匿名

未登录

  • 讨论
  • 贡献
  • 登录
医学百科

朗格汉斯细胞

来自医学百科

名字空间

  • 页面

更多

  • 更多
  • 语言

页面选项

  • Read
  • 编辑
  • 编辑源代码
  • 历史
Bk9lw.jpg

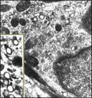
为表皮非角质形成细胞的一种,数量极少散在分布于表皮中。

朗格汉斯细胞(Langerhans cell),有树枝状突起,散布于棘层细胞间。细胞核不规则,高尔基复合体发达,溶酶体较多。还有一种特殊的网球拍形小颗粒,称为伯贝克颗粒,其功能是参与免疫应答。朗格汉斯细胞能获捕和处理侵入皮肤的抗原,并传递给T细胞,所以是一种抗原呈递细胞。

血液
一般
血浆 造血干细胞
淋巴系细胞 WBC

T细胞: 细胞毒CD8+, 辅助CD4+/调节性, γδ, 自然杀伤性T细胞, 记忆T细胞

B细胞: 浆细胞, 记忆B细胞

NK细胞 (LAK细胞)

裸细胞
髓系细胞 WBC

单核细胞/巨噬细胞 (组织细胞, Kupffer细胞, 尘细胞, 小神经胶质细胞, 破骨细胞, 上皮样细胞, 多核巨细胞, 异物巨细胞)

粒细胞 (嗜中性粒细胞, 嗜酸性粒细胞, 嗜碱性粒细胞) 肥大细胞前体

树突状细胞 (Langerhans细胞, 滤泡树突状细胞)

原始巨核细胞 巨核细胞 PLT
红系细胞 RBC
网织红 幼红细胞
取自“https://www.yiliao.com/index.php?title=朗格汉斯细胞&oldid=85472”
分类:
  • 胚胎学

导航

导航

  • 症状百科
  • 疾病百科
  • 药品百科
  • 中医百科
  • 中药百科
  • 人体穴位图
  • 全国医院列表

功能菜单

  • 最近更改
  • 随机页面

Wiki工具

Wiki工具

  • 特殊页面

页面工具

页面工具

    用户页面工具

      更多

      • 链入页面
      • 相关更改
      • 可打印版本
      • 固定链接
      • 页面信息
      • 页面日志

      分类

      分类

      • 胚胎学