胃穿孔
胃穿孔是溃疡病患者最严重的并发症之一。病人的胃穿孔主要是暴饮暴食所致,暴饮暴食能引起胃酸和胃蛋白酶增加,而很容易诱发胃穿孔。
疾病概述[编辑 | 编辑源代码]
胃穿孔治疗不及时就可死亡。溃疡病人进食不能快,要细嚼慢咽,平时也不能过饥。粗糙、过冷、过热和刺激性大的食品,如辣椒、胡椒、浓茶等要避免,同时戒烟、酒。疼痛剧烈时可进食一段时间豆浆或牛奶等,吃多餐,每天5~8次,病情好转后可改稀饭和面条,逐步回到正常饮食。
疾病病因[编辑 | 编辑源代码]
胃穿孔最常见的原因是消化性溃疡。由于溃疡不断加深,穿透肌层,浆膜层,最后穿透胃或十二指肠壁而发生穿孔。穿孔后可发生几种不同后果。如穿孔前溃疡底已与胰肝等邻近脏器发生粘连,形成穿透性溃疡,此为慢性穿孔,少数病例溃疡底与横结肠粘连,穿孔后形成胃结肠瘘。以上两种情况大多发生在胃,十二指肠后壁溃疡穿孔,如溃疡穿孔后迅速与大网膜或附近脏器发生粘连,则可穿孔周围形成脓疡。
疾病症状[编辑 | 编辑源代码]
一、腹痛[编辑 | 编辑源代码]
突然发生剧烈腹痛是胃穿孔的最初最经常和最重要的症状。疼痛最
初开始于上腹部或穿孔的部位,常呈刀割或烧灼样痛,一般为持续性,但也有阵发生性加重。疼痛很快扩散至全腹部,可扩散到肩部呈刺痛或酸痛感觉。
二、休克症状[编辑 | 编辑源代码]
穿孔初期,患者常有一定程度休克症状,病情发展至细菌性腹膜炎和肠麻痹,病人可再次出现中毒性休克现象。
三、恶心、呕吐[编辑 | 编辑源代码]
约有半数病人有恶心、呕吐,并不剧烈,肠麻痹时呕吐加重,同时有腹胀,便秘等症状。
四、其他症状[编辑 | 编辑源代码]
并发症[编辑 | 编辑源代码]
1、休克穿孔后剧烈的化学性刺激可引起休克症状。病人出现烦躁不安、呼吸浅促、脉快、血压不稳等表现。随着 腹痛程度的减轻,情况可趋稳定。此后,随着细菌性腹膜炎加重,病情又趋恶化,严重者可发生感染(中毒)性休克。
2、急性腹膜炎全腹肌紧张如板状,压痛显著,拒按,全腹可引出反跳痛。实验室检查:可见白细胞增高,一般急性穿孔的病例,白细胞计数在1.5万~2万/mm3之间,中性白细胞增加;血红蛋白与红细胞计数因有不同程度的脱水,亦都升高。试探性腹腔穿刺,抽出的液体作显微镜检查,如见满视野的白细胞或脓球,说明为炎性腹水,是诊断腹膜炎的证据。还可以测定氨的含量,若超过3μg/ml,说明有胃肠穿孔。
疾病检查[编辑 | 编辑源代码]
1.体格检查:腹壁压痛,反跳痛、肌紧张腹膜炎症状,肝浊音区缩小或消失。
2.腹腔穿刺抽出脓性液体,诊断结果较为明确。
3.X线,B超,CT检查,确诊疾病。
胃肠道穿孔及诊断[编辑 | 编辑源代码]
一、病因病理[编辑 | 编辑源代码]
胃穿孔的口径以3~6mm多见,最小者似针尖,超过10mm者亦很少。一般胃溃疡穿孔比十二指
肠溃疡的穿孔大,且多位于幽门附近小弯侧。胃溃疡的位置愈高,预后愈坏。贲门下的溃疡穿孔,病死率可达80%。大弯侧的溃疡多属恶性。急性穿孔,起初是由于胃与十二指肠内容引起的化学性腹膜炎。炎症的范围与程度决定于穿孔的大小。注入腹腔的量与性质,以及病人的健康状态与反应性强弱。一般经8~12h后,转变为细菌性腹膜炎,若注入腹腔的内容物完全无菌,甚至24h后腹腔渗出液培养仍为阴性。腹膜炎发生后,不论是化学性或细菌性,势必引起渗出反应。注入腹腔的内容愈多,刺激性愈强和时间愈长,则腹腔内渗液愈多,炎症愈明显,并发肠麻痹愈严重。亚急性穿孔由于孔小或已被堵塞,腹腔漏出量少,因此仅限于右上腹有炎症病变。慢性穿孔实际上是在未穿破之前,周围已经愈合。如穿入胰腺,可引起局部胰腺炎症反应;如穿入小网膜腔,由于漏出量很少,经网膜包裹后形成小网膜腔脓肿;如与胆囊或肝之脏面愈合,可形成胃胆囊瘘或十二指肠胆囊瘘,或肝下脓肿,而其他部位完全无炎症反应。
二、临床表现[编辑 | 编辑源代码]
1、相关介绍[编辑 | 编辑源代码]
胃、十二指肠溃疡向深部发展,可穿通胃或十二指肠壁,为溃疡病的常见并发症,但比出血要少一半,约占溃疡病住院治疗病人的20%~30%。溃疡病穿孔根据其临床表现可分为急性、亚急性和慢性3种。穿孔的类型主要取决于溃疡的部位,其次决定于溃疡发展的进程与周围组织器官。如溃疡位于胃或十二指肠的游离面,前壁或上下缘,往往产生急性穿孔,胃与十二指肠内容物流入游离腹腔,引起急性腹膜炎。穿孔甚小或很快被堵塞,尤其是在空腹时发生,腹腔污染仅限于右上腹部,这种穿孔常称亚急性穿孔。溃疡位于胃或十二指肠的后壁,由于紧贴邻近器官,易受粘连限制,或被包裹在小网膜囊内,称穿透性溃疡或包裹性穿孔,属于慢性穿孔。后襞的溃疡穿入胰腺,往往侵蚀血管,故常并发出血。临床多见的类型,为急性穿孔,其次是亚急性穿孔。
2、发病前[编辑 | 编辑源代码]
穿孔发生之前数天,往往胃痛加重。但约10%的病人可无疼痛,这并非溃疡发展迅速,而是早已存在,临床上可无自觉症状。另有15%左右的病人溃疡病史不很清楚,故一般只有3/4的病人能从病史中提示溃疡病穿孔的可能性。一旦溃疡突然穿破,病人顿觉上腹部剧痛,难以忍受,以至被迫卧床,因此病人多能清楚地回忆起发作的时间和地点以及当时的情景。疼痛可放散至后背或右肩,根据胃肠内容在腹腔扩散的量与方向而定。刺激横膈的顶部,病人觉肩部酸痛;刺激胆囊后方的膈肌与腹膜,病人觉右肩胛骨下方疼痛;刺激小网膜腔,病人仅觉相应下背痛。当胃肠内容弥散至全腹时,则引起全腹持续性剧痛。由于大量胃肠内容是沿右结肠旁沟流至右髂窝,故此处的症状特别明显,易误诊为阑尾炎。疼痛发作后,伴随恶心、呕吐;若吐出物中带有鲜血,对诊断溃疡病穿孔有提示意义。“出血的溃疡很少穿孔而穿孔的溃疡很少出血”,这是Finsterer的格言,事实上并不见得完全正确。
由于在不同的时期有不同的临床表现,故可分为以下3期:
3、初期[编辑 | 编辑源代码]
初期在发生穿孔的初期,往往出现戏剧性的变化。突然猛烈的刺激,引起神经循环系统的立即反射,可产生神经性或原发性休克。病人面色苍白,四肢发凉,出冷汗,脉搏快而弱,血压下降,体温不升,呼吸短促。一般历时不长即自行好转。
2、反应期[编辑 | 编辑源代码]
反应期约1~4h以后,腹痛减轻,病人主观感觉良好,自认为危机已过,如此时来到急诊常常容易误诊。病人觉四肢温暖,面色恢复常态,脉搏有力,血压回升,体温可略高于正常。此时病人能起立行动,思饮,但呼吸仍困难,拒绝牵涉腹肌的动作。如不来就诊常延误诊断。
3、腹膜炎期[编辑 | 编辑源代码]
腹膜炎期一般穿孔12h以后,多转变成细菌性腹膜炎,临床表现与任何原因引起的细菌性腹膜炎相似。全身软弱,口干、恶心、呕吐,由于刺激横膈而引起呃逆、体温升高、心悸气短、尿量减少,血压开始下降,病情不断恶化,以至发展到真正休克。体征呈焦虑不安状、唇干、舌干有苔,眼球内陷。因腹式呼吸受抑制,故呼吸急促并有青紫。全腹肌紧张如板状,压痛显著,拒按,全腹可引出反跳痛。有的压痛与反跳痛在右下腹比较明显,亦为误诊为阑尾炎的原因。腹胀,晚期多能叩出移动性浊音。一般病程进入细菌性腹膜炎的阶段,腹腔常有1000~2000ml的液体。肝浊音消失,但胀气的横结肠位于肝与前腹壁之间时,亦出现鼓音。为鉴别腹腔有无游离气体存在,可令病人左侧卧位,如于侧腹肝区仍叩出鼓音,则可否定为横结肠积气造成之假象,能进一步说明膈下有游离气体。通常肠鸣音完全消失,若腹膜炎不十分广泛,还可能有节段肠蠕动,则仍能听到少量肠鸣音,或低调气过水声。直肠指诊,可于右前壁引出触痛,但不比阑尾炎穿孔的触痛明显。亚急性穿孔的临床表现一般较轻,肌紧张限于上腹部,下腹部仍软。压痛与反跳痛亦只在上腹部可以引出,下腹部仍能听到肠蠕动音。慢性穿孔表现为持续性疼痛代替既往规律性胃痛,而程度亦较过去为重,且限于一个小的范围内。上腹有局限性深压痛,有的能触及肿块。
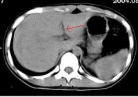
三、影像学表现[编辑 | 编辑源代码]
胃肠道穿孔的主要X线表现是气腹即腹膜腔内出现游离气体。关于气腹的显示方法,一般是采用透视与照片检查。尤其是少量气腹的显示则尤为重要,如病情允许,立
位透视并转动体位观察,此时往往能显示膈下新月形的游离气体的存在,因为气体总是具有浮游到腹腔最高处去的倾向,确定了膈下游离气体后,应即时照片以供临床参考。
在病情危重而不能坐或站立时,可采用仰卧侧位投照,此时气体可上升至前腹侧壁,可以见到腹壁与肝和肠之间有气层,使肝前下缘和肠外壁显示。
如情况只允许照仰卧位片时,只要能详细地认真阅片,亦可能发现有价值的征象:
一是见到明确的腹腔内脏器(胃肠和肝脾)的外壁;
二是腹腔内某些韧带(如肝脏前力的镰状韧带)的明确显示。见到这些征象
应考虑有气腹存在。如无气腹发现而临床又高度提示有急性胃肠道穿孔时,必要时可经胃管抽吸胃液后注入空气约300ml,则空气可从穿孔处逸出形成膈下游离气体,有助了胃、十二指肠溃疡穿孔的诊断。
长期以来,气腹是放射医师诊断胃肠道穿孔的依据并为临床医师所接受。但气腹并不一定都是胃肠道穿孔或破裂所引起,亦可见于腹部手术后,子宫及附件穿破,产气细菌腹内感染和肠气囊肿并发破裂等。
四、鉴别诊断[编辑 | 编辑源代码]
胃肠道穿孔引起的气腹需与正常解剖变异间位结肠鉴别。透视下转动体位可以鉴别。
胃肠道穿孔的传统诊断方法为摄取腹部X线平片,观察膈下、腹壁下有无游离气
体,以此作为主要诊断依据,但是准确性有限。
疾病治疗[编辑 | 编辑源代码]
一、应急方法[编辑 | 编辑源代码]
由于情绪波动或暴饮暴食之后,胃溃疡患者很容易并发胃穿
孔,一旦发生相关症状,应立即考虑到胃穿孔的可能。在救护车到达之前,应做到以下几点:
(1)不要捂着肚子乱打滚,应朝左侧卧于床。理由是穿孔部位大多位于胃部右侧。朝左卧能有效防止胃酸和食物进一步流向腹腔以致病情加剧。
(2)如果医护人员无法及时到达,但现场又有些简单医疗设备,病人可自行安插胃管。具体方法:将胃管插入鼻孔,至喉咙处,边哈气边用力吞咽,把胃管咽入胃中。然后用针筒抽出胃里的东西,这样能减轻腹腔的感染程度,为病人赢得治疗时间,记住此时病人也必须朝左侧卧。
二、疾病治疗[编辑 | 编辑源代码]
胃穿孔的严重之处在于穿孔之后大量胃肠液流入腹腔,引起化学性或细菌性腹膜炎以及中毒性休克等,如不及时抢救可危及生命。无腹膜炎发生的小穿孔,可采用保守疗法,禁食,放置鼻胃管抽吸胃内容物,输液补充水与电解质,应用抗菌药物预防腹腔继发感染。饱餐后穿孔,常有弥漫性腹膜炎,需在6~12小时内进行急诊手术。慢性穿孔,进展较缓慢,穿孔至毗邻脏器可引起粘连和瘘管,亦常需外科手术治疗。
急救措施[编辑 | 编辑源代码]
胃溃疡患者很容易并发胃穿孔,一旦发生上述症状,应立即考虑到胃穿孔的可能。在救护车到达之前,应做到以下几点:
1、不要捂着肚子乱打滚,应朝左侧卧于床。理由是穿孔部位大多位于胃部右侧。朝左卧能有效防止胃酸和食物进一步流向腹腔以致病情加剧。
2、如果医护人员无法及时到达,但现场又有些简单医疗设备,病人可自行安插胃管。具体方法:将胃管插入鼻孔,至喉咙处,边哈气边用力吞咽,把胃管咽入胃中。然后用针筒抽出胃里的东西,这样能减轻腹腔的感染程度,为病人赢得治疗时间,记住此时病人也必须朝左侧卧。
术后护理[编辑 | 编辑源代码]
一、注意事项[编辑 | 编辑源代码]
避免刺激,主要是太过辛辣的食品,最好是流食坚持一段时间。注意腹部的保暖,尤其是夜间;多吃一些易消化的食物,少吃多餐。
1.应规律进餐,可以少量多次,并避免粗糙、过冷、过热和刺激性大的饮食如辛辣食物、浓茶、咖啡等。
2.戒烟限酒。
3.缓解精神紧张。
4.必要时使用药物促使溃疡加速愈合。有些药物能够使胃酸分泌减少,有些药物会给溃疡面敷上一层诸如铝盐或蛋白质的保护膜;应禁用能损伤胃粘膜的药物如阿司匹林,消炎痛,保泰松等。
二、建议食品及食用方法[编辑 | 编辑源代码]
1.螺旋藻。食用螺旋藻后,螺旋藻能够迅速分解成细微粒子,紧贴在胃和十二指肠的粘膜上,形成一层保护膜,由此促进粘膜再生,修复已损伤的粘膜,使胃部倍感舒适。
3.优质蛋白。优质蛋白中含有全面、丰富、均衡的必需氨基酸,可以很好地解决胃部营养的滋补问题。
食用方法:
1.轻度溃疡:每日螺旋藻4粒,磷脂4粒,优质蛋白1包,每天早晨食用,以上食品一次连续食用60天。
2.重度溃疡:每日螺旋藻5~10粒,磷脂5~15粒,每日分两次食用,以上食品一次连续食用90~180天。
三、急性胃炎[编辑 | 编辑源代码]
一、过去多有典型的胃病史。就是心窝部有规律性烧灼样痛、反酸、嗳气,进食或服碱性药后疼痛可缓解。有的经医院检查已确诊为溃疡病,近日多因饮食不节、受凉或精神紧张等原因使胃病复发。
二、感到心口窝部持续剧烈刀割样疼痛,并迅速蔓延到右下腹或全腹部。
三、腹痛同时伴有恶心呕吐,病人常用面色苍白、四肢发凉、出冷汗、心慌气短、脉搏快而弱、血压下降等表现。
四、因腹膜受刺激,全腹部有压痛,腹部硬如木板,按压腹部的手突然抬起,腹痛剧烈难忍。急性胃穿孔的处理要根据病人的年龄、溃疡病史长短、估计流出消化液少,可能穿孔小,闭合可能性大,可先行非手术治疗。
如果病人年龄大、病史长,穿孔不易闭合,即使闭合也易复发,或者在非手术治疗中,病情加重,应进行手术治疗。
疾病预防[编辑 | 编辑源代码]
1.少吃油炸食物:因为这类食物不容易消化,会加重消化道负担,多吃会引起消化不良,
还会使血脂增高,对健康不利;
2.少吃腌制食物:这些食物中含有较多的盐分及某些可致癌物,不宜多吃;
3.少吃生冷食物刺激性食物:生冷和刺激性强的食物对消化道黏膜具有较强的刺激作用,容易引起腹泻或消化道炎症;
4.规律饮食:研究表明,有规律地进餐,定时定量,可形成条件反射,有助于消化腺的分泌,更利于消化;
5.定时定量:要做到每餐食量适度,每日餐定时,到了规定时间,不管肚子饿不饿,都应主动进食,避免过饥或过饱;
6.温度适宜:饮食的温度应以“不烫不凉”为度;
7.细嚼慢咽:以减轻胃肠负担。对食物充分咀嚼次数愈多,随之分泌的唾液也愈多,对胃黏膜有保护作用;
8.饮水择时:最佳的饮水时间是晨起空腹时及每次进餐前1小时,餐后立即饮水会稀释胃液,用汤泡饭也会影响食物的消化;
9.注意防寒:胃部受凉后会使胃的功能受损,故要注意胃部保暖不要受寒;
10.避免刺激:不吸烟,因为吸烟使胃部血管收缩,影响胃壁细胞的血液供应,使胃黏膜抵抗力降低而诱发胃病。应少饮酒,少吃辣椒、胡椒等辛辣食物;
11.补充维生素C:维生素C对胃有保护作用,胃液中保持正常的维生素C的含量,能有效发挥胃的功能,保护胃部和增强胃的抗病能力。因此,要多吃富含维生素C的蔬菜和水果。
