药物性心肌病

来自医学百科

药物性心肌病广义而论凡由于药物直接或间接的心肌毒性所导致的心脏病变,无论是因药物对心肌电生理的影响而引起的心肌除极和复极的异常或各种心律失常,或心肌的收缩性因药物的毒性作用而受到抑制进而诱发或加重的心力衰竭,或因对某种药物过敏而导致心肌炎心包炎,均可称之为药物性心脏病(drug-inducedheartdiseases)。

药物性心肌病-疾病概述[编辑 | 编辑源代码]

心肌炎

与其他药源性疾病一样药物性心脏病可由于药物本身用药的医师和受治的病人三方面的原因所促成但通常药物本身和药物相互作用是引起病变的主导因素。药物累及心脏者主要是对心肌的损害,但少数药物也累及心包心内膜此外许多损害心脏的药物有时也同时引起其他脏器和器官的不良反应,故在考虑治疗对策时不应顾此失彼  

流行病学[编辑 | 编辑源代码]

心肌炎

据中国卫生部药物不良反应监察中心推算,中国每年至少有250万人因药物不良反应相关疾病而入院,其中死亡可达19.2万人。  

药物性心肌病-疾病病因[编辑 | 编辑源代码]

药物性心肌病指接受某些药物治疗的患者,由于药物对心肌的毒性作用,引起心肌损害产生心肌肥厚和/或心脏扩大心肌病变。

药物性心脏病常见于使用抗肿瘤药物、某些治疗精神病药物(如抗抑郁药)、治疗心血管病的药物和抗寄生虫药等。大多数药物性心脏病的重症病人临床上表现为扩张型心肌病的特征,最终可导致致命性心力衰竭。

阿霉素心肌病,少数病人其临床特征酷似限制性心肌病;有的药物如儿茶酚胺类对心脏的长期作用可引起心室肌的增厚,犹如肥厚型心肌病。此外,某些毒物如可卡因,可因其直接心肌毒性引起心肌病,应引起重视。  

药物性心肌病-症状体征[编辑 | 编辑源代码]

1.抗肿瘤药[编辑 | 编辑源代码]

(1)柔红霉素:本药可通过增加氧自由基产生、干扰线粒体能量代谢促使心肌细胞内钙离子超载而导致对心肌的直接损伤,可使心肌收缩力下降甚至引起心衰。若与其他抗肿瘤药合用则可增加毒性,因此一般认为本药用量应<550mg/m2。柔红霉素还可引起各种心律失常包括室性和室上性心律失常,甚至因室颤猝死必须指出本药对心肌损伤作用有时可持续几年甚至10多年应予注意。

(2)阿霉素:本药可增加心肌细胞线粒体乙酰化的细胞色素C的分解,增加氧耗;阿霉素也可引起心肌细胞内钙离子超载,对心肌造成直接损伤;本药使心肌消耗三磷腺苷增加,使心肌能量耗竭,引起心功能不全。本药心脏表现可表现为:在静脉滴注中或静脉滴注后出现各种心律失常,也可出现酷似扩张型心肌病样的临床表现

低血压脑部X光图

(3)环磷酰胺:可引起冠状动脉内皮损伤和心肌细胞损害,间质可产生水肿,本药对心肌损害多在用药后2周以上发生,多数呈可逆性改变,少数可引起继发性心肌病

(4)紫杉醇:可引起心动过缓和心肌收缩力减弱,但多无明显临床症状且多为一过性。  

2.抗精神病和抗抑郁药[编辑 | 编辑源代码]

(1)抗精神病药:可引起低血压反应个别敏感者可引起持续性低血压甚至休克,系吩噻嗪类药对中枢神经系统有特殊的抑制作用,以及同时具有α受体阻滞作用有关此外,氯丙嗪治疗有发生猝死的报道其可能原因是降低心肌的儿茶酚胺浓度使心肌收缩力降低导致室颤发生也可能与不可逆性休克中枢神经过度抑制有关。心电图可有T波低平出现U波、Q-T间期延长和ST段压低,也可见到各种心律失常,包括室性期前收缩房室传导阻滞及Q-T间期延长的多形性室速(扭转型室速)等。

(2)三环类抗抑郁药:对心血管的不良反应包括对心肌的抑制作用、体位性低血压窦性心动过速房室传导阻滞等,由于本类药可抑制细胞色素P450,与其他药物合用时可能影响其他药物的代谢或加重对心血管的反应。  

3.抗心律失常药[编辑 | 编辑源代码]

各种抗心律失常药均有不同程度负性肌力作用尤其对已有心脏病的患者可诱发心衰此外抗心律失常药可有致心律失常作用,应用不当甚至可诱发致命性心律失常发生。  

4.β受体阻滞药[编辑 | 编辑源代码]

可通过抑制心脏β受体具有直接负性肌力作用和减慢心率作用应用不当可加重心功能不全近年来由于对心衰认识的深化新近临床大规模多中心临床试验(如MDCCIBIS)证实在常规心衰治疗基础上适当合理使用β受体阻滞药如应用比索洛尔卡维地洛尔、美托洛尔等不仅可减少住院率且能降低病死率 5.钙离子拮抗药

钙离子拮抗药通过抑制钙离子内流对心肌具有一定负性肌力作用因此有可能加重心功能不全尤其非二氢吡啶类如维拉帕米而二氢吡啶类尤其是短效二氢吡啶类药物如硝苯地平可增加心率,反射性引起交感神经兴奋。相反维拉帕米可引起心动过缓,增加洋地黄血药浓度等  

6.其他[编辑 | 编辑源代码]

如非类固醇消炎镇痛药可通过抑制环氧化酶使前列腺素合成减少而引起水、钠潴留尤其对原有心脏病患者可加重心衰。此外,麻醉药氟烷等对心肌均有一定抑制作用

并发症目前暂无相关资料  

药物性心肌病-病理生理[编辑 | 编辑源代码]

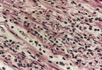
心肌细胞

药物引起心肌毒性损害的致病环节众多,机制复杂,迄今尚未完全明确,大致主要有以下几个方面。

1.直接毒性药物对心肌产生直接毒性作用,导致心肌细胞的炎症、变性、坏死及间质水肿,至一定阶段可呈纤维性改变。其毒性作用常与药物的剂量及用药时间长短密切相关。此类药物主要有抗肿瘤药,如阿霉素、柔红霉素、环磷酰胺(CTX)、氟尿嘧啶(5-Fu);抗寄生虫药,如依米丁氯奎、锑剂等;某些心血管药物,如维拉帕米、奎尼丁普鲁卡因胺和拟交感类药;某些中药,如雷公藤等。以阿霉素心肌病为例,其心肌直接毒性损害可以从特异性组织病理超微结构改变得以证实,其表现为肌原纤维丧失及胞浆空泡化,严重者有细胞坏死。

2.代谢异常一些药物可抑制心肌细胞的氧化磷酸化,导致线粒体损害,如某些抗寄生虫药(依米丁等)。最近Jeyseelan(1997)所作的一项研究证明,抗肿瘤药阿霉素及柔红霉素能使心肌细胞膜核糖核酸(RNA)快速致敏失活,使ATP形成受阻,阻碍了心肌特异性基因的表达,并抑制肌原纤维蛋白和给心肌细胞供能的蛋白(如ADP/ATP转换酶磷酸果糖激酶同工酶)的核基因密码的转录,由于细胞内ATP储存耗竭和能量的缺失,心肌肌原纤维发生变性和坏死。电解质紊乱,如长期应用利尿药物可致严重的低钾血症低镁血症氨基糖苷类抗生素长期应用也可致低钾血症危象而导致心肌病变。

3.抑制心肌的收缩性导致心肌收缩性减低和心室应激性增高,主要见于抗抑郁药,尤其是三环类抗抑郁药。其次,某些抗心律失常药,特别是β受体阻滞药和钙离子拮抗药等对心肌也有明显的抑制作用。

4.影响心肌的电生理特性心肌的电生理受药物作用而干扰,可表现为心肌除极和复极的改变,或心肌应激性增高,如阿霉素、三环类抗抑郁药、洋地黄过量和某些抗心律失常药。其中能使心肌动作电位延长的药物(包括非心血管药物如三环类抗抑郁药)均可能有潜在的促心律失常作用,特别是药物使用不当合并有低钾血症、低镁血症时。

5.药物相互作用在考虑药物对心脏的毒性作用时,多种药物并用而导致药物相互作用应予足够的重视。两种(或两种以上)药物并用可通过对心脏毒性的相加,或一种药物影响另一药物的代谢和排泄,或增高其生物利用度,从而使该药物对心脏的毒性增加。如洋地黄与奎尼丁并用时后者可使洋地黄的血浓度增高1倍,如不慎很容易引起洋地黄中毒

6.过敏许多药物对高敏的个体可引起过敏性心肌炎或心肌心包炎,常见者有青霉素类、磺胺类、保泰松、抗惊厥药、抗结核药、抗肿瘤药和疫苗等。经过敏机制引起的心肌炎每见于试用剂量时,其发病与药物的剂量无关,过敏性心肌炎常见有单核与嗜酸性粒细胞心肌浸润,并可致心脏传导阻滞、心律失常、心肌坏死与心力衰竭。应用抗过敏药和糖皮质激素治疗有效。

7.其他许多药物用量、疗程及个体反应性的不同而具有多种致病机制,如二性霉素B可因直接心肌毒性、电解质紊乱、血栓栓塞而罹病。三环类抗抑郁药除引起心律失常外,主要致严重的心肌抑制作用而导致扩张型心肌病和心力衰竭。其他如阿霉素、氯喹、锑剂、吩噻嗪类药亦通过多种复杂的机制而导致心肌病变。  

药物性心肌病-诊断治疗[编辑 | 编辑源代码]

诊断[编辑 | 编辑源代码]

主要根据曾服用某些药物如上述抗肿瘤药抗精神病或抗抑郁药之前无心脏病证据,服药后出现心律失常心脏扩大心功能不全的征象又不能用其他心脏病解释者可诊断为本病。  

实验室检查[编辑 | 编辑源代码]

1.血液学检查血清酶学增高有助于药物所致的心肌梗死、心肌炎的诊断。

2.血液免疫学检查如为阳性改变对药物变态反应有诊断意义。

3.血药浓度测定有助于诊断某些药物过量中毒。  

其他辅助检查[编辑 | 编辑源代码]

1.心电图检查可提示药物性心脏病对心肌损害或药源性心律失常。

2.超声心动图对于药源性心包疾病、心肌病及心功能判断有帮助。

3.放射性核素心脏显像对于药物引起的心肌改变、心脏功能判断有一定的帮助。

4.心导管检查、心内膜心肌活检对诊断药源性心肌病、心肌炎有一定价值。  

鉴别诊断[编辑 | 编辑源代码]

要排除药物以外的其他因素可能造成的假象如应排除由患者原有疾病尤其是心脏病本身病情变化引起的可能性还要深入了解用药的种类方式剂量等。设法从多种药物中找出致病药物药物性心血管疾病可能伴有其他系统器官的损害表现,注意做有关方面的检查提供有鉴别诊断意义的线索。  

治疗方案[编辑 | 编辑源代码]

1.严格掌握用药适应证是防止本病的关键,若病情需要服用某些可能影响心脏的药物者,应定期作有关检查包括心电图X线超声心动图和血清酶学检查等一旦发现有心脏损害迹象应减量、停药或改用其他药物替代。

2.确诊为药物性心肌病者应停用有关药物,可用泛癸利酮(辅酶Q10)10mg肌内注射1~2次/d;或口服20mg,3次/d针对心律失常、心功能不全可采用相应的治疗措施此外,也可适当应用改善心肌营养和代谢的药物,如肌苷三磷腺苷(ATP)维生素B1维生素B6和二磷酸果糖等。  

西医药治疗[编辑 | 编辑源代码]

肌苷

(1)病因防治:积极处理各种病毒感染

(2)促进心肌代谢:给予肌苷、大剂量维生素c和极化液等。

(3)控制心力衰竭:应用利尿剂强心甙,剂量宜由小至大,逐步增加。

(4)纠正心律失常:根据不同类型的心律失常选抗心律失常药物。  

中医药治疗[编辑 | 编辑源代码]

(1)气阴双亏:心悸气促,神倦易累,胸闷不舒,自汗口渴舌红少津脉细数或结代。治法:益气养阴。方药:太子参30克,天冬麦冬生地五味子石斛白芍各lo克,炙甘草8克。

(2)阳虚水泛:心悸胸憋,神疲气短,形寒肢冷,浮肿少尿,动则气喘,苔白,脉沉细。治法:温阳利水。方药:茯苓20克,猪苓15克,制附片、白芍、白术党参丹参各10克,桂枝干姜各6克。

(3)阳虚欲脱:心悸气急,不能平卧,汗出淋漓,手足厥冷,舌淡苔白,脉沉细极弱。治法:回阳固脱。方药:人参15克,制附片12克,龙骨30克,牡蛎20克,山萸肉、麦冬、生地、丹参、当归黄芪各10克。  

预防[编辑 | 编辑源代码]

五味子

本病若能及时确诊,停用致敏药物和采用对症治疗,一般预后良好,大部分病人可完全恢复正常。

1.对于有过敏性体质病人,特别是以往对药物有过敏者,应慎重选择用药。

2.在疑及本病时,立即停用致敏药物是治疗的关键,否则可在较短时间内引起不可逆转的后果。  

保健贴士[编辑 | 编辑源代码]

病毒型心肌炎

对于有过敏性体质病人,特别是以往对药物有过敏者,应慎重选择用药。在疑及本病时,立即停用致敏药物是治疗的关键,否则可在较短时间内引起不可逆转的后果。