黄体
来自医学百科
corpusluteum
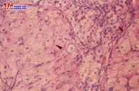
黄体为排卵后由卵泡迅速转变成的富有血管的腺体样结构。如未受精形成的称月经黄体,如受精则为妊娠黄体。排卵后卵泡壁塌陷,颗粒层向内形成皱襞,伴有卵泡膜内层毛细血管出血,伤口愈后,卵泡腔封闭,腔内充满浆液性液体及血液,同时基膜崩溃,结缔组织和血管随之长入粒层,在黄体生成素作用下,颗粒细胞和卵泡膜内层细胞分裂增生,细胞成多边形,胞质内有黄色颗粒和脂滴,呈黄色,故名。黄体细胞以颗粒细胞占多数,细胞大,着色浅,分泌孕酮;泡膜黄体细胞小,大部位于黄体外周,细胞较少,核和质都较黄体细胞深,分泌雌激素。黄体存在时间多少,视排出的卵受精与否,若卵子未受精,黄体仅维持二周即萎缩,被结缔组织结疤所代替,即白体(corpusalbicans);若卵子受精成功并开始妊娠,黄体继续增长,至妊娠2~3月后慢慢萎缩。
黄体由两种细胞组成:
粒黄体细胞(Granulosa lutein cell) :由卵泡颗粒细胞转变成粒黄体细胞,位于黄体中央,细胞大,染色淡,主要分泌孕酮。
膜黄体细胞(Theca lutein cell):位于黄体周边,表面不平坦。细胞小,染色深,主要合成雌激素。
| ||||||||||||||||||||||||||||||||||||||||