骨巨细胞瘤
骨巨细胞瘤在中国是较常见的原发性骨肿瘤之一,此瘤生长活跃,对骨质侵蚀破坏性大,如得不到及时妥善的治疗,可造成严重残废而导致截肢,少数病例尚可转移而致命。按良性和恶性程度分为三度。邻近关节的肿瘤,生长缓慢,局部可有肿胀,疼痛及压痛,关节活动度常受限,瘤内出血或病理骨折往往伴有严重疼痛。
疾病名称[编辑 | 编辑源代码]
骨巨细胞瘤
疾病简介[编辑 | 编辑源代码]
骨巨细胞瘤(giant cell tumor of bone)是起源于松质骨的溶骨性肿瘤,属潜在恶性,有时是明显恶性。
多见于年轻成人。肿瘤主要由巨细胞(破骨细胞)和基质细胞构成。骨巨细胞瘤在我国是较常见的原发性骨肿瘤之一,此瘤生长活跃,对骨质侵蚀破坏性大,如得不到及时妥善的治疗,可造成严重残废而导致截肢,少数病例尚可转移而致命。按良性和恶性程度分为三度。症状:邻近关节的肿瘤,生长缓慢,局部可有肿胀,疼痛及压痛,关节活动度常受限,瘤内出血或病理骨折往往伴有严重疼痛。检查:X线片表现:骨骺处有局限的囊性改变,一般呈溶骨性破坏,也可有“肥皂泡”样改变,其扩展一般为软骨所限。不破入关节,少有骨膜反应,肿瘤范围清楚,初发时病变在骨骺内旁侧,发展后可占骨端的全部,骨皮质膨胀变薄,有的可以穿破,进入软组织。X线片可显示其一般特点,但仍不足以确诊。
疾病分类[编辑 | 编辑源代码]
疾病描述[编辑 | 编辑源代码]
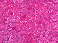
巨细胞瘤很可能起源于骨髓结缔组织间充质细胞,以基质细胞核和多核巨细胞为主要结构,是一种潜在恶性或介于良好恶之间溶骨性肿瘤。好发年龄20—40岁,性别差异不大,好发部位为股骨下端和胫骨上端。
症状体征[编辑 | 编辑源代码]
主要的症状为疼痛和肿胀,与病情的发展相关,局部包块压之有乒乓球样感觉,病变的关节活动受限。
疾病病因[编辑 | 编辑源代码]
病因不明。
骨巨细胞瘤-流行病学[编辑 | 编辑源代码]
经统计,骨巨细胞瘤的发病率约占全部原发骨肿瘤的16 %。肿瘤通常发生在骨已发育成熟的病人中,
好发年龄为20~40 岁,极少病人在骨骺未闭合前发病。女性发病率略高于男性, 约占56.14 %。在年龄低于20 岁年龄组中,女性发病率明显高于男性, 可占到72 %。骨巨细胞瘤在成人中主要累及骨端,而如果发生在骨骺闭合前的儿童中, 则主要累及干骺端。
症状主要表现为不同程度的疼痛,可伴有肿胀、活动受限,病程从数周至数月不等,无特异性表现,不易从症状方面与其他骨肿瘤区别。骨巨细胞瘤多为单发病变,常见部位是长骨的骨端,最常见的部位是股骨远瑞、胫骨近端、桡骨远端,也可见于骶骨、胫骨远端、肱骨近端,股骨近端和腓骨近端。偶见于手及足部的小骨、胸腰段的椎体和肋骨。
骨巨细胞瘤-影像学[编辑 | 编辑源代码]
X线平片 对于骨巨细胞瘤的影像学检查, X 线平片是最具诊断价值的放射学检查手段。骨巨细胞瘤在X 线片上表现为骨端的溶骨性破坏,可侵及干骺端,向关节侧延伸侵及部分或全部邻近关节软骨下的骨皮
质。肿瘤大小与发生病变骨的大小有关。肿瘤延患肢骨长轴侵及的范围往往小于延横轴侵及的范围,在骨干侧可见筛孔样改变,而在骨端的周围可见明显的骨皮质膨胀、变薄。病变内部为不同程度的溶骨改变,皮质外多没有骨膜反应;当出现病理骨折时则可见骨膜反应。通常可见到骨膜下新生骨有中断,骨膜保持完整,病变的松质骨边缘部分可有明显的界限。骨巨细胞瘤没有肿瘤基质的矿物化,关节渗出少见,但经常伴有病理性骨折发生。长骨以外部位的骨巨细胞瘤在X 线片上无特征性表现,与其他溶骨病变没有区别。
CT 在确定肿瘤范围方面优于X 线平片。其可精确确定肿瘤在皮质内的范围, 肿瘤与其他结构的关系,皮质是否完整和确定肿瘤的侵袭范围。在CT片中,皮质表面及滑膜的反应性改变和水肿酷似肿瘤的一部分。另外,非强化下CT 也不能区分肿瘤与肌肉, 因为两者之间的衰减系数相同。CT只能通过重建的方式才可显示软骨下骨的破坏程度。肿瘤内能见到液-液平面,这是骨巨细胞瘤合并动脉瘤样骨囊肿所致。
磁共振 对于骨巨细胞瘤来说, 磁共振(MRI) 是最好的影像学检查方法, 具有高质量的对比度和分辨率,并可多平面成像。无论是水平轴位、冠状轴位还是矢状轴位,和大多数骨肿瘤一样,骨巨细胞瘤显示出长的纵向弛豫时间和长的横向弛豫时间。肿瘤在纵向弛豫时间表现为低强度信号,在横向弛豫时间表现为高强度信号。因此看髓内病变最好用纵向弛豫时间 加权像,在观察皮质外病变时最好用横向弛豫时间加权像。CT 不能确定皮质外肿瘤的范围,MRI 也不能,因为肿瘤与相邻肌肉的衰减系数相同。用CT 确定微小的皮质破坏更好一些, 因为MRI 对于空间存在的分辨率很差。
骨扫描 也用于骨巨细胞瘤的诊断, 在骨巨细胞瘤累及的部位,放射性核素99mTc 的摄取量增加。放射性核素摄取升高的情况可能是弥散的,血液集中在边缘部分,而中央部分的浓聚较低。放射性核素摄取可以超过肿瘤的边界,因此无法用来正确判断其在髓腔内的侵及范围。位于软组织的肿瘤对放射性核素的摄取很低,亦无法用来确定肿瘤的骨外范围。放射物摄取增加可以发生在与肿瘤相邻的关节,未被肿瘤侵及的关节同样可以发生放射性浓
聚。骨扫描既不能确诊骨巨细胞瘤, 也不能确定肿瘤的侵及范围,所以用途是有限的。骨扫描可以除外或帮助确诊多发病变。
病理生理[编辑 | 编辑源代码]
骨巨细胞瘤按分化程度可分为三级:1级,基质细胞颇稀疏,核分裂少,多核巨细胞甚多。
2级基质细胞多而密集,核分裂较多。3级,以基质细胞为主,核异形性明显,分裂极多,多核细胞很少,因此1级偏良性,2级为侵袭性,3级为恶性。虽然肿瘤的生物学行为,良恶性并不完全与病理分级一致,但分级对肿瘤属性和程度的确定及治疗方案的制定有较大程度的参考价值。
诊断检查[编辑 | 编辑源代码]
X线主要表现为骨端变心位溶骨性破坏而无滑膜反应,病灶骨皮质膨胀变薄,呈肥皂泡样改变。
辅助检查[编辑 | 编辑源代码]
X线片表现:骨骺处有局限的囊性改变,一般呈溶骨性破坏,也可有“肥皂泡”样改变,其扩展一般为软骨所限。不破入关节,少有骨膜反应,肿瘤范围清楚,初发时病变在骨骺内旁侧,发展后可占骨端的全部,骨皮质膨胀变薄,有的可以穿破,进入软组织。X线片可显示其一般特点,但仍不足以确诊。
治疗方案[编辑 | 编辑源代码]
以手术治疗为主,采用切刮术加灭活处理,植入自体或异体松质骨或骨水泥,但易复发,对于复发者,应作切除或节段截除术或假体植入术。属G1-2T1-2M0者,采用广泛或根治切除,化疗无效,对发生于手术困难部位如脊椎者,可采用放疗,但放疗后易肉瘤变,应高度重视。
治疗措施[编辑 | 编辑源代码]
(1)局部切除 如病变部分切除后对功能影响不大,最好完全切除,如腓骨上端、尺骨下端、桡骨上端、手骨、足骨等。
(2)彻底刮除,50%氯化锌烧灼加植骨术。对邻近大关节的良性骨巨细胞瘤,如采用单纯刮除植骨法,复发率可高达40~70%,所以不少学者采取破坏性的大手术,如连同关节面一起作瘤段切除,然后以尸体骨关节或人工假体置换,此法合并症多,如骨不连接,关节僵直,假体松动、感染等,可造成严重病废,甚至导致截肢。其实,所谓复发,乃手术刮除不彻底所致,为了减少复发,我们设计了如下方法:适当暴露肿瘤部位,直视下彻底刮除肿瘤组织,然后以50%氯化锌周道地烧灼骨壁,以杀灭残存瘤细胞,经用生理盐水彻底冲洗干净后,再用自体松质骨植骨(必要时植部分同种异体骨)。实验证明,50%氯化锌有较强的穿透能力,可杀灭5毫米深处的瘤细胞,且对植骨愈合无不良影响,刮除后的骨壳仍有良好的血液供应,保证了植骨的愈合。另外,关节四周的正常软组织附着不受任何影响,术后的关节功能得以保证。自1964年来,用此法处理130例骨巨细胞瘤,复发率下降至10%,个别复发病例经用同法处理,仍得到治愈。
(3)切除或截肢 如为恶性,范围较大,有软组织浸润或术后复发,应根据具体情况考虑局部切除或截肢,有的切除肿瘤后失去关节作用,如股骨颈,可考虑切除后应用人工关节或关节融合术。
(4)放射治疗 在手术不易达到,或切除后对功能影响过大者,如椎体骨巨细胞瘤,可考虑放射治疗,剂量要足够。有一定疗效,少数病人照射后可发生恶变。经手术或放射治疗的病人,要长期随诊,注意有无局部复发,恶性改变及肺部转移。
骨巨细胞瘤-病变[编辑 | 编辑源代码]
骨巨细胞瘤(GCT)与之易混淆的骨瘤样病变的鉴别诊断。方法:3例骨瘤样病变进行病理特点和临床特征进行对比。结果:对于患者是儿童,病变在除骶骨外的椎骨、颌骨和手足骨,病灶多发,通常不是骨巨细胞瘤。结论:GCT与骨瘤样病变鉴别时一定要结合年龄、病史、部位和临床特点进行诊断与鉴别诊断对临床和预后是重要的。
骨巨细胞瘤(giantcelltumorofbone,GCT)又称破骨细胞瘤,是一种较常见的骨肿瘤,好发长骨骺端。因其病理形态和临床表现与几种骨的瘤样病变相似,易引起混淆或误诊,而它们的生物学行为和预后并不相同,予以鉴别诊断十分必要。
GCT临床病理特征 好发20岁~40岁青壮年,男女发病差别不大,特发部位为长骨骺端,尤以股骨下端、胫骨上端、桡骨下端多见。镜下由单核基质细胞和多核巨细胞构成,多核巨细胞数量多,均匀分布,间质出血明显。GCT具有明显的局部侵袭性,复发率高,并可发生转移,用原来的肿瘤病理组织学分级预测预后,并非绝对可靠。
棕色瘤 多骨受累,成年女性多见,早期症状为骨痛,实验室检查血钙升高,血磷降低,血中AKP、PTH升高,好发长骨骨干或骨干骺、髂骨、手足骨等。镜下在正常骨结构消失的基础上出现大量纤维组织增生,小型多核巨细胞分布不均,并见出血灶及吞噬含铁黄素的巨噬细胞,病灶周围可见骨样基质和新生骨小梁及破骨细胞吸收后残存板层骨。切除甲状旁腺原发病变后,骨骺病灶可随之修复。
巨细胞修复性肉芽肿 常见10岁~20岁青少年,好发下颌骨。现在认为发生于颌骨者通常并非真性GCT而是巨细胞修复性肉芽肿。镜下多核巨细胞体积小,中等数量,分布不均匀,常聚集于出血、坏死与含铁血黄素沉积部位,并可见骨样与骨组织形成,病灶经单纯刮除后预后较好。
动脉瘤样骨囊肿 多发生于20岁以下的青少年。好发椎骨及扁骨,但也可发生于长骨干。X线上与GCT相似,呈骨的偏心膨胀,骨皮质消融,与GCT镜下不同的是多核巨细胞分布不均且多位于血管囊肿和出血灶附近,胞体较小,间质为成熟的纤维组织。单纯病灶刮除四分会复发,大块切除或刮除并结合骨移植效果较好。多核巨细胞性骨病变十分复杂,稍不警惕就易造成误诊,对于患者是儿童,病变在除骶骨外的椎骨、颌骨和手足骨,病灶多发,通常不是GCT。特别值得一提的是骨折时可因坏死、出血及多核巨细胞反应而误诊为GCT合并病理性骨折,应加以鉴别。
预防措施[编辑 | 编辑源代码]
一是保持精神乐观.大量的研究已充分证实.任何不良的情绪都能削弱免疫功能.是一种强烈的“促癌剂”.而精神乐观可以提高人体的免疫功能.是最好的“抗体”.因此.要培养开朗乐观的性格.学会自我调节情绪.做到宽宏大度.笑口常开.确保心理健康。
二是注意清洁卫生.现代研究发现.80%~90%的癌症是生活环境中的致癌因索引起的.所以应养成良好的卫生习惯.如刷牙.漱口是预防口腔癌的好方 法;勤晒衣被.常洗澡.保持下体清洁.可预防阴茎癌.子宫癌等;避免和尽量少吸油烟等异常气体.可减少肺癌的发生;不过度暴晒太阳.可防止发生皮肤癌。
三是积极参加运动.运动可提高人体的免疫功能.使气血流畅.推陈出新.有的癌症患者在体育锻炼后.癌细胞可自行消退.因而坚持锻炼.持之以恒.必能增强体质.防病治病。
四是认真把好饮食关.不偏食.不反复食用同一食品.饮食不过量.过饱.同时不食发霉.烧焦.过烫.过硬及辛辣食物.平时多吃些有抗癌作用的食物.如 富含胡萝卜素和维生素A的新鲜蔬菜和水果.大蒜.蘑菇.海带.西红柿.菠菜.黄瓜.茄子以及乳类.豆制品.茶.蜂王浆等.都具有一定的防癌作用。
五是戒烟少酒.吸烟有百害而无一利.烟草中含有尼古丁等30多种有毒物质.吸烟的人不仅肺癌的发病率高.食管癌.口腔癌.胃癌.鼻咽癌等的发病率也 明显高于一般人.为了健康应该戒烟.饮酒也要讲究科学.饭后少量饮用葡萄酒.啤酒等低度酒.可舒筋活血.帮助消化.但大量饮用烈性酒.可损伤消化道引起原 发性肝癌等消化道癌症.因此酒不宜多饮.尤忌空腹饮酒。
护理方法[编辑 | 编辑源代码]
首先是对人群进行干预,目的是预防疾病发生。如预防青年吸烟计划,以防止在以后发生肺癌。
确定和治疗那些发生疾病危险性增高但无症状的人群。一般二级预防等同于肿瘤筛查,如用巴氏涂片检测宫颈癌和癌前病变。筛查可检出发病危险性高的人群 和在无症状期但可以检出的人群。一个实用的筛查方法,必须是患者可以接受的、可以准确检出疾病的,并且对检出的疾病的治疗可以使发病率和死亡率降低。
治疗疾病以预防或减少合并症。
部分病人由于经历了创伤或手术打击,终日卧床,运动减少,原先的生活节律被打乱,往往食欲下降,不想吃东西。老年患者、体质较弱或心理承受能力差的 人更容易发生,受伤或手术后短时期内尤为明显。 必须有充足的营养、身体锻炼、戒烟、避免接触职业致癌物,饮食方面要每天食用水果熟菜,适当控制脂肪含量 高的食物,限量饮酒。注意营养的同时还应每周数天进行有氧运动,避免过胖。
在心理护理的基础上,要在饮食上多下功夫。做到营养丰富,色、香、味俱佳,能刺激食欲。适当多吃一些西红柿、苋菜、青菜、包菜、萝卜等维生素C含量丰富的蔬菜,以促进骨痂生长和伤口愈合。
参看[编辑 | 编辑源代码]
| |||||||||||||||||||||||
