精囊腺
来自医学百科
精囊腺位于膀胱底与直肠之间,在输精管末端的外侧。是一对长椭圆形的囊状器官,表面凹凸不平,下端为排泄管,与输精管末端汇合成射精管。精囊腺分泌的弱碱性液体成为精液的一部分。
精囊seminal vesicle又叫精囊腺,为长椭圆形的囊状器官,泣于膀胱底的后方,输精管壶腹的外侧,左右各一,由过曲的管道组成,其排泄管与输精管壶腹的末端合成射精管。糟囊分泌的液体组成精液的一部分。
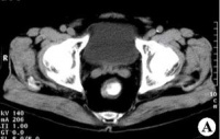
精囊腺(seminal vesicle)CT解剖:精囊位于前列腺上方,膀胱之后、呈对称性卵圆形,与膀胱后下壁间有脂肪组织间隔,仰卧圆形,与膀胱后下壁间有脂肪组织间隔,仰卧时此间隙形成膀胱精囊角,约30度左右,俯卧位时精囊紧贴膀胱,此角消
失。故在判断膀胱或前列腺肿瘤有无侵及精囊时,应取仰卧位以观察此间是否存在和对称。CT上精囊表现为前列腺以上层面膀胱后方对称性的长椭圆形软组织影,CT值35-75Hu不等,双侧共长60mm左右。
| |||||||||||||||||||||||||||||||||||||||