脑干脑炎

来自医学百科

是指发生于脑干炎症,病因和发病机制多不明确,可能为病毒感染或炎性脱髓鞘。临床特点包括:常有前驱感染史,急性或亚急性起病,主要表现为多颅神经损害共济失调、长束征、意识障碍。小儿报道较少,而以心血管表现为临床特点的小儿脑干脑炎更为少见。

简介[编辑 | 编辑源代码]

脑干脑炎是发生于脑干的炎性脱髓鞘病变,临床上不多见,它转化为多发性硬化的几率为30%-50%,多留有后遗症。本病的特点为:多发于青壮年;常为急性或亚急性发病,并进行性加重;发病前约有半数有上呼吸道或肠道感染史,临床表现有一侧或两侧脑干受累的症状体征脑脊液改变较少。常有前驱感染史,急性或亚急性起病,主要表现为多颅神经损害、共济失调、长束征、意识障碍。小儿报道较少,而以心血管表现为临床特点的小儿脑干脑炎更为少见。  

临床表现[编辑 | 编辑源代码]

脑干脑炎病症的严重程度,差别很大,轻度脑炎的症状跟任何病毒感染相

脑干脑炎

同:头痛发热、体力衰弱、没有食欲。较严重的脑干脑炎症状,是脑的功能受到明显的影响,造成心烦气躁、不安及嗜睡,最严重的症状是臂部或腿部肌肉无力,双重视觉复视)言及听觉困难,有些病例的嗜睡现象,会转变为昏迷不醒。

轻度脑干脑炎很常见,甚至会不为人所察觉。但在一千个麻疹病例中,大约会有一个引发轻度脑干脑炎。其危害程度,要看患者的年龄,及造成脑干脑炎的感染原是哪一种而定。

婴儿及老年人患脑干脑炎可能会致命,但其他年龄的人患脑干脑炎则可能会完全复原,有时候是在经过长时间患重病之后复原。虽然脑干脑炎可能造成脑的永久性损害,但产生严重后果的百分比却不高。

1.全身毒血症状:发热、头痛、身痛、恶心呕吐乏力。少数有出血疹及心肌炎表现。热程约7~10天。

2.神经系统症状:意识障碍,脑膜刺激征。第2病日后,可出现颈肌及肩胛肌弛缓性瘫痪,以致头下垂及手臂不能上举,摇摇无依。脑神经下肢受累少见。瘫痪约2~3周可恢复,约半数肌肉萎缩。轻症可无明显神经症状。  

疾病类型[编辑 | 编辑源代码]

Ⅰ级表现为肌震颤和共济失调,5%的患者留下永久性神经系统后遗症。

Ⅱ级表现为肌震颤和颅神经受累,可致20%的患者留下后遗症。

Ⅲ级表现为心肺功能迅速衰竭,80%的患者死亡,生存者均有严重后遗症。  

诊断依据[编辑 | 编辑源代码]

血象[编辑 | 编辑源代码]

白细胞1~2万,中性增高。

脑干脑炎

  

脑脊液压力[编辑 | 编辑源代码]

脑脊液压力稍高,细胞计数一般在0.2×109以下,淋巴细胞占多数。糖及氯化物正常。  

补体结合试验[编辑 | 编辑源代码]

双份血清效价增长4倍以上者或单份血清效价1:16以上可确诊。  

血凝抑制试验[编辑 | 编辑源代码]

双份血清效价增长4倍以上者或单份血清效价1:320以上可确诊。  

病毒分离[编辑 | 编辑源代码]

病初以血清与脑脊液分离病毒,但阳性率低,死后可取脑组织分离病毒。  

治疗原则[编辑 | 编辑源代码]

有些最危险的脑干脑炎(例如由单纯性疱疹病毒所引的脑炎),现在已可用诸

脑干脑炎

阿拉伯糖腺嘌呤,或无环乌苷,或干扰素等药物来治疗。尽管这些药物的疗效仍在评估中,但是对治疗危险脑干脑炎总是一个机会,否则患者一定会死亡。由于造成脑干脑炎的其他病毒,大多对抗生药物没有反应,因此基本的治疗是采取一些措施,使症状缓和下来,让身体的自然防御力量去克服感染。在大多数情况下,只要保持舒适,营养充足就行了。有时候,类固醇药物能够抑制发炎。如果已昏炎不醒,用鼻胃管给喂食,用呼吸机来协助呼吸。严重脑干脑炎可能恢复得很慢,可能需要接受特种治疗、学习。诸如把话说得清楚等基本技能。  

疾病护理[编辑 | 编辑源代码]

1.预防感染:减少感染诱发因素,患者因吞咽困难,给予鼻饲,由于患者抵

脑干脑炎

抗力低下,加之不经口腔进食,易发生口腔感染,每日用生理盐水和0.1%的醋酸交替进行口腔护理。保持室内空气新鲜,阳光充足,每日紫外线消毒1次,用消毒液擦拭床单位物品及地面,保持患者皮肤清洁干燥。

2.行呼吸机辅助呼吸期间的护理:

(1)密切观察生命体征和机械通气情况,每隔2h听诊肺部并做好详细记录。观察呼吸与呼吸机是否同步,呼吸机报警时需立即寻找原因,及时排除。

(2)保证呼吸机回路的管道通畅,每日消毒,及时倾倒集液瓶中的积水,防止其逆流造成细菌繁殖

(3)气道内定时滴入生理盐水加糜蛋白酶地塞米松进行气道湿化,以确保不出现阻塞现象还可利于稀释痰液,容易被吸出,减少肺部并发症

(4)超声雾化吸入每日6次,鼓励自主咳嗽,协助拍背,用体位引流等方法使痰液顺利排出。

3.用药护理:长期应用糖皮质激素可发生多种副作用,主要有感染、糖尿、血压升高溃疡病加重、骨质疏松等,用药期间密切观察患者是否出现皮肤感染呕血等症状,定时查血、尿糖及其他有关实验室检查,注意减量过程中的反跳现象。应用神经营养药等生物制剂时易引起过敏反应,增加巡视次数。使用丙种球蛋白可引起白细胞减少,注意复查血常规,发现不良发应及时通知医生。

4.饮食护理:合理的饮食与身体康复关系密切。因患者长时间恶心呕吐,吞咽困难造成胃肠功能紊乱和水电解质失衡,加之高热处于高消耗状态使体重明显减轻,通过鼻饲供给含高蛋白、高营养、高维生素流质饮食结合静脉补液。  

临床资料[编辑 | 编辑源代码]

患者,女,35岁,湖南衡阳市郊农民。因行走无力,视物模糊5天,加重伴

脑干脑炎

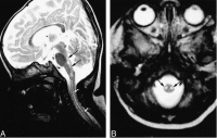
言语不清,嗜睡2天,于2005年11月24日急诊入院。2005年11月20日上午,患者在广州某镇探亲时家务劳动后,上楼时出现行走无力,下午自觉视物模糊,不伴发热、恶寒、头痛、头晕、咳嗽、咽痛、恶心、呕吐等症状。11月21日上午患者步行到广州市某镇医院按“上呼吸道感染”治疗无效。11月22日下午患者出现行走无力加重,需人搀扶,并出现言语欠清晰、精神差,被家人于当晚送回湖南当地县人民医院诊治。查体:嗜睡,反应迟钝,言语欠清晰,口角向左歪,伸舌右偏,右上下肢肌力IV级,左上下肢肌力正常,病理反射(—)。头颅CT平扫未见异常。按“脑梗塞”治疗病情无好转,故于11月24日下午转至我院神经内科重症监护病房按重症脑梗塞诊治。入院时查体:T36.7℃P86次/分R20次/分BP105/71mmHg嗜睡,言语欠清晰,右眼睑稍下垂,右眼内收及左眼外展受限,右侧鼻唇沟稍变浅,伸舌右偏,双侧咽反射减弱,心、肺、腹均未见异常,左上、下肢肌力IV级加,右上、下肢肌力III级加,四肢肌张力稍低,腱反射减退,指鼻及轮替试验及感觉功能检查无法配合。颈软,克、布氏征(—),右巴氏征(+),左巴氏征(—)。实验室检查:血常规:WBC总数:10.4×109/L,分类正常;电解质、肝、肾功能血脂血糖血气分析均正常。11月25日上午患者出现昏睡,完全性失语,四肢肌力明显减退,右上肢肌力0级,左上、下肢及右下肢肌力均II级。查头颅MRI示:中脑与桥脑交界处见片状稍长T1稍长T2信号,边界欠清晰,中脑导水管及第四脑室未见明显受压;头颅MRI增强:脑干异常信号,未见明显强化,考虑脑干梗塞。11月26日患者陷入浅昏迷,腰穿查脑脊液压力95mmH2O,外观无色,清亮,潘氏实验(+),总蛋白定量0.58g/L,白细胞数76×106/L,单个核细胞90%,多个核细胞10%,葡萄糖2.59mmol/L,氯化物117mmol/L,故诊断为脑干脑炎,给予地塞米松10mg静滴,每日一次,同时予抗病毒,抗感染等治疗,12月2日患者意识转清醒,但言语模糊不清,右上肢肌力II级,右下肢肌力0级,左上下肢肌力II-III级。14天后停地塞米松改为口服强的松30mg/天,逐渐减量,患者入院第20天因经济困难出院,出院时查体:右眼内收及左眼外展受限,伸舌稍右偏,双上肢肌力III-IV,双下肢肌

脑干脑炎

力III级,病理征阴性,复查脑脊液:压力180mmH2O,无色,清亮,潘氏实验(—),脑脊液蛋白定量0.23g/L,白细胞数16个/L,单核细胞为主,葡萄糖3.4mmol/L,氯化物128mmol/L。2006年1月17日复诊:患者仍行走不稳,需人搀扶。查:神清语利,计忆力、定向力、记算力正常,双眼球运动正常,双鼻唇沟对称,伸舌稍右偏,四肢肌力肌张力正常,双巴氏征阳性,深浅感觉检查正常。双侧指鼻试验稍差,Romberg征睁眼(+),闭眼(+)。脑电图正常;视觉、脑干听觉诱发电位检查:右眼VEP潜伏期延长,波幅在正常范围内;左眼VEP潜伏期、波幅在正常范围内;右耳BAEP波形分化不良,左耳BAEPⅠ、Ⅲ、Ⅴ波幅,潜伏期正常;四肢肌电图检查:左腓总神经运动传导波幅降低。2006年3月15日随访,患者行走正常,完全康复。查体无异常。

讨论:脑干脑炎临床表现多种多样,但缺乏典型的症状和体征,容易误诊。本病例患者以突发肢体瘫痪起病,发病前无感染史及病程中无发热史,头颅CT平扫未见异常,头颅

脑干脑炎

MRI增强:脑干异常信号,未见明显强化,考虑脑干梗塞。故临床误诊为重症脑梗塞。误诊原因可能为:(1)近年来青壮年脑梗塞发病率增高;(2)临床医生对突发肢体瘫痪和意识障碍患者,过分依赖头颅CT和MRI等影像学诊断结果;(2)发病前无感染史及发病前后病程中无发热史导致忽视了炎性疾病的可能。文献报道脑干脑炎的发病特点为:1.任何年龄都可发病,以青壮年居多。2.大多患者发病前1—4周有上呼吸道感染或其他病毒感染史。3.起病急骤,往往早期出现精神症状和意识障碍,通常在较短时间内出现双侧脑神经麻痹,伴有一侧或双侧的肢体运动障碍感觉障碍,但长束征少见,症状和体征较弥散很少局限于某一部位,4.脑脊液基本正常,蛋白轻度增高,细胞以淋巴细胞和单核细胞为主。5.病程常有自限性,经7—8周治疗后大部分好转或痊愈。6.激素早期治疗有效,预后好。7.头颅CT和MRI的异常率低。本例开始按脑梗塞治疗效果不佳,发现脑脊液异常后,按脑干脑炎以地塞米松等治疗,患者完全康复。我们推测该病发病机制可能是病毒的直接侵润损伤或病毒感染后的免疫损伤。MasaakiOdaka等研究认为许多Bickerstaff脑干脑炎患者都合并有Guillain-Barre综合征轴突改变,暗示这两种病是相近的,二者属于同一疾病谱。