不同的特点。

①患者发病时的年龄多数在8岁以上,8岁以下者少见。

②男性占绝对多数。

③1个或四肢关节几乎必定出现疼痛或肿胀,并常成为本病的第一个症状。受累关节以膝、髋和踝等下肢关节居多。

④有持久的单侧或双侧髋关节疼痛。进行性加重的髋部活动困难者,多数预示髋关节有破坏性病变,为本病致残的主要原因。膝、踝和其它关节受累者预后往往良好,罕有畸形发生。

⑤足跟、胫骨粗隆腓骨小头,髌腱、跟腱或其它肌腱附着处的疼痛和(或)肿胀是本病常见的特征。 

⑥腰骶部疼痛是本病的主要病变部位,但在儿童常被忽视,通常要在第一症状出现后几个月或几年才出现,或者出现虽早因症状轻微而不被患者所注意。

⑦HLA-B27阳性率可达90%,对诊断本病有帮助。

⑧血清类风湿因子抗核抗体阴性,有利于支持诊断幼年强直性脊柱炎。  

幼年型强直性脊椎炎[编辑 | 编辑源代码]

幼年型强直性脊椎炎是指16岁以前发病的病人,相对于一般20岁左右发病的病人来说,幼年型的病人较常有外围关节炎,通常一开始发病的症状是下肢关节,尤其是膝、踝关节的发炎,或是脚后跟及足底的发炎(附着点病变),几年后才有典型的荐肠关节炎及下背痛。幼年型僵直性脊椎炎预后较差,需要积极的治疗。

幼年型强直性脊椎炎是指16岁以前发病的病人,相对于一般20岁左右发病的病人来说,幼年型的病人较常有外围关节炎,通常一开始发病的症状是下肢关节,尤其是膝、踝关节的发炎,或是脚后跟及足底的发炎(附着点病变),几年后才有典型的荐肠关节炎及下背痛。幼年型僵直性脊椎炎预后较差,需要积极的治疗。  

相关信息[编辑 | 编辑源代码]

强直性脊柱炎以往称为类风湿性脊柱炎,目前该名称已废用了达20年久,理由是强直性脊柱炎与类风湿性关节炎是两种完全不同的疾病,强直性脊柱炎亦绝对不是一种特殊部位的类风湿性关节炎。强直性脊柱炎因缺乏类风湿因子而又曾被命名为"血清阴性脊柱骨关节病",现在看来亦不确切,因为并不存在有"血清阳性脊柱骨关节病",同样属于此类病的很多,包括Reiter病、牛皮癣关节炎、肠源性关节炎、儿童期慢性关节炎等。  

研究历史[编辑 | 编辑源代码]

强直性脊柱炎是一种古老的疾病,从公元前2、3千年的古埃及人骨骼标本中曾发现从第4颈椎至尾椎的所有椎体全部融合连接成一块骨骼。在古希腊与阿拉伯文著作中,都曾发现有类似的记载。在19世纪末时Strumpell和Marie对本病进行了详细的描述,但直到本世纪30年代才有了详细的放射学检查的记录。至70年代初,Brewerton等发现本病具有强力的HLA-B27抗原。

1893年首次由俄国人Btchterev对此病做了比较详细的描述。

1897年和1898年Strumpell及Marie又分别详细报道了此病,故曾以别捷列夫病和马一施二氏病命名。我国在2000多年前的皇帝内经《素问.痹论篇》中记载言:“肾痹者,善胀,尻以代踵,脊以代头”,描述了本病的病机及症状。我国自50年代曾称此病为类风湿性脊柱炎或中枢型类风湿性关节炎,近年来随着医学的发展,对本病的认识不断深入,发现本病与类风湿性关节炎无论在好发年龄、性别、好发部位、病变特点以及各项化验检查均不相同,强直性脊柱炎患者的血清中不存在类风湿因子,而组织相容抗原HLA—B27的阳性率甚高,说明本病完全不同于类风湿性关节炎。故于1963年国际抗风湿联盟将此病定名为强直性脊柱炎。

1982年我国第一次风湿病专题学术会议肯定了强直性脊柱炎这一国际统一的命名。类风湿脊柱炎和中枢型类风湿性关节炎等诊断名称均已停止使用。在风湿病最新分类中,已将其归类于血清阴性脊柱关节病之中。但目前国内也有些专家认为:此命名也并非十分确切,因为本病受累的组织器官并非仅仅限于脊柱,髋、膝、踝、腕、肩等四肢关节均可受累,且眼睛、心脏、肺脏、肾脏等多脏器也常被累及,应是一种全身性疾病,但目前国内外仍通用此诊断名称。