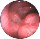
胃窦炎
所谓胃窦炎antral gastritis,antrum gastrititis是指局限于胃窦部的一种慢性炎症,主要病变多局限于黏膜层,但也漫延至肌层或浆膜层。在病变部分出现水肿、炎症细胞侵润和纤维组织增生,使局部变厚,甚至狭窄;部分病例可有黏膜表面糜烂、肠腺上皮化发生变化。
简介[编辑 | 编辑源代码]
胃窦炎好发于30岁以上的男性,表现为上腹部饱胀,隐痛或剧痛,常呈周期性发作,可伴有嗳气、反酸、
呕吐、纳差、消瘦等,慢性胃窦炎还可表现为厌食,持续性腹痛,失血性贫血等。胃窦炎的治疗一般应采用饮食控制、镇静、抗酸、解痉、止痛等措施,主要是对症治疗。
临床症状[编辑 | 编辑源代码]
上腹部撑胀感感,上腹部隐痛或剧痛,常呈周期性发作,可伴有嗳气、反酸、上腹烧灼感、恶心、呕
吐、消瘦等,少数可有出血,也有无症状者。本病与精神因素关系密切,情绪波动、生气、精神压力或恐惧癌症的紧张心理可使症状加剧。 胃窦炎多发于30岁以上的男性。这是其特点之一。
胃窦炎好发于30岁以上的男性,表现为上腹部饱胀,隐痛或剧痛,常呈周期性发作,可伴有嗳气、反酸、呕吐、纳差、消瘦等,慢性胃窦炎还可表现为厌食,持续性腹痛,失血性贫血等。胃窦炎病变多局限于粘膜肌层,亦可蔓延至肌层和浆膜层。胃窦粘膜表现为水肿、充血,炎性细胞浸润和纤维组织增生,其中以粘膜下层最为明显。
原因病理[编辑 | 编辑源代码]
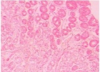
胃可分为四个部分:贲门部、胃底部、胃体部和胃窦部。胃的入口为贲门,出口为幽门。胃窦指的是幽门与胃角切迹平面之间的部分。胃窦炎好发于30岁以上的男性,表现为上腹部饱胀,隐痛或剧痛,常呈周期性发作,可伴有嗳气、反酸、呕吐、纳差、消瘦等,慢性胃窦炎还可表现为厌食,持续性腹痛,失血性贫血等。胃窦炎病变多局限于粘膜肌层,亦可蔓延至肌层和浆膜层。胃窦粘膜表现为水肿、充血,炎性细胞浸润和纤维组织增生,其中以粘膜下层最为明显。此外,当有粘膜糜烂,腺体萎缩与肠腺增生,胃窦炎很少单独存在,常与消化性溃疡或胃癌同时存在,因为胃窦炎与萎缩性胃炎、胃溃疡、胃癌关系密切,应引起我们的高度重视。
本症与精神因素关系密切,情绪波动或恐惧紧张时,可使症状加剧。副交感神经系统兴奋时也易发作。有些胃窦炎患者,上腹疼症状与十二指肠球部溃疡相似,慢性胃窦炎容易误诊为胃窦癌,需做胃镜检查来区别。
分类[编辑 | 编辑源代码]
胃窦炎是发生于胃窦部的慢性炎症,一般可分为浅表性和萎缩性两类。通过多年来的观察研究,发现胃癌与萎缩性胃窦
炎之间有着密切的关系。不少学者报道萎缩性胃炎病人的癌变率约为10%,萎缩性胃窦炎癌变的危险性大于正常人20倍,在我国,从胃癌高、低发区的调查中发现,萎缩性胃炎的发病率在胃癌高发区明显增高。对于萎缩性胃窦炎演变成胃癌的机理,一般认为萎缩性胃炎时,胃黏膜功能和结构都发生异常改变,胃液游离酸减少,PH升高,胃内细菌量增加,特别是在硝酸盐还愿酶阳性菌存在的情况下,硝基(NO3-)被还原为亚硝基(NO2-),而使胃液亚硝基(NO2-)含量升高,给胃内合成亚硝基化合物提供了致癌的必要条件,但要萎缩到何种程度,需要多少时间才会癌变,尚不明了。一般说来,胃黏膜活检时伴有重度肠腺上皮化生和间变者,更易癌变。
临床诊断[编辑 | 编辑源代码]
1、胃窦激惹,表现为幽门前区经常处于半收缩状态,不能象正常那样在蠕动波将到达时如囊状,但能缩小至胃腔呈线状。
2、粘膜纹增粗、紊乱,可宽达1cm左右,胃窦粘膜纹多呈横行,胃壁轮廓呈规则的锯齿状,锯齿的边缘也甚光滑。
3、当病变发展至肌层肥厚时,常表现为胃窦向心性狭窄,形态比较固定,一般可收缩至极细,但不能舒张,与正常段呈逐渐过渡或分界比较清楚。狭窄段可显示粘膜纹,多数呈纵行。
治疗[编辑 | 编辑源代码]
胃窦炎的治疗一般应采用饮食控制、镇静、抗酸、解痉、止痛等措施,主要是对症治疗。对情绪紧张者,可用小剂量镇静剂。对嗳气、恶心及胃排空障碍者,可选用胃复安10毫克每日~3次,也可选用吗丁林20毫克每日~3次,或西沙必利10毫克,每日~3次。针对胃窦粘膜炎性病变,可选用麦滋林-S 0.67
克,每日3次,连服6~8周。若患者上腹痛伴反酸,可加用泰胃美400毫克,每日1次,连服1个月。或法莫替丁20毫克,每晚1次,连服1月。如慢性胃窦炎的病理诊断有幽门螺杆菌感染,可选用德诺2片,每日3次,连服4~6周,或服用阿莫西林500毫克,每日3次,连服4周。
胃窦炎的饮食治疗原则是调整胃的各项功能,养成良好的饮食习惯和生活习惯。吃饭时要细嚼慢咽,使食物与消化液充分混合。饮食宜清淡,少刺激性,晚餐勿过饱,待食物消化后再睡觉。否则,会增加胃部不适感。在平时饮食中尽量做到清淡、少油腻、少脂肪过高的食物,如肥肉、奶油、油煎食物能延缓胃的排空,易增加腹部饱满感。应减少刺激性食物,如辣椒、洋葱、咖喱、胡椒粉、芥末粉、浓咖啡等均不利于胃粘膜炎症的恢复,不应食用。对胃酸分泌减少者,如萎缩性胃炎,可给予浓肉汤、鸡汤等味道鲜美的食物,以刺激胃酸分泌,促进食欲,对高酸性胃炎(胃酸分泌过多者)应禁用肉汤、鸡汤以及过多的鲜味食品。可将肉类煮熟去汤后再烹制。食物要做得细、碎、软、烂。烹调的方法多采用蒸、煮、烩、炖与煨等。要注意食用具有营养的食物,多吃些高蛋白食物及高维生素食物,保证机体的各种营养素充足,防止贫血和营养不良,对贫血和营养不良者,应在饮食中增加富含蛋白质和血红素铁的食物,如瘦肉、鸡、鱼、肝、腰等内脏。高维生素的食物带有深色的新鲜蔬菜及水果,如绿叶蔬菜、西红柿、茄子、红枣等。要注意食用酸碱平衡,当胃酸分泌过多时,可喝牛奶、豆浆、吃馒头或面包以中和胃酸,当胃酸分泌减少时,可用浓的肉汤、鸡汤、带酸味的水果或果汁,以刺激胃液的分泌,帮助消化,要避免引起腹部胀气和含纤维较多的食物,如豆类、豆制品、蔗糖、芹菜、韭菜等。当患有萎缩性胃炎时,宜饮酸奶,因酸奶中的磷脂类物质会紧紧地吸附在胃壁上,对胃粘膜起保护作用,使已受伤的胃粘膜得到修复,酸奶中特有的成份乳糖分解代谢所产生的乳酸和葡萄糖醛酸能增加胃内的酸度,抑制有害菌分解蛋白质产生毒素,同时使胃免遭毒素的侵蚀,有利于胃炎的治疗和恢复。
对螺旋杆菌引起胃窦炎应进行药物治疗。当口服抗菌素治疗某些炎症性疾病时,应同时饮用酸奶,即补充了营养,又避免了抗菌素对人体产生的副作用,因为酸奶中含有大量的活性杆菌,可以使抗菌素药物引起的肠道菌群失调现象重新获得平衡,同时保护了胃粘膜。平时一定要把握进餐量,不能因喜好的食物而多吃,一定要少吃多餐,以增进营养,减轻胃部负担为原则,同时要禁忌烟酒。
预防保健[编辑 | 编辑源代码]
平时要注意以下几点:
①应忌食过硬过辣、过咸、过热、过分粗糙和刺激性强的食物。饮食有节制有规律,定时定量,少食多餐,细嚼慢咽,使食物充分与唾液混合,避免暴饮暴食。食物要选富有营养、易消化的细软食物为主,多吃含植物蛋白、维生素多的食物。
②应忌阿司匹林、对乙酰氨基酚、保泰松、吲哚类药、四环素、红霉素、泼尼松等药物,尤其在慢性胃炎活动期。
③胃酸缺乏者,忌冲淡胃液。饮食中宜加入醋、柠檬汁、酸性调味品,少吃难消化、易胀气的食物,用膳及膳后尽量饮少。
④胃酸过多者应避免进食能刺激胃酸分泌的食物,如浓味香料、酒精、酸味剂等。
⑤忌烟酒。吸烟后,烟碱能刺激胃粘膜引起胃酸分泌增加,对胃粘膜产生有害刺激作用,过量吸烟导致幽门括约肌功能紊乱,引起胆汗返流,使胃粘膜受损,并影响胃粘膜血液供应及胃粘膜细胞修复与再生,所以要戒烟。酒精可直接破坏胃粘膜屏障,使胃腔内H +侵入胃粘膜引起粘膜充血、水肿、糜烂。
⑥精神紧张是慢性胃炎的促进因素,应予避免。心情上的不安和急躁,容易引起胃粘膜障碍和胃机能障碍。所以应尽可能地避免情绪上的应激反应,解除紧张的情绪。平时做到遇事不怒,事中不急,急中不愁,保持心情舒畅,对胃炎的康复极有好处。
⑦忌生活无规律及过度劳累。注意适当的休息、锻炼。体育锻炼能促进胃肠蠕动和排空,使胃肠分泌功能增强,消化力提高,有助于胃炎的康复。
⑧患有慢性肝病、糖尿病、胆道疾病时,可使胃粘膜局部防御功能降低、胃功能紊乱而发生胃炎。另外扁桃体炎、鼻窦炎、龋齿感染等造成的带菌分泌物下咽,常可使胃粘膜屏障功能降低,诱发胃炎。
注意事项[编辑 | 编辑源代码]
食物的选择[编辑 | 编辑源代码]
戒刺激性的食物:咖啡、酒、肉汁、辣椒、芥茉、胡椒等,这些会刺激胃液分泌或是使胃黏膜受损的食物,应避免食用。每个人对食物的反应都有特异性,所以摄取的食物应该依据个人的不同而加以适当的调整,毋须完全禁食。
戒酸性食物:酸度较高的水果,如:凤梨、柳丁、桔子等,於饭后摄食,对溃疡的患者不会有太大的刺激,所以并不一定要禁止食用。
戒产气性食物:有些食物容易产气,使患者有饱涨感,应避免摄食;但食物是否会产气而引起不适,因人而异,可依个人的经验决定是否应摄食。
此外,炒饭、烤肉等太硬的食物,年糕、粽子等糯米类制品,各式甜点、糕饼、油炸的食物及冰品类食物,常会导致患者的不适,应留意选择。
吃饭注意事项[编辑 | 编辑源代码]
吃饭要定时定量进餐要细嚼慢咽,且心情要放松,饭后略作休息再开始工作。少量多餐━可以避免胃涨或胃酸过多,胃酸过多可能会逆留至食道,刺激食道黏膜。除三餐外并於上、下午、睡前各加一次点心。食用温和饮食━每餐由六大类食物中广泛的摄取各种食物,以获得均衡的营养,不要纯吃淀粉含量高的食物。饭后不要躺下休息。
生活方面[编辑 | 编辑源代码]
不抽烟、不喝酒。生活要有秩序,不要熬夜,减少无谓的烦脑,心情保持愉快。睡前2-3小时不要进食。
避免太紧的衣服。体重超重者要减重。
如何护胃呢?这就要重“五养”
保暖护养-天凉之后,昼夜温差变化大,患有慢性胃炎的人,要特别注意胃部的保暖,适时增添衣服,夜晚睡觉盖好被褥,以防腹部着凉而引发胃痛或加重旧病;
饮食调养-胃病患者的饮食应以温、软、淡、素、鲜为宜,做到定时定量,少食多餐,使胃中经常有食物和胃酸进行中和,从而防止侵蚀胃粘膜和溃疡面而加重病情;
忌嘴保养-胃病患者要注意忌嘴,不吃过冷、过烫、过硬、过辣、过粘的食物,更忌暴饮暴食,戒烟禁酒。另外,服药时应注意服用方法,最好饭后服用,以防刺激胃粘膜而导致病情恶化;
平心静养-病发生与发展,与人的情绪、心态密切相关。因此,要讲究心理卫生,保持精神愉快和情绪稳定,避免紧张、焦虑、恼怒等不良情绪的刺激。同时,注意劳逸结合,防止过度疲劳而殃及胃病的康复;
运动健养-病人要结合自己的体征,加强适度的运动锻炼,提高机体抗病能力,减少疾病的复发,促进身心健康。
常食健脾养胃的食物,如山药、莲子、大豆、谷物、扁豆、薏苡仁、山楂、香蕉、大枣、板栗及猪瘦肉、牛肉、鸡肉、牛奶、豆制品等。补益脾胃的中草药有人参、茯苓、黄芪、白术、甘草等,与食物配制成药膳效果更佳。
| |||||||||||||||||||||||||||||||||||||||||||
