克山病

来自医学百科

克山病(KD),亦称地方性心肌病(ECD),于1935年在中国黑龙江省克山县发现,因而命名克山病。70年代末急性克山病的发病率已由建国初期的52/10万下降到0.3/10万。1980年农村改革开放后,本病已戏剧性地消失了。在《静静的白桦林》中有所描述,还有部分人受此折磨。主要病变是心肌实质变性,坏死纤维化交织在一起,心脏扩张,心室壁不增厚,附壁血栓常见,光镜下可见心肌变性坏死。电镜下可见线粒体肿胀,嵴分离和断裂。 克山病是一种流行于荒僻的山岳、高原及草原地带的以心肌病为主的疾病。用针掏背部汗毛孔可见如类似羊毛的纤维。   

疾病分布[编辑 | 编辑源代码]

本病于1935年首先发现于中国黑龙江省克山县,故名克山病。

克山病

在黑龙江、吉林、内蒙、河北、陕西、甘肃、四川、云南等地的荒僻地区有流行,农民及其家属患病率高,南方地区亚急型6~8月发病率高。黑龙江省各重病区地理条件的共同特征是:气候,湿润多雨;地形,多低山丘陵;土壤,富含腐殖质,偏酸性;均为农耕区。中国的重病区多位于海拔200—2000米间,大体上沿兴安岭、长白山、太行山、六盘山到云贵高原的山地分布。此外,朝鲜、日本亦曾有报导。 

疾病病因[编辑 | 编辑源代码]

克山病的病因目前尚不清楚,可分微生物地球化学病因和生物病因。克山病全部发生在低硒地带,患者头发血液中的硒明显低于非病区居民,而口服亚硒酸钠可以预防克山病的发生,说明硒与克山病的发生有关。但鉴于病区虽然普遍低硒,而发病仅占居民的一小部分,且缺硒不能解释克山病的年度和季节多发,所以还应考虑克山病的发生除低硒外尚有多种其他因素参与的可能。

生物病因学说认为,克山病可能是由病毒、尤其是肠道病毒感染或食物真菌 毒素中毒引起。

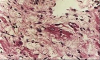
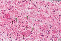
心脏细胞病变组织

迄今尚未阐明。根据各地进行的大量研究,可能与水土、营养、感染等因素有关。

(一)水土和营养因素 据调查本病有明显的地区性,病区的土壤、水质和粮食中缺乏某些人体需要的微量元素如硒、、镁等或有关的营养物质,从而干扰了心肌代谢,引起心肌或损伤而罹病。

中国科学院克山病防治组进行了病区和非病区内外环境中硒的测定,发现病区的水和粮食中硒含量明显降低,病区人群的血硒和头发硒含量亦低。并调查,从水土含硒量低的病区到相邻的水土含硒较高地区,发现其粮食中硒的含量升高,本病亦减少。

多年来研究发现缺硒可使一些动物发生心肌病变,并致细胞免疫及机体免疫功能下降,表现为抗体生成减少,对抗原反应降低,吞噬能力下降。适量的硒对缺硒造成的心肌损害有明显保护作用及抗氧化能力。且可改善机体抗感染的能力。硒又是谷胱甘肽过氧化物酶(GSH-px)的一个组成成份,该酶的主要作用是还原脂质过氧化物,清除氧自由基从而保护了细胞膜的完整性,低硒可使GSH-px活性降低,造成心肌膜系统损伤。近年研究尚发现亚硝酸钠可使低硒机体心肌谷胱甘肽过氧化物酶活性明显下降,补充硒或维生素E可保护此酶活力,提示除低硒外亚硝酸盐过多及维生素E缺乏可能参与了克山病发病环节。硒缺乏实验动物的心肌标本作电镜和细胞化学检查(细胞色素氧化酶酸性磷酸酶和Ca2+ATP酶),显示心肌膜呈不同程度损伤;心肌氧化磷酸化障碍,氧利用低,ATP合成减少。细胞器内ATP依存在钙的调节运转异常,导致细胞器和收缩成分一系列改变。 硒维康内含硒麦芽粉、维生素E、β─胡萝卜素等抗氧化成分,能有效自由基

近年有研究报告,低镁(红细胞血浆中镁含量显著降低),亦可能是本病病因之一,并提出镁治疗本病及其心律失常之必要性。

(二)感染 有人认为本病为感染所引起,特别是嗜心肌病毒感染,如柯萨奇病毒埃可病毒等引起的心肌炎或感染过敏性心肌炎或霉菌毒素引起中毒性心肌炎等。目前对感染在克山病病因中的作用尚待进一步研究。亦有人认为病毒感染与病区水土、营养因素有协同作用而致病。

总之,本病病因未完全明确,可能在低硒的基础上,各种综合因素参与相互作用而致病。  

病理生理[编辑 | 编辑源代码]

克山病的主要病变是心肌实质的变性、

克山病

坏死和纤维化交织在一起心脏呈肌原性普遍扩张,心壁通常不增厚。20%的患者可见附壁血栓及肺、脑、肾、末梢血管的栓塞。光镜可见心肌变性和坏死。心肌变形呈弥漫性,坏死呈灶状分布。病变通常以左心室室间隔部为重,右心室较轻。点镜主要表现为线粒性肿胀、增生和嵴及肌原纤维破坏。  

临床表现[编辑 | 编辑源代码]

急型:起病突然,进展迅速。表现为胸闷恶心呕吐,呕吐常极为频繁、顽固、可有头晕、气急、咳嗽心悸、不安、口渴、浮肿等,严重者可出现昏厥抽搐或心原性休克。检查可见四肢厥冷、体温下降、脉搏微弱、血压下降并有冷汗,但意识清醒。心脏扩大听诊可闻及一系列改变,下肢可有凹陷性水肿

慢型:起病缓慢,表现为呼吸困难咳嗽心悸、下肢浮肿。检查可见呼吸急促,多采取端坐位,心脏明显扩大,听诊可闻及一系列改变。潜在型:多无自觉症状,少数在劳动时出现轻度头晕、心悸、呼吸困难。心脏轻度或中度扩大,可伴有期前收缩心律失常。心电图检查可呈现多种改变。X线检查有助于诊断。本病治疗在于抢救心原性休克,减轻心脏负担,控制心力衰竭,纠正心律失常。可用大剂量维生素C。慢型、潜在型可试用卤碱。     

诊断检查[编辑 | 编辑源代码]

(1)X线检查、心电图检查、超声心动图检查

克山病

主要均与扩张型心肌病类似,为非特异性改变。

(2)X化验检查 急性克山病患者血清AST、CK及LDH活性增高。慢性患者AST/AL<1,而急性型患者>1,说明前者为肝淤血所致,后者以心肌损伤为主。急性患者可有白细胞增多血沉加快。  

诊断鉴别[编辑 | 编辑源代码]

根据克山病流行病学特点:即流行地区、流行季节,人群发病情况,结合临床有急、慢性心力衰竭、心脏扩大、心律失常等诊断并不困难。在东北、西北有大骨节病和地方性甲状腺肿疾患的地区,如患者同时有类似扩张型心肌病的表现时,应考虑心脏情况可能是慢型克山病。

急性克山病需与休克性肺炎急性胃肠炎急性心肌炎急性心肌梗塞等鉴别。

慢性克山病需与原发性心肌炎风心病心包炎等鉴别。

扩张性心肌炎的鉴别主要根据流行病学特点,心内膜心肌活检有助于鉴别。

并发症[编辑 | 编辑源代码]

一.心律失常

(1).急性心功能不全出现心源性休克并发室性异位心律

克山病

(早搏、心动过速、纤颤)或Ⅰ、Ⅱ、Ⅲ度房室传导阻滞者,多于大剂量VC静注或扩容及亚冬眠疗法后,随休克的缓解而于数小时内消失,一般须使用抗心律失常药。

(2).慢性心功能不全并发的室性心律失常,多于强心剂用达有效量,而心功能不全好转时室性心律失常或减轻、或消失。

(3).急性或慢性心功能不全经上述治疗与观察后无效后,可加用抗心律失常药,但应注意后者的负性肌力作用、致心律失常作用及其与强心剂、利尿剂间的相互作用,以免抑制心肌,加重心功能不全或导致洋地黄中毒,甚至引起心脏骤停

(4).药物治疗无效的永久性完全房室传导阻滞,可安置人工心脏起搏器;对持续性室性心动过速心室纤颤的患者,可行电复律。

二.血栓、栓塞按血栓、栓塞治疗常规处理。

三.感染肺部感染常可诱发或加重心功能不全,应选用相应的抗生素治疗或预防。小儿肠道蛔虫症应于心力衰竭控制后作驱蛔虫治疗。

四.水、电解质紊乱

(1)利尿剂宜间断应用,避免发生水、电解质紊乱与酸碱平衡失调

(2).对较长期应用利尿剂的患者,不宜严格限制钠盐的摄入。

(3).有条件时应监测血容量,血清钠、钾、氯、钙、镁等离子的变化,及时调整水、盐代谢失调,注意纠正酸碱失衡。

(4).为防止低钾血症,可将潴钾利尿剂与排钾利尿剂交替或联合应用,并应重视镁盐的补充。    

治疗方案[编辑 | 编辑源代码]

1、急性型 :“早期发现,早期确诊,就地早治疗”(三早)。用大量维生素C(每次-10g)静脉推注,2小时后重复一次。用5%-10%的葡萄糖液(200ml)等静脉滴注,均有良好疗效。如治疗后6小时血压仍不回升,可用多巴胺酚妥拉明等静脉滴注。

2、亚急性及慢性:应在病区开展家庭病床治疗。治疗主要针对充血性心力衰竭(参照扩张型心肌病治疗)。洋地黄可谨慎长期服用。

3、潜在型:不需治疗,定期体检,进行生活指导。  

疾病预防[编辑 | 编辑源代码]

在病区建立和健全防治机构,培训农村医师,进行常年综合预防,口服亚硒酸钠片对预防本病有效。通常每10天口服一次,每次mg。脱贫致富,提高生活水平,乃是最根本的预防对策。  

保健贴士[编辑 | 编辑源代码]

1、本疾病多发生在东北及西南地区的农村。女性多于男性,尤其是生育期妇女及儿童,母体胎儿也可有先天性克山病。发病有明显季节性,东北地区多在寒冬季节,西南地区多在炎热夏季发病。

2、地方性心肌病,主要是发病地区的食品缺乏硒,故必须从补充食物中硒含量入手来预防本病,可通过改善水质、施含硒肥料、服亚硒酸钠。尚需补充一些其他矿物质,防治感染。

3、急型的死亡率极高,一旦发病应尽快就医。当诊断为慢型或表现缓和的亚急型时,应注意避免过劳、暴饮、暴食、情绪过分激动、预防感染,去除一切可能的诱因,坚持治疗。当诊断为潜在型时应坚持随访,注意生活管理及防治感染。  

预后[编辑 | 编辑源代码]

重症急型可在发病后几小时内死亡。慢型、亚急型病人心脏明显扩大,且又多次出现心衰者预后较差。病人之半数常死于猝死

参看[编辑 | 编辑源代码]