弥散性血管内凝血

来自医学百科
(重定向自DIC

弥散性血管内凝血(DIC)是一个综合征,不是一个独立的疾病,是在各种致病因素的作用下,在毛细血管小动脉小静脉内广泛纤维蛋白沉积和血小板聚集,形成广泛的微血栓。导致循环功能和其他内脏功能障碍,消耗性凝血病,继发性纤维蛋白溶解,产生休克出血栓塞溶血临床表现。过去曾称为低纤维蛋白原血症,消耗性凝血病,最近有人认为以消耗性血栓出血性疾病为妥,但最常用的仍为弥散性血管内凝血。

病因[编辑 | 编辑源代码]

造成DIC的病因很多。根据资料分析,在我国以感染最常见,恶性肿瘤(包括急性白血病)次之,两者占病因的2/3。国外报告则以恶性肿瘤,尤其是有转移病变的占首位。广泛组织创伤体外循环产科意外也是DIC发病的常见病因。

散性血管凝血

DIC的病因有涉及血液本身的及血液以外的因素,可以归纳如下:  

血管内皮损伤和组织创伤[编辑 | 编辑源代码]

1.感染各种严重的细菌感染〈如金黄色葡萄球菌革兰氏阴性杆菌、中毒性菌痢、伤寒等〉均可导致DIC。细菌本身及其毒素均可损伤组织及血管内皮细胞,激活因子激肽释放酶缓激肽,由此进一步激活凝血系统,后者还有强烈的舒血管作用,能使血管扩张血压下降引起休克。激肽系统对凝血过程有强化作用。补体与凝血、纤溶及血浆激肽系统也有密切关系,也是血栓形成的因素之一。最近发现,白细胞在激活凝血的机理中也占重要地位,它受内毒素影响,可释放组织因子,与因子Ⅶ合在一起能激活因子X促进凝血。病毒感染〈如流行性出血热、重症乙型脑炎等〉、恶性疟疾钩端螺旋体病立克次体病及立克次体感染也均可引起DIC。其发病的机理与细菌感染大致相似。感染是最常见的致病因素。

2.抗原-抗体复合物的形成各种免疫反应免疫性疾病能损伤血管内皮细胞,激活补体,也能引起血小板聚集及释放反应,激活凝血机制,如系统性红斑狼疮移植物排斥反应或其他免疫性疾病。

3.其他如体温升高、酸中毒、休克或持续性低血压缺氧等均可损伤血管壁内皮细胞。  

大量促凝物质进入血液循[编辑 | 编辑源代码]

环常见于产科意外,如羊水栓塞胎盘早期剥离死胎滞留等病例。由于羊水胎盘等释放的组织因子大量进入血循环,诱发DIC。严重创伤也是常见的DIC病因,如严重烧伤、广泛性外科手术挤压综合征毒蛇咬伤等均可由受损的组织中释放出大量组织因子进入血液,促发凝血。此外,在癌肿广泛转移及组织坏死〈尤其是胰、胃、前列腺支气管〉,肿瘤细胞含有的组织凝血活性物质,激活外源性凝血系统,产生大量凝血酶而促发凝血。肿瘤细胞中的蛋白酶类物质也可以激活凝血因子,起促凝作用。化疗及放疗杀灭肿瘤细胞释出其中促凝物质,DIC更容易发生。

胎盘

  

磷脂类物质[编辑 | 编辑源代码]

大量红细胞血小板及白细胞的破坏或损伤红细胞及血小板破坏后释放类似组织因子的磷脂类物质,红细胞破坏后还释出红细胞素,有类似组织凝血活酶活性,血小板破坏后也可释出一系列促凝活性物质。最近发现中性粒细胞的损伤也是DIC发病机理中重要一环,还可能是形成微血栓的必要条件。中性粒细胞参与DIC的发生可能与因子Ⅻa激活补体的作用有关。补体被激活后可损伤粒细胞,从中释出蛋白酶类凝血活性物质,促进血液凝固。  

其他因素[编辑 | 编辑源代码]

1.单核巨噬细胞功能受损可促进DIC的发生。在正常情况下,单核-巨噬细胞系统包括肝脏枯否氏细胞能吞噬或清除进入血液中的促凝物质,如凝血酶、纤维蛋白颗粒及内毒素等。急性肝坏死肝硬化等病有肝功能损害,其吞噬及清除功能减弱,易发生DIC。长期使用大量肾上腺皮质激素容易诱发DIC这与单核-巨噬细胞系统受阻有关。

2.原健康状态患者原来的健康状态也有重要影响,如妊娠妇女常有高凝倾向,营养不良尤其是糖代谢紊乱,容易发生DIC。

3.纤维蛋白溶解系统受抑制如长期大量使用抗纤溶药物,如6-氨基己酸止血环酸对羧基苄胺,可诱发DIC。

还有血流瘀滞、体内酸碱不平衡、电解质紊乱内分泌失调等,均与DIC的发生有关。  

发病机理[编辑 | 编辑源代码]

当人体受到某些致病因子的作用时,体内凝血系统被激活,血液的凝血活性增高,在微循环内发生血小板聚集及纤维蛋白沉积,形成播散性微血栓。本征也称为:①去纤维蛋白综合征;②消耗性凝血病;③血管内凝血--纤维蛋白溶解综合征。目前统称"播散性血管内凝血"。

休克

正常人体内有完整的凝血、抗凝及纤维蛋白溶解系统。凝血及抗凝,既对立又统一,保持着动态平衡。在正常人的血液中,如果有少量活性凝血中间产物形成,就迅速被单核--巨噬细胞系统消除,或被血液中的抗凝物质中和。纤溶系统能不断溶解在小血管破损处所形成的少量纤维蛋白。DIC的发生是由于在各种致病因素的作用下,血循环内出现了促动和激活凝血的过程,产生过量的凝血酶。血液的凝固性过高,破坏了体内凝血与抗凝的平衡。其病理变化包括:①全身微血管内有广泛的纤维蛋白沉着,形成微血栓,造成微循环障碍、红细胞机械性损伤及溶血;②当微循环内发生凝血时,大量血小板和凝血因子被消耗,从而使高凝状态转变为低凝状态;③体内的继发性纤维蛋白溶解产生大量纤溶酶,使纤维蛋白原裂解为X和A、B、C裂片,再进一步裂解为Y、D、E裂片。这些纤维蛋白(原)降解产物抗凝作用可加重出血。除大量出血外,微循环内的血栓可引起微循环阻塞,导致肺、肾、肝、脑、心等器官的功能衰竭。  

病理[编辑 | 编辑源代码]

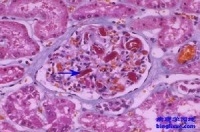
约90%的DIC病例尸解时可发现血管内有微血栓形成或纤维蛋白沉着,以肺、肾、胃肠道肾上腺

肾小球毛细血管袢中可见纤维素性微血栓

较常见。在一组52例的尸解结果中,肺栓塞的发生率为54.6%,肾脏36.5%,胃肠道34.6%,较小的微血栓在苏木素-伊红染色时易被忽略,需要用Mallory磷钨酸苏木素等染色或用电镜检查加以证实。微血栓有时可仅在某些局部器官中见到,而在循环血液中则不被发现,也有一些临床上证实为DIC的病例,尸检中却无血栓形成,可能是死亡后发生纤维蛋白溶解所致。如用电镜,结合特殊染色则仍可发现血管内皮表面有纤维蛋白沉着。肾脏的病变可表现为局限性肾小管坏死或两侧严重肾皮质坏死,少数病例的肺部有非栓塞性内膜炎或肺部透明样病变。  

分类及分期[编辑 | 编辑源代码]

凝血发病快慢和病程长短[编辑 | 编辑源代码]

1.急性型其特点为:①突发性起病,一般持续数小时或数天;②病情凶险,可呈暴发型;③出血倾向严重;④常伴有休克;⑤常见于暴发型流脑、流行型出血热、病理产科、败血症等。

2.亚急性型其特点为:①急性起病,在数天或数周内发病;②进展较缓慢,常见于恶性疾病,如急性白血病(特别是早幼粒细胞性白血病),肿瘤转移,死胎滞留及局部血栓成。

3.慢性型临床上少见:①起病缓慢;②病程可达数月或数年;③高凝期明显,出血不重,可仅有淤点或淤斑。  

DIC生理特点和发展过程[编辑 | 编辑源代码]

(一)高凝期:各种病因导致凝血系统被激活,凝血酶生成增多,微血栓大量形成,血液处于高凝状态。

(二)消耗性低凝期:凝血酶和微血栓的形成使凝血因子和血小板因大量消耗而减少,同时因继发性纤溶系统功能增强,血液处于低凝状态,有出血表现。

(三)继发性纤溶亢进期:凝血酶及XIIa等激活了纤溶系统,使大量的纤溶酶原变成纤溶酶,加上FDP形成,使纤溶和抗凝作用大大增强,故此期出血十分明显。  

临床表现[编辑 | 编辑源代码]

DIC的发病原因虽然不同,但其临床表现均相似,除原发病的征象外,主要有出血、休克、栓塞及溶血四方面的表现。

DIC分急性、亚急性和慢性三种,其中急性占大多数,常见于革兰氏阴性杆菌感染、败血症、流行性出血热、产科意外、急性溶血、输血血型不合、毒蛇咬伤、广泛大手术、体外循环、重度挤压伤及复合创伤,病势凶险。亚急性DIC见于白血病、各种癌肿及癌转移或死胎滞留,病情较缓和。慢性者少见,临床表现可为原发性疾病所掩盖,容易漏诊或误诊,常在尸解中发现,多见于系统性红斑狼疮、卵巢癌肿,巨大血管瘤晚期糖尿病等。

弥散性血管内凝血

DIC的临床表现主要为出血,多脏器功能障碍,休克和贫血。其中最常见者为出血。急性DIC时以前三种症状为多见:  

出血[编辑 | 编辑源代码]

DIC患者约有70%-80%以程度不同的出血为初发症状,如紫癜、血泡、皮下血肿、采血部位出血、手术创面出血、外伤性出血和内脏出血等。出血的机制与下述四方面因素有关。

(1)凝血物质大量消耗:广泛微血栓形成使各种凝血因子包括Fbg、FV、FⅧ、FIX、FX和血小板大量消耗,故DIC又称为消耗性凝血病(consumptive coagulopathy)。

(2)继发性纤溶功能增强:纤溶功能增强产生大量PLn,PLn不但能降解Fbn/Fbg,还能水解各种凝血因子,使凝血因子进一步减少,加剧凝血功能障碍并引起出血。

(3)纤维蛋白(原)降解产物的抗凝作用:PLn降解Pbs/Fbn生成各种分子大小不等的多肽组分,总称为纤维蛋白(原)降解产物(fibrin/fibrinogen degradation products,FgDP/FDP),其中多数成分有强大的抗凝作用:①X、Y片段可与纤维蛋白单体(FM)形成可溶性FM复合物(soluble fibrin monomer complex,SFMC),阻碍FM相互间交联以形成可溶性纤维蛋白;D片段对FM交联聚合有抑制作用。②片段Y、E有抗凝血酶作用。③大部分成分能抑制血小板粘附和聚集。FgDP/FDP各种成分的这类作用,使机体止、凝血功能明显降低,是DIC时引起出血的重要机制。

(4)血管损伤:DIC发生发展过程中,各种原始病因和继发性引起的缺氧、酸中毒、细胞因子自由基等多种因素的作用可导致微小血管管壁损伤,也是DIC出血的机制之一。  

多系统器官功能衰竭[编辑 | 编辑源代码]

由于DIC发生的原因和受累脏器及各脏器中形成微血栓的严重程度不同,故不同器官系统发生代谢与功能障碍或缺血性坏死的程度也可不同,受累严重者可导致脏器功能不全甚至衰竭。临床上常同时或相继出现两种或两种以上脏器功能障碍的不同症状,如呼吸困难少尿无尿恶心呕吐腹部背部疼痛、发热、黄疽、低血压、意识障碍(严重者发生昏迷)及各种精神神经症状。DIC时引起多器官功能衰竭(MSOF)的机制,与微血栓形成和微循环灌流障碍、缺血再灌注损伤、白细胞激活和炎症介质的损伤作用,以及器官功能障碍作为后果对其它脏器产生的影响等有关。MSOF常是DIC引起死亡的重要原因。  

休克[编辑 | 编辑源代码]

某些病因既可引起DIC也可引起休克,如内毒素血症、严重烧伤等:由于不同个体内在条件的差异和病因性质、作用时对凝血-抗凝血平衡或微循环功能影响的严重程度不同,可以首先出现DIC或者休克的特征性病理变化,也可几乎同时地出现这两种病理变化。DIC或休克在发展过程中也能产生一些因素分别引起休克或DIC。如前述由暴发型脑膜炎球菌败血症引起休克时,可伴有皮肤大片瘀斑体征,其本质属于典型的DIC。

DIC病理过程中有许多因素与引起休克有关。①微血栓形成,使回心血量减少。②出血可影响血容量。③DIC时可引起肾上腺素能神经兴奋;也可通过激活激肽和补体系统产生血管活性介质如激肽和组胺,使外周阻力降低,引起血压下降。④FDP小片段成分A、B、C能增强激肽和组胺的作用,使微血管扩张,通透性增高,血浆外渗。⑤心功能降低。除心内微血栓形成直接影响心泵功能外,肺内微血栓形成导致肺动脉高压,增加右心后负荷;DIC时因组织器官缺血、缺氧可引起代谢性酸中毒,酸中毒可使心肌舒缩功能发生障碍。由于前述的因素使血容量减少、回心血量降低、心功能降低和心输出量减少,加上血管扩张和外周阻力降低,则血压可明显降低。  

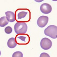
微血管病性溶血性贫血[编辑 | 编辑源代码]

DIC时红细胞可被阻留于微血管内。当红细胞通过沉着的Fbn细丝或VEC裂隙处时受到血流冲击、挤压,引起对红细胞的机械性损伤,因而在循环中出现各种形态特殊的变形红细胞或呈盔形、星形、多角形、小球形等不同形态的红细胞碎片,称为裂细胞(schistocyte)。这些红细胞及细胞碎片的脆性明显增高,很易破裂发生溶血。DIC早期溶血较轻,不易察觉,后期易于在外周血发现各种具特殊形态的红细胞畸形。外周血破碎红细胞数大于2%对DIC有辅助诊断意义,但这种红细胞碎片并非仅见于DIC。慢性DIC及有些亚急性DIC往往因出现溶血性贫血的临床症状,被称为微血管病性溶血性贫血(microangiopathic hemolydc anemia)。  

实验室辅助检查[编辑 | 编辑源代码]

DIC的检查项目繁多,但缺乏特异性、敏感性高而又简便、快速的方法。有些试验比较精确,但化费时间太多,难以适合急症诊断的要求。由于DIC病情发展快,变化大,化验结果必须及时正确,必要时还要反复检查,作动态观察,因为在DIC的不同阶段其检验的结果不尽相同,由于机体代偿功能强弱不同所致。当检验结果与临床表现不一致时,要恰当评价检验结果的意义。有时临床表现可能比阳性的检验结果更为重要。DIC的实验室检查主要分以下几种:

实验室检查

  

消耗性凝血障碍[编辑 | 编辑源代码]

1.血小板减少约95%的病例都有血小板减少,一般低于10万/mm3。如在动态观察中发现血小板持续下降,诊断的意义较大。如DIC未经彻底治疗,虽经输鲜血或血小板,血小板计数仍不增加。反之,如血小板数在15万/mm3以上,表示DIC的可能性不大。有些肝病或白血病患者,血小板在DIC发生前已有明显降低,因此血小板计数无助于DIC的诊断。

2.凝血酶原时间延长当外源系统因子Ⅱ、Ⅴ、Ⅶ、X大量消耗,血浆中纤维蛋白原降解产物及抗凝物质增多,凝血酶原时间即明显延长,阳性率可达90%以上。除非在DIC发生的极早期,凝血酶原时间测定正常,一般不支持DIC的诊断。正常凝血酶原时间为12.0±0.1秒,延长3秒以上则有意义。

3.纤维蛋白原减少约在70%左右的DIC病例,纤维蛋白原低于200mg/dl。在原有较高纤维蛋白水平或DIC的早期阶段,纤维蛋白原降低不显著,定量测定正常,动态观察就可见到纤维蛋白原有持续减少的倾向,一般低于150mg/dl时,即有诊断意义。纤维蛋白原滴定度半定量的方法简便,有实用价值。

4.其他如出血时间延长、凝血时间延长血块退缩不良、部分凝血时间延长,对诊断也有参考意义,有助于DIC的诊断。  

纤维蛋白溶解亢进[编辑 | 编辑源代码]

1.凝血酶时间延长纤维蛋白原明显减少或纤维蛋白(原)降解产物(FDP)增多时,均使凝血酶时间延长,但测定的结果可受到肝素治疗的影响。采用连续凝血酶时间是诊断FDP的一项较敏感的指标。

2.血浆蛇毒致凝时间用从蛇毒中提取的酶(Reptilase)代替凝血酶进行凝血酶时间测定。当FDP增多时,凝血时间延长,本方法的优点是不受肝素的影响。

3.纤维蛋白降解产物的检查正常人血清中仅有微量FDP。如FDP明显增多,即表示有纤维蛋白溶解亢进,间接地反映出DIC。测定的方法很多,包括免疫法Fi试验(即乳胶颗粒凝集试验,正常滴度<1∶8),FDP絮状试验、放射免疫扩散法、葡萄球菌集试验(正常FDP值为0.57±0.1μg/dl,DIC时可高达60μg/dl)、鞣酸比红细胞间接血凝抑制试验(正常血清FDP值<10μg/dl,DIC时超过20μg/dl),酶膜免疫吸附技术等。如果FDP增多,表示有急性DIC的可能。

4.血浆鱼精蛋白副凝固试验(简称3P试验)及乙醇胶试验这是反映血浆内可溶性纤维蛋白复合体的一种试验。当血管内凝血时,FDP与纤维蛋白的单体结合形成可溶性复合物,不能被凝血酶凝固。鱼精蛋白可使复合物分离,重新析出纤维蛋白单体。结果发生纤维蛋白单体及FDP的自我聚合,形成肉眼可见的絮状沉淀,称为副凝固试验。乙醇胶试验与3P试验的原理相同,国内资料报告,3P试验阳性率为72.6~88.2%,乙醇胶的阳性率低。两种方法均可有假阳性或假阴性结果。相比之下,乙醇胶试验敏感性差,但较可靠;而3P特异性差,假阳性多,如FDP裂片分子量较小时,3P试验也可为阴性。最好能把两者相互参考比较,意义就更大。

5.优球蛋白溶解时间优球蛋白是血浆在酸性环境中析出的蛋白成份,其中含纤维蛋白原、纤维蛋白溶解原及其活化素,但不含纤维蛋白溶解抑制物,可用以测定纤维蛋白溶酶原激活物是否增加。正常值应超过2小时。如在2小时内溶解,表示纤维蛋白溶解亢进。纤溶亢进时,纤溶酶原减少,纤溶酶增多,优球蛋白被大量纤溶酶加速溶解。国内资料报告阳性率为25~42.9%。  

微血管病性的溶血[编辑 | 编辑源代码]

在血清中可见到畸形红细胞,如碎裂细胞、盔甲细胞等。血片检查见破碎及变形的红细胞比例超过2%时,对DIC的诊断有参考价值。

其他新的实验方法包括

①抗凝血酶Ⅲ(ATⅢ)的含量测定:DIC中,ATⅢ大量消耗,早期即有明显减少,测定结果不受FDP的影响,其测定方法有凝血活性及琼脂扩散法免疫活性两种方法。②用51Cr标记血小板或用125I标记纤维蛋白原测定血小板寿命是否缩短。③血小板β球蛋白(β-TG)及血小板第4因子(PF4)含量的测定:血小板聚集时β-TG及PF4可被释放至血循环中。β-TG及PF4增高反映血管内血小板功能亢进,消耗时则见降低。④纤维蛋白分解产物的测定:当血管内有凝血及凝血酶活性增高时,纤维蛋白原的分解增加,纤维蛋白A(FPA)增加。可用放射免疫法测定。在色谱分析中可发现有纤维蛋白单体、双体及多聚体增加。  

鉴别诊断[编辑 | 编辑源代码]

1、重症肝病:因有多发性出血、黄疸、意识障碍、肾功能衰竭、血小板和纤维蛋白原下降,凝血酶原时间延长,易与DIC混淆。但肝病无血栓表现,3P试验阴性,FDP和优球蛋白溶解时间正常。

2、血栓性血小板减少性紫癜:本病是在毛细血管广泛形成微血栓:具有微血管病性溶血、血小板减少性紫癜、肾脏及神经系统损害,极似DIC。但本病具有特征性透明血栓,血栓中无红、白细胞,不涉及消耗性凝血,故凝血酶原时间及纤维蛋白原一般正常,有时亦可异常,病理活检可以确诊。

3、原发性纤溶亢进:本病极罕见。链激酶尿激酶治疗是典型实例。本病和DIC极难鉴别,因为①两者可由同一病因同时诱发;②两者均有纤溶特点:出血,FDP升高。两者区别主要是纤溶部位,DIC继发纤溶是对血栓形成生理性反应,典型部位局限于微循环;原发纤溶是在大血管,内皮细胞释放致活因子。  

治疗[编辑 | 编辑源代码]

DIC的病情严重,病势凶险,发展迅速,必须积极抢救,否则病情即可发展为不可逆性。原发病与DIC两者互为因果,治疗中必须同时兼顾,严密观察临床表现及实验室化验结果的变化。

(一)消除病因及原发病的治疗治疗原发病是治疗DIC的根本措施,控制原发病的不利因素也有重要意义,例如积极控制感染、清除子宫内死胎、以及抗肿瘤治疗等。其他如补充血容量、防治休克、改善缺氧及纠正水、电解质紊乱等,也有积极作用。输血时更应预防溶血反应。在去除病因后,病情可迅速缓解,消除DIC的诱因也有利于防止DIC的发生和发展。

弥散性血管内凝血

(二)肝素治疗肝素和血液中的抗凝血酶Ⅲ (ATⅢ)形成复合体,加强ATⅢ对凝血酶及活性凝血因子Ⅸa、Ⅹa、Ⅺa及Ⅻa的灭活,发生抗凝作用。故在肝素治疗时,必须考虑到血中的ATⅢ水平。如ATⅢ水平过低时,即使给予大量肝素也不易见效。近年来发现肝素也有促进纤溶和阻碍血小板聚集的作用。关于肝素应用的指征包括:①DIC诊断明确,包括原发病或病因不能控制或去除时,在后者作为DIC的对症治疗;②如已证实发生DIC而准备去除病因时,为防止术中或术后促凝物质进入血循环而加重DIC,也可短期适当使用;③当准备应用纤维蛋白溶解抑制剂或补充凝血物质时,如有促凝物质已在血液中发挥作用,也应先用肝素,后给纤溶抑制剂、输血及纤维蛋白原等。对急性DIC,特别是伴有新鲜创口、创面等病情较复杂的病例,肝素的应用要谨慎,如果使用不当,有加重出血的危险;对慢性或亚急性DIC,没有血管损伤及新鲜创面,使用比较安全。对疑似DIC的病人,例如有DIC的倾向而3P试验或其他化验检查阴性,或3P试验阳性而无临床出血症状者,可暂不用肝素,待检查结果及临床表现明确支持DIC时,即用肝素治疗。目前对肝素应用的指征,看法尚无统一,但大多数人认为,凡诊断明确并有用药指征的,应争取早用。据上海瑞金医院1986年组47例DIC用肝素治疗的病例报道中,产科意外的治愈率高达72.2%,感染性疾病为42.2%。除上述疾病外,大多数DIC病例用肝素治疗并无帮助,有时甚至有害。肝素治疗失败的因素包括:①用药指征不当,尤其是诊断不甚明确;②用药时间过晚,病情已成为不可逆性;③体内的ATⅢ耗竭,使肝素不能发挥正常的作用;④剂量掌握不当;⑤酸中毒未纠正,使肝素丧失活性。

有下列情况时,应用肝素要特别谨慎,以免加重出血:①在DIC后期,病理变化已转为以纤维蛋白溶解为主而出血主要涉及纤溶及大量FDP的关系,而不是凝血因子的消耗;②手术创口尚未愈合;③原有严重出血如肺结核咯血溃疡病出血或脑溢血等;④有明显肝肾功能不良者;⑤原有造血功能障碍和血小板减少者。

肝素的剂量及用法:一般采用中等剂量,每4~6小时静脉注射50mg或连续静脉滴注(每小时滴10mg左右)。24小时用量为200~300mg(每100mg=12500u),每次静注前需测凝血时间(试管法),使控制在20-30分钟之间,适当调整肝素剂量,一直用至DIC检查指标恢复正常。最近有主张肝素用量不宜太大,日本多用80~120mg/d,对仍不能控制者,可能由于ATⅢ减少,要给输血及血浆以提高AT-Ⅲ的水平,才能奏效。关于肝素小剂量治疗方面,有人提出用肝素5000ul次,每日皮下注射2~3次。也可静脉给药。用小剂量肝素后,血中浓度在15-60分钟后开始上升,1~5小时达高峰,7小时后逐渐消失,个体间可有差异。小剂量肝素治疗的优点是无出血并发症,不需要实验室的监测。有人提出对预防血栓采用超低剂量也可有效,每公斤小时皮下注射1单位。对肝素治疗有效者,一般在凝血缺陷纠正后,临床情况好转,如血压稳定,紫绀消失,方可停药。如果凝血时间延长超出30分钟,出血加重,说明为肝素过量,应即停药,并静脉输入硫酸鱼精蛋白中和,其用量相当于最后一次肝素用量或为其1/2量,每8~12小时1次,1-2次后即可纠正。停药后要随访凝血时间连续3~5天,了解有无复发情况。急性DIC经用肝素有效者,凝血酶原时间可在24小时内恢复正常,纤维蛋白原等在1-3天内上升,血小板上升较慢,约需7天左右。

(三)抗血小板凝集药物常用者为潘生丁,400~600mg/d,分3次口服,或将100~200mg置于100ml葡萄糖液体中静脉滴注,每4-6小时重复1次。阿司匹林1.2~1.5g/d,分3次口服。两者合用则需减少剂量。适用于轻型DIC或高度怀疑DIC而未能肯定诊断者。低分子右旋糖酐降低血液粘滞度,抑制血小板聚集,一般用量为500~1000ml静脉滴注,主要用于早期DIC,诊断尚未完全肯定者,也可与潘生丁合用。

(四)AT-Ⅲ浓缩剂及合成抗凝血酶剂的应用实验证明,AT-Ⅲ下降到一定水平时,即使增加肝素量也不能提高其抗凝作用,有人认为AT-Ⅲ水平低至正常的50%时,就应补充AT-Ⅲ。日本有人在静滴肝素10000u/d,同时静脉滴注AT-Ⅲ1500u/d,相当于血浆1500ml的含量。

日本最近合成抗凝血制剂,其作用与AT-Ⅲ无关。对DIC有明显的疗效,而且副作用少。

(五)补充血小板及凝血因子在未用肝素前输血或给纤维蛋白原时,可为微血栓提供凝血的基质,促进DIC的发展。但如凝血因子过低时,应用肝素可加重出血。应当输血(最好鲜血)或补充纤维蛋白原,后者每克制剂可提高血浆纤维蛋白原25mg/dl,纤维蛋白原浓度超过100mg/dl时才有止血作用。

(六)抗纤溶药物的应用在DIC早期,纤溶本身是一种生理性的保护机制,故一般不主张应用抗纤溶药物。早期使用反使病情恶化可能。但在DIC后期继发性纤溶成为出血的主要矛盾时,则可适当应用抗纤溶药物。这类药物应在足量肝素治疗下应用。只有当已无凝血消耗而主要为继发性纤溶继续进行时,方可单独应用抗纤溶药物。常用的药物包括6氨基己酸(6EACA)2-6g/d,静脉滴注,抗纤溶芳酸(对羧基节胺,简称PAMBA)200~400mg/d,或止血环酸(AMCHA)200~500mg/d,用葡萄糖液稀释后缓慢静脉滴注或注射。有人主张血中有大量纤溶酶时可采用抑肽酶,试用剂量为8~10万u,静脉注射,好转后减量,每2小时用1万u。

(七)中医中药常用的为活血化瘀的中药药物如复方丹参、肝芎嗪、参附注射液刺参酸性粘多糖等,对治疗DIC中有一定疗效。

(八)其他国内在治疗DIC并发休克的病例中,有人报道用山莨菪碱东莨菪碱酚苄明能解除血管痉挛。低分子右旋糖酐对疏通血脉有良好疗效。也有人提出用尿激酶、换血、血浆去除术、血液透析等各种不同疗法,但疗效尚难肯定,有待进一步研究。  

防治原则[编辑 | 编辑源代码]

由于DIC病情复杂,应采用综合措施进行防治。主要原则是要恢复体内正常的凝血和抗凝血的平衡,具体原则如下:

弥散性血管内凝血

治疗原发病 预防和去除引起DIC的原发性疾病,终止促凝物质入血为首位的治疗原则。如及时有效地控制感染、去除滞留在官腔内的死胎、切除肿瘤等。

改善微循环 及时纠正微循环障碍,改善组织灌流是治疗DIC时的第二位的治疗原则,其中包括补充血容量、纠正酸中毒、应用血管活性药物、增强心功能。

恢复凝血和纤溶的正常的动态平衡 临床上DIC时凝血和纤溶两个病理过程往往交错在一起,但治疗以抗凝为主,即使在后期以纤溶为主的DIC病人也不主张单独使用抗纤溶药物。应用最广的抗凝血药物是肝素,它不仅可以抑制凝血系统的活化,还能促进纤溶、保护内皮细胞和减轻炎症反应。肝素对已形成的血栓无清除作用。继发性纤溶带来大量出血时,可应用纤溶抑制剂来抑制纤溶酶活性。临床上常将肝素与6-氨基已酸(纤溶酶抑制剂)并用,治疗持续性凝血和过度纤溶,以便恢复正常的凝血与纤溶的平衡。

参看[编辑 | 编辑源代码]

血液
白血病白血球
淋巴系统: 淋巴性白血病 (急性, 慢性) | 淋巴瘤 (霍奇金淋巴瘤, 非霍奇金淋巴瘤) | 淋巴增生 | 骨髓癌 (多发性骨髓癌, 质浆细胞瘤)
骨髓: 骨髓性白血病 (急性, 慢性) | 骨髓增殖性疾病 (原发性血小板增多症, 红血球增多症) | 骨髓成形不良症候群 | 骨髓纤维化 | 嗜中性白血球过低症
红血球
贫血 | 血色病 | 镰状细胞贫血 | 地中海贫血 | 溶血性贫血 | 再生不良性贫血 | 蚕豆症 | 遗传性球形红细胞增多症 | 遗传性椭圆形红血球增多症 | 其他血红蛋白病
凝血因子血小板
血栓形成 | 深静脉血栓形成 | 肺栓塞 | 血友病 | 自发性血小板缺乏紫斑症 | 血栓性血小板缺乏紫斑症 | 弥散性血管内凝血