组织学/髓质
来自医学百科
髓质主要由排列成索或团的髓质细胞组成,其间为窦状毛细血管和少量结缔组织。髓质细胞呈多边形,如用含铬盐的固定液固定标本,胞质内呈现出黄褐色的嗜铬颗粒,因而髓质细胞又称为嗜铬细胞(chromaffin cell)。另外,髓质内还有少量交感神经节细胞,胞体较大,散在分布于髓质内(图11-5)。
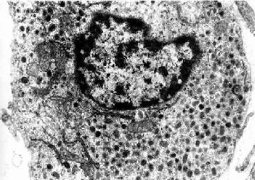
电镜下,髓质细胞最显着的特征是,胞质内含有许多电子密度高的膜被分泌颗粒,直径150~350nm 。根据颗粒内含物质的差别,髓质细胞分为两种。一种为肾上腺素细胞,颗粒内含肾上腺素(adrenaline),此种细胞数量多,约占人肾上腺髓质细胞的80%以上(图11-7)。另一种为去甲肾上腺素细胞,颗粒内含去甲肾上腺素(noradrenaline)。肾上腺素和去甲肾上腺素为儿茶酚胺类物质。此外,两种细胞的颗粒内尚含ATP及嗜铬颗粒蛋白,它们与肾上腺素或去甲肾上腺素组成复合物贮存在颗粒内。髓质细胞可与交感神经节前纤维形成突触,节前纤维末梢释放之酰胆碱作用髓质细胞,引起髓质细胞分泌颗粒释放肾上腺素或去甲肾上腺素入血。肾上腺素使心率加快、心脏和骨骼肌的血管扩张;去甲肾上腺素使血压增高,心脏、脑和骨骼肌内的血流加速。
图11-7 大鼠肾上腺髓质肾上腺素细胞×10000
(白求恩医科大学尹昕、朱秀雄教授供图)