脊髓肿瘤
脊髓肿瘤是脊髓和马尾神经受压的重要原因之一,必须与退变性脊椎病引起者鉴别。本节脊髓肿瘤一词属广义,还包括椎管以及脊髓相邻接的组织结构所发生的肿瘤。
治疗措施[编辑 | 编辑源代码]
脊髓肿瘤引起神经系统功能障碍的唯一有效治疗方法是手术切除。当神经系统症状严重或进展迅速时,手术应按急症执行。脊膜瘤,神经鞘瘤等髓外硬膜内肿瘤被切除,解除对脊髓压迫后,后果很好,有时严重的痉挛瘫持续多年仍可完全恢复。而星形细胞瘤、室管膜瘤等髓内肿瘤与正常脊髓界限不清,难以准确彻底切除,效果较差。硬膜外转移瘤常侵蚀脊髓,破坏其血运,减压述效果不稳固或不能缓解症状。近年来由于显微外科器械、手术技术的进步,手术显微镜的日趋完善,激光的应用以及SEP用于监护,手术成功率提高,致残率下降。
流行病学[编辑 | 编辑源代码]
发生率:原发脊髓肿瘤每年每10万人口发病2.5人。两性发病率相近,惟脊膜瘤女性多见,室管膜瘤男性常多见。胸段脊髓发生率较高,但按各段长度比例计算,发生率大致相同。
临床表现[编辑 | 编辑源代码]
症状:脊髓肿瘤引起的脊髓和神经根压迫症状,与退变性脊椎病引起者相似。
(一)髓内肿瘤 脊髓内肿瘤主要为星形细胞瘤及室管膜瘤,约占全部脊髓肿瘤的20%。髓内瘤常侵犯多节段脊髓,累及后根入口区可引起根性痛,但不常见。多能见有肌萎缩,肌束震颤,锥体束征出现较晚,多不显著。括约肌功能障碍可早期出现,脊髓半切综合征则少见,脑脊液改变多不明显,Queckenstedt试验多不显示梗阻。
(二)髓外肿瘤 包括硬膜内硬膜外肿瘤。前者常见的是神经膜瘤(包括神经纤维瘤)、脊膜瘤,约占全部脊髓肿瘤的55%。后者占25%。髓外瘤累及脊髓节段一般较少。多无肌肉萎缩,但马尾部肿瘤晚期下肢肌萎缩明显。括约肌障碍多在晚期出现,常有脊髓不全半切综合征,脑脊液改变出现较早,Queckenstedt试验多显示梗阻,阻塞越完全,蛋白增高越显著。
神经定位体征:这里是指纵向定位,即不同节段病变的神经系统体征。
(一)颅颈交界区 该区肿瘤可累及第11、12颅神经,使后柱受压,引起位置觉、震颤觉和轻触觉障碍,四肢表现为上运动神经无损害,C2支配区可有感觉障碍。
(二)颈脊髓区 上颈髓区病变可有枕、颈区痛及感觉异常。病变节段以下可有痉挛性四肢瘫,肱二头肌腱反射亢进。第5颈髓病变可致三角肌、肱二头肌,旋后肌萎缩性瘫。感觉障碍延伸至臂外侧,肱二头肌及旋后肌反射消失。第6颈髓病变致肱三头肌及腕伸肌瘫,部分性垂腕,相应皮节以及有感觉障碍。第七颈髓病变出现腕屈肌和指屈指伸肌瘫,感觉障碍涉及臂中线偏尺侧。第8颈髓病变引起手内在肌萎缩性瘫,爪形手畸形,可有Horner征,感觉障碍累及臂内侧,第4、5指。
(三)胸髓区 临床定位通常依赖感觉障碍水平,难以凭借肋间肌力判断。下腹肌瘫痪,上腹肌正常可出现Beevor征,即病人、仰卧,对抗胸部所加阻力坐起时,脐向上移动。下腹壁反射消失。
(四)腰髓区 可借感觉和运动障碍水平定位病变。累及第1、2腰髓会引起提睾反射丧失。第3、4腰髓病变,未累及马尾神经根时,股四头肌减弱,膝反射消失,而跟腱反射亢进,踝阵挛出现。该水平马尾神经受累引起小腿驰缓瘫,膝踝反射消失。如果脊髓马尾同时受累可表现为一侧小腿痉挛瘫,另一侧驰缓瘫。
(五)圆锥和马尾区 早期症状可有腰痛,鞍区及下肢痛或麻木,常被诊断为坐骨神经痛。括约肌功能障碍出现较早。可出现下肢驰缓瘫,肌萎缩,足下垂,腰骶皮节特别是鞍区可有感觉丧失,偶尔出现腰骶、臀、髋或足跟溃疡。
辅助检查[编辑 | 编辑源代码]
X线检查:部分脊髓肿瘤X线平片检查可见如下异常。
2.椎弓根轮廓和距离改变,椎间孔扩大,椎管局限性扩大。
3.椎旁组织变形,肿物起源于椎旁组织,或是经椎间孔扩展。
脊髓造影:用于定位脊髓或马尾受压水平,造影剂梗阻完全或近于完全时,髓外硬膜内肿瘤常有杯口状梗阻端,髓内瘤可显示出脊髓膨大的轮廓,造影剂柱被挤向一侧。
CT及CTM:要求神经系统检查能正确提供CT检查的病变部位,脊髓内、脊髓外肿瘤均可准确显示,椎骨的破坏容易明确。
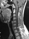
MRI:大部分脊髓肿瘤包括转移瘤的T1加权图像信号减低或不变。T2加权图像则信号增强,但骨母细胞瘤,部分前列胰癌骨转移信号减低。
症状和体征[编辑 | 编辑源代码]
髓外肿瘤的早期症状通常是由神经根的受压所引起:疼痛与感觉异常,继以感觉丧失,肌肉无力与萎缩,感觉与运动症状的范围都与受累神经根的支配区域相符.肿瘤进一步的生长产生对脊髓的压迫,产生进展性强直性肢体瘫痪,伴病变水平以下表皮浅感觉与本体深感觉的障碍.括约肌控制功能的丧失可导致大小便的潴留或失禁.根据肿瘤的定位与肿瘤的性质,脊髓的症状可轻可重,而且往往是双侧不对称.肿瘤若压迫脊髓血管造成血管闭塞则可以引起脊髓软化,产生脊髓横断的症状(参见第182节脊髓损伤).
硬脊膜内髓外肿瘤(例如神经鞘膜瘤,脊膜瘤)产生的疼痛局限于一个节段,进而引起节段性肌肉无力,最后引起两下肢截瘫.
髓内肿瘤(胶质瘤,室管膜瘤)往往延伸若干脊髓节段,临床表现可与脊髓空洞症相似.可发生进展性两下肢轻瘫,感觉丧失以及括约肌功能障碍.局限于一个节段的肿瘤在临床上可与一个髓外肿瘤很相似,但疼痛通常不显著,而括约肌功能障碍的症状出现较早.
诊断和治疗[编辑 | 编辑源代码]
脊髓肿瘤必须与脊髓的其他疾病作鉴别(例如血管畸形,梅毒,多发性硬化,脊髓空洞症,恶性贫血,肌萎缩性侧索硬化,颈椎与颅底畸形,颈椎关节强硬和椎间盘突出).
脊椎X线摄片可能显示骨质破坏,椎弓根间距增宽或椎旁组织变形.脑脊液蛋白定量通常增高.脊腔动力测定显示蛛网膜下腔内存在阻塞现象.如有完全性阻塞,进行腰穿有危险性,应先作成像检查.对脊髓肿瘤MRI能提供确诊,虽然偶尔有需要作CT脊腔造影检查,特别是为确定硬脊膜外的肿瘤.CT脊腔造影术可能提供第一个线索指出病变是动静脉畸形,后者可经选择性动脉造影检查加以证实.
髓外与髓内的原发的脊髓肿瘤往往能被手术切除;预后取决于已经造成损害的程度以及手术医生的技术水平.大约在1/2病例中外科治疗能使临床症状逆转.肾上腺皮质激素能减轻脊髓水肿并保存脊髓功能.对无法切除的肿瘤,可应用放射治疗,单独应用,或在手术减压后应用.硬脊膜外转移性肿瘤通常应用放射治疗;如果有骨质压迫存在,或放射治疗不见奏效,可能需要手术切除.
鉴别诊断[编辑 | 编辑源代码]
脊髓肿瘤需与其他脊髓疾患鉴别,如粘连性蛛网膜炎、多发硬化、肌萎缩性侧索硬化、脊髓空洞症。需鉴别的骨科疾病为脊柱结核、脊柱的退变病。
1.脊柱结构病多有低烧、盗汗等慢性中毒症状,病变多侵蚀椎间盘与相应椎体缘,椎旁寒形脓疡有助于鉴别诊断。
2.退变性脊椎病因椎间盘、韧带突入椎管引起脊髓和神经受压。中年以后脊柱退行变的影像学征象几乎都存在,与脊髓肿瘤的鉴别诊断要靠细致的神经系统评价,辅助以影像学检查。
能对脊髓或脊神经根产生压迫的肿瘤,可起源于脊髓实质,神经根,脊膜或脊椎.
原发的脊髓肿瘤比颅内肿瘤少见.大约2/3原发的脊髓肿瘤是脊膜瘤与神经纤维瘤;其余的通常为胶质瘤与肉瘤.大约10%是髓内肿瘤.硬脊膜外转移性病变通常起源于肺癌,乳腺癌,前列腺癌,肾癌,甲状腺癌或淋巴瘤(例如,霍奇金病,淋巴肉瘤,网状细胞肉瘤).
参考[编辑 | 编辑源代码]
| |||||||||||||||||||||||
