骨囊肿
骨囊肿为良性病变,亦称单纯性骨囊肿或孤立性骨囊肿。病因尚未明了。有学者认为骨囊肿是由于骨内血管末梢阻塞,血液瘀滞所致;也有认为本病系某种肿瘤、炎症组织的退行性变,其生长、代谢阻碍的结果或与骨发育异常有关;也有认为可能系外伤出血形成局限性包囊,进而局部吸收骨化而成。骨囊肿较小者可因骨折后骨痂而消失;囊肿较大者也可因之缩小;偶尔可因血肿骨化而消失。
病理概述[编辑 | 编辑源代码]
骨囊肿为骨的瘤样病变,又名孤立性骨囊肿、单纯性骨囊肿(simplebonecyst)。囊壁为一层纤维包膜,囊内为黄色或褐色液体。主要以手术治疗为主,预后良好。骨囊肿的确切病因不明,
学说很多,Mirra推测可能是在胚胎时期少许具有分泌功能的滑膜细胞陷入骨内,结果引起滑液聚集而形成骨囊肿。
骨囊肿在其发展过程中很少出现症状,大部分病人是由于外伤造成病理性骨折后产生局部肿痛、肿胀、压痛、不能活动等骨折表现而发现。少数病例表现为局部包块或骨增粗,关节活动多正常,肌肉可轻度萎缩。发生在下肢的患者,偶有跛行。一般来讲,骨囊肿均需手术治疗,手术最好在骨骺愈合施行,目的为减少复发的机会。骨囊肿偶有恶变为肉瘤的可能。骨囊肿极少发生于颈椎。本病多发于长管骨骨端,好发于20岁的青少年,男性多于女性。
病理病因[编辑 | 编辑源代码]
骨囊肿(UBC),又叫单纯骨囊肿,其病变腔内充填为液体,四壁为薄的壳膜。单纯性骨囊肿
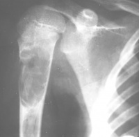
常发生于5到15岁的儿童,男性发病多于女性,比率约为2:1。病变部位多在长骨的干骺端。最常见部位为肱骨近端,其次为股骨近端。活动性(active相对具有侵袭性的)骨囊肿靠近骨骺区,随着儿童年龄增大,病灶会逐渐远离骨骺,成为非活动性(inactive)。在年龄超过17岁的患者,病变会在非长管骨发生,如跟骨、骨盆等。
单纯性骨囊肿的发生机理尚不清楚,但多认为与创伤后的反应有关。最流行的发生学理论便认为局部静脉回流障碍,导致压力升高,造成局部反应性的骨吸收。试验数据证明,单纯骨囊肿囊液所富含的前列腺素和白介素IB均可独立地造成骨吸收。多数骨囊肿并无临床症状,往往在发生病理骨折时才被发现。
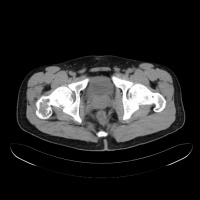
有经验的骨肿瘤医生仅凭X线平片就可以作出骨囊肿的临床诊断。病变灶为边界清晰的液性低密度灶,四壁为薄层的硬化灶壳。病变灶略向近骨骺的干骺部位扩大。病灶非偏心性,也不破坏骨外壳,更不会突破骨质形成骨膜外反应骨,除非是在病理骨折后的愈合期。有时脱落的骨皮质成份落入囊腔中,X片显示被称为“落叶征”(FallenleaforFallenfragment)。当病灶发生在骨盆,CT扫描对病灶部位及囊肿形态的判断有价值。MRI可以明确囊内富含的液性成分。骨ECT扫描表现为外周薄的浓集而中央病灶冷区。
组织学检查会发现腔壁的内膜为一层扁平,立方的生发细胞,形同内皮样细胞。囊液成份近似滑膜液。骨折发生时,常伴血肿,肉芽增生,钙化成分,并可见巨细胞,易造成误诊。
治疗医生必须完全肯定自己的诊断,并应对选择的治疗方法充满信心,必须与骨肿瘤专家进行术前的咨询、讨论,因为治疗方法有多种。当伴有病理性骨折时,保守治疗,使骨折闭合性愈合是首选。有时病理骨折的的自然愈合也能解决骨囊肿自身病灶。经皮醋酸去甲基氢化可的松囊腔内注射1次/2月,1-3次治疗后可获得满意效果。以2-5ml的MPA通过双腔管注入骨囊肿腔内,消除静脉内血肿、阻塞,并保持药效长期作用,消除病因,为目前提倡的方法。
临床医师应避免盲目决定手术治疗,遇到复发的或部位复杂的骨囊肿,最好转院至骨科肿瘤中心。由于完全切除病灶,骨连续性损失太大,单纯刮除手术应用较普遍,但复发率竟高达40%-45%。另外手术治疗时,谨防损伤病灶附近的生长板,以免影响骨生长。
单纯骨囊肿与动脉瘤样骨囊肿鉴别UBCABC轻微痛、除非伴有骨折剧痛、即使无骨折无创伤史可有局部撞击史液性腔内填充血性腔内填充轻度扩张明显扩张性X-Ray极少分腔多有分腔MRI显示有液平面无液平囊内壁清晰囊内壁模糊
临床表现[编辑 | 编辑源代码]
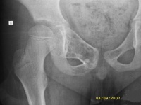
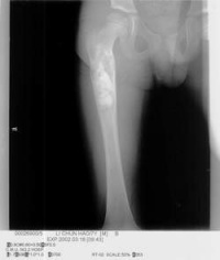
1.好发于4-20岁,多见于5-15岁儿童,少见于成人。好发于股骨颈、股骨上端和肱骨上端。随着年龄增长,囊肿逐渐向骨干方向移动。
2.一般无明显症状,多数因病理性骨折,出现疼痛、肿胀,功能障碍而就诊,X线摄片才发现此病。仅有隐痛或间歇性不适或劳累后出现酸痛。
3.X线摄片显示长骨干腄端或骨干部位有椭圆形溶骨破坏,边界清楚,其周围可见薄层硬化带,骨皮质可有轻度膨胀变薄。
4.80%患者有外伤史。
5.常合并有病理骨折。
6.常为单发,偶为多发。
诊断[编辑 | 编辑源代码]
诊断依据[编辑 | 编辑源代码]
1.多见于儿童及少年,好发于长骨干骺端。
2.无明显症状,或有轻微疼痛和压痛,病理性骨折可为最早症状和体征,或经X线摄片发现病变。
3.X线摄片显示长骨干骺端有椭圆形密度均匀的透明阴影,病变局限,与
正常骨质间有明显界线,骨皮质膨胀变薄。
4.病理检查可确诊。
辅助检查[编辑 | 编辑源代码]
骨囊肿诊断根据临床表现及X线摄片,一般可确诊,查血伊红细胞主要与嗜酸性肉芽肿相鉴别有关。住院手术病人,除基本检查外,酌情选用可选检查专案,一般无需特需检查。
影像表现[编辑 | 编辑源代码]
X线表现病损为界限清楚的射线透亮区,外有一薄层骨硬化边缘,由于囊肿膨胀性生长,造成骨皮质不规则变薄,X线片常呈假分叶状表现,尤多做囊肿在肱骨或股骨的干骺端向下扩展至骨干,向上扩展虽接近骨骺,但后者可被累及,病理性骨折很常见,囊肿可有骨嵴假象,病理检查见病损为单房的囊腔,其中充满清液,囊内衬以薄层纤维组织,骨折后腔内含血性液体并出现骨痂。
一X线:
X线平片位于长骨干骺端,呈圆形、卵圆形或柱形,沿长骨纵轴发展,表现为轻度膨胀性生长,局部骨皮质变薄,边缘光整,无骨膜增生。合并病理骨折时,骨碎片向囊内移位,称“碎片陷落征”,有助于鉴别。
二CT:
1.骨囊肿一般多呈圆形、卵圆形低密度骨质缺损,边缘清晰,无硬化。
2.局部骨皮质变薄呈囊性膨胀。
3.少数囊肿内可见骨性间隔,呈多房改变。
4.骨囊肿内的CT值多为水样密度,有出血时密度可升高。
5.增强扫描囊肿不强化。
6.鉴别诊断
1)骨巨细胞瘤:多见于20岁以上者,好发于骨端而非干骺端,病变区膨胀更明显,膨胀方向呈横行,肿瘤内实性部分有强化。
2)动脉瘤样骨囊肿:膨胀明显,病变偏心发展,病灶内有骨嵴形成,液—气液平面较常见,囊变区之间实质部分可钙化或骨化。
三MRI表现
1.多发在长管骨的干骺端,病灶呈圆形或椭圆形,其长轴与长骨纵轴一致。
2.病灶于T1WI上多呈低或中等均匀信号,T2WI呈明显均匀高信号,若囊液内有出血或含胶样物质则T1WI和T2WI上均呈高信号,少数呈多房改变时T2WI上可见低信号纤维间隔。
3.病灶周边骨壳呈圆圈样低信号,一般完整,边缘清晰。局部骨皮质变薄,无骨膜反应。常伴发病理性骨折,表现为骨皮质断裂,骨片陷落而插入病灶内,称之为骨片陷落征(fallenfragmentsign),此征在T2WI上显示较清晰即在高信号的囊液中见低信号的骨片线条影。
4.增强扫描:病灶不强化。
治疗[编辑 | 编辑源代码]
骨囊肿可自愈,特别是骨折后,囊可被新生骨填塞,目前有人主张在囊腔内注入甲荃净的松龙,取得良好疗效,每2月可重复注射1次,80-200mg,最多可注射7次,平均为2-3次即可
,注射治疗后,可恢复正常骨结构,对病理性骨折,按骨折治疗原则治疗,若囊肿仍存在,可作刮涂术,刮除应彻底,因为残留囊壁是囊肿复发的主要原因,剥除后,植入碎骨片。
治疗医生必须完全肯定自己的诊断,并应对选择的治疗方法充满信心,必须与骨肿瘤专家进行术前的咨询、讨论,因为治疗方法有多种。当伴有病理性骨折时,保守治疗,使骨折闭合性愈合是首选。有时病理骨折的的自然愈合也能解决骨囊肿自身病灶。经皮醋酸去甲基氢化可的松囊腔内注射1次/2月,1-3次治疗后可获得满意效果。以2-5ml的MPA通过双腔管注入骨囊肿腔内,消除静脉内血肿、阻塞,并保持药效长期作用,消除病因,为目前提倡的方法。
临床医师应避免盲目决定手术治疗,遇到复发的或部位复杂的骨囊肿,最好转院至骨科肿瘤中心。由于完全切除病灶,骨连续性损失太大,单纯刮除手术应用较普遍,但复发率竟高达40%-45%。另外手术治疗时,谨防损伤病灶附近的生长板,以免影响骨生长。
治疗原则[编辑 | 编辑源代码]
1.骨囊肿以手术治疗为主。手术刮除、植骨,术中需彻底刮除纤维包膜,以防复
发。
2.合并病理性骨折者,有时骨囊肿可自行愈合。若骨折愈合后,仍残留囊肿,则应作手术。
3.对于儿童患者,可试用醋酸甲基强的松龙注入骨囊肿腔内。注射量40—200毫克,按囊肿的大小和儿童的年龄而定。
用药原则[编辑 | 编辑源代码]
1.骨囊肿病者以手术刮除植骨术治疗为主。
2.近十多年来国内外有用醋酸甲基强的松龙囊肿腔内注射多次,药量示囊腔大小和儿童年龄而定,一般用40—200mg,2个月1次。
个案治疗[编辑 | 编辑源代码]
临床资料[编辑 | 编辑源代码]
临床资料A组是待病理性骨折愈合后再治疗骨囊肿,共48例,年龄为6-43岁间;男39例,女9例。肱骨上端20例,肱骨中段6例,股骨上端9例其中(5例髋内翻),远端3例,股骨
颈2例,桡骨远端2例,尺骨远端1例,胫骨上端4例,腓骨头1例。B组是囊肿及骨折一并治疗,共6例,男5例,女1例。肱骨3例,股骨上端1例,股骨颈2例。
诊断[编辑 | 编辑源代码]
主要通过X线片及病理来诊断。X线片示,多发生于长管状骨的干骺端,髓腔中心呈圆形或卵圆形的透光区,边缘清晰而硬化,长轴与骨的长轴一致,多呈中心性生长,无骨膜反应,可见一锐利透光线横过骨病损区。病理:囊内可有少量黄色或血性稀薄液体,囊肿壁内衬一薄层纤维组织,囊内可有骨嵴分隔。镜下见囊壁由成纤维细胞、多核细胞和胶原纤维构成。
治疗方法[编辑 | 编辑源代码]
A组48例中先采用小夹板、石膏固定,骨牵引,每周X片复查1次,待骨折愈合后再行囊肿开窗或开槽,彻底刮除囊肿组织后行植骨。股骨病损大的3例术后行骨牵引保护,
肱骨2例术后小夹板保护。B组骨折时立即行囊肿开窗或开槽,彻底刮除囊肿组织后行植骨,术中行内固定或外固定。肱骨3例行外支架固定,股骨上端1例无内翻畸形行钢板固定,股骨颈2例无内翻畸形行中空钉固定。1.4结果A组术后随访1-8年,囊肿完全消失,未发现1例复发
。B组术后随访1-6年,肱骨1例、股骨颈1例分别术后3年、5年囊肿复发并病理性骨折,分别行小夹板固定、骨牵引,骨折愈合后再行囊肿开窗病灶清除加植骨,治愈。肱骨1例骨折延迟愈合。
讨论[编辑 | 编辑源代码]
骨囊肿术后复发的相关因素
(1)囊肿的分型活动型骨囊肿和静止型骨囊肿。骨囊肿发生在骺板或靠近骺板处称活动型骨囊肿,骨囊肿发生在干骺端或骨干处,离开骺板称静止型骨囊肿。Neer将位于骺板5mm以内骨囊肿称活动型骨囊肿,距骺板5mm以上骨囊肿称静止型骨囊肿。活动型骨囊肿有复发倾向,而静止型骨囊肿一般不易复发。
(2)治疗方法囊肿刮除是否彻底及植骨是否充分是复发重要因素之一。我们体会是囊肿开窗或开槽要大,囊壁内容物刮除彻底,尤其是囊腔的两端及骨嵴凹陷处,骨嵴用圆形磨钻磨除。随后95%酒精烧灼残腔壁,植骨填塞必须致密,不留死腔。我们主张采用颗粒状骨质植骨。
(3)年龄年龄越小,囊肿越易复发。
治疗方案对预后的影响A组是等骨折愈合后,病变组织与正常组织分界清楚,容易彻底清除。骨痂大量生长,骨皮质较厚,骨强度增加,扩大开窗或开槽而不必担心骨折、延迟愈合、甚至不愈合。骨囊肿患者在发生病理性骨折后,囊液流出囊腔,自然地降低囊腔内压力,明显改善骨髓血运。一方面减少渗出液潴留,降低炎性因子白介素-1、前列腺E等含量,从而减少炎性因子刺激破骨细胞引起正常骨质吸收,降低了病灶骨的破坏,另一方面骨髓血运改善,刺激了成骨系统,促进新生骨形成,囊液刺激骨膜增强骨的形成,而且股骨上段骨囊肿并发病理性骨折所造成的髋内翻畸形经骨牵引治疗骨折愈合后,髋内翻畸形已矫正。B组患者中,囊腔骨皮质本身较薄,骨强度低。骨折后,局部正常骨质丢失,如立即病灶清除,特别是扩大清除范围,一方面容易造成骨质大量丢失,加重局部血运破坏,导致骨折延迟愈合甚至不愈合。
而且骨强度明显降低,须采用外固定支架或内固定物起加强作用,另一方面,骨折时局部组织肿胀囊液流出与血痂混合,瘤样组织与正常组织界限不清,病灶清除时病变组织不易彻底清除且易造成正常骨质丢失,从而导致愈合慢且易复发。
治疗方案的选择骨囊肿治疗手段很多,主要分为保守治疗和手术治疗两种。保守治疗包括激素注射、自体红骨髓注射,手术治疗包括钻孔引流、病灶刮除加植骨术。部分骨囊肿患者在发生病理性骨折后囊肿能自愈。囊肿并发病理性骨折治疗主要涉及两个方面,骨折畸形矫正、固定及愈合,囊肿的根除。Deyoe等主张骨囊肿并病理性骨折优先采取保守治疗。采用A组治疗方案治疗48例,其中髋内翻畸形5例、活动型骨囊肿8例,无一例复发,无一例骨折不愈合,骨折畸形矫正,采用B组治疗方案治疗6例,其中活动型骨囊肿1例、静止型骨囊肿1例复发,后采用A组治疗方案治愈。1例造成骨折延迟愈合,经综合治疗后才愈合,而且B组治疗需采用内固定物或外固定物来维持固定。因此,对骨囊肿并病理性骨折患者,我们主张采用A组治疗方案,这不仅有利于防止病灶复发及骨折不愈合,而且更具有经济效应。
相关词条[编辑 | 编辑源代码]
| 软骨发育不全 | 肱骨髁上骨折 | 骨纤维异常增殖症 | 十字韧带损伤 |
| 股骨干骨折 | 多发性骨骺发育不良 | 椎管内结核肉芽 | 前十字韧带损伤 |
| 梨状肌综合征 | 跟腱前囊炎 | 骨化性肌炎 | 化脓性关节炎 |
| |||||||||||||||||||||||||||||||||||||||||||
