巩膜炎

来自医学百科

巩膜为一细胞血管均少,大部由胶原组成的组织。其表面为球结膜及球筋膜所覆盖,不与外界环境直接接触,

Bkh3n.jpg

所以很少患病。据多数学者统计其发病率仅占眼病患者总数的0.5%左右。由于巩膜的基本成分的胶原性质,决定了其病理过程缓慢及所致的胶原紊乱难于修复。眼球是胶原的“窗口”,因此巩膜炎(scleritis)常是全身结缔组织疾病的眼部表现。  

治疗措施[编辑 | 编辑源代码]

巩膜炎的治疗原则,首先应明显病因,进行对因治疗,并预防复发。增强营养改善全身情况也是必要的。  

表层巩膜炎[编辑 | 编辑源代码]

表层巩膜炎无论是单纯性或结节性,均是一种良性复发性轻型疾患,有自限性,病程1~2周或以上,可以不加治疗。但为了尽快治愈可局部应用皮质类固醇滴眼剂滴眼,利用其非特异性抗炎作用,可缓解症状及巩膜的损害。或应用非皮质类固醇抗炎剂,如消炎痛保泰松等亦可收到治疗效果。其他局部对症滴眼剂,对各种类型巩膜炎的治疗均应常规使用,如当巩膜炎并发虹膜睫状体炎时,应及时滴用阿托品充分散瞳等。

痛风属于例外,其发病机制是由于吞噬细胞空泡破裂,因此应该用促尿酸尿法(uricosuria)治疗。必要时局部给予皮质炎固醇治疗。  

巩膜炎[编辑 | 编辑源代码]

弥漫性和结节性巩膜炎,患部的血管丛是开放的,但病程缠绵,除局部给药外,应加服皮质炎固醇制剂。如并发葡萄膜炎应及时给与散瞳剂。  

坏死性巩膜炎[编辑 | 编辑源代码]

病情严重,血管丛大部分闭锁。如梅毒结核麻风病等,应给予针对病因的特效疗法及配合短疗程的全身非皮质类固醇抗炎剂治疗。诸如羟保泰松或消炎痛口服,如1周内无效,巩膜出现无血管区则应投予足够剂量的皮质类固醇制剂,如强的松地塞米松口服,以抑制病变的坏死过程。俟病变被控制后则递减到维持量,直到疾病消退。

结膜下注射的方法在深层巩膜炎患者应视为禁忌,以防止巩膜穿孔。但全身或球后注射皮质炎固醇通常能使巩膜炎、巩膜周围炎、巩膜球筋膜炎急性炎症眶假瘤得到缓解,并对减轻严重疼痛甚为有效,且无并发症

在严重病例有时需要使用较强的免疫抑制剂,如环磷酰胺等,有时用它作为皮质类固醇的减免剂,或在增加抗前列腺素的非类固醇抗炎剂,以达到使全身性类固醇剂量降低到可接受的水平。但一般认为,部分前节小动脉梗阻所造成的真正穿孔性巩膜软化病人,应早在坏死出现之前进行治疗。对涉及全身免疫系统疾病的病人,如Wegener肉芽肿病,治疗的目的在于需要抑制淋巴细胞的产生,免疫抑制剂与皮质类固醇联合使用,能获得最佳效果,而对另外一些全身血管炎或仅为循环免疫复合物病的患者,则仅需皮质类固醇治疗。

手术治疗只适用于肯定炎症的根源是自身免疫病,切除坏死组织,可以清除抗原来源,同时植入同种异体巩膜,也是有效的治疗手段。

近年相继有人报道,使用环孢霉素A,是一种新型强效免疫抑制剂,能选择性地作用于辅助性T淋巴细胞,发挥其免疫抑制作用,且无骨髓毒性,最早在眼科用于治疗角膜溶解综合征。近年对坏死性巩膜炎、蚕蚀性角膜溃疡角膜移植排斥反应均取得了肯定的疗效。并已能将其配制成局部滴眼剂应用于临床。  

病因[编辑 | 编辑源代码]

巩膜炎的病因多不明,有时不仅找不到原因,甚至连炎症的原发部位是在巩膜、上巩膜、球筋膜或是在眶内其他部位也不清楚,例如,后巩膜炎就难与急性炎性眶假瘤鉴别。  

外源性感染[编辑 | 编辑源代码]

外因性者较少见,可为细菌病毒真菌等通过结膜感染灶、外伤、手术创面等直接引起。  

内原性感染[编辑 | 编辑源代码]

1.化脓性转移性(化脓菌)。

2.非化脓性肉芽肿性(结核、梅毒、麻风)。  

结缔组织疾病的眼部表现[编辑 | 编辑源代码]

结缔组织病胶原病)与自身免疫病有关,如类风湿关节炎、坏死性结节性红斑狼疮结节性动脉周围炎类肉瘤病(结节病)、Wegener肉芽肿、复发性多软骨炎等并发的巩膜炎,所引起巩膜的类纤维蛋白坏死性改变,本质上与结缔组织病相似。在坯 煞费苦心性巩膜炎中其并发率约在50%以上,穿孔性巩膜软化时其并发率则更高。其他如强直性脊柱炎、Bencet病、皮肌炎、IgA肾病颞动脉炎卟啉病人中,也有并发巩膜炎的报道。Watson(1982)经过动物实验对诱发巩膜炎机制的研究指出:这种类型的肉芽肿性改变,可能说明病变是局部产生的抗原(Ⅳ迟发型超敏反应中)或循环免疫复合物在眼内沉积,诱发免疫反应而引起的Ⅲ型超敏反应。在Ⅲ型超敏反应中,血管反应是抗原抗体在血管壁上结合作用的结果。这些复合物沉积在小静脉壁上,并激活了补体,从而引起急性炎症反应。故胶原病是一种与个体基因有关的免疫机制失调的自身免疫病,或是其中的一种表现。  

病理[编辑 | 编辑源代码]

巩膜病变的活组织检查比较危险,而且也常作。仅能在摘出眼球时或对手术中切下的病损组织进行病理学改变的研究。巩膜炎时出现的浸润、肥厚及结节是一种慢性肉芽肿性病变,具有类纤维蛋白坯 煞费苦心及胶原破坏的特征。除从外部感染或从邻近化脓灶转移而来的以外,化脓性炎症较少见。在血管进出部位可以出现限局性炎症。

肉芽肿性炎症有限局性及弥漫性之分,但本质相同,即被侵犯的巩膜表现为慢性炎症的细胞浸润,这些细胞包括多形核白细胞,淋巴细胞和巨噬细胞,形成结节状及弥漫性肥厚的病灶。肉芽肿被多核上皮巨细胞和新旧血管包绕,有的血管有血栓形成,表现出血管炎的特点。这些变化有时向周围扩展,远超出肉芽肿的部位,最先累及远离病变处的巩膜粘多糖,表现为胶体铁染色减弱。在接受肉芽肿处纤维粘液水肿推开,而粘多糖只能形成斑状着染。在电镜下可见胶原纤丝也吸收染色剂。此处细胞改变是胶原纤维细胞的数量和活性明显增加,而在肉芽肿内,细胞成分显著增加,该区域被浆细胞、淋巴细胞和巨噬细胞所浸润外,其中有些聚合成巨细胞。巩膜胶原纤丝失去在偏振光下的双折光现象。在坏死性区域,可见以浆细胞为主的浸润细胞集团,细胞坯 煞费苦心,胶原纤维增生。在此部位有来源于上巩膜或脉络膜的簇状新生血管。新旧血管都有中层坏死,粘多糖沉积,并可见血栓形成。很多血管内及周围有纤维蛋白沉积。

病变表浅时,结膜下及巩膜浅层均受侵犯,巩膜水肿可显层间分离,其间隙淋巴细胞浸润,同时浅层巩膜血管充血淋巴管扩张。轻型者愈后多不留痕迹。侵犯巩膜前部的炎症也会波及到角膜,相反前房积脓性角膜炎亦可波及到巩膜而产生浅层巩膜炎。深层巩膜炎亦多累及浅层巩膜,而在坏死性巩膜炎时,病灶中心区产生类纤维蛋白坏死,其周围有大单核细胞如栅栏状围绕,严重时在炎症细胞浸润中心可发生片状无血管区(动脉闭塞),组织变性坯 煞费苦心,而后可发生脂肪变性玻璃样变性钙化等。坏死部逐渐吸收纤维化而形成瘢痕,此局部巩膜薄变而扩张,或组织肥厚形成所谓“肥厚性巩膜炎”(SchÖbl,1889)。  

临床表现[编辑 | 编辑源代码]

根据炎症侵犯巩膜或表层巩膜组织中的部位,症状及预后,一般公认将巩膜炎分为如类型是比较合理的。  

表层巩膜炎[编辑 | 编辑源代码]

表层巩膜炎(episcleritis)是巩膜表层(或浅层)组织的炎症,多位于角膜缘至直肌附着线之间赤道前部。有周期发作的病史,愈后不留痕迹。成年男女皆可患病,但女性较多见,多数患者为单眼发病。

原因常不明,多见于外原性抗原抗体所致的过敏原性反应,其他全身病如代谢性疾病-痛风。本病多在妇女月经期出现,亦与内分泌失调有关。过敏反应容易发生在前部表层巩膜,这与表层巩膜组织主要是由胶原纤维及弹力纤维所组成,有丰富的血管网淋巴管,适合多种免疫成分积聚沉着有关。

表层巩膜炎在临床上分为两型:

1.单纯性表层巩膜炎(simple episcleritis):又称一过周期性表层巩膜炎(episcleritis periodica fugax)。

临床症状为病变部位的表层巩膜及其上的球结膜,突发弥漫性充血及水肿,色调火红,充血局限或呈扇形,多数病变局限于某一象限,范围广泛者少见。上巩膜表层血管迂曲扩张,但仍保持为放射状,无深层血管充血的紫色调,亦无局限性结节。

本病有周期性复发,发作突然,发作时间短暂,数天即愈的特点。占半数病人有轻微疼痛,但常为灼热感,刺痛不适。偶见因虹膜括约肌睫状肌痉挛而致瞳孔缩小与暂时性近视。发作时亦可出现眼睑神经血管反应性水肿。严重者可伴有周期性偏头痛视力一般无影响。

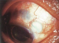
2.结节性表层巩膜炎(nodular episcleritis)结节性表层巩膜炎以限局性结节为特征的一种表层巩膜炎。常为急性发病,有眼红、疼痛、羞明、流泪、触痛等症状。在角膜缘处表层巩膜上很快出现水肿浸润,形成淡红色到火红色局限性结节。结节由小及大直径数毫米不等。结节上方之球结膜可以随意推动,并有压痛

淡红色系病灶部位球结膜血管丛充血,火红色则系上巩膜表层血管丛充血。用眼前节荧光血管造影可以区分。

结节为圆形或椭圆形,多为单发,有时可达豌豆大小。结节位于上巩膜组织内,结节在巩膜上可被推动,表示与深部巩膜无关。巩膜血管丛在结节下部保持正常状态。

病程约2周左右自限,结节由火红色变为粉红色,形态也由圆形或椭圆形变扁平,最后可完全吸收,留下表面带青灰色调的痕迹。此处炎症愈后也可在他处继发,一个结节消退后一个结节又出现,多镒复发可以绵延数月。由于在不同部位多次发作,最后可形成环绕角膜周围巩膜的环形色素环。眼痛以夜间为甚,也有疼痛不显著者。视力一般不受影响。轻度角膜炎是表层巩膜炎的唯一并发症。如有羞明、流泪则预示有轻度角膜炎,且以临近结节处的角膜缘部多见。  

巩膜炎[编辑 | 编辑源代码]

巩膜炎(scleritis)或称深层巩膜炎。较表层巩膜炎少见,但发病急,且常伴发角膜及葡萄膜炎,故较表层巩膜炎更为严重,预后不佳。一般表层巩膜炎极少侵犯巩膜组织,巩膜炎则侵犯巩膜本身。巩膜炎多好发于血管穿过巩膜的前部巩膜,而伴于赤道后部的巩膜炎,因不能直接见到及血管少,发病亦少,容易被忽略。巩膜炎依部位可分为前巩膜炎及后巩膜炎。前巩膜炎是巩膜炎中常见的。多发于青年或成年人,女性多于男性,双眼可先后或同时发病。

巩膜炎主为内源性抗原抗体免疫复合物所引起,且多伴有全身胶原病,故属于胶原病范畴,与自身免疫有关。Benson(1988)将免疫原性归结为:炎症直接侵犯胶原本身或巩膜基质(氨基葡聚糖)。原发性坏死性前巩膜炎病人对巩膜特异性抗原耐受性可能有改变,并对巩膜可溶性抗原呈迟发型超敏反应。在类风湿关节炎中发现免疫复合物就是对这种理论的支持。但多数巩膜炎却难查到原因。

1.前巩膜炎

⑴弥漫性前巩膜炎(diffuse anterior scleritis):本病是巩膜炎中最良性的,很少合并严重的全身性疾病。

临床症状为突发弥漫性充血及巩膜上组织肿胀,而无法查清巩膜的情况,对严重病例结膜可高度水肿,因而需滴1∶1000肾上腺素结膜囊,以便确认有无深层血管充血及结节。弥漫性比结节性更容易扩散。病变范围可限于一个象限或占据全眼球前部,且多伴发巩膜表层炎。

⑵结节性前巩膜炎(nodular anterior scleritis):临床症状为自觉眼痛颇为剧烈,且放射到眼眶周围。占半数病人有眼球压痛。炎性结节呈深红色完全不能活动,但与其上面之上巩膜组织分界清楚。表面的血管为结节所顶起。结节可为单发或多发。浸润性结节可以围绕角膜而蔓延相接,形成环形巩膜炎。此时全眼球则呈暗紫色,间有灰白色结节,吸收后留下绀色薄瘢。病程较短者数周或数月,长者可达数年。浸润渐被吸收而不破溃,巩膜变薄呈暗紫色或磁白色。由于不敌眼内高压而形成部分巩膜膨隆或葡萄肿者。上巩膜深层血管丛充血呈紫红色,血管不能移动。表层与深层巩膜外血管网,扭曲失常,在深层血管之间有较大的吻合支,因而显示血管呈串珠样扩张与充盈。如出现羞明、流泪症状,应考虑有合并角膜炎及葡萄膜炎,其结果常严重损害视力。

⑶坏死性前巩膜炎(necrotizing anterior scleritis):本病亦称炎症性坏死性巩膜炎,此型临床上虽比较少见,但却最具破坏性,也是全身严重胶原病的先兆。病程迁延缓慢。约半数患者有并发症及视力下降。

临床症状为病变早期表现为限局性炎症浸润,病变区急剧充血,血管迂曲及阻塞。典型表现为局限性片状无血管区。在此无血管区下面或附近巩膜水肿,巩膜浅层血管向前移位(用无赤光线易发现此体征)。病变的发展可限于小范围内,亦可发展成大面积坏死,或从原始病变处周围向眼球两侧发展,最后损及整个眼球前部。病变愈后该处巩膜仍继续变薄,可透见葡萄膜色素呈蓝紫色,除非眼压持续高达4.0kpa(30mmHg),一般不形成葡萄肿。如坏死区域小,新生的胶原纤维可将其修补。如其上方的结膜有破坏则会产生凹陷性瘢痕。眼球压痛约占半数。

叶丽南等(1980)报告2例结节性坏死性巩膜炎,巩膜均有进行性坏死性黄色结节,有明显的炎症和剧痛,病变区巩膜菲薄呈蓝紫色。病理切片明显诊断。2例在一般疗法无效后,均进行了病灶切除及板层角膜移植术。结果一例好转,一例复发。李应湛(1980)报道免疫抑制剂治疗结节性坏死性巩膜炎1例。此例双眼发病,右眼为溃疡期,左眼为结节期。右眼局限性凹陷性溃疡灶及左眼隆起性黄色结节均距角膜缘4mm,病灶周围巩膜紫红色充血,局部拒按。本例经免疫抑制剂治疗病情缓解。

穿通性巩膜软化(scleromalacia perforans):亦称非炎症性坏死性巩膜炎,是一种较为少见的特殊类型巩膜炎,病情隐蔽,几乎毫无症状,约半数患者与类风湿关节炎或强直性多关节炎有关。眼病可先于关节炎病。患者多为年逾50岁的女性。病变一眼为双侧性,但其表现程度不一。病程发展缓慢,但也有表现急剧,于数周内导致失明者。

本病很少伴有炎症或疼痛反应。病变的特点为发生在角膜缘与赤道部之间的巩膜上,有黄或灰色斑。在最严重者局部巩膜逐渐呈腐肉样而陷入坏死性改变,坏死组织一经脱落巩膜可完全消失。在残留的巩膜组织中的血管明显减少,从外表看呈白色搪瓷样。约半数患者有一处以上的坏死病灶。由于坏死而造成的巩膜缺损,可被一层可能来源于结膜的很薄结缔组织所覆盖,除非眼压增高,一般不见葡萄肿。无一例有眼部压痛。角膜一部不受影响。

缺损区没有组织再生修补,最终导致穿孔,葡萄膜脱出。

龚纯慧(1985)报告1例,穿孔性巩膜软化症。病人有关节炎病史5~6年,左中指近端指关节软组织梭形肿大,局部无红肿触痛。X线片未见骨质稀疏及关节腔狭窄等。左眼发红继发角膜混浊,内侧巩膜溃烂呈紫蓝色,刺激症状不显。6个月后在内直肌止端上方距角膜5mm处巩膜有4×5mm之圆形溃疡,透过结膜可见蓝色巩膜及紫黑色脉络膜组织。角膜自12至5点处边缘溃烂,眼底正常。经皮质类固醇及板层角膜移植修补,病情得到控制。

2.后巩膜炎

后巩膜炎(Posterior scleritis)系指发生于赤道后部及视神经周围巩膜的炎症。其严重程度足以导致眼球后部组织的破坏,由于此病表现的多样性及在诊断时很少考虑到它,本病在未合并前巩膜炎,外眼又无明显体征,所以本病是眼部最易漏诊的可治疾病之一。但是检查不少被摘出的眼球时,发现患过原发性后巩膜炎或前巩膜炎向后扩展的眼球并不少见,表明后巩膜炎在临床上的隐蔽性。本病也是女性多见于男性,并常见于中年人。

⑴临床症状:后巩膜炎最常见的症状有程度不同的疼痛、视力减退、眼红,但也有一些人没有明显症状,或仅有这些症状中的一种。重症病例有眼睑水肿、球结膜水肿、眼球突出复视,或两者皆有。症状与眼眶蜂窝织炎难以区别。其鉴别点在于本病的水肿程度较蜂窝织炎为明显,而蜂窝织炎的眼球突出,则又较后巩膜炎为显著。疼痛轻重不等,有的甚轻,有的极度痛苦,常与前部巩膜炎受累的严重程度成正比。病人可能主诉眼球本身痛或疼痛涉及眉部、颞部或颧颞部。

视力减退是常见的症状,其原因是伴有视神经视网膜病变。有些人主诉由于近视减轻或远视增加而引起视力疲劳,这是后巩膜弥漫性增厚导致眼轴缩短,更换镜片可使症状缓解。

临床和病理方面均可见,后巩膜炎病人都有前部巩膜受累,表现有穹窿部浅层巩膜血管扩张、斑片状前巩膜炎、结节性前巩膜炎。也可没有眼部充血。但有疼痛和眼充血的病史,或可能已局部用过皮质类固醇治疗。

眼球突出、上睑下垂眼睑水肿,可见于重症巩膜周围炎,这种炎症常扩散到眼外肌或眼眶。因眼外肌炎症可有眼球转动痛或复视。这些症状合并在一起就被称为巩膜周围炎、巩膜球筋膜炎和急性前部炎性假瘤

此外还有一种病变更为表浅,表现为明显的眼球筋膜炎,而巩膜则无明显炎症,James称之为胶冻性眼球筋膜炎。球结膜呈半胶冻状橙红色水肿,如鱼肉状,触之稍硬,压迫时有轻度凹陷,病变可延伸到角膜缘,而眼内仍然正常。但亦有严重者,病变可侵及巩膜而成为胶冻状巩膜炎。

⑵眼底病变:

①界限清楚的眼底肿块:局限性巩膜肿胀区可引起脉络膜隆起。通常围以同心的脉络膜皱褶或视网膜条纹。这类炎症结节常伴有眶周围疼痛,但也可以患病而无明显症状在常规检查中才发现。

②脉络膜皱襞、视网膜条纹和视盘水肿:这是巩膜炎的主要眼底表现。病人常伴有轻度疼痛或穹窿部眼球表层血管充血。邻近视盘之巩膜炎症,偶可致视盘水肿。

③环形脉络膜脱离:有些病例邻近巩膜炎病灶处可见略呈球形的脉络膜脱离,但环形睫状体脉络膜脱离更常见。

渗出黄斑脱离:青年女性后巩膜炎可致后极血-视网膜脱离,这种脱离只限于后极部。眼底荧光血管造影可见多处针尖大小的渗漏区。超声扫描显示眼后极部各层变厚和眼球筋膜水肿。

基于上述,Benson(1982)指出,对原因不明的闭角型青光眼、脉络膜皱褶、视盘水肿、界限清楚的眼底肿块、脉络膜脱离和滪性视网膜脱离等,均应想到此病的可能。  

并发症[编辑 | 编辑源代码]

巩膜炎的眼部合并症较多,且多发于炎症的晚期,合并症依炎症轻重及性质而定。表层巩膜炎约占15%,巩膜炎则高过57%,特别多发于重症坏死性巩膜炎。在炎症扩散及继发眼内炎时,合并症有各种角膜炎或角膜病变、白内障、葡萄膜炎、青光眼及巩膜薄变(缺损)等。

(一)硬化性角膜炎

硬化性角膜炎(sclerosing keratitis),也称进行性巩角膜周围炎(esclero-perikeratitis)。患者多为女性,年龄较大,常双眼受累,反复发作,致使全角膜被波及且并发虹膜睫状体炎或青光眼,导致严重后果。

病变特点为围绕角膜缘部的巩膜组织发生水肿及浸润性变化,并形成稠密的血管新生现象,由角膜缘部浸入角膜深层组织,引起角膜混浊,此混浊常发生于角膜缘部。但也可发生于角膜中央的表面或实质中层,而与巩膜病变部位无联系。角膜混浊开始呈灰白色或灰黄色,以后变为白色,典型的呈舌状或三角形,尖端向角膜中央。并常见在角膜基质板层内残留线状混浊,外观如陶瓷状,这种混浊一旦出现便永不消失。在严重病例混浊可以逐渐发展成环状,仅角膜中央留有透明区,甚至最后此中央透明区亦消失,完全混浊,形成所谓“硬化性角膜”。亦有个别病例在病变过程中,发展成巩角膜边缘性溃疡。

所谓“硬化性角膜”,系指病变角膜组织变为陶瓷样外观而似巩膜,并非有硬化性的病理改变。

(二)角膜溶解或称角质层分离(keratolysis)

本病特点为,在有严重的坏死性巩膜炎或穿孔性巩膜软化时,原来透明的角膜表层,发生角质层分离,溶解脱落,有时脱落范围过数毫米。重症者,后弹力层膨出菲薄,可一触即破。在病变的巩膜亦可发生组织溶解脱落。对于这种溶解,经皮质类固醇激素治疗,可以阻止其发展,说明抑制胶原活性对疾病亦有抑制作用。

(三)巩膜缺损

仅见于最严重的巩膜坏死病例,如果坏死性巩膜炎合并有炎症,则上巩膜血管消失,其下的巩膜组织变为无灌注区,最终变为坏死组织。穿孔性巩膜软化的病例,可在无任何先兆的情况下发生组织坏死。坏死一旦发生则巩膜即变为菲薄透明,时或发生穿孔。

(四)葡萄膜炎

据多数学者的统计,约35%的巩膜病患者并发有葡萄膜炎和视网膜炎。对前及后部葡萄膜炎患者,均应高度警惕是否并存有巩膜炎,反之亦然。后巩膜炎如并发葡萄膜炎则症状凶猛,且时常合并视网膜脱离。亦有人报告前房玻璃体内有炎症细胞。Wilhelmus在组织学上发现脉络膜毛细血管有炎症;视网膜中央动脉和其小动脉,以及后睫状血管周围有套袖状浸润形成。

(五)青光眼

巩膜炎的各阶段,均可发生眼压上升。其原因:①睫状体脉络膜渗出导致虹膜-晶状体隔前移致使房角关闭而发生急性闭角青光眼;②前房中炎症细胞浸润阻塞小梁网及房角;③表层巩膜血管周围淋巴细胞套袖状浸润,致巩膜静脉压上升;④Sehlemm管周围淋巴细胞套袖状浸润,影响房水流出速度;⑤局部、眼周或全身长期应用皮质类固醇,诱发皮质类固醇性青光眼。  

辅助检查[编辑 | 编辑源代码]

由于巩膜炎多见于免疫原性及过敏原性的事实,所以,在治疗前除病史及全身和局部的特征性体征可作为诊断依据外,进行相应的全身系统检查及实验室检查也是必要的。

(一)全身检查

胸部脊柱骶髂关节的X线检查。

(二)实验室检查

血常规血沉肝功能血清尿酸测定、梅毒血清学试验、结核菌素皮内试验等。免疫指标:类风湿因子、外周血T淋巴细胞亚群、外周血免疫球蛋白、免疫复合物测定、抗核抗体、补体C3等。

(三)巩膜炎的前节荧光血管造影

Watson(1984)首先将荧光血管造影应用于巩膜炎的诊断,提出:典型的弥漫型或结节型巩膜炎,荧光血管造影显示血管床的荧光增强与通过时间减低,即在充血的血管显示只有很少或没有血液通过。其充盈形态异常,因为有异常的吻合支开放,形成血管短路。荧光素早期即渗漏到深部巩膜组织中,血管充盈延迟。但如果病中血管通畅时,血液循环最终会恢复。但如血管已经阻塞,那就很少重新开放,最终为新形成的血管所取代。特别有意义的是在具有明显炎症的弥漫型,结节型和坏死型巩膜炎中,发生闭塞的是小静脉,而在穿孔性巩膜软化其阻塞的则是小动脉,特别是深部巩膜丛的小动脉。因此其结果不是像其他类型的坏死性巩膜炎那样,由炎症细胞对被损害的组织进行积极的清除,并被稀疏的纤维组织所取代,而是组织梗塞,并随之分离,逐渐被吸收清除。

目前虽然围绕这些血管的正常充盈和某些主要血管不充盈的问题上还有争议,但通过观察发炎的血管层和伴随巩膜水肿而出现的血管移位,可以鉴别良性的浅层巩膜炎和严重的巩膜炎,有助于巩膜炎早期诊断和进一步研究。

(四)眼底荧光血管造影

有视网膜下渗出液者,荧光血管造影早期可见脉络膜背景荧光呈斑驳状,继而出现多个针尖大小的强荧光区,随后此强荧光区逐渐变大变亮。造影晚期这些病灶的荧光素渗入视网膜下液内。当然,这种荧光造影所见对后巩膜并非特异性的。但这些表现有助于后巩膜炎的诊断。

(五)超声扫描检查

超声扫描是近年诊断后巩膜炎症肥厚不可缺少的方法。B型超声扫描可见球后部变平,眼球后部各层变厚,以及球后水肿。若球后水肿围绕视神经,则可见“T”形征。这种体征表示沿巩膜扩展的水肿与正常圆形视神经阴影成直角。

(六)CT扫描检查

CT显示巩膜厚度,注射增强剂可使其影像增强。也可见球后水肿。但特发性炎性眶假瘤、急性巩膜周围炎和眶蜂窝织炎病例也可有类似表现。

叶荣坤(1983)报告1例后巩膜炎所致单侧眼球突出:女,46岁。因左眼视力下降5个月,眼球突出1个月,眼球运动受限、球结膜弥漫性充血,颞侧赤道部限局性暗红色充血间有结节,压痛明显。眼底视盘充血水肿,隆起2.0D,黄斑部轻度水肿。经全身及局部抗生素及皮质类固醇治疗,病情缓解。刘炳治等(1982)报告后巩膜炎1例,眼球微向前突>健侧2mm,球结膜充血水肿,眼球运动时疼痛加重。视盘边界不清色红前凸,中央静脉充盈迂曲,视网膜轻度水肿,黄斑区有放射状皱襞,中心凹光反射(-)。给与足够量皮质类固醇、血管扩张剂、神经营养剂治疗。视力由0.3上升到0.8。观察2年无复发。  

预防[编辑 | 编辑源代码]

1.饮食调养:此法对预防本病非常重要,平素应避免过食辛辣肥甘滋腻之品,热盛毒甚者,更宜忌食腥发之物,否则有助热生火之弊。应多食素淡果品之类,以清利明目。多食清润之品,使大便通畅,有助于导火邪下行。另外,应戒烟忌酒,以免辛热助火。

2.精神调养:肝开窍于目,怒则伤肝。故宜避免大怒伤肝,以免引起肝火上逆而诱发本病。

3.对素体肺热壅盛者,如兼咳嗽气喘痰涎壅盛舌尖红,苦黄或黄腻,脉浮数。须及时清解肺热,以防日久侵及白睛。可选用桑白皮15克、连翘15克、地骨皮15克、防风10克、杏仁10克、黄芩10克、牛蒡子10克、葶苈子10克双花21克,水煎服。

4.对素体阴虚火旺,伴有失眠盗汗骨蒸潮热,五心热烦,舌红少苔脉细数的患者。可选用滋阴泻火之剂,药用生地黄15克、知母10克、黄柏10克、女贞子15克、菊花15克、地骨皮15克、银柴胡15克、生甘草10克,水煎服,日一剂。

5.对患有类风湿性关节炎、结核、麻风、梅毒和其它部位有病灶感染者,需尽早治疗,以防漫延至巩膜而成该病。

参看[编辑 | 编辑源代码]