肥厚型心肌病
肥厚型心肌病(hypertrophic cardiomyopathy,HCM)是以心肌肥厚为特征。根据左心室流出道有无梗阻可分为梗阻性和非梗阻性肥厚型心肌病,不对称性室间隔肥厚致主动脉瓣下狭窄者称特发性肥厚型主动脉瓣下狭窄。
本型的特征为心室肌肥厚,典型者在左心室,以室间隔为甚,偶尔可呈同心性肥厚。左心室腔容积正常或减小。偶尔病变发生于右心室。通常为常染色体显性遗传。
病因学[编辑 | 编辑源代码]
病因未明。目前认为遗传因素是主要病因,其依据是本病有明显的家族性发病倾向,常合并其他先天性心血管畸形,有些患者出生时即有本病,本病患者中可见到HLA抗原的遗传基因型。家族性病例以常染色体显性遗传形式传递,发病的型式可是无症状的心肌不对称性肥厚,也可有典型的梗阻症状。遗传缺陷引起发病的机制有以下设想:①儿茶酚胺与交感神经系统异常,其证据为本病易伴发神经嵴组织疾病、甲亢或胰岛素分泌过多、高血压,用β受体阻滞剂有效。②胎儿期室间隔不成比例的增厚与心肌纤维排列不齐,在出生后未正常退缩。③房室传导过速导致室间隔与左室游离壁不同步激动和收缩。④原发性胶原异常引起异常的心脏纤维支架,使心肌纤维排列紊乱。⑤心肌蛋白合成异常。⑥小冠状动脉异常,引起缺血,纤维化和代偿性心肌老前辈。⑦室间隔在横面向左凸而在心尖心底轴向左凸(正常时均向左凹),收缩时不等长,引起心肌纤维排列紊乱和局部肥厚。至于无家族或遗传证据的散发型病例,其发病机理尚不清楚。
病理改变[编辑 | 编辑源代码]
病变以心肌肥厚为主,心脏重量增加。心肌肥厚可见于室间隔和游离壁,以前者为甚,常呈不对称(非同心)性肥厚,即心室壁各处肥厚程度不等部位以左心室为常见,右心室少见。室间隔高度肥厚向左心室腔内突出,收缩时引起左心室流出道梗阻者,称为“肥厚型梗阻性心肌病”,旧称“特发性肥厚性主动脉瓣下狭窄”;室间隔肥厚程度较轻,收缩期未引起左室流出道明显梗阻者,称为“肥厚型非梗阻性心肌病”。前乳头肌也可肥厚,常移位而影响正常的瓣膜功能。心肌高度肥厚时,左心室腔减小。不成比例的心肌肥厚常使室间隔的厚度与左心室后壁厚度之比≥1.3,少数可达3。有一种变异型肥厚型心肌病,以心尖区的心肌肥厚较著。此型的心包下冠状动脉正常,但心室壁内冠状动脉数增多而管腔狭窄。显微镜下见心肌细胞排列紊乱,细胞核畸形,细胞分支多,线粒体增多,心肌细胞极度肥大,细胞内糖原含量增多,此外,尚有间质纤维增生。电镜下见肌原纤维排列也紊乱。2/3患者二尖瓣叶增大增长,与二尖瓣前叶相对处的左室内膜壁上有一纤维斑块是二尖瓣与室间隔碰击所致。各年龄均可发生本病,但心肌肥厚在40岁以下者比40岁以上者严重,此种肥厚与年龄的关系原因未明。随病程发展,心肌纤维化增多,心室壁肥厚减少,心腔狭小程度也减轻,呈晚期表现。
病理生理[编辑 | 编辑源代码]
1.左室流出道梗阻在收缩期,肥厚的心肌使心室流出道狭窄。在非梗阻型,此种影响尚不明显,在梗阻型则比较突出。心室收缩时,肥厚的室间隔肌凸入心室腔,在左心室,使处于流出道的二尖瓣前叶与室间隔靠近而向前移位,引起左心室流出道狭窄与二尖瓣关闭不全,此作用在收缩中、后期较明显。左心室喷血早期,流出道梗阻轻,喷出约30%心搏量,其余70%在梗阻明显时喷出,因此,颈动脉波示迅速上升的升支,下降后再度向上成一切迹,然后缓慢下降。流出道梗阻在收缩期造成左心室腔与流出道之间压力差,流出道与主动脉间无压力差。有些患者在静息时流出道梗阻不明显,运动后变为明显。
2.舒张功能异常肥厚的心肌顺应性减低,扩张能力差,使心室舒张期充盈发生障碍,舒张末期压可以升高。舒张期心腔僵硬度增高,左室扩张度减低,由此心搏量减少,充盈增高且压迫心室壁内冠状动脉。快速充盈期延长,充盈速率与充盈量均减小。
3.心肌缺血由于心肌需氧超过冠状动脉血供,室壁内冠状动脉狭窄,舒张期过长,心室壁内张力增高等引起。
临床表现[编辑 | 编辑源代码]
起病多缓慢。约1/3有家族史。症状大多开始于30岁以前。男女同样罹患。
主要症状为:①呼吸困难,多在劳累后出现,是由于左心室顺应性减低,舒张末期压升高,继而肺静脉压升高,肺瘀血之故。与室间隔肥厚伴存的二尖瓣关闭不全可加重肺瘀血。②心前区痛,多在劳累后出现,似心绞痛,但可不典型,是由于肥厚的心肌需氧增加而冠状动脉供血相对不足所致。③乏力、头晕与昏厥,多在活动时发生,是由于心率加快,使原已舒张期充盈欠佳的左心室舒张期进一步缩短,使原已舒张期充盈欠佳的左心室舒张期进一步缩短,加重充盈不足,心排血量减低。活动或情绪激动时由于交感神经作用使肥厚的心肌收缩加强,加重流出道梗阻,心排血量骤减而引起症状。④心悸,由于心功能减退或心律失常所致。⑤心力衰竭,多见于晚期患者,由于心肌顺应性减低,心室舒张末期压显著增高,继而心房压升高,且常合并心房颤动。晚期患者心肌纤维化广泛,心室收缩功能也减弱,易发生心力衰竭与猝死。
常见的体征为:①心浊音界向左扩大。心尖搏动向左下移位,有抬举性冲动。或有心尖双搏动,此是心房向顺应性降低的心室排血时产生的搏动在心尖搏动之前被触及。②胸骨左缘下段心尖内侧可听到收缩中期或晚期喷射性杂音,向心尖而不向心底传播,可伴有收缩期震颤,见于有心室流出道梗阻的患者。凡增加心肌收缩力或减轻心脏负荷的措施如给洋地黄类、异丙肾上腺素(2μg/min)、亚硝酸异戊酯、硝酸甘油、作Valsalva动作、体力劳动后或过早搏动后均可使杂音增强;凡减弱心肌收缩力或增加心脏负荷的措施如给血管收缩药,β受体阻滞剂,下蹲,紧握掌时均可使杂音减弱。约半数患者同时可听到二尖瓣关闭不全的杂音。③第二音可呈反常分裂,是由于左心室喷血受阻,主动脉瓣延迟关闭所致。第三音常见于伴有二尖瓣关闭不全的患者。
诊断检查[编辑 | 编辑源代码]
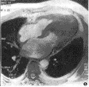
心电图表现:①ST-T改变见于80%以上患者,大多数冠状动脉正常,少数以心尖区局限性心肌肥厚的患者由于冠状动脉异常而有巨大倒置的T波。②左心室肥大征象见于60%患者,其存在与心肌肥大的程度与部位有关。③异常Q波的存在。V6、V5、aVL、Ⅰ导联上有深而不宽的Q波,反映不对称性室间隔肥厚,不须误认为心肌梗塞。有时在Ⅱ、Ⅲ、aVF、V1、V2导联上也可有Q波,其发生可能与左室肥厚后心内膜下与室壁内心肌中冲动不规则和延迟传导所致。④左心房波形异常,可能见于1/4患者。⑤部分患者合并预激综合征。I、aVL、V4V5V6导联均有异常Q波是由于肥厚的室间隔引起较大的向右的心室起始除极向量所致,V1V2为RS波型,R波较高,为上述各导联Q波的相应变化。本列超声心动图检查示心室间隔肥厚。
超声心动图表现:①不对称性室间隔肥厚,室间隔厚度与左室后壁厚度之比大于1.3∶1,此征过去比较重视,但现在发现也可见于其他疾病如高血压、主动脉瓣狭窄等。用二维法测左室增厚的程度更为有用。②二尖瓣前叶在收缩期前移。③左心室腔缩小,流出道狭窄。④左心室舒张功能障碍,包括顺应性减低,快速充盈时间延长,等容舒张时间延长。运用多普勒法可以了解杂音的起源和计算梗阻前后的压力差。
X线普通胸片可能见左心室增大,也可能在正常范围。X线或核素心血管造影可显示室间隔增厚,左心室腔缩小。核素心肌扫描则可显示心肌肥厚的部位和程度。
心导管检查示心室舒张末期压增高。有左室流出道梗阻者在心室腔与流出道间有收缩期压力差。
鉴别诊断[编辑 | 编辑源代码]
有心室流出道梗阻的患者因具有特征性临床表现,诊断并不困难。超声心动图检查是极为重要的无创性诊断方法,无论对梗阻性与非梗阻性的患者都有帮助,室间隔厚度≥18mm并有二尖瓣收缩期前移,足以区分梗阻性与非梗阻性病例。心导管检查显示左心室流出道压力差可以确立诊断。心室造影对诊断也有价值。临床上在胸骨下段左缘有收缩期杂音应考虑本病,用生理动作或药物作用影响血流动力学而观察杂音改变有助于诊断。此外,还须作以下鉴别诊断。
(一)心室间隔缺损收缩期杂音部位相近,但为全收缩期,心尖区多无杂音,超声心动图、心导管检查及心血管造影可以区别。
(二)主动脉瓣狭窄症状和杂音性质相似,但杂音部位较高,并常有主动脉瓣区收缩期喷射音,第二音减弱,还可能有舒张早期杂音。X线示升主动脉扩张。生理动作或药物作用对杂音影响不大。左心导管检查显示收缩期压力差存在于主动脉瓣前后。超声心动图可以明确病变部位。
(三)风湿性二尖瓣关闭不全杂音相似,但多为全收缩期,血管收缩药或下蹲使杂音加强,常伴有心房颤动,左心房较大,超声心动图不显示室间隔缺损。
(四)冠心病心绞痛、心电图上ST-T改变与异常Q波为二者共有,但冠心病无特征性杂音,主动脉多增宽或有钙化,高血压及高血脂多;超声心动图上室间隔不增厚,但可能有节段性室壁运动异常。
治疗[编辑 | 编辑源代码]
由于病因不明,预防较困难。超声心动图检出隐性病例后进行遗传资料可作研究。为预防发病应避免劳累、激动、突然用力。凡增强心肌收缩力的药物如洋地黄类、β受体兴奋药如异丙肾上腺素等,以及减轻心脏负荷的药物如硝酸甘油等使左心室流出道梗阻加重,尽量不用。如有二尖瓣关闭不全,应预防发生感染性心内膜炎。
治疗的目标为解剖症状和控制心律失常。现用的治疗包括:
- β受体阻滞剂使心肌收缩减弱,减轻流出道梗阻,减少心肌氧耗,增加舒张期心室扩张,且能减慢心率,增加心搏出量。普萘洛尔应用最早,开始每次mg,3~4次/d,逐步增大剂量,以求改善症状而心率血压不过低,最多可达200mg/d左右。但近来发现β受体阻滞剂治疗不能减少心律失常和猝死,也不改变预后。
- 钙拮抗剂既有负性肌力作用以减弱心肌收缩,又改善心肌顺应性而有利于舒张功能。维拉帕米120~480mg/d,分~4次口服,可使症状长期缓解,对血压过低、窦房功能或房室传导障碍者慎用。地尔硫卓治疗亦有效,用量为30~60mg,3次/d。β受体阻滞剂与钙拮抗剂合用可以减少副作用而提高疗效。
- 抗心律失常药用于控制快速室性心律失常与心房颤动,以胺碘酮为较常用。药物治疗无效时考虑电击。
- 对晚期已有心室收缩功能损害而出现充血性心力衰竭者,其治疗与其他原因所致的心力衰竭相同。对诊断肯定,药物治疗效果不佳者梗阻性心肌病患者考虑手术治疗,作室间隔肌纵深切开术和肥厚心肌部分切除术以缓解症状。近年来试用双腔永久起搏器作右心室房室顺序起搏以缓解梗阻型患者的症状,但有待积累经验。
并发症[编辑 | 编辑源代码]
(1)心律失常:这是常见的并发症,其中室性心律失常和心房颤动最为重要,需要治疗。
(2)心内膜炎发生率比较低,是由于血液中的细菌黏附在心脏内血流紊乱处,如主动脉瓣、二尖瓣等。
(3)心脏传导阻滞,可发生在窦房结和房室结,经常遇见到,也是影响药物治疗的因素。
(4)猝死:少数肥厚型心肌病患者会发生猝死,其前可能没有任何征兆。系统评价可能有助于识别这类高危患者。
预后[编辑 | 编辑源代码]
病程发展缓慢,预后不定。可以稳定多年不变,但一旦出现症状则可以逐步恶化。猝死与心力衰竭为主要的死亡原因。猝死多见于儿童及年轻人,其出现和体力活动有关,与有无症状或有否梗阻有关,心室壁肌厚程度高,有猝死家族史,有持续性室性心动过速者为猝死的危险因子,猝死的可能机制包括快速室性心律失常,窦房结病变与心传导障碍,心肌缺血,舒张功能障碍,低血压,以前二者最重要。心房颤动的发生可以促进心力衰竭。少数患者有感染性心内膜炎或栓塞等并发症。
预防常识[编辑 | 编辑源代码]
肥厚型心肌病有家族遗传倾向,故有该病的家族史者应注意定期到医院检查。如出现气促、乏力、心前区疼痛、晕厥,宜尽早到医院接受就诊。对确诊为肥厚型心肌病的患者,宜避免劳累,预防呼吸道感染,戒绝烟酒,保持良好心境,定期到医院复查,保护或改善心功能,提高生活质量。多数患者经治疗,病程可维持数十年,预后尚好。不宜参加剧烈体育运动,以免发生猝死等意外。如出现严重呼吸困难,平卧时加重,大汗淋漓,可能为严重心功能不全,应让病人取坐位或半坐卧位,向医疗急救中心打电话求助或以最安全、平稳、快速的交通工具送往附近医院。
