扁平苔藓
扁平苔藓是一种具有特征性的紫红色扁平丘疹、斑丘疹,呈慢性经过的皮肤病。发于真皮浅层的慢性炎症性皮肤病,也侵及口腔粘膜。皮损为多角形紫色扁平丘疹,用液体石蜡涂搽后,可见小白点及细纹,称威克姆纹。粘膜为灰白色网状损害。搔抓后局部可出现条形同样损害。侵及甲板时,甲板肥厚粗糙,有纵或横沟,甲可萎缩、缺甲或有窦状胬肉。阴茎部皮损常呈环形。病因不明。顽固难治,但预后良好。可用维生素B1及B12治疗,也可外用皮质类固醇激素制剂。
基本概述[编辑 | 编辑源代码]
扁平苔藓实际上不是癣,而是一种比较常见的表浅性、非感染性、慢性炎症性疾病,好发于口腔黏膜,也可发生在皮肤、生
殖器、指甲或趾甲。口腔黏膜扁平苔藓的特点是口腔(颊、舌、唇、腭等处)黏膜上,出现白色颗粒状条纹或网状、树枝状、斑块状、环状丘疹或水疱等多种形式的病损,且往往具有明显的左右对称性。依据病损形态和严重程度的不同,可分为三型。网状型:表现轻微,仅有角化病损;萎缩型:条纹间黏膜充血、红肿;浸润型:有的病损区黏膜粗糙、增厚,典型表现为病损区出现表浅性糜烂或溃疡、出血,疼痛明显。口腔扁平苔藓多见于40岁以上的女性,并随着年龄增长而症状加重。多数医生认为口腔扁平苔藓实质上是一种慢性自身免疫性疾病。是否属于癌前病变尚有争议,但扁平苔藓确有癌变的报道。最近一项研究表明,口腔扁平苔藓的癌变率为1.75%。
是一种复发性,瘙痒性,炎症性皮疹。特点是小的散在性多角形扁平紫红色丘疹,其丘疹亦可融合成粗糙的鳞屑性斑片。常伴有口腔损害。病因不明。某些药物(如砷、铋、金)或接触某些用于彩色照片显影的化学物质可引起与扁平苔藓相似的损害。长期口服阿的平或奎尼丁可产生下肢肥大性扁平苔藓以及其他皮肤方面和系统性损害,其他因素有肝脏疾病和移植物抗宿主反应。
症状[编辑 | 编辑源代码]
(1)口腔黏膜病损可发生于口腔黏膜的任何部位,大多左右对称,87.5%的病损多发于颊部,患者多无自觉症状,常偶然发
现。有些患者感到黏膜粗糙、木溲感、烧灼感,口干,偶有虫爬痒感。黏膜充血糜烂和遇辛辣、热、酸、咸味刺激时,局部第三灼痛。病情可反复波动,可同时出现多样病损。并可相互重叠和相互转变。病损为白色小丘疹,一般为针头大,属角化病损,由白色丘疹组织的各种花纹,以白色条纹、白色斑块为主,有网状,树枝状、环状或半环状,黏膜可发生红斑、充血、糜烂、萎缩和水疱。
(2)皮肤病损扁平丘疹微高出皮肤表面,粟粒至绿豆大,多角形,边界清楚。多为紫红色,可有色素减退、色素沉着或正常皮色。有的丘疹可见到白色小斑点或浅的网状白色条纹,称为Wickham纹。病损发生于身体各部位,但四肢较躯干更多见。患者感瘙痒,皮肤上可见抓痕。溃疡性损害可有疼痛。发生在头皮时,破坏毛囊可致秃发。皮损痊愈合可遗留褐色色素沉着,并可因色素减少成为略萎缩的淡白色斑点。
(3)指(趾)甲病损甲部增厚或变薄。甲部扁平苔藓最多见于拇趾,甲板常有纵沟及变形。甲部损害一般无自觉症状,如有继发感染,可引起周围组织疼痛。
分类[编辑 | 编辑源代码]
口腔科疾病描述扁平苔藓是一种原因不明的非感染疾患,病损可同时或分别发生在皮肤和黏膜。口腔扁平苔藓是多见病,男女均可发病,女性多于男性,好发年龄为中年人,但从十几岁儿童到80岁老人都可发病。
病理[编辑 | 编辑源代码]
病因不明,与精神因素、内分泌因素、免疫因素、感染因素等有关。
1、精神因素OLP发病与失眠、情绪波动、更年期或经前期精神紧张有关,这些因素去除后,病情即可缓解。
2、内分泌因素临床可见有的女性OLP患者在妊娠期间病情缓解,哺乳后月经恢复时,病损又复出现。
3、免疫因素OLP是一种口腔黏膜以T细胞介导的炎症病变,T淋巴细胞由局部微血管外渗,后移行至口腔上皮,聚集在OLP病损内。用皮质类固醇及氯喹等免疫抑制剂有效,证明本病与免疫有关。
4、感染因素通过病理切片及电子显微镜检查,发现病损内有可疑的病毒与细菌。
5、微循环障碍因素据国内多项调查提示,高黏血症及微循环障碍与扁平苔藓的发生有关。
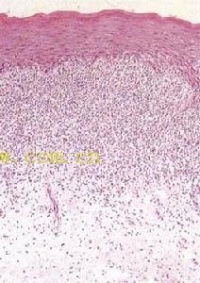
6、组织病理具有特征性。表皮角化过度,颗粒层呈据灶性楔形增厚,棘细胞不规则增厚,表皮突呈锯齿状,基底细胞液化变性,真皮上部淋巴细胞呈带状浸润,真皮乳头层可见胶样小体及嗜黑素细胞。
临床诊断[编辑 | 编辑源代码]
疾病检查[编辑 | 编辑源代码]
1.询问发病过程、自觉症状、治疗经过及消化道的幽门螺杆菌(HP)感染情况,询问诱因,如精神因素、内分泌失调、自身免疫及感染等。
2.口腔病损的特征是否由白色细纹或丘疹构成的网状、环状、树枝状或斑块状等损害。
3.检查时应注意病损的部位、形状、色泽及周围粘膜有无充血、糜烂或水疱等,并注意有无皮肤病损同时存在。
4.必要时可做活检,注意与红斑的鉴别,对长期充血糜烂不愈的病损应严密观察有无癌变。
诊断要点[编辑 | 编辑源代码]
扁平苔藓具有明显的组织学特征。持久的口腔或外阴扁平苔藓呈肥厚的融合损害有时在临床上很难与粘膜白斑相鉴别,口腔广泛的糜烂性损害也需要与念珠菌病,癌肿。阿弗他溃疡、天疱疮、瘢痕性类天疱疮和慢性多形性红斑相鉴别,扁平苔藓损害周围可见短的树枝状伸展和特殊的灰白色花边样损害,活检常常是有指征的,但陈旧性损也可没有特殊发现。
一、 起因虽还不甚清楚,但经研究发现,诱发扁平苔藓的因素有全身因素:主要是精神压力或抑郁、失眠、忧虑等;系统性疾病如丙型肝炎、胃或十二指肠溃疡等的影响;免疫功能低下以及遗传因素,均易诱发本病。局部因素如牙结石、残冠、残根的慢性刺激以及细菌、病毒感染也可导致扁平苔藓。
二、多发于青壮年男女,常慢性经过。
三、皮疹多为三角形或多角形扁平丘疹群集,正常肤色或紫红色,表面蜡样光泽,排列成带状或环状,有不同程度瘙痒。皮疹可发于任何部位皮肤,但以四肢尤以腕部屈侧为多。
四、少数皮疹中央有角质栓,去除之可见似脐窝的中心凹陷。
五、少数病人可累及口腔或外阴粘膜,出现树枝状或网状的白色细纹。
治疗[编辑 | 编辑源代码]
治疗原则[编辑 | 编辑源代码]
无症状扁平苔藓不需治疗。如怀疑为药物或化学物引起应立即停用,抗组胺药物(如口服羟嗪25mg或扑尔敏4mg,每日4次)或许是通过其镇静作用来减轻中度瘙痒。限局性瘙痒性或肥大性损害可用醋酸去炎松混悬剂以盐水稀释2.5~5mg/ml注入皮损浅层,使损害稍隆起即可(至少间隔3周以上方可再注射)。亦可用皮质类固醇激素封包疗法(即用0.1%醋酸去炎松霜或更强的局部皮质类固醇激素于睡前用聚乙烯封包,或者用丙酮缩氟氢羟龙胶布敷贴)。0.1%维甲酸溶液配合皮质类固醇激素治疗光滑皮肤扁平苔藓亦有效,晚间用棉签将维甲酸涂于患处,白天每天3次用强效皮质类固醇霜剂(参见第110节)。对糜烂性口腔损害,于餐前试用粘性利多卡因漱洗可使症状缓解。
糜烂性口腔损害和广泛性,严重性瘙痒皮损常需用全身皮质类固醇激素治疗(开始时口服强的松每晨40~60mg,每周约递减1/3量)。然而,停药后瘙痒又会复发,可试用小剂量皮质类固醇激素隔日晨服,如病人仍有瘙痒,可应用PU-VA治疗。
其他可以用于治疗严重病例获得成功的全身疗法包括维甲酸:依曲替酯和异维甲酸,环孢菌素,环磷酰胺以及PUVA等。口腔糜烂扁平苔藓可以口服氨苯砜或环孢菌素含漱。本病倾向于自限性,但数年后又可复发。
治疗方案[编辑 | 编辑源代码]
1、应详细询问病史,调理全身情况。
2、局部应用肾上腺皮质激素软膏、凝胶和油膏,以及选用药膜、含片、气雾剂。也可选用10-25mg泼尼松龙、5-10mg曲安西龙、曲安奈德等加入2%普鲁卡因等量作病损区基底部注射,7-10天1次。
3、昆明山海棠,每次k,每天3次,可较长期服用;雷公藤多甙片0.5-1mg/(kg?d)。
4、刮治牙面结石,用棉签洗拭代替刷牙,以避免刷毛刺伤损害区黏膜。
5、用氯喹每次mg,每天2次,注意血象变化。可选用左旋咪唑、转移因子、聚肌胞、多抗甲素等
6、用氯已定漱口液或制霉菌素含漱液,局部还可用制霉菌毒药膜或糊剂。
7、中医中药治疗。
治疗措施[编辑 | 编辑源代码]
尚无满意疗法,应消除精神紧张,治疗慢性病灶,生活力求规律。
1.围绕病史、临床与实验室检查结果,针对有关因素予以治疗:凡损害无糜烂且范围局限时,可酌给2%~4%碳酸氢钠溶液与0.2%洗必泰溶液交替含漱,每日数次。每月复查1次,着重对危险区域的检查。
2.去除机械性刺激因子,刮除磨牙颊面的牙石。为避免牙刷毛刺伤损害区粘膜,最好用棉签洗拭代替刷牙。
3.发生局部糜烂时可撒敷复方类固醇粉,每日数次。症状明显时可局部注射确炎舒松,每周2次,与(或)加用抗生素;唇红部可涂肤轻松,但有痂皮时应先湿敷治疗,待痂皮脱落再涂一薄层,每日数次。
4.肾上腺皮质类固醇全身应用应当慎重,效果并不理想,可试用小剂量与短程的方案,如强的松每日mg,3次分服,约1~2周,服药期间应作大便隐血与血压检查。
用肾上腺皮质类固醇局部注射的效果比全身应用更为有效。也可用昆明山海棠或雷公藤片口服。
昆明山海棠与雷公藤同属卫矛科雷公藤科植物,适用于红斑狼疮等结缔组织与自身免疫性疾病。前者能抑制迟发型变态反应,降低毛细血管渗透性,减轻水肿,对炎症增生有较强的抑制作用。较大剂量可抑制特异抗体生成,副反应轻微,偶有恶心,腹胀、皮疹、白细胞减少,血小板减少等症状。但雷公藤是剧毒制剂,主要是对心脏的影响,禁用于未婚或已婚未育男性患者与孕妇。
剂量一般为:昆明山海棠每日3次,每次片,雷公藤每日2次,每次~4片。
5.局部可用抗霉菌治疗,对病情好转有一定帮助。
口服维生素A,每日5万U,或维甲酸35~50mg/d,初服时可能发生头痛、头晕,可酌减剂量,通常在几天后即可适应。从第2~3周起,逐渐增加至每日~60mg,3次分服,疗程约1~2个月。常见的副反应有口唇干燥、脱发等。冠心病、肝肾功能异常与高血脂者忌用。
0.2%维甲酸溶液适用于局部涂布,但不适用于伴有充血、糜烂的损害。涂布时先拭干唾液,以最细毛笔蘸少量溶液沿白色区域涂布,慎勿涂在唇红粘膜。软膏制剂因不能粘附于润滑的口腔内侧粘膜故不适用。新型制剂isotretinoin与arotinoid的作用基本上与维生素A酸相同,主要优点是剂量小(每日每公斤mg)、毒性低、副反应少(唇红干燥、脱发),但有致畸作用。
治疗要点[编辑 | 编辑源代码]
一、找出可疑病因并去除之。
三、内用药可选用抗 过敏 药,抗生素和皮质激素类药物,必要时可用免疫抑制剂,干拢素、维甲酸等药物。
安全提示[编辑 | 编辑源代码]
本疾病中年女性患者较多,尚无满意疗法,应消除精神紧张,治疗慢性病灶,生活力求规律。
苔藓样反应
苔藓样反应(lichenoid reaction)是由于全身应用某些药物,或口腔中的修复材料而引起的口腔黏膜发生类似于扁平苔藓样的病损,亦称苔藓样疹。
【苔藓样的病因】
诱发口腔溃疡损害的药物有:非甾体类抗炎药、金制剂、磺胺类、降糖药、甲基多巴、酮康唑、氰酰胺及口腔修复材料。
【苔藓样的病理】
主要表现为上皮浅层的淋巴细胞浸润,而不是典型的带样浸润,病可见嗜伊红细胞、浆细胞、嗜中性白细胞浸润。直接免疫荧光染色,免疫球蛋白、补体、纤维蛋白原均为阳性。
【苔藓样的临床表现】
口腔黏膜上出现白色条文,呈白色斑块状、放射状、亦可表现为大小不等的糜烂或溃疡。特别是舌边缘、腭和牙龈受累比扁平苔藓更常见。如果缺乏明显致病因素,则与扁平苔藓难以区别。
皮肤如果出现病损则皮损大,Wickham纹一般不存在,麟屑较多,伴有湿疹样变,愈后色素沉着明显。
【苔藓样的诊断】
通过病史、临床表现、病理切片检查进行诊断。
【苔藓样的治疗】
由药物引起,则停用有关药物,一般可以缓解或愈合。由口腔修复材料所引起口腔黏膜苔藓样反应,可去除原修复材料,病损一般能痊愈。
