脑血管瘤

来自医学百科
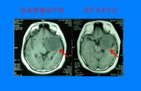
脑血管瘤治疗前后变化

脑血管瘤又称海绵状血管瘤血管母细胞瘤毛细血管血管瘤等,脑血管瘤是起源于中胚叶细胞胚胎残余组织的良性肿瘤,多发生在小脑,偶见于脑干脊髓。本病有遗传倾向,可发生于任何年龄,青壮年为多,高峰年龄为30-40岁,男性稍多于女性。脑血管瘤病程长,约80%患者以头痛为首发症状,病变位于小脑者可达95%,脑血管瘤主要表现为间断性枕下痛;60%患者有呕吐眩晕复视;影响脑脊液循环者可有颅内压增高症状,60%患者有眼震和共济失调,其次为颅神经锥体束征。

临床症状[编辑 | 编辑源代码]

脑血管瘤的症状可以分为一般症状和局部症状。

首先是脑血管瘤的症状中的一般症状,也就是大多数患者所有的症状。

1、头痛:颅内压增高或肿瘤直接压迫刺激脑膜、血管及神经受到刺激牵拉所致。见于多数患者,为早期脑血管瘤的症状,随肿瘤发展而加重。

2、视觉障碍:包括视力、视野和眼底的改变,由于颅内压增高发生视神经乳头水肿或肿瘤直接压迫视神经,日久皆可致视神经萎缩而影响视力,造成视力减退甚至失明。产生视神经乳头水肿的原因系颅内压增高,使视神经周淋巴内淋巴回流受限以及眼静脉压增高,静脉瘀血所致。此外,还可有头晕、复视、精神症状、癫痫发作、颈项强直角膜反射减退及呼吸血压等生命体征的改变。

3、呕吐:多由于颅内压增加刺激延髓呕吐中枢迷走神经受到刺激牵拉引起。头痛重时并发呕吐,常呈喷射状。小儿后颅窝肿瘤出现呕吐较早且频繁,这也是脑血管瘤的症状中比较典型的,但经常易误为肠胃疾患。

其次是局部症状。

局部症状亦称定位症状,由于胶质瘤所在部位的不同,其所产生脑血管瘤的症状也不同。临床可根据其表现,结合其他判断肿瘤的位置。其中最重要的病灶症状,即肿瘤直接压迫刺激或破坏脑组织或颅神经的结果,具有定位价值。但以发病初期出现最有诊断意义。在晚期,由于其他部位的脑组织及颅神经受压迫、水肿及牵扯等间接影响,而出现一些肿瘤的邻近症状和远隔症状。前者是因肿瘤附近的脑或颅神经受压所致。如小脑肿瘤出现桥脑、延髓症状;颞叶肿瘤出现第Ⅲ、Ⅳ颅神经障碍;外侧裂肿瘤出现偏瘫等。以上症状的发生,与肿瘤压迫、脑组织移位或脑血液循环障碍等有关。远隔症状是在肿瘤远隔部位的脑神经功能障碍,如颅后窝肿瘤,因脑积水影响额、颞、顶叶,可出现视、听幻觉或癫痫。又如颅内压增高时,由于第三脑室扩大亦可出现双颞侧偏盲蝶鞍扩大等。  

治疗[编辑 | 编辑源代码]

手术[编辑 | 编辑源代码]

全切除肿瘤可治愈此病,但脑血管瘤的位置,瘤体的大小往往使瘤体不能完全切除,术中瘤结节的遗漏亦是肿瘤复发的一个因素。还可以采取X-刀、γ-刀等现代技术进行治疗,一般需要放化疗。  

中医治疗[编辑 | 编辑源代码]

采用抗瘤系列组方与国药中成药胶囊配伍应用,以稀有的动物和名贵中草药精选研制而成的中药,根据脑血管瘤的生理特征及发展规律异质性,异变性、转移性。采用现代医学与传统中医学相结合的方法,可以促使中药通过血脑屏障归精入脑,穿破脑瘤体组织,封闭脑血管瘤组织的血液循环,使正常的脑细胞有序分列,直接进入瘤体起到吞噬消除作用,改善脑部微循环,使血氧代谢增强。根据不同的病情采用不同的治疗方法,辨症施治分期治疗,适用于未进行手术或手术部分已切除、术后复发、X-刀、γ-刀,放化疗后的患者,特别对脑血管瘤引起的头痛、恶心呕吐耳鸣肢体麻木抽搐精神障碍、视物不清重影等症状治疗效果更为明显。  

预防保健[编辑 | 编辑源代码]

建议采用以下方法,去病建身,延年益寿。祝身体健康。  

1、通周辅助法[编辑 | 编辑源代码]

体态、呼吸、意念:采用高位撑的体态,在沙发扶手、桌子、床头等两尺高以上的地方均可以习练,开始只做简单的机械运动,不管呼吸,不加意念,待两臂感到微酸,累的时候,开始加意念并配合呼吸。身体向下时吸气,用全身的毛孔往里吸,要吸满。起身时,双手支住身体,全身放松,不要急于做连续动作。在支起的过程中休息一会儿,起身时呼气,意想体内的真气顺尾闾往上走,经督脉百会降入下丹田会阴。一呼呼一圈,连续撑一阵后放松站立一会,便可收功。

功效:

1)增强内气,经常练这一式,会感到内气沿着后背一片片地往上运行。平时坐站的时候,也经常出现尾闾处有气往上升,且面积很大,这都是真气充足的表现。

2)治疗督脉上的疾病,因气足时要冲击两侧俞穴,故又是对上半身的全面调理。  

2、睡觉锻炼[编辑 | 编辑源代码]

体态、呼吸、意念:开始是仰卧,全身放松,两手置于身体两侧,进行体呼吸,吸气时,意想宇宙间真气通过全身毛细孔吸进来,呼气时,意想全身的病气、浊气通过全身的毛细孔射出去射透天边。

做一阵以后,放弃吸射的意念,一切顺其自然,只知道自己还在练就可以了,也可用侧卧方式习练,身体向右侧卧,右手心向上,置于头侧,左手放在左胯上,两腿自然弯曲,进行体呼吸,意念同上,。可在练习态中入睡,睡醒时不要急于起床,可在床上闭目习练体呼吸,待全身有了气感后,再起床,这种在练习态中睡着,又在练习后起床的功法,等于一宿都在练,增长功力较快,练久了经常出现一种漂浮感,入静越深,这种感觉越明显,待到入定之时,还真的出现漂浮离床现象,凡遇此类情况均为好现象,不必惊慌害怕,也不必欣喜,要注意保持平静,一切顺其自然。

功效:对神衰、失眠多梦病症有特殊疗效,长期习练易入定。  

3、行走锻炼[编辑 | 编辑源代码]

体态、呼吸、意念:行走时脚跟先落地,要一步一个脚印的走,呼吸时采用体呼吸,即吸气时,意想宇宙中真气通过全身的毛细孔吸入体内,呼气时,意想全身的病气,浊气,疲劳之气通过全身的毛细血管射出去,射透天边,呼吸要与走路的速度相结合,不宜快行。

功效:练出自然换气的功能,脚跟先落地,可以调动肾经,故有强肾固本的作用。  

4、跑步锻炼[编辑 | 编辑源代码]

体态:慢跑,呼吸、意念:体呼吸,即吸气时,意想宇宙中真气通过全身的毛细孔吸入体内,呼气时,意想全身的病气,浊气,疲劳之气通过全身的毛细血管射出去,射透天边,呼吸要与跑步的速度相结合,不宜太快。

注意事项:练跑时,舌尖始终抵住上齿龈,口中出现口水时,标志内分泌系统已经活跃,可将口水分几口咽入肚内。慢跑时,身体上下起伏不要太大,注意平缓。

功效:主治干燥综合症,加强内分泌系统功能;全身性调理。  

5、颤抖法[编辑 | 编辑源代码]

体态、动作、意念:两脚踏地与肩同宽,两手自然下垂,两腿微曲,全身松立,眉心舒展,面带微笑,全身做有规律的上下颤抖。颤抖一阵以后,身体松立,意想全身的病气、浊气、疲劳之气顺着已经通畅的经络排入地下,排一阵病气之后,放弃排病气的意念,意守下丹田静养一会儿,内视真气再体内运行的情况,最后深呼吸三次,将气沉入下丹田做为收功,此功可以随时随地练,不受场地限制。

呼吸:自然呼吸。

功效:排病气;主治神经衰弱、头晕、头胀,习练之后有一种形象高大的感觉,头脑清醒。尤其适合脑力劳动者习练;是一种全身性的调理,练后周身轻松。  

6、以音助气立掌法[编辑 | 编辑源代码]

体态、呼吸“两臂向下伸直,指尖向上抬起,掌根下按,呼气时发出鼻音,同时放松两臂、两手,以音催气,沿两臂下行,体会手心感觉。也可将两手立掌向前推出,两臂平举。

功效:疏通两臂经络,帮助发放外气,用劳宫发出的气为热气,对治疗寒症效果较好;可治疗两臂上及与手三阴三阳有关的脏腑疾病。

脑血管瘤又称海绵状血管瘤,血管母细胞瘤,毛细血管血管瘤等,脑血管瘤是起源于中胚叶细胞的胚胎残余组织的良性肿瘤,多发生在小脑,偶见于脑干和脊髓。本病有遗传倾向,可发生于任何年龄,青壮年为多,高峰年龄为30-40岁,男性稍多于女性。