贲门癌
贲门癌(benmenai)是发生在胃贲门部,也就是食管胃交界线下约2cm范围内的腺癌。它是胃癌的特殊类型,应和食管下段癌区分。但是它又与其他部位的胃癌不同,具有自己的解剖学组织学特性和临床表现,独特的诊断和治疗方法以及较差的外科治疗效果。 在我国,贲门癌的死亡率和发病率在各类恶性肿瘤中位居前列。有资料表明,贲门癌的死亡率约占总死亡率的12%左右。而在河南的鹤壁市郊、林州市等食管癌高发地区,贲门癌引起的死亡达居民总死亡原因的20%。
病理改变[编辑 | 编辑源代码]
(一)大体分型
1.进展期 胃肠道分型一般沿用Borrman分型,其基本分类的蕈状、溃疡Ⅰ型、溃疡Ⅱ型与浸润型。我国作者据此对贲门癌分为4型。
①隆起型:肿瘤为边缘较清晰的向腔内隆起的肿块,呈菜花、结节巨块或息肉状,可有浅溃疡;
②局限溃疡型:肿瘤为深溃疡,边缘组织如围堤状隆起,切面与正常组织境界清晰;
③浸润溃疡型:溃疡之边缘不清晰,切面与周围组织分界不清;
④浸润型:肿瘤在贲门壁内浸润生长,受累处均匀增厚,与周围组织无界限,周围粘膜常呈放射状收缩。
大体分型与组织学类型有关,①、②两型以高分化腺癌和粘液腺癌较多。浸润溃疡型中低分化腺癌及粘液腺癌的比例增多。浸润型则多数是低分化弥漫型的腺癌或粘液腺癌。外科治疗预后以隆起型最好,局限溃疡型第二,浸润溃疡型较差,浸润型最差。
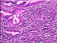
贲门腺癌的组织学类型主要有二类:腺癌与有明显粘液分泌的粘液腺癌。此二类又根据分化程度各自分为高分化、低分化和弥漫型三个亚型。分化程度之高低与手术预后关系密切。除了腺癌与粘液腺癌、贲门癌还有一些少见的组织学类型,如腺鳞癌、未分化癌、类癌(嗜银细胞癌)以及癌肉瘤等。
2.早期 早期贲门癌大体形态与胃其他部位和食管的早期癌相似。可以简单分为三型,①凹陷型:癌瘤部粘膜呈不规则的轻度凹陷,有少数为浅溃疡,与周围正常粘膜分界不明确,镜下分化常较差;②隆起型:癌变部粘膜增厚粗糙,稍有隆起,部分表现为斑块、结节或息肉状,以高分化腺癌占多数;③隐伏型:病变部粘膜颜色略深,质地略粗,此外大体无明显改变,经组织学检查始确诊,是3型中比较最早的形态。
(二)贲门癌的组织发生
过去胃癌的组织发生学中,胃溃疡、胃息肉(腺瘤)及慢性萎缩性胃炎皆被认为是胃癌的癌前期病变。近年的研究发现上述几种情况发生癌变的机会很小。特别是在贲门部这三种情况比胃的其他部分更少发生。所以显然与贲门癌的组织发生关系不大。
目前比较被承认的观点是贲门癌起源于贲门腺的颈部干细胞,因有多方向分化的潜能,可以形成具有贲门或腺上皮特点的腺癌。多数贲门癌的光镜、电镜和组化研究发现是混合型,是该观点的有力支持,不典型增生是贲门癌的癌前病变,它也是在上述与贲门癌发病有关的溃疡、息肉、萎缩性胃炎共有的关键病理过程。当他们发生不典型增生的改变时才可能癌变,其中结肠型化生多数具有不典型增生的性质。
贲门癌的临床病理发期,1987年国际抗癌联盟UICC修改后的胃癌TNM分期法。
病因[编辑 | 编辑源代码]
2、霉菌的致癌作用霉变食物可诱发贲门癌货鳞癌,从这些食物中可分离出白地霉、黄霉、根霉及芽枝霉等均能诱发动物肿瘤,这类霉菌与亚硝胺有促癌的协同作用。
3、微量元素人体外环境中钼、铜、锌、镍的含量偏低容易诱发贲门癌。
4、饮食习惯食物的物理性刺激如热、拉、粗、硬、吸烟、饮酒以及营养缺失等都与贲门癌的发生有关。5、遗传易感性
6、食管的癌变病变食管慢性炎症、贲门失弛缓证、缺铁性吞咽困难都与贲门癌有关。
临床表现[编辑 | 编辑源代码]
【初期症状】
初期症状出现的情况有两种。如果由下部食道发生,则本来已经很狭窄的贲门就会更狭窄,因此,容易出现和食道癌很类似的症状;如果发生于胃体部,或胃头部侧,则初期时大致上没有自觉症状,因此,也很难诊断。 食物通过时有异样感、剧痛、有点梗塞感、轻微的心窝痛。以上症状,在吞咽时会感觉到,而吞较硬的食物时,觉得好像“咚”一声直接掉里胃里,尤其是饮用热或冷的液体时更敏感,其中最初的一口的感觉最明显。如果罹患癌症,那么上述症状一旦出现,就一直存在。至于症状相似的非癌症患者,这些症状就会忽隐忽现,而无经常性,症状的轻重也不相同。
贲门癌另一始发症状是上消化道出血,表现为呕血或是柏油便。根据出血的严重程度或伴随虚脱休克,或表现重度贫血。此种情况的发生率约占病人的5%。由于缺乏梗噎症状,此种病人易被误诊为消化性溃疡出血,由腹部外科医师手术,术中方始确诊。也正是因为多数系急诊手术,各方面准备不够充分,这类病人手术并发症发生率和死亡率都较高,疗效不良。
【贲门癌的早期症状】
1、胸骨后胀闷或轻微疼痛。这种症状并非持续发生,而是间歇性或在劳累后及快速进食时加重。
2、吞咽食物时的异物感。咽食过程中食物(特别是干硬食物)经过病变区(病变很小)可能产生一种异物感,而且常固定在一个部位,有的病人描述像有永远咽不完的东西的感觉。因症状轻微并呈问歇性发生,也易为病人所疏忽。
3、吞食停滞或顿挫感,即病人吞咽食物时似有在某个部位一时停滞顿挫的感觉,这情况也非持续性,只有在病变发展后才逐渐明显起来。
4、胸部胀闷或紧缩感,且常伴有咽喉部干燥感。病人主诉胸前部始终有一种闷气现象,似有一物体堵塞,使胸内呈紧缩的感觉,在吞咽食物时尤为明显,但不影响正常生活和工作。
5心窝部、剑突下或上腹部饱胀和轻痛,以进干食时较为明显,但也并非每次都会发生而呈间歇性。这种情况往往是贲门癌的早期症状。
以上贲门癌早期症状一般都要持续3个月以上。到了经常、持续性发生时就已经是贲门癌中晚期症状了,这时的治疗难度就已经加大许多了。
【贲门癌的中期症状】
贲门癌的中期症状介于早期症状和晚期症状之间,呈进行性发展。
中期贲门癌的常见症状,有中度恶病质,贫血、水肿、全身衰蝎,肝、肺、脑等重要器官转移及腹腔、盆腔转移,引起盆血、腹水蔌血性腹水,肝功能衰竭,昏迷,消化道梗阻等。
【恶化时期的症状】
中晚期病人可见贫血、低血浆蛋白、消瘦甚至脱水。 如果腹部出现包块、肝大、腹水征、盆腔肿物(肛门指诊),都系不适于手术的象征。晚期病例除了吞咽困难,还可出现上腹和腰背的持续隐痛,表明癌瘤已累及胰腺等腹膜后组织,是为手术的禁忌证。除了食道癌的症状之外,还有胃癌的全部症状如下:
1、咽下障碍(喝水时也会)。
2、上腹部有沉重感。
3、胃部会痛。
5、人逐渐消瘦。
转移与扩散[编辑 | 编辑源代码]
1.直接浸润蔓延波及及食管下端胃的其他部分,如裂孔部膈肌、肝左叶、肝胃韧带、胰尾、脾门、脾以及其他腹膜后结构。
2.淋巴道转移 如转移到贲门壁内,尤其是粘膜下和浆膜下层有丰富的淋巴网与食管淋巴网交通,汇集而成壁外淋巴管,向上引流纵隔,向下引流腹腔丛,最后进入胸导管。有作者提出贲门的3条淋巴引流系统:①升干,沿食管壁上行至纵隔;②右干,从胃小弯沿胃左血管和贲门食管支到腹腔动脉旁;③左干,向后壁沿大弯到胰上缘和腹膜后。又可分大弯支、后胃支及膈支。各系统沿线皆有淋巴结。属第一站的是贲门旁(左、右)、下段食管旁及胃小弯淋巴结,第二站有胃左血管旁、脾血管旁及网膜淋巴结。远处者有腹腔动脉旁、腹主动脉旁、肝门区、纵隔及锁上淋巴结。
3.血运转移 ①经过门静脉入肝,通过下腔静脉入体循环;②经器官间静脉径路直接入体循环。前者是最常见转移通路。
4.种植 癌细胞可脱落种植到腹膜、网膜、盆腔等处,可伴发血性腹水。
贲门癌的X线表现[编辑 | 编辑源代码]
贲门区处于与胃体连接部的内后方,因有肋骨为其遮蔽,故无从作压近法检查;再则胃底粘膜皱襞走行纵横交错,其排列缺乏规律性,又因该区一般见不到蠕动,难以象其他部位那样可凭观察动态变化来判定局部胃壁有否僵硬表现。上术数点不利因素给X线检查带来一定困难,故需充分应用气钡双对比法。除取直立位外,作其他不同体们、不同角度观察并摄取多轴噗片甚为重要。贲门癌形成软组织块影后,在胃泡气体的衬托下,大都显示出境界较锐利而不规则的轮廓。如再预涂上一层薄钡,则可色画出癌肿表面粘膜遭受破坏之细节或溃疡龛影,这种龛影一般较浅小。细致观察贲门开放与收缩情况,密切注意钡剂通过食管-胃环,即所谓“喇叭口”的变化,对发现病变尤为重要。“喇叭口”出现缺损及发生异常转向,钡剂通过出现分流现象,或失去正常喷射而呈滴流状,都提示有占位病变存在之可能。若贲门上方有肿块,钡剂将被推移向内下方流注;贲门下方出现肿块,则钡剂折角而流,可构成“7”字征,如肿块位于贲门口而偏后壁,则会发生分流征象或似水流之冲击礁石出现溅泼现象。癌肿累及胃体和胃体上部,则可导致胃穹窿变形或缩小以及贲门下区的局部胃壁变僵。借助手法向上推挤胃体下部,每可观察到在该区出现软硬边缘的截然分界而形成之切迹样改变。贲门癌如向上蔓延而累及下端食管,可使后者发生浸润性环状狭窄,此亦是确立诊断的依据之一。
诊断[编辑 | 编辑源代码]
贲门癌诊断在临床上主要有X线钡餐造影检查,内腔镜检查,B超检查,CT检查等几种常用的诊断方法,其中X线钡餐造影检查是贲门癌重要诊断方法。
一. X线钡餐造影检查:X线钡餐造影检查是贲门癌重要诊断方法。早期表现为细微的粘膜改变,可以发现溃疡龛影以及不很明显的充盈缺损。晚期贲门癌X线观察非常明确,包括软组织影、溃疡、充盈缺损、粘膜破坏、龛影、下段食管受侵、贲门通道扭曲狭窄、以及胃底大小弯胃体都有浸润胃壁发僵胃体积缩小。在早期X线钡餐造影检查中必须进行纤维胃镜检查合并涂刷细胞学及活检病理才能很好确诊。
二.内腔镜检查:纤维食管镜或胃镜均可以作为诊断贲门癌的重要的检查方法。可以了解病灶发生的部位、长度、食管狭窄程度等的诊断。贲门癌没有明确确诊时应在短期内做内腔镜复查。
三、B超检查:贲门部B超检查可以发现贲门癌的位置、形态、大小、与周围组织关系以及癌肿侵润食管深度及附近淋巴结是否肿大能显示清楚,有助于贲门癌和食管癌的早期诊断。
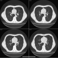
四、CT检查:贲门癌的CT检查能够了解贲门部与食管及周围脏器的关系。肿瘤侵润的情况、大小、部位、食管壁的增厚,上段食管扩张,淋巴结及远处脏器转移等情况。有利于贲门癌与食管癌的诊断和鉴别诊断。
五、细胞学检查 :细胞学检查又称拉网细胞学检查;贲门癌的细胞学检查的阳性率低于食管癌。对具有反复使用钡餐透视及纤维镜检查未能发现病灶或有可疑病灶而未能确诊者,进行拉网细胞学检查,能提高检出率,拉网细胞学检可为诊断提供很好的依据。
鉴别诊断[编辑 | 编辑源代码]
贲门癌的鉴别诊断包括贲门痉挛(贲门失弛缓症)、食管下段慢性炎症导致的狭窄,以及贲门部消化溃疡等。贲门痉挛病例的临床特点是年轻、病史长、吞咽困难病史长,但仍能保持中等的健康状况。X线食管造影可见对称光滑的贲门上方漏斗形狭窄及其近侧段食管高度扩张。
下段食管炎常伴随有裂孔疝及胃液反流,病人有长期烧心反酸史,体态多矮胖,炎症时间长引发瘢痕狭窄,出现吞咽障碍。X线钡餐表现下段食管贲门狭窄,粘膜可以不整,食管镜检查见到炎症肉芽和瘢痕,肉眼有时与癌不易区分。反复多点活检如一直为阴性结果,可以确诊。
治疗措施[编辑 | 编辑源代码]
一.手术治疗
(一)贲门癌的手术适应证
迄今为止,手术治疗是公认的贲门癌的首选治疗。由于其组织学为腺癌或粘液腺癌,放射治疗几乎无效,化学治疗效果也甚微。贲门癌手术适应证:
①经X线、细胞学及内镜确诊;
②超声检查、腹部CT扫描或腹腔镜检除外淋巴结、肝、肾上腺、网膜、腹膜及盆腔转移,无腹水;
③一般情况中等以上,无重大心肺或其他脏器合并症。
由于贲门的解剖学特点,与肝、脾、横结肠、胰尾、肾、肾上腺、小肠、膈肌、后腹膜等诸多脏器相邻,又具有丰富的淋巴引流,向上入纵隔,向下沿大弯及小弯两条主要通道扩散,还可在胃壁内浸润,甚至达到全胃,因此一般的消化道造影不可能显示全部上述各个进程,应用发泡剂双重对比造影,可以清楚显示肿块、软组织影、粘膜破坏、溃疡、胃壁增厚的范围等,但X线改变常要比实际情况轻。应用腹部CT,可以了解肿物与周围器官之关系,但是比较食管的CT所见,贲门癌的阳性发现往往不太肯定,譬如是否侵及胰,往往判断不正确,CT怀疑有胰尾浸润而实际并无粘连,CT认为与胰无关联,但开腹肿瘤与胰浸润粘连成团。CT有助于发现肝转移,但对局部淋巴结转移的判断就不太准确。总之,在术前判断贲门癌之发展程度,估计其切除可能性等是一件相当困难的事,是临床到目前尚未解决的难题。为了不使病人失去治疗机会。腹部B超、CT以及食管胃造影等检查的阳性发现,除非确证已有广泛扩散转移,都应给予探查,争取切除病变并恢复消化道连续性。
(二)贲门癌的手术途径及方法
医科院肿瘤医院胸外科习惯采用左胸后外侧标准开胸切口,经第7肋床或肋间,然后在左膈顶部以食管为轴心作辐射状切口开腹。此种径路,对贲门区显露良好,足以行次全胃切除及胃周及胃左血管的淋巴结清扫。如需要扩大切除范围,行全胃或合并切除脾、部分胰等,则可将该切口向前下延到上腹壁,切断左肋软骨弓膈肌及腹壁肌肉,很方便地变成胸腹联合切口,充分显露上腹部。
在心肺功能储备低下和高龄病人中,可以采用颈腹二切口非开胸食管内翻拨脱部分胃切除,食管胃颈部吻合术。先开腹探查病变可以切除后,通过胃底或腹段食管开口将食管探条送到颈部,此时颈部食管已经显露,在准备作吻合部位之下方将食管结扎固定在探条上,切断上方食管,持续而均匀地牵拉探条,将食管自上而下翻转拔脱。游离胃常规切除部分胃,大弯剪裁成管状,经食管床上提入颈与食管吻合,这种手术的缺点是胃切除范围受限,可以导致胃侧切缘不净有残余癌。当纵隔过去有炎症,如淋巴结核而发生粘连时,会使翻转拔脱遇到困难,拔不动或是撕裂气管支气管膜部,发生后一种情况时需立即开胸修补,如事先已经估计拔脱有困难时,最好采用开胸切除的办法。
对心肺功能不足病人还有一种手术径路,就是联合胸骨正中切开和上腹正中切口,术中注意防止双侧胸膜破裂,并将心包自膈面游离,中线切开膈肌达食管裂孔,将心包前提显露后纵膈,然后常规将贲门癌及下段食管切除,残胃上提在后纵隔与食管吻合。此种切口显露后纵隔受一定限制,可以使用食管胃机械吻合器以保证吻合口质量。
常用的手术方法是近侧胃次全切除术。适应于贲门部肿瘤体积不大,沿小弯侵延不超过其全长的1/3时。手术具体操作如下:左后外第7肋床或肋间开胸,探查下段食管,然后以裂孔为轴心向左前切开膈肌、探腹,无肝、腹膜转移或广泛淋巴结转移时,沿大弯离断大网膜、左胃网膜动脉和胃脾韧带中的胃短动脉,离断左侧膈肌脚,完全显露下段食管,清除该部位(包括下肺韧带内)淋巴结。纱布垫开胰体及尾,显露胃左血管及其附近的淋巴结,仔细清扫淋巴结,结扎切断胃左血管,离断肝胃韧带,近侧胃完全游离,在大弯侧裁制胃管,如有胃缝合机可节省操作时间。要求切缘距肿瘤边不<5cm。将胃管顺时针旋转90°,然后与食管下残端对端吻合,里层是全层结节缝合,外层将胃浆肌层向上套叠包绕吻合口约2cm,如望远镜状。吻合前为防止胃口粘膜过长,外翻覆盖肌层边影响吻合操作,可先环状切开胃管口部肌层,此时松弛的粘膜由于远侧肌层回缩而如袖状裸露。充分作粘膜下层止血,齐远侧肌层平面剪除多余之粘膜,此时胃管口的粘膜正好与肌层相平,吻合时视野十分清晰,有助于严密对合。
肿瘤浸润超过胃小弯长度一半时需行全胃切除,需离断全部5组胃的血供,全胃切除后缝合十二指肠端,作食管空肠吻合术。最简单的是食管空肠端侧吻合,空肠空肠侧侧吻合术,或者是Roux-Y食管空肠对端吻合,空肠空肠端侧吻合术。作者认为前者操作较简,空肠血运较后者保存更好。
如肿瘤已侵及胃脾韧带或胰尾,则可在次全或全胃切除同时行脾、胰尾切除术。注意妥善缝合胰的切断面,最好再用大网膜覆盖,以防止发生胰管瘘。
贲门癌手术治疗时胃切除范围一直是有争议的问题。有主张一律行全胃切除,有的作者主张整块切除全胃、脾、胰尾、网膜及区域淋巴结取得改进的生存。也有比较次全及全胃切除术后疗效,发现两者之存活率并无差别,建议仅在肿瘤累及胃体时作全胃切除。还有的作者发现在全胃切除术时预防性脾切除对有脾门淋巴结转移者并不无益于长期生存,而对无脾门淋巴结转移病例,未作脾切除的反而存活率高。脾切除组还存在术后感染率高,复发死亡较快等现象。医科院肿瘤医院937例报告中,有10例行全胃切除术。其中9例在1年内死亡,1例没有活过2年。胃次全切除合并切除脾、胰尾者20例。术后死亡2例,有2例存活5年以上(1例6年,另1例8年)。作者同意一些人的观点,贲门癌由于就诊时多数已属晚期,早已存在淋巴结转移,根治手术是无助益的。假如肿瘤确实还是局限时,根治手术又无必要。对于局限于贲门部不超过小弯长度的1/3的病变,应行胃次全切除术加区域淋巴结清扫,是比较合适的治疗方针。
(三)贲门癌的外科治疗近远期疗效
贲门癌的手术疗效比食管癌要差。国内三大组切除率73.7%~82.1%,切除死亡率1.7%~2.4%。三大组的5年生存率19.0%~24.0%,10年生存率8.6%~14.3%。
影响贲门癌远期生存的主要因素为淋巴结有无转移,肿瘤是否浸润浆膜以及切除性质(根治或姑息)。贲门癌的国际TNM分期,由于综合了前两个可变因素,同样是预测病人转归的有效指标。
(四)残胃贲门癌
远侧胃部分切除术后残胃囊发生癌的报告日益增多。其发生率为0.55%~8.9%,其中发生在贲门部的占全部的16.4%~58.5%,残胃贲门癌在贲门癌中的发生率为1.5%~2.7%。
四、中医药治疗
贲门癌中医中药治疗配合贲门癌手术治疗有着很好的疗效。由于贲门癌对放射治疗几乎无效,化学治疗效果也不很理想,所以术后采用贲门癌中药治疗在临床上广泛应用。
中医中药治疗不但可以起到减轻贲门癌手术后或化学治疗后身体虚弱,还能增强抵抗力。使化疗后毒副反应降低。还可以防止肿瘤的复发和转移,起到了治疗肿瘤的目的。
辨证施治
1.痰郁互结型:表现以进食梗阻、呕吐痰涎、舌质胖、苔腻为主;
2.瘀血内阻型:表现以进食不利吞咽疼痛,呕血、黑便、口干、心下痞,舌质紫暗,脉弦或涩;
3.正气虚损型:以贫血、乏力、心悸、出汗、纳少等为主要表现。
并发症[编辑 | 编辑源代码]
多数是食管癌的并发症及压迫症状。
如肿瘤侵及相邻器官,可以发生食管气管瘘、纵隔脓肿、肺炎、肺脓肿及主动脉穿孔大出血等。当转移淋巴结压迫气管引起呼吸困难,压迫喉返神经引起声音嘶哑,压迫膈神经可引起膈肌矛盾运动
食管癌贲门癌术后护理措施[编辑 | 编辑源代码]
1.保持胃肠减压管通畅 术后24~48h引流出少量血液,应视为正常,如引出大量血液应立即报告医生处理。胃肠减压管应保留3~5天,以减少吻合口张力,以利愈合。注意胃管连接准确,固定牢靠,防止脱出,引流通畅。
2.密切观察胸腔引流量及性质 胸腔引流液如发现有异常出血、混浊液、食物残渣或乳糜液排出,则提示胸腔内有活动性出血、食管吻合口瘘或乳糜胸,应采取相应措施,明确诊断,予以处理。如无异常,术后1~3天拨除引流管。
3.严格控制饮食 食管缺乏浆膜层,故吻合口愈合较慢,术后应严格禁食和禁水。禁食期间,每日由静脉补液。安放十二指肠滴液管者,可于手术后第2日肠蠕动恢复后,经导管滴入营养液,减少输液量。手术后第5日,如病情无特殊变化,可经口进食牛奶,每次ml,每2hl次,间隔期间可给等量开水,如无不良反应,可逐日增量。术后第10~12日改无渣半流质饮食,但应注意防止进食过快及过量。
4.观察吻合口瘘的症状 食管吻合口瘘的临床表现为高热、脉快、呼吸困难、胸部剧痛、不能忍受;患侧呼吸音低,叩诊浊音,白细胞升高甚至发生休克。处理原则:①胸膜腔引流,促使肺膨胀;②选择有效的抗生素抗感染;③补充足够的营养和热量。目前多选用完全胃肠内营养(TEN)经胃造口灌食治疗,效果确切、满意。
贲门癌手术后的不适反应处理:[编辑 | 编辑源代码]
手术后会有返酸、易饱胀、呛咳等不适感,因为切除了贲门,加上胃肠排空功能减弱,所以胃肠内的食物和胃液有时会返流到食管引起不适,经过上述的饮食和体位的调整措施后,一般可以缓解,如仍不能缓解,可以服用一些药物如奥美拉唑、吗叮林等加以控制。如果您有腹泻症状,往往与手术后胃肠功能紊乱有关,除了注意食物要清洁以外,应避免进食油腻食物,以免加重腹泻症状,经过饮食调理后,如仍不能控制腹泻,可服用一些止泻药物。如果感觉手术伤口有针刺样疼痛和麻木感,这与手术时切断了胸壁的神经有关,数月后这种不适感才会慢慢消退。
贲门癌患者术后饮食应该注意的几个方面:[编辑 | 编辑源代码]
手术出院后可继续半流质饮食,如藕粉、蒸蛋、麦片粥、大米粥、烂糊面等,逐渐由稀变稠,术后一个月左右可过渡到软食乃至正常饮食。注意少食多餐,根据需要每天可进餐5-8顿,进食时要细嚼慢咽。不要忌口,各种食物只要是清淡、新鲜、富于营养、易于消化的都可以吃,不吃辛辣刺激的食物,禁烟酒。
贲门癌的预防七则[编辑 | 编辑源代码]
1、改掉吸烟饮酒的习惯,改良水质,减少饮水中亚硝酸盐的含量。
2、不要吃的太烫,饮食太烫容易烫伤食管和胃黏膜,引起炎症,时间长了,就会慢慢从炎症转变为癌症。
3、有人喜欢蹲着吃饭,这样腹部的压力比较高,食物滞留在食管和贲门的时间比较长,这可能和食管癌、贲门癌的发生有关。
4、要普及防癌知识,提高防癌意识。对易感人群进行检测,对高危人群要定期进行防癌体检。
5、积极治疗食管上皮增生、食管炎、贲门失迟缓症等与食管癌、贲门癌发生相关的疾病。
6、吃饭别太快,要细嚼慢咽。吃饭太快,食物没有很好的嚼碎就咽下去,不仅不利于消化,而且会刺激食管和胃黏膜。
7、提倡多吃新鲜的蔬菜和水果,尽量少吃腌制的泡菜、咸菜、酸菜等。不食用发霉变质的食物,尤其是发霉的花生、玉米等,其中含有大量致病的黄曲霉毒素。不要吃过于粗糙的食物,最好少吃油煎油炸食品,这些食品都不容易嚼碎,应增加一些优质蛋白质食品,比如鸡蛋、牛奶等。
打饱嗝和贲门癌有关吗?
贲门癌在早期时病人基本上无任何不适。随着病情的发展及肿瘤范围的扩大,病人可逐渐出现异常感觉。开始时因这种感觉并不影响生活起居而不易被病人引起重视。肿瘤增大时首先是妨碍进食,一旦病人自觉有吞咽困难多半已是癌症中晚期了。
患者:我是以前经常打饱嗝,也没怎么注意,后来查出是患了贲门癌,打饱嗝和贲门癌有什么关系吗?
医生:饭后打饱嗝是日常生活中很常见的一种表现。但如果长期、反复、频繁打嗝,应警惕是否是贲门癌的征兆。
贲门是食管和胃的接口,进食时开放,食后关闭,以保证胃内食物不会反流到食管。由于慢性炎症、不洁食物、不良饮食习惯等原因可以引起恶变,发展为贲门癌。贲门癌是常见的恶性肿瘤,早期无特异性症状,诊断多为晚期。
贲门癌可以出现呃逆、进食不利、剑突下疼痛、呕吐、呕血、黑便,严重时不能进食、消瘦。尤其是无原因长期、反复、频繁呃逆是贲门癌的早期常见表现,不容忽视。提醒大家生活中一旦有以上表现应及时到医院做X-光片、胃镜检查,以明确诊断,早期发现、早期治疗。
贲门癌病变早期无明显症状,即使有一些上消化道症状,也属非特异性,常导致延误诊断,故40岁以上成人如无诱因出现上消化道症状或原有症状加重变化以及出现原因不明的黑便和大便隐血阳性,特别是具有家族史时,应进一步诊断以排除恶性肿瘤可能;发展至进展期时则可出现如进行性吞咽困难,上腹部肿物以及锁骨上淋巴结肿大等较特异性的症状。
现状[编辑 | 编辑源代码]
贲门癌的第一个显著的流行病学特征是其与胃远侧部位肿瘤的不一致性。 在贲门癌高发地区,胃远侧部位的肿瘤发病率很低。 流行病学和人群研究提示,贲门癌的诱发因素、病理特征、以及临床特征与胃远侧部位肿瘤明显不同。幽门螺杆菌感染与胃远侧部位肿瘤发生关系密切,而饮酒和吸烟等则是贲门癌发病的重要因素。特别需要强调的是,20世纪80年代以来,世界各地特别是美国、日本、中国及欧洲等某些国家,胃远侧部位肿瘤发生率呈明显下降趋势。但是,贲门癌和食管原发性腺癌的发病率则呈明显上升趋势,特别是在美国白人以及英国等欧洲国家,其发病率在过去的30年间增加了近6倍,是所有恶性肿瘤中增长速度最快的一种,尽管其原因尚不清楚,这些现象提示,贲门癌有别于胃远侧部肿瘤,应当作为一种独立的疾病来对待。很明显,贲门癌与食管癌显著相似的流行病学特征,提示二者可能存在共同的发病因素。但是,目前对贲门癌的发病学特征的了解甚少。
| |||||||||||||||||||||||
