扩张型心肌病

来自医学百科

扩张型心肌病(Dilated Cardiomyopathy,DCM)特征为左或右心室或双侧心室扩大,并伴有心肌肥厚。心室收缩功能减退,伴或不伴充血性心力衰竭。室性或房性心律失常多见。病情呈进行性加重,死亡可发生于疾病的任何阶段。本病病因不甚明确,难以预防,无特异治疗方法。

扩张型心肌病

  

病因学[编辑 | 编辑源代码]

本病的病因迄今未明,目前已发现本病与下列因素有关:

1.病因感染动物实验中柯萨奇病毒、脑心肌炎病毒不仅可以引起病毒性心肌炎,且可以引起类似扩张型心肌病的病变,临床上急性病毒性心肌炎患者长期随访中发现转变为扩张型心肌病的机会显著大于一般人群,本病患者心肌活体标本病毒检查有炎性表现,不少本病患者血中柯萨奇病毒B中和抗体滴定度比正常人高;近年来用分子生物学技术在本病患者的心肌活检标本中发现有肠道病毒巨细胞病毒的RNA,以上均说明本病与病毒性心肌炎关系密切,本病有可能是感染的持续存在。

2.基因自身免疫研究发现本病与组织相容抗原有关,与非本病患者相比,本病中HLAB27、HLAA2、HLADR4、HLADQ4各位点增加,而HLADRw6位点则减少,HLA的变化与常染色体隐性遗传有关,可以解释部分本病患者的家族性倾向。另一方面,可以有免疫反应的改变,增高对病毒感染易感性,导致心心肌自身免疫损伤。

3.细胞免疫本病患者中自然杀伤细胞活性减低,减弱机体的防御能力,抑制性T淋巴细胞数量及功能减低,由此发生细胞介导的免疫反应,引起血管和心肌损伤。

综上所见,目前认为本病的可能发病机制可能是先有柯萨奇病毒侵蚀心肌,在心肌内增殖并引起心肌细胞坏死,第二阶段在心肌内不能找到病毒,但有淋巴细胞增多,此种细胞对心肌细胞致敏,引起免疫反应并致心肌细胞坏死,后期炎性细胞浸润减少或消失,成为纤维化,与肥大或减少的心肌细胞相互交织,构成扩张型心肌病的病变。病毒感染、免疫反应学说虽是目前主要发病说,但还有许多问题未弄清,有待进一步研究。  

病理改变[编辑 | 编辑源代码]

心脏重量增加,约为正常的一倍。各心腔扩大,心肌灰白而松弛。心室壁心肌虽肥大,但因室腔扩大而室壁厚度仍近乎正常。心内膜也可增厚。心腔内附壁血栓形成不少见。心肌纤维化常见,呈灶性分布于室壁的内缘,也可心壁成片受损,心脏的起搏传导系统均可受侵犯。

本病的心脏显微镜检查缺乏特异性发现。可以见到心肌纤维肥大,细胞核固缩、变形或消失,胞浆内有空泡形成。纤维组织增多,或因间质胶原组织增多,或因局灶性心肌纤维被纤维组织所替代。心肌纤维可被条索状纤维组织所分割。心内膜中胶原和弹性纤维也增加。不同程度的退行性变可以见到,多数为心肌细胞溶解,尤其多见于病程长的病例。

电镜检查见心肌细胞的线粒体肿胀,嵴断裂或消失;肌浆膜间隙扩大,有纤维状物质与颗粒状脂褐素肌原纤维可以消失。

心肌病变使心脏收缩力减弱。早期左心室等容收缩期左心室内压力上升速度减慢,喷血速度也减慢。此时心搏量减少由加速心率代偿,心排血量尚可维持。以后左心室排空不尽,有残余血量,舒张末期压增高,逐步发展左心衰竭。历久左心房肺动脉压力相继升高,最后出现右心衰竭。少数病例病变以右心室为主,则发展为右心衰竭。心室的扩张使房室瓣环扩大,造成二尖瓣三尖瓣关闭不全。心腔扩张,心室壁内张力增大,氧耗增多,心肌肥厚、心率加速引起心肌相对缺血,而心肌摄氧的能力已达极限,因而可引起心绞痛。心肌病变涉及起搏和传导系统可引起各种心律失常。  

临床表现[编辑 | 编辑源代码]

各年龄均可发病,但以中年居多。起病多缓慢,最初检查时发现心脏扩大心功能代偿而无自觉不适。经过一段时间后症状逐步出现,这一时期有时可达10年以上。症状以充血性心力衰竭为主,其中以气急和浮肿为最常见。最初在劳动或劳累后气急,以后在轻度活动或休息时也有气急,或有夜间阵发性气急。由于心排血量低,患者常感乏力。体检见心率加速,心尖搏动向左下移位,可有抬举性搏动,心浊音界向左扩大,常可听得第三音或第四音,心率快时呈奔马律。由于心腔扩大,可有相对性二尖瓣或三尖瓣关闭不全所致的收缩期吹风样杂音,此种杂音在心功能改善后减轻。血压多数正常,但晚期病例血压降低,脉压小,出现心力衰竭舒张压可轻度升高。交替脉的出现提示左心衰竭。脉搏常较弱。心力衰竭时二脉基底部可有罗音。右心衰竭时肝脏肿大,水肿的出现从下肢开始,胸水腹水在晚期患者中不少见。各种心律失常都可出现,为首见或主要的表现,并有多种心律失常合并存在而构成比较复杂的心律,可以反复发生,有时甚顽固。高度房室传导阻滞心室颤动、窦房阻滞或暂停可导致阿-斯综合征,成为致死原因之一。此外,尚可有脑、肾、肺等处的栓塞。  

辅助检查[编辑 | 编辑源代码]

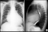
1.X线检查:心影扩大,晚期外观如球形,说明各心腔均增大,外形颇似心包积液。少数患者以左心室、左心房或右心室增大为主,外观类似二尖瓣病变。透视下见心脏搏动较正常为弱。主动脉一般不扩大。病程较大的患者常有肺瘀血和肺间质水肿,两肺肋膈角处可有间隔线,肺静脉肺动脉影可扩大;胸腔积液不少见。

扩张型心肌病X线改变


2.心电图:在有症状的患者中几乎都不正常,无症状者不少已有心电图改变,改变以心脏肥大、心肌损害和心律失常为主。左心室肥大多见,常合并心肌劳损,晚期常有右心室肥大;也可有左或右心房肥大。心肌损害常见,以ST段压低、T波平坦或双相或倒置为主要表现,有时T波呈缺血型改变。少数患者可有病理性Q波,类似心肌梗塞,其部位多在前间隔(V1、V2导联),可能为间隔纤维化的结果。心室内传导阻滞常见,左、右束支左束支分支的传导阻滞都可出现。心律失常常见,后期尤然,以异位心律和传导阻滞为主。异位心律可来自心房、房室交接处或心室,由早搏逐步演变为心动过速,以至扑动或颤动,亦可有窦房病变、房室交接处逸搏或逸律,或心室自身心律等。一至三度房室传导阻滞均可发生。

3.超声心动图:在本病早期即可见到心腔轻度扩大,尤其左心室,室壁运动减弱,后期各心腔均扩大,室间隔与左室后壁运动也减弱。二尖瓣前叶双峰可消失而前后叶呈异向活动。左室喷血比数常减至50%以下,心肌缩短比数也减小。可能有少量心包积液。

扩张型心肌病超声心动图表现

4.核素心室造影:也可显示心腔扩大与室壁运动减弱,左室喷血分数减少,运动后更为明显。收缩时间间期早期即可不正常,左心室喷血时间(LVET)缩短,喷血前期(PEP)延长、PEP/LVET增大。

5.心导管检查:早期近乎正常,左右心室舒张末期压可以稍增高。有心力衰竭时心排血指数减小,动静脉血氧差大,肺动脉及心房压增高。心血管造影示心腔扩大,室壁运动减弱。 

6.心内膜心肌活检:近年来在临床上开展心内膜心肌活组织检查,由带活组织钳的心导管取得标本,进行病理与病毒检查,可以发现有否心肌炎症的证据,但目前对病理组织学的诊断标准和去除伪迹方面还有些问题待解决。

诊断[编辑 | 编辑源代码]

1980年世界卫生组织指出本病为不明原因的左心室或双心室扩大,心室收缩功能受损,伴或不伴有充血性心力衰竭和心律失常,须排除其他原因后方能作出本病的诊断。

1995年中华心血管病学会组织专题研讨会,提出本病的诊断参考标准如下:

  1. 临床表现为心脏扩大、心室收缩功能减低伴或不伴有充血性心力衰竭,常有心律失常,可发生栓塞和猝死并发症
  2. 心脏扩大X线检查心胸比>0.5,超声心动图示全心扩大,尤以左心室扩大为显,左室舒张期末内径≥2.7cm/m2,心脏可呈球型。
  3. 心室收缩功能减低超声心动图检测室壁运动弥漫性减弱,射血分数小于正常值。
  4. 必须排除其他特异性(继发性)心肌病和地方性心肌病克山病),包括缺血性心肌病围产期心肌病、酒精性心肌病代谢性和内分泌性疾病如甲状腺机能亢进甲状腺机能减退淀粉样变性糖尿病等所致的心肌病、遗传家族性神经肌肉障碍所致的心肌病、全身系统性疾病如系统性红斑狼疮类风湿性关节炎等所致的心肌病、中毒性心肌病等才可诊断特发性扩张型心肌病。

有条件者可检测患者血清中抗心肌肽抗体如抗心肌线粒体ADP/ATP载体抗体、抗肌球蛋白抗体、抗β1-受体抗体、抗M2胆碱能受体抗体,作为本病的辅助诊断。临床上难与冠心病鉴别者需作冠状动脉造影

心内膜心肌活检:病理检查对本病诊断无特异性,但有助于与特异性心肌病急性心肌炎的鉴别诊断。用心内膜心肌活检标本进行多聚酶链式反应(PCR)或原位杂交,有助于感染病因诊断;或进行特异性细胞异常的基因分析。


鉴别诊断[编辑 | 编辑源代码]

(一)风湿性心脏病: 心肌病亦可有二尖瓣或三尖瓣区收缩期杂音,但一般不伴舒张期杂音,且在心力衰竭时较响,心力衰竭控制后减轻或消失,风湿性心脏病则与此相反。心肌病时常有多心腔同时扩大,不如风湿性心脏病以左房、左室或右室为主。超声检查有助于区别。

(二)心包积液 :心肌病时心脏扩大、心搏减弱,须与心包积液区别。心肌病时心尖搏动向左下方移位,与心浊音界的左外缘相符,心包积液时心尖搏动常不明显或处于心浊音界左外缘之内侧。二尖瓣或三尖瓣区收缩期杂音,心电图上心室肥大、异常Q波、各种复杂的心律失常,均指示心肌病。超声检查不难将二者区别,心包内多量液体平段或暗区说明心包积液,心脏扩大则为心肌病。必须注意到心肌病时也可有少量心包积液,但既不足以引起心脏压塞,也不至于影响心脏的体征心脏功能,仅是超声的发现。收缩时间间期在心肌病时明显异常,心包病则正常。

(三)高血压性心脏病 :心肌病可有暂时性高血压,但舒张压多不超过14.67kPa(110mmHg),且出现于急性心力衰竭时,心力衰竭好转后血压下降。与高血压性心脏病不同,眼底、尿常规肾功能正常。

(四)冠心病: 中年以上患者,若有心脏扩大、心律失常或心力衰竭而无其他原因者必须考虑冠心病和心肌病。有高血压、高血脂或糖尿病等易患因素,室壁活动呈节段性异常者有利于诊断冠心病。近年来,对冠状动脉病变引起心脏长期广泛缺血而纤维化,发展为心功能不全的情况称之为“缺血性心肌病”,若过去无心绞痛心肌梗塞,与心肌病颇难区别,再则心肌病亦可有病理性Q波及心绞痛,此时鉴别须靠冠状动脉造影。

(五)先天性心脏病: 多数具有明显的体征,不难区别。三尖瓣下移畸形有三尖瓣区杂音,并可有奔马律、心搏减弱、右心扩大与衰竭,须与心肌病区别,但此病症状出现于早年,左心室不大,紫绀较著。超声心动图检查可明确诊断。

(六)继发性心肌病 :全身性疾病如系统性红斑狼疮、硬皮病血色病、淀粉样变性、糖原累积症、神经肌肉疾病等都有其原发病的表现可资区别。较重要的是与心肌炎的区分。急性心肌炎常发生于病毒感染的当时或不久以后,区别不十分困难。慢性心肌炎若无明确的急性心肌炎史则与心肌病难分,实际上不少扩张型心肌病是从心肌炎发展而来,即所谓“心肌炎后心肌病”。

并发症[编辑 | 编辑源代码]

1、心力衰竭

扩张型心肌病患者由于心肌病变、心脏扩大、左心室扩张或双心室扩张,引起左心室收缩功能障碍,出现收缩性心力衰竭。随着病程进展,发生右心衰或全心衰。扩张型心肌病并发心力衰竭的超声心动图特点: ①左室扩大。由于广泛心肌病变,四个心腔均有不同程度的扩大,以左室呈球型样扩大为著,室间隔向前膨出,较主动脉前壁位置前移,而乳头位置向后侧移位,与主动脉后壁不在同一水平上,M 型示主动脉前壁向室间隔延续,室间隔向前膨出而主动脉后壁与二尖瓣前叶相延续时,二尖瓣前叶位置向后移位,二者形成“喇叭口”状,左室流出道增宽。②二尖瓣改变。由于心肌收缩力减弱,左室舒张压较高,二尖瓣流量减少,二尖瓣运动幅度减低,与增大的左室腔呈“大心腔小开口”改变。③心室壁运动减弱。左室壁普遍变薄呈一致性活动幅度弥漫性减低。

2、胸腔积液

本病是构成充血性心力衰竭最常见病因。水肿是右心衰竭的重要体征, 往往从低垂部分开始, 逐渐上升, 严重时可出现胸水、腹水。病人入院时即有少量胸水, 其原因可能为: ①全心衰引起胸膜壁层向体静脉回流障碍, 且引起胸膜脏层向肺静脉回流障碍, 使体及肺静脉压明显升高, 引起胸水。②慢性充血性心力衰竭使肝内长期瘀血、缺氧, 肝小叶中心区肝细胞坏死、萎缩和消失, 最终导致肝功能减退; 心衰时胃肠道瘀血, 使其消化功能低下, 使热量和蛋白质摄入量不足。两种因素均可导致低蛋白血症, 使血浆胶体渗透压降低, 水分漏入胸腔形成胸水。

3、心律失常

扩张型心肌病由于心功能差,容易引起心律失常,主要是由于心房肌受损,心电生理发生改变,引起异位节律点兴奋性增高以及产生折返运动,同时影响心肌收缩功能,使心房及静脉淤血!心房扩大,房内压增高,更加重心房肌的损害。房性心律失常随之增加, 当心房显著扩大,房内压显著增高时,心房肌发生广泛的变性和坏死,造成心房电活动不一致,产生曲折复杂的环形运动,因而形成心房颤动。多样易变的心律失常及高发生率为其突出的特点。室早、房早和传导阻滞(房室传导阻滞和束支传导阻滞)为最多见的心律失常、心动过速、心房颤动(20%)、心动过缓常见,严重者可发生室性心动过速,甚至室颤或停搏,可引起死亡。

4.心脏性猝死

是扩张型心肌病最严重的并发症,也是扩张型心肌病主要死亡原因。心脏性猝死的发生率可多达30%以上。

5.动脉栓塞

该病易并发血栓形成和栓塞并发症。多数研究和观察发现扩张型心肌病形成血栓的主要部位是左心室心尖部和两心耳、血栓的脱落形成栓子,造成栓塞。栓塞并发症以肺、脑、脾和肾栓塞多见。  

治疗措施[编辑 | 编辑源代码]

由于病因未明,难以针对病因治疗,治疗主要针对临床表现。多数患者使用血管紧张素转换酶抑制剂β受体阻断剂作为标准治疗,利尿剂可用于缓解症状。目前将地高辛作为二线治疗。理想的血浆浓度为0.5-0.8mg/ml。跟高的血浆浓度可能会增加死亡率。

  1. 休息及避免劳累必须十分强调,如有心脏扩大、心功能减退者更应注意,宜长期休息,以免病情恶化。
  2. 有心力衰竭者治疗原则与一般心力衰竭相同,采用强心药利尿药和扩血管药,由于心肌损坏较广泛,详地黄类、利尿药有益,在低肾小球滤过时,氢氯噻嗪可能失效,此时,需用袢利尿药,如:呋塞米。扩血管药,如:血管紧张素转换酶抑制剂也有用,用时须从小剂量开始,注意避免低血压。近年来发现本病有心力衰竭时用β受体阻滞剂有效,其机制可能是慢性心力衰竭肾上腺素能神经过度兴奋,β受体密度下调,在本病中其程度大于心肌梗塞后,β受体密度下调,在本病中其程度大于心肌梗塞后,用β受体阻滞剂后肾上腺素能神经过度兴奋的有害作用被去除,心肌内β受体密度上调,已知有β1好,起始用极小剂,然后缓慢加大剂量,此种治疗可以延长患者寿命。
  3. 有心律失常,尤其在症状者需用抗心律失常药或电学方法治疗,对快速室性心律与高度房室传导阻滞而有猝死危险者治疗应积极。
  4. 对预防栓塞性并发症可用口服抗凝药或抗血小板聚集药。
  5. 改善心肌代谢的药物如维生素C三磷酸腺苷辅酶A环化腺苷酸辅酶Q10等可作为辅助治疗。
  6. 对长期心力衰竭,内科治疗无效者应考虑作心脏移植,术后积极控制感染,改善免疫抑制,纠正排斥,1年后生存率可达85%以上。

 用药原则:

  1. 心肌病变时对洋地黄类药物敏感,应用剂量宜较小,并注意毒性反应,或使用非强心甙正性肌力药物;
  2. 应用利尿剂期间必须注意电解质平衡
  3. 有使用抑制心率的药物或电转复快速型心律失常时,应警惕同时存在病窦综合征的可能;
  4. 对合并慢性完全性房室传导阻滞、病窦综合征者可安装永久性人工心脏起搏器;
  5. 在应用抗心律失常药物期间,应定期复查心电图;
  6. 有使用抗凝药期间,应注意出血表现,定期复查出、凝血时间、凝血酶原时间

对于心室收缩不同步的患者,可以通过双心室起搏器同步刺激左右心室,即心脏再同步化治疗(cardiac resynchronization therapy, CRT),通过调整左右心室收缩程序,改善心功能,缓解症状,有一定疗效。数患者有严重的心律失常,危及生命,药物治疗不能控制,LVEF<30%,伴轻至中度心力衰竭症状、预期临床状态预后尚好的患者可置人心脏电复律除颤器(implantable cardioverter and defibrillator,ICD),预防猝死的发生。对长期严重心力衰竭,内科治疗无效的病例,可考虑进行心脏移植

扩张型心肌病的心脏移植治疗

扩张型心肌病患者常较年轻,若无其它系统疾病,心脏移植可延长生命,自环孢素(Cyclsporin)应用于抗排异反应后,心脏移植后,预后大为改观。手术死亡率10%-25%。移植成功者,第1、3和5年存活率为80%、60%-70%和52%。

明尼苏达大学心脏中心的心脏移植入选标准包括:

(1)LVEF<35%;

(2)积极内科治疗无效;

(3)症状顽固,不能耐受内科治疗;

(4)无可逆的疾病因素,如心肌缺血二尖瓣返流等;

(5)预计1年存活率<50%。

在移植后监护中如发现心电图中QRS总电压(Ⅰ-Ⅲ,V1,V6的QRS电压代数和)减低20%以上,或出现房性/室性心律失常,或出现心力衰竭、血清LDH升高,即应作心内膜活检,在术后4-6周内常规每周1次。根据组织病理学特征分级:

  • Ⅰ级(轻度):心内膜和间质水肿伴血管周围轻度淋巴细胞浸润。
  • Ⅱ级(中度):炎症细胞浸润更加明显,可见变性的心肌细胞溶解。
  • Ⅲ级(重度):大量嗜派洛宁淋巴细胞和多形核白细胞浸润,可见间质出血。

移植后心肌活检证实存在排异反应,可用环孢素、醋酸泼尼松硫唑嘌呤等行免疫抑制剂治疗。  

预后[编辑 | 编辑源代码]

本型病程长短不一,短者在发病后1年内死亡,长者可存活20年以上。凡心脏扩大明显、心力衰竭持久或心律失常顽固者预后不佳。不少患者可有猝死。目前以发现一系列临床上能够评估扩张型心肌病死亡风险的预测因子,包括舒张早期奔马律、室性心律失常、高龄、心室肌对正性肌力药物的刺激缺乏反应等。但是任何单个预测因子的可靠程度并不高,难于准确预测患者个体的临床病程和预后。然后心室大和功能差往往是预后不佳的表现。尤其是同时存在左右心室扩大以及心功能不全的时候。  

预防[编辑 | 编辑源代码]

本病病因未明,难以预防。

对确诊为扩张型心肌病的患者,应保持良好心境,避免劳累,补充营养,注意预防呼吸道感染,戒绝烟酒,定期到医院复查,保护或改善心功能,提高生活质量。如出现心慌、气促、胸闷不适、乏力等表现,应及时到医院就诊。女性患者不宜妊娠。一旦出现心功能不全,应予较长时间的休息,低盐饮食。如出现严重呼吸困难,平卧时加重,大汗淋漓,可能为严重心功能不全,应让病人取坐位或半坐卧位,向医疗急救中心打电话求助或以最安全、平稳、快速的交通工具送往附近医院。

上呼吸道感染是诱发扩张型心肌病加重的最常见原因,因此预防感冒特别是流感格外重要。连日阴雨,体感湿冷,更需适时防寒保暖。平时要做到劳逸结合,充分休息能减轻心脏负担,促进心肌恢复。长期饮酒者须戒酒,治疗恢复后如再饮酒,复发后则更难治疗。有充血性心力衰竭时,除了合理限制活动外,还应严格限制钠盐摄入。低盐饮食的标准是控制每天的食盐量在5克以下,病情严重者控制在每天1克以下。

本病原因未明,活动期主要包括有效控制心力衰竭和心律失常,缓解期(无活动性气急)以提高病人的生活质量和生存率为主,可采用荣心丸参桂胶囊结合β-受体阻滞剂、ACEI或ARB和心肌营养药进行治疗。  


扩张型心肌病病例介绍

参看[编辑 | 编辑源代码]

参考文献[编辑 | 编辑源代码]

  • 《赫斯特心脏病学》胡大一主译
  • 《心脏病学》陈灏珠主译