肱骨外髁骨折

来自医学百科
Bk9w1.jpg

【概述】

在儿童肘部骨折中较常见。实际是外髁骨骺分离。其发生率仅次于肱骨髁上骨折。并且是关节内骨折。根据北京积水潭医院小儿骨科统计,1970~1980年儿童肘部损伤共9427例,其中肱骨外髁骨折629例占总数的6.7%。男女之比为3.3∶1,左侧多于右侧。最小发病年龄为1岁,最大发病年龄统计到14岁。好发年龄为4~8岁,占总数的54%。骨折块很大的部分由软骨组成。患者年龄越小,则软骨越多,在X线片显示仅为肱骨外髁的骨骺化骨中心与干骺端骨折片,而软骨则不显影,实际骨折块相当大,几乎等于肱骨下端骨骺的一半。故在临床上对骨折块的大小要给予充分的估计。对这种骨折处理不当,常发生各种畸形并发症,造成肘关节功能障碍

【治疗措施】

此骨折是关节内骨折。又是骨骺骨折,骨折线通过骺板。复位满意与否,直接影响到关节的完整性与骺板处骨桥形成的大小和发生畸形的程度。因此无论采取何种方法,要求达到解剖复位,或近似解剖复位,以免发生严重的后遗症。各型骨折的治疗方法如下。

1.骨折无移位型 屈肘90°,前臂旋后石膏固定4周。

2.侧方移位型 应进行闭合复位。肘伸直内翻位,使外侧间隙加大,前臂旋后、腕部伸直位,使伸肌群放松,用拇指将骨折块推移,如骨折块向外后方移位时,拇指将骨块向前内侧推移使之复位。X线检查证实已复位者,可用长臂后石膏托或夹板固定4~6周,固定时间依据复位后稳定情况,取伸肘或屈肘位及前臂旋后位。

此型骨折为不稳定骨折。如整复失败或复位后再移位不能复位时,应切开复位用2枚克氏针内固定

3.旋转移位型、骨折脱位型 采用闭合复位。要结合X线片摸清骨折块的方位,使肘关节处于内翻、前臂旋后位。用手指先矫正旋转移位的骨折块,然后推入关节内使之复位。伴有侧方或后方肘关节脱位者,应同时复位。或先将骨折块推向肘后,再矫正旋转后推入关节内,使之复位,固定方法及时间,同侧方移位型。

闭合复位不成功者,均应切开复位,矫正骨折块的旋转移位。尺可能保留骨折块上附着的软组织,以免发生缺血坏死。用2枚克氏针固定,术后用石膏托固定4~6周,拔除钢针,除去外固定,开始活动肘关节。

4.陈旧骨折 一般都不主张手术。北京积水潭医院在3个月以内,骨折有明显移位不愈合者,采用切开复位内固定治疗。只要术中复位满意,内固定牢靠,术后积极主动功能锻炼,绝大多数患者,仍可获得较好的结果。即使术前肘关节已僵硬,手术后也能得到部分功能改善。

5.并发症

肘外翻畸形 伤后肱骨远端桡侧骨骺软骨板损伤,可导致早期闭合。致使肱骨远端发育不均衡造成肘外翻,肱骨远端呈鱼尾状畸形。外翻明显者,可行截骨术矫正。

尺神经炎麻痹 由于肘外翻畸形的牵拉,或尺骨鹰嘴尺神经的撞击,均可导致尺神经炎,发现后应及早将尺神经前移,以免发生麻痹。

肱骨外髁骨折的药物治疗

初期

【治法】 活血祛瘀消肿止痛。

【方药】

1.主方活血止痛汤(赵竹泉《伤科大成》)

处方:当归12克,赤芍9克,紫荆藤9克,川芎6克,乳香6克,没药6克,落得打6克,苏木5克,红花5克,陈皮5克,三七3克。水煎服,每日剂。

2.外用方消肿止痛膏(广东中医学院《外伤科学》)

处方:姜黄羌活干姜栀子、乳香、没药各150克。共研细末,用凡士林调成60%软膏,外敷患处。

中期

【治法】 接骨续损,和营生新。

【方药】

主方肢伤二方(广东中医学院《外伤科学》)

处方:生薏苡仁30克,桑寄生30克,当归12克,赤芍12克,续断12克,威灵仙12克,骨碎补12克,五加皮12克。水煎服,每日剂。

后期

【治法】 补肝肾,壮筋骨。

【方药】

1.主方补骨方(广东省中医院四肢骨折和脱臼治疗图解》)

处方:当归10克,熟地黄10克,续断8克,菟丝子10克,黄芪10克,骨碎补6克,土鳖虫4克,陈皮4克。水煎服,每日l剂。

2.外用方八仙逍遥散(吴谦等《医宗金鉴》)

处方:防风3克,荆芥3克,川芎3克,甘草3克,当归6克,苍术10克,牡丹皮10克,苦参15克,黄柏6克。煎水熏洗患处,每日剂。

肱骨外髁骨折的练功活动有移位骨折在复位后1周内,可作手指轻微活动,不宜作强力前臂旋转、握拳、腕关节屈伸活动,以免使前臂伸肌群或旋后肌紧张,牵拉骨折块而发生再移位。1周后,逐渐增加指、掌、腕关节的活动范围。解除夹板固定后,可开始进行肘关节屈伸、前臂旋转和腕、手的活动功能锻炼。

【发病机理】

伤因基本上与肱骨髁上骨折相同。多由间接复合外力造成当儿童撞倒时手掌着地,前臂多处于旋前,肘关节稍屈曲位,大部分外力沿桡骨传至桡骨头,再撞击肱骨外髁骨折而发生骨折。同时多合并肘外翻应力,伸肌牵拉等因素而形成骨折,骨折线由外髁上部斜向下内达滑车桡侧部,骨块常包括桡侧干骺端骨片肱骨小头骨骺和滑车桡侧部分,可因外力方向、前臂旋转及内收牵拉,而产生不同的类型。

一般分为3型。北京积水潭医院根据病理变化分为4型。

Ⅰ型:无移位骨折型。骨膜未撕裂,X线片可见到干骺端有骨折线。

Ⅱ型:侧方移位型。骨块向侧方、前方或后方移位。骨折端间隙增大轻度移位者,骨膜部分撕裂,重度移位者,完全撕裂,复位后骨块不稳定,在固定中可发生再移位。

Ⅲ型:旋转移位型。骨折块向侧方、前方或后方移位。并旋转移位。由于局部伸筋膜骨膜完全断裂,加之前臂伸肌的牵拉,故骨折块纵轴向外旋转移位可达90°~180°。在横轴上也可发生向前或向后的不同程度的旋转。肱尺关节无变化。

Ⅳ型:骨折脱位型。骨折块可侧方移位、旋转移位,同时肘关节可向桡侧、尺侧及后方脱位。关节囊侧副韧带撕裂,肘部软组织损伤严重。

此型骨折并不少见。Hardacre报告46例移位型骨折,合并肘关节脱位者9例,约占20%。因肘部软组织损伤严重,治疗较其他三型困难,预后亦较其他三型差。故北京积水潭医院将此类骨折称为骨折脱位型,以引起重视。

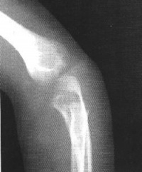
影像学表现]

儿童的肱骨外髁骨骺骨折X线上可见肱骨外髁骨骺或骨骺的骨折部分与肱骨远端分离明显,往往连同从干骺端撕脱的小骨片一起向外有反转变位。这是由于附着在外髁的伸肌健的牵拉所致。部分患者同时合并有尺骨鹰嘴骨折

临床表现

外侧肿胀,并逐渐扩散,可以整个关节。骨折脱位型肿胀最严重。肘外侧出现瘀斑,逐渐扩散可达腕部。伤后2~3天皮肤出现水泡。肘外侧明显压痛,甚至可发生肱骨下端周围压痛。移位型骨折,可能触到骨擦音及活动骨块。可发生肘外翻畸形,肘部增宽,肘后三点关系改变,肘关节活动丧失。被动活动时疼痛加重,旋转功能一般不受限。

X线照片显示肱骨小头的骨折线多超过化骨核的1/2,或不通过小头化骨核,而通过肱骨小头与滑车间沟的软骨在干骺端处有一骨折线。骨折块可向外侧移位。骨折脱位型X线片,正位片显示骨折块连同尺桡骨可向桡侧或尺侧移位,侧位片显示可向后侧移位,偶可见向前移位者。肱骨外髁骨折在X线片上表现为多种多样,在同一骨折类型中表现也常不一。