匿名
未登录
讨论
贡献
登录
医学百科
搜索
生精上皮
来自医学百科
名字空间
页面
更多
更多
语言
页面选项
Read
编辑
编辑源代码
历史
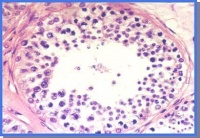
生
精小管
的
生精上皮
,
生精细胞
排列成复层。
图为
睾丸
,HE
染色
导航
导航
症状百科
疾病百科
药品百科
中医百科
中药百科
人体穴位图
全国医院列表
功能菜单
最近更改
随机页面
Wiki工具
Wiki工具
上传文件
特殊页面
页面工具
页面工具
用户页面工具
更多
链入页面
相关更改
可打印版本
固定链接
页面信息
页面日志