胸主动脉瘤

来自医学百科
Bkh9j.jpg

  

疾病名称[编辑 | 编辑源代码]

胸主动脉瘤  

疾病概述[编辑 | 编辑源代码]

胸主动脉瘤不是真正的肿瘤,而是由于各种原因造成的主动脉一处或多处向外拔出,出现的像“瘤子一样”的改变则称为主动脉瘤。胸主动脉瘤指的是发生在主动脉窦升主动脉主动脉弓降主动脉动脉瘤。胸主动脉瘤是退行性变,胸部主动脉部分异常扩张,变形,呈瘤样突出。

约80%的胸主动脉瘤是继发于高血压病动脉粥样硬化,14%是由于梅毒引起,其他的原因包括先天新因素、马凡氏综合症及胸部顿挫伤。大多发生于60岁以后,男女之比为10:2。胸主动脉瘤的患病率占主动脉瘤的20.3%—37%。

胸主动脉瘤可分为:1、升主动脉瘤,从主动脉根起,至无名动脉起始部止,可并发主动脉瓣关闭不全。2、主动脉弓动脉瘤,从无名动脉至左锁骨下动脉。3、胸部降主动脉瘤,从左锁骨下动脉起至膈肌一段主动脉。4、胸部降主动脉下端,从胸部降主动脉下端至腹主动脉上端。其好发部位依次为:降主动脉、升主动脉、主动脉弓及胸腹主动脉。

病因可以分:

1、主动脉壁脂质沉积硬化,弹力纤维破坏;

2、梅毒、细菌感染

3、创伤

4、先天性。

主动脉瘤又可分为真性和假性两种:真性是指主动脉壁全层为瘤体;假性是指瘤壁由动脉周围的结缔组织所构成。

临床症状: 疼痛,常因压迫周围组织器官引起。

其次为压迫症状:嘶哑声音,呼吸困难,头、颈、上肢浮肿、颈静脉怒张,咳血瘫痪等,主动脉瘤很大时可以外突产生胸壁波动性肿块。

体检时,可见到波动性肿块;伴主动脉关闭不全者可于主动脉瓣区听到舒张期杂音,舒张期血压下降,脉压增大,心电图左心室肥大。

诊 断: 50岁以上者以动脉硬化性为主,先天者常在年轻时即发现,梅毒性主动脉瘤,注意冶游史,外伤性主动脉瘤均有明显外伤史。有疼痛,及压迫各脏器的症状。体检时有胸部波动性肿块,如伴主动脉瓣关闭不全者,可在主动脉瓣区听到舒张期杂音,配合X线检查及主动脉造影可以确诊。

辅助检验: X线检查,记波片,逆行主动脉造影。

心电图:可见心室肥厚冠状动脉供血不足

超声心动图可以帮助确定病变部位,程度及类别。

治 疗: 对症治疗后手术治疗。  

疾病分类[编辑 | 编辑源代码]

心外科,老年病科  

临床表现[编辑 | 编辑源代码]

本病发病缓慢,早期多无症状和体征,至后期由于动脉瘤压迫周围组织而产生症状,其临床表现由于动脉瘤的大小、形状、部位和生长方向而有不同。如主动脉瘤压迫气管支气管可引起咳嗽、气急、肺炎肺不张;压迫食管引起吞咽困难;压迫喉返神经引起声音嘶哑;压迫膈神经引起膈肌麻痹;压迫上腔静脉头臂静脉可引起上肢及颈部、面部、上胸部浮肿;压迫胸骨可引起胸痛

1、在瘤体对临近器官无明显压迫,牵扯或破裂之前,大多数胸主动脉瘤可无症状,于胸摄片时发现,患者的临床表现和瘤体的大小和部位有关。

2、胸痛:市胸主动脉瘤最常见的症状,一般不严重,多为胀痛或跳痛,系动脉瘤膨出增大、牵拉或压迫周围组织所引起,压迫侵蚀胸骨、肋骨和脊椎及神经时,疼痛可加重。若出现撕裂样剧痛,可能为瘤体扩展,濒临破裂。

3、压迫症状:动脉瘤压迫气管支气管可出现咳嗽或呼吸困难以及气管支气管偏移,压迫食道可出现吞咽困难,压迫喉返神经可出现声音嘶哑,临近血管受压可出现肺动脉狭窄或上腔静脉综合症,头臂血管阻塞可引起脑缺血

4、破裂:可能是该病首发的症状,血液流入纵隔障、胸膜腔、气管支气管或食道,均可致命。病变累及主动脉根时可产生主动脉瓣关闭不全,严重时出现左心衰竭

真性动脉瘤早期通常没什么症状,当瘤体长大后由于压迫而形成的症状有:刺激性咳嗽、呼吸困难、声音嘶哑、发音或吞咽困难等,晚期可出现咳血或大量呕血,并可能引起窒息失血性休克而死亡。

疼痛:疼痛的地方多在胸背部,可能为撕裂剧痛,比如胸主动脉夹层动脉瘤;可能为钝痛,可以是持续性的;也有的会随着呼吸或活动更加剧烈;可向左肩胛区、上肢或脖子等处放射。

由于心功能不全而引起气短、气急;由于冠状动脉供血不足可以引起心绞痛。当胸主动脉夹层动脉瘤直径大于6厘米时,极易发生瘤体破裂而死亡,其中夹层主动脉瘤的五年生存率仅为30%左右。  

疾病病因[编辑 | 编辑源代码]

其常见的病因有动脉粥样硬化,动脉中层囊性变性、梅毒性、先天性、创伤性及感染性。其中以动动脉粥样硬化是最常见的病因。

胸主动脉瘤,为胸主动脉某段管腔的病理性扩张。按病理解剖可分为真性和假性动脉瘤。真性动脉瘤是管腔的扩张,根据其形状又可分为囊状、梭形或混合形。假性动脉瘤为动脉破裂后形成的血肿,周围包绕纤维结缔组织而非动脉管壁。  

病理生理[编辑 | 编辑源代码]

主动脉发生动脉粥样硬化后,中层弹性纤维断裂,管壁薄弱,不能耐受主动脉内血流压力而发生局部膨大,形成主动脉瘤。由于动脉瘤承受的血流压力较大,使动脉瘤逐渐扩大,并可压迫临近器官,甚至侵蚀胸骨、肋骨或向体表膨出,成为搏动性肿块。在膨大的瘤部,血流减慢,形成涡流,可产生附壁血栓。患者可因动脉瘤严重压迫重要脏器或字形破裂而死亡,囊性的动脉瘤较梭形的更容易破裂。  

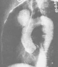
影像表现[编辑 | 编辑源代码]

1.X线表现:

(l)纵隔阴影增宽或形成局限性块影,至少在某一个体位上,与胸主动脉某部相连而不能分开。一般升主动脉瘤位于纵隔的右前方,弓降部和降主动脉动脉瘤多位于左后方。

(2)肿块或纵隔增宽阴影可见扩张性搏动。

(3)瘤壁有时可有钙化

(4)瘤体(尤其囊状)可压迫侵蚀周围器官,例如压迫脊椎或胸骨的侵蚀性骨缺损,有助于动脉瘤的诊断。

2.超声心动图:

可显示主动脉某段的梭形和囊状扩张,并可直接测量其径线,还可显示动脉瘤内附壁血栓的情况。

3.CT表现:

不仅可显示动脉瘤的存在和瘤壁的钙化,还可测量其宽径。对比增强扫描,可清楚显示附壁血栓及其范围。主动脉弓部连续扫描,对明确该部动脉瘤与头臂动脉的关系也有一定帮助。

4.MRI表现:

不用对比剂可显示主动脉内脏、管壁及其与周围组织的关系,能直接摄取横断、冠状、矢状等任何层面图像,对立体地把握动脉瘤的形态、大小、范围以及与主要动脉分支的关系有重要意义。

5.血管造影

胸主动脉造影为宜,可直接显示梭形或(和)囊状动脉瘤及其部位、大小、范围以及动脉分支受累情况。  

诊断检查[编辑 | 编辑源代码]

胸部X线片(后前位及左侧位)十分有用,可显示大多数胸主动脉瘤,透视有助于与其他纵隔肿物相鉴别。但有些胸主动脉瘤甚小,尤其是囊状动脉瘤破裂后在X线片中难以发现。所有准备施行手术的术前均应进行主动脉造影,因其可清晰地显示动脉瘤的大小范围。数字减影血管造影(DSA)有可能替代主动脉造影,但它对小动脉的显彰较差,且易受运动的影响。CT增强扫描可显示升主动脉及降主动脉瘤,有助于诊断。二维超声检查对胸主动脉瘤(尤其是降主动脉瘤)的诊断准确性不如腹主动脉瘤。经食管UCG—TEE则对胸主动脉瘤的诊断有较大的价值。MRI对胸主动脉瘤可作出可靠的诊断。  

治疗方案[编辑 | 编辑源代码]

手术修补是惟一有效的治疗。是否要施行手术取决于动脉瘤的大小、部位、有无症状及患者的一般状况。横径<5cm的动脉瘤极少破裂,而>10cm者经常破裂,有疼痛或压迫症状提示破裂的可能性大。若患者有巨大动脉瘤,尤其有瘤体扩张,或压迫临近器官而出现症状时,应紧急手术。由于主动脉瓣关闭不全或主动脉瘘引起心衰时也需须进行手术。若瘤体小,无症状,则并不急于手术。胸主动脉横段手术的危险最大,因为手术需要体外循环完整的心肺分馏。胸主动脉降段手术危险相对较小,而胸主动脉升段手术的危险性介于两者之间。对于大多数老年人不应考虑手术治疗,但应每4—6月做一次胸部X线检查。对于扩张<8cm的无症状者可采用保守疗法。不应选用增加心脏排出量和扩张血管的药物,可以选用β受体阻滞剂和钙通道阻滞剂

预后:长期随访,5年死亡率为50%,10年死亡率为70%,半数死于有关心血管病,三分死于动脉瘤破裂。死亡率与动脉瘤的部位无关。若患者高龄,动脉瘤>6cm,伴发高血压或其他心血管疾病,则死亡率增高。  

疾病预防[编辑 | 编辑源代码]

首先应积极预防动脉粥样硬化的发生(一级预防)如已发生、应积极治疗,防止病变发展并争取其逆转(二级预防)。已发生并发症者,及时治疗,防止其恶化,延长病人寿命(三级预防)。  

安全提示[编辑 | 编辑源代码]

1、发生于40岁以上的壮年人,男女之比为3:1~10:1 ;

2、注意生活规律,养成良好的睡眠习惯,睡前进行放松训练,防止睡眠紊乱,每日睡眠不少于8小时,养成良好的饮食习惯,定时定量,低盐低脂,加强营养摄入,戒烟戒酒;

3、康复出院后,应听从医生的指导,监测血压,定期复查。

参考[编辑 | 编辑源代码]