颞叶肿瘤

来自医学百科

颞叶肿瘤

概述

颞叶肿瘤的发生率在大脑半球肿瘤中居第二位,仅次于额叶肿瘤的发生率。常见肿瘤胶质瘤,约占颅内胶质瘤总数的17.96%,其次为脑膜瘤,约占颅内脑膜瘤总数的5.42%,另外转移瘤等亦常在此部位发生。成年人多见,性别差异不明显。颞叶功能甚为复杂

颅内胶质瘤

,有些部位的功能尚不完全明确,颞叶肿瘤的病程早期,多无典型的临床症状,诊断较困难,尤其肿瘤位于右侧者,多数仅表现为颅压增高症状,它位症状和体征很少出现,因此临床上亦曾称为“静区”或“哑区”,故早期诊断更为困难。

表现

颞叶肿瘤的早期多无明显的临床症状。随着病程的进展常出现颞叶癫痫发作。根据癫痫发作的频繁程度,伴随出现幻觉。局限性癫痫发作逐渐发展成全身性大发作,发作间歇期有视野改变,如上1/4象限视野缺损发展至同向性偏盲,Todd麻痹持续时间变长,失语及精神等症状加重,最后导致颅内压增高。精神运动型发作逐渐进展多系肿瘤向皮质下溶部发展。其主要临床症状分述如下:

1.视野改变; 视野的变化常为颞叶肿瘤的早期症状之一,有定位意义。在解剖上,视放射环绕侧脑室下角经过颞叶。当肿瘤位于颞叶深部时,由于影响或破坏视束或视放射,病初可出现对侧同向性上象限1/4的视野缺损。肿瘤继续增大时,象限性缺损即可发展成为同向性偏盲,这种偏盲可能是完全的或不完全的,两侧对称或不对称,如在颞叶后部肿瘤时偏盲多是对称的。

2.感觉性失语; 位于优势半球的肿瘤损害颞上回41区、42区时,可出现感觉性失语。损害颞叶后部时,可出现命名性失语。这是诊断颞叶肿瘤最可靠的症状之一。此类病人理解他人语言的能力和命名物品的能力均丧失,但保存说话能力,虽然如此,但常常用错字、讲错词、甚至有多言谗舌的特点。严重时病人的谈话完全不能被人理解,同时病人也不能理解别人的语言。健忘性失语也常为颞叶失语症的一种表现,病人对物品命名困难,而只能用描述该物品之特征或用途来代替。当说明物品名称时,病人能知是否正确,临床证实健忘性失语症常常是感觉性失语早期表现的一部分。另外,颞叶肿瘤向

颞叶肿瘤

顶枕发展,还往往出现失读、失写、计算不能视觉失知等症状。

3.癫痫发作; 颞叶肿瘤所致的癫痫大发作的发生率仅次于额叶肿瘤。部分病人还可出现局限性癫痫发作,多因肿瘤向上侵犯运动区所致。颞叶癫痫发作的特点是先兆多样,症状复杂,可有神志恍惚、言语错乱、精神运动性兴奋、情绪和定向力障碍、幻觉、错觉、记忆力缺损等。而基本症状为记忆力障碍。记忆力为远记忆力、近记忆力与现在记忆力。肿瘤较大脑组织损害广泛时,常表现为对时间、人物、地点的定向力障碍。双侧颞叶内侧肿瘤影响海马回时表现为现在记忆障碍明显。有些颞叶癫痫病人,表现对未曾到过的地方有熟悉感

(环境熟悉感)或本来很熟的场所感到很生疏(环境生疏感)。有的病人表现视物变形(变视症)和视物变大(巨视症)等视幻觉听觉的皮质代表区在颞横回,病人幻听时,可听到声音的变大或变小、钟表声、歌声、鼓声、噪音等。幻听常伴有前庭皮质性眩晕发作和发作性耳鸣味觉代表区在中央前回最下部,该部受损很少造成味觉障碍,但受到刺激可能出现幻味觉。

颞叶癫痫发作前可有各种的先兆,其中以嗅觉先兆最多见,发作时病人突然闻到一种极不愉快的怪味或恶臭。颞叶内侧肿瘤影响海马回的钩回时,常出现此种先兆,故称为“钩回发作”。患者感到上腹部先由胃向胸部上升的一种特殊感觉,也见于颞叶癫痫,一般癫痫也有此先兆,故无特殊意义。

自动症也是颞叶癫痫的一种常见的具有代表性的症状,是一种发作性不受意识支配的活动,其中以伤人、毁物、自伤、冲动、裸体等精神兴奋者较多见,少数病人常表现有咀嚼、咂嘴、吸吮、手摸索,头、眼发作扭转等无目的动作。颞叶深部肿瘤时,可出现发作性行为异常,并常伴有梦幻觉,病人有梦幻感,犹如梦中奇异感,常与幻视并发,似回到童年时代,或惊恐等。

4.精神症状; 颞叶肿瘤精神障碍也是常见的症状,仅次于额叶肿瘤。主要症状是人格的改变、情绪异常(如焦虑、忧郁、恐慌、愤怒)、类偏狂、记忆力障碍、精神迟钝、表情淡漠等。精神症状较多发生于优势半球颞叶广泛而迅速生长的肿瘤。

5.共济失调; 颞中回颞下回的后部,通过颞叶桥脑小脑纤维而与小脑发生联系,因此,一侧颞叶损害也可以发生对侧半身共济失调,故也可发生平衡失调,常向病变对侧倾倒。

6.锥体束征; 颞叶上部的肿瘤,可以压迫额叶顶叶的下部而出现面部及上肢的运动或感觉障碍,压迫对侧大脑脚内囊,可致肿瘤同侧的锥体束征,而产生不同程度的偏瘫

7.其它症状; 颞叶内侧肿瘤,可以压迫中脑而发生动眼神经麻痹。颞叶肿瘤压迫颅度颈动脉交感神经丛时,可出现霍纳综合征。基底节受累时出现对侧肢体震颤、舞蹈症、手足徐动症、麻痹性震颤综合征。侵犯岛叶时可有自发性内脏痛等。

辅助

1.颅骨平片; 颞叶肿瘤与其它部位的肿瘤一样,根据肿瘤的性质、生长速度、肿瘤在颅内所在的位置不同,在病程的不同阶段可出现颅压增高表现(颅缝裂开、脑回压迹增多、蝶鞍骨质的改变)。肿瘤钙化(常见有少突胶质细胞瘤、星形细胞瘤、脑膜瘤和室管膜瘤等),出现于颞叶肿瘤的相应部位;颅骨局部破坏和增生等,也常于肿瘤所在部位一致。上述颅骨平片的检查,常是诊断颞叶肿瘤的可靠证据。

2.脑室造影; 颞叶肿瘤时脑室造影主要是确定肿瘤所在的位置,其表现特点如下:

(1)前后位像:侧脑室向健侧移位。透明隔第三脑室呈弧线形移向对侧。前角之上外角变尖,指向外方或上外方。侧脑室外侧壁凹陷,横径变小。

(2)侧位像:在侧位像和前后像上,下角的变化明显。肿瘤位于下角上方,则下角移位,移位可为全部或一部分;位于下角下方,则下角上移;肿瘤居于外侧,下角内移;居内侧,则外移。下角上移位,则下角与体部间距离变小。

根据肿瘤所在部位,可出现下角顶部或底部的平直或弧形压迹,常与移位及室腔变窄同时出现。肿瘤突入脑室腔中即可出现充盈缺损,其形状取决于肿瘤表面的形态,如下角变细,易发生狭窄或封闭,下角全部狭窄,常同时出现僵直。肿瘤侵及脑室壁,可引起室壁轮廓的不规则。肿瘤深居颞叶内侧,可压迫第三脑室后部引起两侧脑室和第在脑室扩大,侧移位则不明显。在侧位像上第三脑室可有轻度移位,移位方向与肿瘤位置有关。

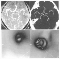
(3)脑血管造影; 颞叶肿瘤的颈动脉造影,主要是以血管移位的情况而作肿瘤的定位,颞叶各部肿瘤的血管移位特点如下:

(1)颞叶前部肿瘤

1)前后位像:大脑前动脉纵行段呈直线向对侧移位,下部移位较明显。大脑中动脉膝段及相连水平段和侧裂段变直,向内上方移位,严重者三段可联成一直线指向上外,使大脑前、中两动脉呈V形。颈内动脉床突上段变直,向内移位。分支抬高。

2)侧位像:大脑前动脉垂直段变直,且向前下方移位。胼胝体膝段曲度张开。中动脉侧裂段变直,向上移位,可在床顶线上1cm以上。颈内动脉床突上段变直、升高与侧裂段呈对角线向上后方走行。侧裂三角前部抬高。额顶升动脉分支变直、分离,也可向上移位。虹吸段可开大。脉络膜前动脉常变直、增粗且向上移位。基底静脉前段可向上向内移位。

(2)颞叶中部肿瘤

1)前后位像:大脑前动脉纵行段呈直线状向对侧移位,移位程度不定,有时较轻。大脑中动脉膝段变直,向内上方移位。轻者只有同对侧比较才能查出,重者则水平段与侧裂段形成一条直线从颈内动脉分支斜向外上,致使与大脑前动脉呈V形。严重时可呈向上内突之弧状。颈内动脉床突上段拉直变长,且向内移位,分支也可抬高。

2)侧位像:虹吸弯开大,甚至可使床突上段呈直线状垂直上升。大脑中动脉侧裂段中部明显上移。侧裂三角抬高。大脑中动脉水平段(M1)可被抬高、拉直与颈内动脉成一直线垂直上升,而与此段相连之侧裂段突然成直角转向后,并呈水平向走行。向上移位的大脑中动脉相当明显,能到达胼周或缘动脉的平面。有时因肿瘤压迫血管可部分闭塞。额顶升动脉也可向上移位。脉络膜前动脉变直、增粗,向内并向上移位。肿瘤如侵犯钩回或其附近,脉络膜前动脉可呈圆弧形突向上。基底静脉向内向上移位。大脑内静脉向对侧移位。

(3)颞叶后部肿瘤

1)前后位像:大脑前动脉纵行段呈直线状向对侧移位,有时移位较轻。侧裂动脉分支向内侧移位,侧裂点向内向上移行,中动脉膝段多无变化,除非肿瘤累及颞叶中部。颈内动脉床突然上段与大脑前、中两动脉主干多无变形及移位。

2)侧拉像:大脑中动脉脑凸面分支(M4、M5)升高,在床顶线上1cm以上,且可呈现弓状向上突出。侧裂点抬高。肿瘤近颞叶表面,可使角回动脉与颞后动脉及其分支拉直并分离。胼周动脉曲度可增加。额顶升动脉被压向前。脉络膜动脉因受压而迂曲,后段可因海马回下疝而向下移位。颈内动脉主干与大脑前动脉多无明显变化。基底动脉向内、向上移位,也可向下移位。大脑内静脉向对侧移位。

(4)颞叶深部肿瘤

1)前后位像:血管多无明显变化。

2)侧位像:大脑中动脉上移轻微。脉络膜前动脉可升高变形,曲度加大且向内侧移位。大脑后动脉可能向下移位并形成弓状向下突出。基底静脉可成角变形或扭曲。

4.脑电图; 颞叶肿瘤脑电图检查,局限性δ波发现率很高,约90%以上,δ波频率较慢(0.5~2次/秒)并为持续性。背景α波多异常。颞叶各部位肿瘤脑电图的特点表现如下:

(1)颞前肿瘤:多形性δ波比较局限于颞前导联。背景α波一般不受影响。棘波发现率较高。在早期与额颞部肿瘤不易区别,因为两者都可引起额外侧、额前、顶下部的脑电图改变;①额颞肿瘤的慢波主要出现在额外侧、额前、颞前部,有时波及额后、顶部;②颞前肿瘤的慢波主要在颞前,可扩散到颞后、额前部和额外侧;③懒波(一侧性α、快波减弱或α波频率变慢)在肿瘤周围较明显。

(2)颞后肿瘤:多形性δ波主要出现在颞后部和颞前部,可波及到顶下部、顶部和枕部。肿瘤周围有快波减弱和θ波。病侧背景的α波常有节律紊乱,频率变慢,波幅变低或消失等改变,这些特点可以用来与颞前肿瘤作鉴别。

(3)颞顶枕部肿瘤:在颞后、顶下、顶和枕部均可出现明显的δ波,但一般以顶下部为著。两侧特别是病侧α波有明显的紊乱并混有散在性δ波、θ波。

5.脑超声波; 颞叶肿瘤的超声波检查,其定位阳性率最高。除出现肿瘤波外,中线波向对侧移位最明显。脑室扩大或脑积水时,侧脑室波的振幅增大,侧脑室波和中线波的距离变大。

6.同位素脑扫描; 颞叶肿瘤同位素扫描,根据肿瘤的性质、部位、大小及供瘤血管的不同而有不同的表现,一般说来,颞叶肿瘤的扫描阳性率较高。

7.脑CT检查; CT诊断颅内肿瘤主要是根据肿瘤组织的密度改

颅内肿瘤

变和肿瘤对脑室系统的压迫移位来判断。有些肿瘤显示密度高,CT图像清晰;有的肿瘤因有钙化沉着,对比清楚;有些肿瘤或因瘤组织坏死,或因病灶周围水肿等变化而显示为均匀或不均匀之低密度区。颞叶肿瘤多为胶质瘤和脑膜瘤,CT检查多显示为高密度区,亦有少数肿瘤有钙化,囊变、坏死、水肿等显示其不同的密度变化。侧脑室和第三脑室常见受压、变形、移位等。

鉴别

颞叶肿瘤同额叶肿瘤一样,病情发展比较缓慢。临床上很少出现典型症状。随着病程的进展,有时肿瘤长到相当大时,才可出现癫痫发作,伴随出现各种幻觉、精神症状、视野的改变等。最后产生颅压增高症状。颞叶肿瘤常与下列颞叶疾病鉴别。

(一)颞叶脓肿; 颞叶脓肿大多数继发于颅外细菌性感染,以继发性慢性化脓性中耳炎乳突炎耳源性脑脓肿最为常见,其次为外伤性感染和血源性感染引起的脓肿。颞叶脑脓肿,特别是颞叶慢性脑脓肿的临床表现与颞叶肿瘤的临床表现很相似,有时难以鉴别。但脑脓肿的临床症状,特别是全身感染症状多发生在早期,绝大多数有感染病灶或近期感染史,常有脉缓体温虽有时增高,但大多数正常,血像白细胞血沉可增高,脑脊液蛋白增高常较白细胞增高明显。脑超声波检查可出现中线波向对侧移位和脓肿波。脑血管造影有特征性的表现。CT检查可显示边界清楚的低密度区。详细询问病史和全面检查,容易与肿瘤鉴别。少数难以鉴别的病人手术探查时才能确定诊断。

(二)硬膜下血肿; 颞叶硬膜下血肿,临床上并不少见,仅次于额叶,见于任何年龄,多有明显外伤史,多在伤后3周以上出现临床症状,其症状与颞叶凸面肿瘤相似。特别是受伤轻微而受伤当时无意识障碍,且时间较长的硬膜下血肿与肿瘤难以鉴别,可借助脑超声波、同位素脑扫描、脑CT等检查以助诊断,特别是脑血管造影检查,在前后位像上见到梭形无血管区时可确定诊断。

(三)脑血管意外高血压脑病; 某些颞叶肿瘤,特别是多形胶质母细胞瘤、转移瘤,可以产生瘤内出血、坏死、囊性变而突然昏迷,有如卒中,特别是当病人患有高血压动脉硬化,就更容易被认为是脑血管意外而忽略颅内肿瘤的诊断。但其临床表现与脑血管意外出血比较,仍较缓慢些,且大多数有颅内压增高症状,病情逐渐加重。另外,严重高血压时,可发生急性脑水肿,也可出现剧烈头痛呕吐视乳头水肿视力减退及各种局灶性脑症状,因此,也需与颅内肿瘤特别是颞叶肿瘤鉴别。但其发病一般较急,血压异常升高,或同时患有其它心血管肾脏疾病。眼底检查可见动脉变细,有出血或渗出。并经降血压、脱水治疗,症状多可好转,有助于鉴别诊断。对于鉴别困难者,可借助脑血管造影和CT检查来确定诊断。

(四)蝶骨嵴肿瘤; 蝶骨嵴部位最常见的肿瘤是脑膜瘤。依

蝶骨嵴肿瘤

肿瘤所在的部位分蝶骨嵴外1/3、中1/3和内1/3三个部位。蝶骨嵴肿瘤的临床表现因肿瘤所在部位的不同而异。外1/3肿瘤多出现病例颞骨隆起伴眼球突出,病侧中枢性面瘫和癫痫发作(以颞叶癫痫和局限性癫痫为主)等。颅内压增高症状多在后期出现。内1/3肿瘤表现为病侧视神经萎缩和健侧视乳头水肿(Foster-Kennedy综合征)、嗅觉丧失、病眼鼻侧偏盲和中心盲点扩大。因眶上裂海绵窦受累而出现眶上综合征,少数病例有眼球突出。中1/3肿瘤视其生长方向可兼有部分内、外1/3肿瘤的表现,中1/3肿瘤最多见,当肿瘤巨大时,可压迫颞极和影响额极,出现相应的局限性体征,如对侧中枢性面瘫或精神症状等。颅骨平片可见到相应部位的骨质破坏或增生,脑血管造影和CT检查,都有特征性的改变,易与颞叶肿瘤鉴别。

(五)颅中窝肿瘤; 此部位最常见的是脑膜瘤。其临床症状早期表现为三叉神经刺激和损害症状,部分病人表现为病侧颜面部感觉减退和三叉神经痛。病侧眼球运动障碍,可出现复视眼睑下垂、瞳孔散大等。累及视神经或视束时可出现视力减退、原发性视神经萎缩和同向性偏盲等。肿瘤晚期可压迫颞叶内侧出现幻嗅和钩回发作等。颅底片可见颅中窝骨质破坏或增生,卵圆孔棘孔扩大,岩骨及蝶骨可有破坏。脑血管造影显示颈内动脉虹吸段明显张开,大脑中动脉抬高,颅由窝可见肿瘤病理血管,较易与颞叶肿瘤鉴别。

(六)丘脑肿瘤; 此部位肿瘤最常见为胶质瘤。临床症状表现复杂,主要的是丘脑(Dèjerine-Roussy)综合征,包括病变对侧半身感觉障碍,尤其以深感觉障碍较显著;病变对侧肢体轻瘫;病变对侧半身自发性疼痛;病侧肢体共济失调;病侧肢体有舞蹈或指划样运动。丘脑肿瘤通常起病隐袭。肿瘤向内发展时精神症状较为明显;向丘脑下部发展可出现内分泌症状;向丘脑外侧发展影响内囊时可有“两偏”(偏瘫、半身感觉障碍)或“三偏”(两偏加同向性偏盲)症状,有时偶可出现锥体系受累症状;向丘脑枕部发展除出现病变对侧同向性偏盲外,还可累及四叠体,表现有双眼上视不能、瞳孔不等大、耳鸣、听力障碍等。概括上述,对颅压增高病人,如出现“两偏”或“三偏”症状、精神症状或基底节症状等,应首先考虑丘脑瘤之可能。然后再通过脑电图检查  

验方偏方[编辑 | 编辑源代码]

验方:脑瘤汤:夏枯草30g,海藻30g,石见穿30g,野菊花30g,生牡蛎30g,昆布15g,赤芍15g,桃仁9g,白芷9g;生南星9g,蜈蚣9g,留行子12g,蜂房12g,全蝎6g,天龙片15片。每日剂,煎2次分服。天龙片分3次随汤药分服。

疗效:上海中医学院单用本方治疗颅内肿瘤11例,总有效率为72,7%。

偏万:难姜散:老姜、雄黄各100g。先将老姜刷去泥沙(不洗),除去叉枝,用小刀挖一小洞,掏空中心,四壁仅留0.5cm厚,填装入雄黄粉,以挖出的姜渣封口,置陈瓦上用木炭火焙烤7~8小时,至呈金黄色,脆而不焦为度,离火放冷,研细,过80目筛,剩余姜渣一并焙干后研细,拌入粉内,即得。

治法:外用。取安庆膏药以微火烘干,均匀地撒上雄姜散,可按瘤块,痛点穴位三结合原则选定贴敷部位,隔日换药一次。

疗效:安徽省人民医院采用本方治疗脑瘤、肝癌淋巴骨肉瘤等共777例,总有效率达64.8%,其中对脑瘤效果最好,有效率达70%。