输卵管炎

来自医学百科

输卵管炎在不孕妇女中较为常见,其病因是由于病原体感染引起,病原体主要有葡萄球菌链球菌大肠杆菌淋球菌变形杆菌肺炎球菌、衣原体等所引起。最容易发生感染的时间是产后、流产后或月经后。分娩或流产时所造成的产道及胎盘剥离面的损伤或月经期子宫内膜剥脱的创面,都是病原体感染内生殖器的途径。有时感染是与不严格的无菌手术操作有关, 如宫内节育器的安放、刮宫手术、输卵管通液、碘油造影等。性生活过频、月经期性交,也都可以引起感染而发生输卵管炎。少数病人是因邻近器官的炎症直接蔓延而来,如阑尾炎或机体其它部位的感染灶经血行传播达输卵管引起感染。

输卵管结构图

  

病理[编辑 | 编辑源代码]

输卵管炎首先发生的部位往往是输卵管内膜,造成内膜肿胀,间质水肿,充血渗出等病变,输卵管粘膜上皮脱落,使粘膜互相粘连或输卵管伞端粘连,导致管腔闭锁而不孕。

输卵管功能图

  

症状[编辑 | 编辑源代码]

输卵管炎,输卵管炎为女性高发病,如阴道炎宫颈炎子宫内膜炎的病原菌上行感染,人工流产、药物流产、上环、取环等宫腔操作也易并发输卵管炎,此外腹腔手术、兰尾炎也会波及输卵管引起输卵管炎症。炎症急期输卵管管腔内膜充血肿胀、分泌渗出,由于治疗不及时或身体抵抗力差,分泌物未能全部吸收,在输卵管内纤维化堵塞输卵管。输卵管堵塞是输卵管即往炎症的病理表现,表面症状不明显,不痛不痒,几乎100%的人都是在检查不孕不育中发现的。  

分类[编辑 | 编辑源代码]

输卵管炎分为急性输卵管炎慢性输卵管炎两种。

急性输卵管炎为一化脓性病理过程,其病原菌多来自下生殖道,常发生于流产、足月产、月经及宫内手术后。当细菌多、毒力强或机体抵抗力降低时,易发生本病。按致病菌的不同种类将急性输卵管炎分成两类:一类为特异性淋病双球菌感染,淋菌沿宫颈粘膜,子宫内膜扩散至输卵管粘膜;另一类为非特异性化脓性细菌感染,细菌由子宫内膜通过淋巴管血管进入子宫结缔组织,最后导致输卵管周围炎和输卵管炎。急性输卵管炎症若进一步发展,可导致急性盆腔腹膜炎急性腹膜炎.  

急性输卵管炎[编辑 | 编辑源代码]

诊断依据[编辑 | 编辑源代码]

(一)临床表现

1.症状 输卵管感染后轻者体温不一定很高,重者出现寒战高热,体温可达39一40℃,甚至发生败血症,并伴下腹部两侧剧烈疼痛,白带增多或有阴道不规则出血;有时伴有尿频尿痛等症状。

2.体征 轻者腹胀,下腹部一侧或两侧有显著压痛;重者腹肌紧张,下腹部压痛反跳痛明显。妇科检查:白带为脓性或血性,阴道有灼热感,宫颈有上举痛,子宫一侧或两侧有触痛,有时可能触到肿大的输卵管。

(二)辅助检查

1.血液检查 白细胞总数在1OOOO/立方毫米以上,中性白细胞在80%以上。

2.血培养 有寒战,高热者应作血培养检查,以了解病情,明确致病菌的种类及致病菌对药物的敏感性,以便在应用抗生素时做到有的放矢。

3.尿道子宫颈分泌物涂片或培养以了解致病菌。

4.后穹窿穿刺可穿刺出渗出液或脓液。

(三)病理检查

1.急性淋菌性输卵管炎 以输卵管粘膜炎为主。

(1)巨检 输卵管红肿变粗,输卵管周围可能有稀薄的纤维蛋白性渗出物,但伞端开口通畅,挤压管壁时,腔内脓性渗出物可沿此伞端开口流出。

(2)镜下检查 粘膜皱襞水肿,血管明显充血,上皮下层有嗜中性白细胞浸润,病变早期白细胞浸润多局限于粘膜层,随后亦可波及肌层,甚至蔓延至浆膜层

2.非特异性急性化脓性输卵管炎

(1)巨检 输卵管显著增粗充血,输卵管周围有纤细的纤维蛋白性腹膜粘连带,并可能覆盖住伞端开口。

(2)镜下检查 粘膜上皮基本正常,可能出现轻度水肿,但肌层有重度水肿和大量嗜中性粒细胞浸润,且常与输卵管系膜内的炎症性病变直接相连。  

鉴别诊断[编辑 | 编辑源代码]

(一)急性阑尾炎发热腹部剧痛等症。但急性阑尾炎发病较急,发热不超过38℃。腹痛的特点开始为上腹部或全腹痛、脐周痛,数小时后局限于右下腹部,常伴有恶心呕吐。无阴道出血。腹部检查时麦氏点有压痛及反跳痛,腹肌紧张,比急性输卵管炎显著。妇科检查则生殖器官无异常发现。肛门检查右上方肠区有抵抗触痛。化验检查白细胞及中性粒细胞数均增高。阑尾穿孔并发腹膜炎时鉴别较困难。这时腹痛、触痛,腹肌紧张均累及整个下腹部极似急性输卵管炎。盆腔检查右侧可有触痛及抵抗感,而急性输卵管炎多为双侧触痛。

(二)输卵管妊娠破裂 临床上亦表现有腹部剧烈疼痛,且伴有少量阴道出血等症。但本病发病突然,有停经史及早期妊娠反应。腹痛特点为下腹一侧剧烈坠痛,继之全腹痛,常伴有失血性休克。一般无发热。腹部检查发现全腹有压痛,以下腹一侧压痛剧烈,有反跳痛及移动浊音。妇科检查时宫颈有触痛,后穹窿饱满有触痛,子宫有飘浮感,一侧附件可触及有弹性压痛实质块。白细胞总数一般在正常范围内,血红蛋白红细胞数降低。妊娠试验可呈阳性反应。后穹窿穿刺为不凝固的暗红色血液。

(三)急性肾盂炎 女性尿道短而直,细菌易侵入。本病发病突然,体温高达38℃以上,可伴有寒战,腹痛。但肾盂炎的疼痛主要在上腹部,亦可波及全腹。多数有明显腰痛,腰痛部位局限,肾区肋角有显著触痛及叩击痛。多数有尿频、尿急、尿痛等膀胱刺激症状。尿常规检查有脓球、红细胞存在。尿细菌培养多为阳性。

(四)卵巢囊肿蒂扭转 可出现下腹部一侧绞痛,恶心、呕吐。但卵巢囊肿蒂扭转发病突然,常与体位突然改变有关。有的患者有下腹部肿块史,无发热,无阴道出血。疼痛发生后原有肿块可增大。腹部检查于下腹部可触及肿块,触痛明显。妇科检查时一侧附件区触及囊性肿块,表面光滑,活动,触痛明显,同侧子宫角有压痛。白细胞数增高或正常。

(五)急性肠系膜淋巴结炎 可有高热,腹痛,腹部检查时下腹部有压痛。但急性肠系膜淋巴结炎多见于儿童,常有呼吸道感染病史。腹痛初起于右下腹部,呕吐少见。腹部检查时右下腹部有触痛,范围较广泛,触痛部位与肠系膜根部方向符合,即由右下腹斜行延至上腹中线左侧,有时可触及肿大淋巴结

(六)急性结肠炎 有腹痛,腹部检查有触痛。但本症有进不洁食物病史,伴有呕吐,腹泻,腹痛时有排便感,排便后腹痛出现一时性缓解。腹部检查时无腹肌紧张。粪便检查可发现脓细胞。妇科检查未见异常。

(七)局限性回肠炎 在急性发作时有腹痛,发热,腹部检查有触痛及白细胞增高等。但本病腹痛特点为阵发性疼痛,类似肠梗阻且有多次发作史,常合并腹泻。腹部检查时有触痛,腹肌强直较广泛,触痛最显著部位,有时随体位改变而变更。妇科检查未见异常。

(八)过敏性紫癜 有腹痛,下腹部有触痛,腹肌紧张等表现。但过敏性紫癜多见儿童及青少年,多发生于上呼吸道感染后。每次发作时腹痛的部位不固定,腹部症状与体征的表现不一致。此外多数有腹泻、恶心、呕吐、皮疹便血血尿关节痛,血中嗜酸粒细胞增多。仔细询问则有过敏史

(九)卵巢滤泡黄体破裂可引起腹痛,下腹部有触痛,腹肌紧张,白细胞轻度增高等。但本病腹痛是由于出血引起,突然发病,开始较剧烈,随后可减轻,出血较多时,腹痛亦常为持续性,阵发性加重,并可能放射至肩部。有下坠排便感。妇科检查时宫颈有触痛,后穹窿饱满,子宫有飘浮感。后穹窿穿刺可抽出不凝血液。追问病史对诊断极为重要,卵巢滤泡破裂发生于排卵期,多在两次月经间的中期。黄体破裂则在月经中期以后,约在下次月经前14天之内。

(十)大网膜扭转或梗塞 有腹痛,低热,腹部检查下腹触痛,腹肌紧张,白细胞中度增多。但大网膜扭转或梗塞的病程进展不如急性炎症快,腹痛表现为右下腹或脐周围腹痛,卧位或弯腰时腹痛常减轻。如大网膜组织较多时,可触及一肿块。

(十一)输卵管脓肿 本病由输卵管炎发展而来。临床上以输卵管卵巢脓肿为多见,临床症状及体征类似急性输卵管炎,但妇科检查时往往可触及肿大的输卵管,肿块为囊性,但与周围组织粘连而不活动,当管壁组织机化后囊感逐渐不明显。

(十二)急性盆腔腹膜炎及急性腹膜炎 全身症状明显,腹膜刺激症状明显,甚至出现中毒性休克症状,高热不退,腹肌强直,压痛、反跳痛明显,妇科检查宫颈、宫体及后穹窿均有明显触痛。白细胞总数及中性粒细胞明显增高,腹腔或后穹窿穿刺可穿出脓性液体。  

急性输卵管炎的治疗[编辑 | 编辑源代码]

(一)一般支持及对症治疗:绝对卧床,半卧位以利引流排液,并有助于炎症局限。多进水及高热量易消化的半流质饮食。高热者应补液,防止脱水电解质紊乱。纠正便秘,服用中药,如番泻叶,或用生理盐水或1、2、3剂灌肠。疼痛不安者可给镇静剂止痛剂急性期腹膜刺激症状严重者,可用冰袋或热水袋敷疼痛部位(冷或热敷以病人感觉舒适为准)。6~7天后经妇科检查及白细胞总数、血沉的化验证实病情已隐定,可改用红外线或短波透热电疗。

(二)控制感染:可参考宫腔排出液的涂片检查或细菌培养与药敏结果,选用适当抗生素。由于此种炎症多系混合感染,而在我国致病菌大多为大肠杆菌及类杆菌属,尤其是脆弱类杆菌,而淋菌或衣原体感染均较少见,故可选用庆大霉素8万U,日2~3次肌注,或24万U静滴,如灭滴灵0.4g日服3次。庆大霉素对抗大肠杆菌效果较好,而灭滴灵对厌氧菌有特效,且毒性小,杀菌力强,价廉,因而已被广泛应用。严重者可静脉点滴广谱抗生素如头孢菌素丁胺卡那霉素氯霉素等。治疗必须彻底,抗生素的剂量和应用时间一定要适当,剂量不足只能导致抗药菌株的产生及病灶的继续存在,演变成慢性疾患。有效治疗的标志是症状、体征逐渐好转,一般在48~72小时内可看出,所以不要轻易改换抗生素。

严重感染除应用抗生素外,常用时采用肾上腺皮质激素。肾上腺皮质激素能减少间质性炎症反应,使病灶中抗生素浓度增高,充发发挥其抗菌作用,并有解热抗毒作用,因而可使退热迅速,炎症病灶吸收快,特别对抗生素反应不强的病例效果更好。静滴地塞米松5~10mg溶于5%葡萄糖溶液500ml,1日1次,病情稍稳定改为每日口服强的松30~60mg,并渐减量至每日mg,持续1周。肾上腺皮质激素停用后,抗生素仍需继续应用4~5天。

(三)脓肿局部穿刺及注射抗生素:脓肿形成后,全身应用抗生素效果不够理想。如输卵管卵巢脓肿贴近后穹窿,阴道检查后穹窿饱满且有波动感,应行后穹窿穿刺,证实为脓后,可经后穹窿切开排脓,放置橡皮管引流;或先吸净内容物,然后通过同一穿刺针注入青霉素80万U加庆大霉素16万U(溶于生理盐水中)。如脓液粘稠不易抽出,可用含抗生素之生理盐水稀释,使逐渐变成血性血清样物后易被吸出。一般经2~3次治疗,脓肿即可消失。

(四)如盆腔脓肿穿孔破入腹腔,往往同时有全身情况的变化,应立即输液、输血,矫正电解质紊乱,纠正休克,包括静滴抗生素和地塞米松等药物。在纠正一般情况的同时应尽速剖腹探查,清除脓液,尽可能切除脓肿。术毕,下腹两侧放置硅胶管引流。术后应用胃肠减压静脉滴注广谱抗生素,继续纠正脱水及电解质紊乱,输血,以提高身体抵抗力。

慢性输卵管炎可能起病即为慢性,也可能是由急性炎症未经治愈所遗留的后果。可分为慢性间质性输卵管炎、峡部结节性输卵管炎、输卵管积脓输卵管积水、输卵管积血等。  

慢性输卵管炎[编辑 | 编辑源代码]

诊断依据[编辑 | 编辑源代码]

(一)临床表现

1.症状 主要表现为:①下腹部不同程度疼痛,多为隐痛,腰骶部酸痛,下坠感;②月经异常,表现如经量增多,周期不规则;③痛经,因盆腔充血,多半在月经前一周开始出现腹痛,越临近经期愈重,直至月经来潮;④白带增多。有的患者除不孕外也可无任何自觉症状。

2.体征 子宫常呈后倾或后屈,活动受限制或粘连固定,如为输卵管炎,则在子宫一侧或两侧可触及增粗的输卵管,呈索条状,并有轻压痛;如有输卵管积水或输卵管卵巢囊肿,则可在盆腔的一侧或两侧摸到囊性肿物。

(二)病理检查

1.慢性间质性输卵管炎 是临床上较为多见的一种慢性输卵管炎。

(1)巨检 输卵管增粗肥大,伞端多内翻闭锁而呈杵指状。输卵管蜷曲,并常与卵巢及阔韧带后叶粘附在一起不易分离。

(2)镜下检查 输卵管各层特别是粘膜层均有广泛的淋巴细胞浆细胞浸润,上皮细胞增生肥大,有时形成假复层,未分化细胞明显增多,但无异型性。

2.峡部结节性输卵管炎

(1)巨检 输卵管峡部因肌层肥厚而增粗,且在肌层中散布有数个黄色或棕色坚实结节,其大小约1—2厘米不等。

(2)镜下检查 在峡部肌层中散布着由输卵管上皮所形成的腺腔,腔外肌纤维增生肥大,并可能有少量淋巴细胞浸润。

3.慢性输卵管积脓

(1)巨检 慢性输卵管积脓时,输卵管增粗,管腔中含有粘稠的脓性分泌物。粘膜表面灰白呈颗粒状或光滑而有光泽,皱襞萎缩。如与卵巢连接,可形成输卵管-卵巢脓肿

(2)镜下检查 管腔粘膜皱襞变平,间质有淋巴细胞.嗜中性白细胞及浆细胞浸润,可累及全肌层。

4.输卵管积水

(1)巨检 输卵管积水的管壁光滑,壁薄而透明,伞端封闭。管内含清亮液体。

(2)镜下检查粘膜皱襞大部消失,上皮变扁平成低柱状,甚至可萎缩呈内皮细胞形态。在管壁各层均无炎症细胞浸润。

5.输卵管积血

(1)巨检 输卵管腔内含有血液。

(2)镜下检查 上皮多萎缩变成单层扁平上皮。输卵管壁常萎缩成为致密的纤维层。  

鉴别诊断[编辑 | 编辑源代码]

(一)陈旧性宫外孕 临床表现有腹痛,月经异常,盆腔检查于一侧可触及肿块等易与慢性输卵管炎混淆。但陈旧性宫外孕有停经史,突然出现下腹部疼痛,伴恶心,头晕内出血症状,疼痛可自行缓解,后又反复多次突然发作,下腹部出现肿块且伴有持续少量出血。病人呈贫血貌。妇科检查时肿块多偏于一侧,质实而有弹性,形状极不规则,压痛较炎症轻。可通过后穹窿穿刺吸出陈旧性血液及小血块

(二)子宫内膜异位症可有痛经,月经多,性交痛,排便痛,不孕及盆腔肿块粘连等体征而易与其相混。但子宫内膜异位症患者无急性感染病史,经过各种抗炎治疗而毫无效果。其痛经特点为继发性、进行性加重,经前开始,经期剧烈并持续至经后数日。妇科检查则盆腔中有明显的粘连,子宫均匀性增大,并固定于后倾后屈的位置,子宫直肠窝处,特别是子宫骶骨韧带有不规则硬结节及触痛。必要时可用药物试验治疗。

(三)双子宫肌病 有痛经,检查时盆腔有肿块易相混。但双子宫腺肌病,腹痛规律同单子宫,仔细检查可触及两个肿块,形状皆似子宫。行子宫碘油造影可发现畸形子宫。 .

(四)卵巢囊肿 肿瘤为囊性,位于下腹一侧,肿块以外可扪到子宫体,故与输卵管积水难以鉴别。但卵巢囊肿无炎症病史。妇科检查时肿瘤呈圆形或椭圆形较多,表面光滑且活动。典型输卵管积水呈香肠样,肿块周围有粘连,一般囊壁较薄。如输卵管积水较大或发生扭转时,则两病不易鉴别。手术时方能确诊。

(五)慢性阑尾炎 大多数慢性阑尾炎患者并无典型急性阑尾炎发作病史,仅诉右下腹痛或同时有胃肠道功能障碍症状,阳性体征亦不明显,故需与慢性输卵管炎区别。X线钡餐检查可有一定帮助。如阑尾不能显示,但盲肠内侧有局限性压痛,且压痛部位随盲肠位置的改变而移动。妇科检查子宫及附件无异常。

(六)输卵管结核 可表现月经失调,腰痛,下腹隐痛,不孕等症。但输卵管结核患者多无急性炎症病史。往往于生殖器以外脏器如肺、肠、腹膜等有结核病灶存在。月经失调以闭经表现为多见。子宫内膜活体组织检查,大部分可发现结核病灶。血沉快、胸部透视、胃肠与盆腔X线摄片以及子宫一输卵管碘油造影可帮助诊断。

(七)卵巢冠囊肿 于盆腔触及囊性肿块则应与输卵管积水鉴别,一般说鉴别较为困难。但卵巢冠囊肿无炎症病史。妇科检查肿物呈圆形囊感明显,活动,无粘连。  

治疗原则[编辑 | 编辑源代码]

( 一 ) 保守治疗

1. 适当休息 , 加强营养。

2. 理疗 促进血液循环 , 以利炎症吸收。常用的方法有短波、超短波、透热电疗、红外线照射等。

3. 阴道侧穹隆抗生素封闭 采用抗生素加地塞米松一并注入侧穹隆 , 每日或隔日 1 次 ,7-8 次为一疗程 , 必要时下次月经后重复注射 , 一般需注射 3-4 疗程。

4. 宫腔输卵管内注射抗生素 : 采用抗生素如青霉素、庆大霉素等 , 并加透明质酸酶糜蛋白酶或地塞米松。

5. 药物治疗粘连

(1) 糜蛋白酶 2.5-5 mg , 肌肉注射 , 隔日 1 次 , 共 5-10 次。

(2) 透明质酸酶 1500 U, 肌肉注射 , 隔日 1 次 , 共 5-10 次。

(3) 菠萝蛋白酶 6 万 U, 每日 3 次 ,7-10 日为一疗程。

(二)手术治疗 腹腔镜下或宫腔镜下手术。

(1)输卵管造口术:对输卵管积液伞部粘连梗阻患者,施行伞部再造术,解除梗阻粘连,可增加受孕生育机会。

(2)输卵管植入术:对峡部部分粘连堵塞者可切除粘连部分,将剩余部分从宫角植入,成功率不高。

(3)输卵管扩张术:在宫腔镜或输卵管镜下从宫角部探查,试扩张输卵管,并酌情保留支架1~2周,防止再粘连。术中要严格无菌操作,防止医源性感染或炎症扩散。有条件单位,可行X线介入治疗技术,如同扩张心冠状动脉法来扩张输卵管近端阻塞。

(4)对炎症破坏明显难以保留输卵管者,酌情切除输卵管。对输卵管阻塞不孕患者手术后,必须追踪随访,对妊娠者注意及时发现并治疗异位妊娠

(三)中医法 治则多以活血化瘀、软坚散结为主。

(1)口服中药,主方桃红四物汤加减。各地中成药较多加妇康片健妇片、妇炎康等。

(2)中药液保留灌肠,中药消毒液(紫花地丁蒲公英败酱子等)100ml,加1%普鲁卡因5ml,加温 40士1℃保留灌肠,1-2次/d。7-10d一疗程。月经期停用。

(3)中药袋外敷,中药袋热敷,自制中药带贴带于下腹部。

(4)中药坐浴或灌注,有慢性宫颈炎或慢性盆腔炎,可酌情应用中药液坐浴或阴道灌洗、塞药。如洁尔阴液肤阴洁液、夜夜安液等  

慢性输卵管炎易致不孕[编辑 | 编辑源代码]

慢性输卵管炎、盆腔腹膜炎多由患急性输卵管卵巢炎、盆腔腹膜炎时治疗不彻底或未予重视治疗所致。慢性炎症反复发作,迁延日久,使盆腔充血,结缔组织纤维化,盆腔器官相互粘连。患者下腹部坠胀疼痛是最常见的症状,并且往往在经期或劳累后加重,同时白带增多,月经量有可能增多,腰骶酸痛,部分病人还可有性交痛。妇科检查时见子宫后屈,活动差,子宫旁可扪及增粗的输卵管,有压痛。如果有炎性包块形成,检查时可在宫旁或子宫后方触及包块,活动不良,有压痛。

慢性输卵管炎长期不愈,可以引起输卵管内粘膜粘连,使输卵管堵塞,继发不孕症,或输卵管管腔不完全阻塞,增加异位妊娠的发生机会。当输卵管伞端因炎症而粘连时,还可以出现输卵管积水,但患者可能没有明显自觉症状。

Bk82f.jpg

  

输卵管炎的影像学表现[编辑 | 编辑源代码]

1.经X线的子宫输卵管造影:慢性期造影表现输卵管痉挛、阻塞、粘连积水。

(l)痉挛表现子宫角不充填,子宫呈圆形影。

(2)完全梗阻

①角部梗阻子宫呈三角形,不见两侧输卵管;

②峡部梗阻其近端略扩大;

③伞部梗阻,输卵管扩大如香肠。

(3)部分梗阻:造影剂通过输卵管比较缓慢,但24小时后可进入盆腔,只局限于伞端或某一部位,呈油珠状。

(4)输卵管积水常发生在远端,造影见近端输卵管清晰或增粗,远端连一肿大梭形或球形阴影,造影剂呈油珠簇集在肿大阴影内而不散布于腹腔。24小时后摄片复查,囊内油珠仍无外溢。

2.超声表现:

(1)输卵管积水者呈典型液性暗区,积脓者暗区内散在光点。

(2)少量积液时,输卵管内见长形暗区,管壁增厚欠光滑;中量积液呈腊肠样暗区,管壁变薄;大量积液呈椭圆形或圆形暗区,壁薄而光滑。输卵管积液有时可呈分段型。

(3)输卵管卵巢囊肿则液性暗区与卵巢相延续。

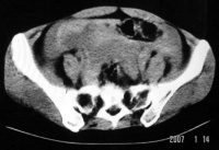
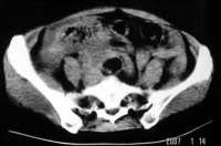
3.CT表现:

(1)输卵管积液或输卵管卵巢囊肿在大多数病例中不能与其他囊性肿块鉴别。

(2)输卵管-卵巢脓肿直径需>2cm以上CT才易于显示,表现为混杂密度肿块,边缘光滑或有毛刺,壁厚而不规则,脓肿壁在增强后比一般囊肿有更明显的强化。当囊内有气体存在时,对诊断脓肿有帮助。

(3)积液时CT值为0~15HU,积脓时CT值为15~40HU。

在三种影像学检查方法中,临床以经X线的子宫输卵管造影检查应用最多,它不但能看到子宫大小形态是否正常,内膜是否光滑,输卵管是否通畅,如果不通,堵塞的具体部位在哪里以及输卵管的通畅程度(是完全通畅还是通而不畅),而且能从子宫内膜和输卵管内膜的情况看出感染是否为结核性。有关此种检查方法的详细情况请点击中华输卵管专业网输卵管炎栏目。目前,它已经以诸多的实用价值和低廉的价格为大多数的输卵管性疾病患者所采用。  

慢性输卵管炎的预防[编辑 | 编辑源代码]

如果是患了慢性输卵管炎的后果,是较为严重,因就诊治疗不及时,迁延时久,那就更难治愈,对女性的身心健康造成极大的危害。所以减少本病发生的关键是及早做好预防工作,从先期入手,及时做到以下几点,以杜绝病原体的侵入。女性朋友们应该懂得为自己的身体健康时刻警惕。

一、女性在过性生活时,应注意自己及性伙伴的个人卫生。行房事前,需清洗男女双方的外生殖器,防止病菌的顺利入侵。女性当阴道有出血症状时,应自我克制禁止性生活。

二、女性应注意自己的外阴卫生及个人清洁卫生;注意防止来自洁具及卫生间内的感染。

三、广大妇女应注意自身的营养保健,加强月经期、人工流产后、分娩后的营养;增强自身体质,增加抵抗力、免疫力,减少患病的机会。

四、需进行人工流产术、分娩术、取放宫内节育器术,及其他官腔术时,应进行严格消毒,避免经手术将病菌带入阴道及子宫,人为造成感染。

五、患有急性输卵管病症的女性患者,要取半卧位休息,防止和限制炎性液体因体位变化而流动。进食高营养、易消化,富含维生素的食品。

六、女性一旦患有附件疾病,应遵守治疗原则,采取积极态度,彻底治疗,尽快控制病情,防止转为慢性。  

输卵管有炎症能怀孕[编辑 | 编辑源代码]

输卵管炎是由于致病菌的感染,造成输卵管的炎症变化,多发于生育年龄段的妇女,输卵管炎一般与卵巢炎合并存在,中医认为,输卵管炎与湿、热、毒有着密切关系。主要临床表现,为两侧小腹疼痛、脓血性白带、腰骶疼痛下坠,月经紊乱,不孕等。

引起急性输卵管炎最常见的致病菌为链球菌、葡萄球菌、大肠杆菌及绿脓杆菌,其次为厌氧性链球菌、脆弱杆菌等。本病多发生于生育期年龄的妇女,绝经期后较少发生。炎症如果不进行积极治疗,很可能导致输卵管阻塞或通而不畅。病变原因以炎症为主,但非炎症病变率却在逐渐地增加,也不可忽视。输卵管发育异常输卵管发育异常较少见,也不容易被发现,常与生殖发育异常并存,导致不孕或宫外孕。

Bk82g.jpg

  

输卵管炎引起宫外孕[编辑 | 编辑源代码]

近年来,在造成女性不孕的因素中,因输卵管堵塞或通而不畅的占了约1/3的比例,成为女性不孕的重要原因,而且该种原因引起不孕症的比例仍有上升趋势。临床研究发现,输卵管炎会会引起宫外孕,这是怎么回事的呢?  

输卵管炎症引发宫外孕不可小视[编辑 | 编辑源代码]

对想要小宝宝的女性朋友们来说,最可怕的也许不是因输卵管炎症导致的不孕,而是危险的宫外孕。宫外孕约有98%发生在输卵管。在正常情况下,输卵管通过纤毛的摆动及输卵管平滑肌蠕动,把受精卵输送到宫腔,输卵管炎症引起管腔闭塞、积水或粘连,均会妨碍精子卵子或受精卵的运行,致使受精卵到达宫腔产生障碍而发生宫外孕。据介绍,因受精卵在输卵管妊娠是难以持久的,在停经后1—2月内,逐渐长大的受精卵就会撑破输卵管,会造成大出血,引起休克,甚至危及生命。

Bk82h.jpg

  

疏忽大意致输卵管炎症[编辑 | 编辑源代码]

输卵管是女性生殖系统的主要组成部分之一,具有输送精子、卵子和受精卵以及提供精子贮存、获能生理功能。输卵管任何部位阻塞都可能引起输卵管功能障碍而导致不孕。目前,输卵管性不孕的病因多以炎症为主,尽管引起炎症的原因有多种,但女性朋友不注意保护自己或对急性输卵管炎治疗不彻底或不及时是导致慢性输卵管炎的重要原因。引起慢性输卵管炎的致病菌有细菌、病毒等,其中又以细菌感染最多见。研究发现这些病原菌又多在不洁流产、不全流产、人工流产中发现,与因不孕前来就诊的不少女性朋友在此前多有流产或多次流产的经历相吻合,因此,女性朋友不慎重对待流产或在流产后不注意休息、防止感染都可能导致输卵管炎症。

此外,由于下生殖道炎症上行感染,如慢性子宫颈炎、子宫内膜炎等,也可引起输卵管炎症改变,如果治疗不恰当或不彻底就可发展至慢性输卵管炎。输卵管炎还可由于输卵管周围器官或组织炎症而继发,尤其是在输卵管伞部或卵巢周围形成炎症粘连,使输卵管伞部不能将排出的卵细胞吸入卵管内与精子相遇,造成不孕。

还有,由于慢性输卵管炎在临床表现上可无明显的不适感,因此也容易让女性朋友们忽视,从而错过了最佳的治疗时机,造成不孕。

输卵管炎症引来不孕大麻烦分析:预防输卵管炎降低伤痛。因输卵管炎是容易被女性忽视的疾病,除了带来宫外孕的危险,还会带给女性不孕的痛苦,甚至危及家庭的幸福。临床上不少女性因不孕来就诊时才发现是输卵管炎造成的,而此时她们已错过了最佳的治疗和孕育时机,有的女性朋友因此而踏上了漫长的求医之路。  

引积极预防炎症,才能防止不孕的发生[编辑 | 编辑源代码]

尽管目前运用中西医结合的疗法治疗因输卵管炎造成的不孕效果不错,但我们建议,对于此病,预防才是最重要的,比如采取避孕措施,避免频繁流产造成的宫腔操作,另外积极治疗和预防阴道炎、宫颈炎等炎症降低其上行感染的能力,才能将因输卵管炎造成的不孕发生率降到最低。