慢性溃疡性结肠炎
概述[编辑 | 编辑源代码]
溃疡性结肠炎是一种结、直肠粘膜的弥漫性炎症,其临床特点为原因不明的、时好时坏血性腹泻。难以设想如此一个破坏性疾病却无一个可确定的病因或一个特异的内科治疗方法。虽然切除全部病变的结、直肠可完全治愈此病;但付出的代价将是有可能从此终身腹部回肠造口。
疾病概述
慢性非特异性溃疡性结肠炎简称溃疡性结肠炎、是一种原因不明的直肠、结肠炎症性疾病。本病发病机理虽未完全明了,但一般认为与免疫、精神神经、过敏、遗传及非特异性感染等因素有关。本病可分为轻型、重型及暴发型3种。
诊断要点
除少数患者起病急骤外,一般起病缓慢,病情轻重不一。症状以腹泻为主,排出含有血、脓和粘液的粪便,常伴有阵发性结肠痉挛性疼痛,并里急后重,排便后可获缓解。
轻型患者症状较轻微,每日腹泻不足5次。
重型每日腹泻在5次以上,为水泻或血便,腹痛较重有发热症状,热度可超过38.5℃,脉律增速大于90次/分。
暴发型较少见。起病急骤,病情发展迅速,腹泻量大,经常便血。体温升高可达40℃,严重者出现全身中毒症状。疾病日久不愈,可出现消瘦、贫血、营养障碍、衰弱等。部分患者有肠道外表现,如结节性红斑、虹膜炎、慢性活动性肝炎及小胆管周围炎等。
治疗建议
对于暴发型及病情严重的患者,不宜在家里治疗,应尽快送往附近医院就诊。医生一般会采取药物抗感染的治疗措施,如内科治疗效果不佳的病例,会考虑手术治疗。
轻型患者建议采取中医中药治疗,在有经验的医生辨证指导下进行调理,可供选择的中成药有:
(1)属湿热下注型的,宜清利湿热。可服香连丸、香连化滞丸、葛根芩连片等。
(3)属脾胃虚弱型的,宜补脾健胃。可服参苓白术丸、人参健脾丸、启脾丸、补脾益肠丸等。
(4)脾肾阳虚型的,宜温补脾肾。可服四神丸、脾肾双补丸、附子理中丸等。
注意事项
1.注意劳逸结合,不可太过劳累;暴发型、急性发作和严重慢性型患者,应卧床休息。
2.注意衣着,保持冷暖相适;适当进行体育锻炼以增强体质。
3.一般应进食柔软、易消化、富有营养和足够热量的食物。宜少量多餐,补充多种维生素。勿食生、冷、油腻及多纤维素的食物;
4.注意食品卫生,避免肠道感染诱发或加重本病。忌烟酒、辛辣食品、牛奶和乳制品。
5.平时要保持心情舒畅,避免精神刺激,解除各种精神压力。
慢性溃疡性结肠炎饮食原则及要求[编辑 | 编辑源代码]
(1)供给足够的热量、蛋白质、无机盐和维生素,尽可能避免出现营养不良性低蛋白血症,以增加体质,利于病情缓解。
(2)应避免食用刺激性和纤维多的食物,如辣椒、芥末等辛辣食物,以及白薯、心里美萝卜、芹菜等多渣食物。疾病发作时,应忌食生蔬菜、水果及带刺激性的葱、姜、蒜等调味品。刀工要细,不要用大块肉烹调,要经常用碎肉、肉丁、肉丝、肉末和蒸蛋羹、煮鸡蛋等形式。尽量限制食物纤维,如韭菜、萝卜、芹菜等。
(3)腹泻时不宜吃多油食品及油炸食品,烹调各种菜肴应尽量少油,并经常采用蒸、煮、焖、氽、炖,水滑等主方法。可用红茶、焦米粥汤等收敛饮料,加餐宜少量多餐,增加营养。
在饮食调养过程中,病人及其家属应注意观察病情,注意哪些食物对 病人效果好,哪些食物病人食后感到不适或有过敏反应,应及时总结经验,不断摸索适合病人的饮食。在疾病发作期,因不能食用蔬菜、水果,应注意适量补充维生素制剂,以保证机体对维生素的需求。
另外:某些消化道疾病患者不能喝牛奶,牛奶能促进胃酸分泌,从而加重和诱发消化道疾病。因此,患溃疡性结肠炎、返流性食管炎、胆囊炎、胰腺炎及施行全胃切除手术后的病人,最好不喝牛奶。
慢性溃疡性结肠炎食物选择和禁忌[编辑 | 编辑源代码]
宜用食物:大米、富强粉、鸡蛋等易消化的食物。维生素和矿物质的补充可用菜汤、果汁、果冻等,必要时可服用营养素补充剂。
不宜用食物:
1、烈性酒等刺激性食物。
2、硬果类、果仁类、豆类及多纤维的水果、蔬菜。
3、结肠炎症大多导致乳糖不耐,应少用牛奶。
5、禁烟,吸烟对肠道亦有刺激作用。
6、禁酒,酒生湿热,不利于疾病的恢复。
治疗措施[编辑 | 编辑源代码]
(一)内科治疗
溃疡性结肠炎急性复作的结局主要取决于疾病的严重度,表现为全身症状,而与病期及病变范围无关,如溃疡性直肠炎除外不予考虑的话。
内科治疗应包括4个面:⑴卧床休息和全身支持治疗:包括液体和电解质平衡,尤其是钾的补充,低血钾者应予纠正。同时要注意蛋白质的补充,改善全身营养状况,必要时应给予全胃肠道外营养支持,有贫血者可予输血,胃肠道摄入时应尽量避免牛奶和乳制品。
⑵柳氮磺胺吡啶(Azulfidine,SASP):开始时给0.25g口服4次/d,以后增至1g 4次/d口服,在奏效后改为1g 3次/d或0.5g 4次/d。并可同时给甲硝唑0.2g 3次/d,3周后改甲硝唑肛栓0.2g 2次/d纳肛,以后改0.2g 1次/d纳肛,并持续应用3~6月。
⑶皮质类固醇:常用量为强的松5~10mg,3次/d,1~2周后,剂量递减,每周减少5mg,直至最后5mg 1次/d或2.5mg 2次/d作为维持量。或用地塞米松0.75~1.5mg 3次/d,同样递减至0.75mg qd或0.375mg bid作维持,但目前并不认为长期激素维持可防止复发。在急性复作期亦可用氢化考的松100~300mg或地塞米松10~30mg静脉滴注,以及每晚用氢化考的松100mg加于60ml生理盐水中作保留灌肠,在急性发作期应用激素治疗的价值是肯定的,但在慢性期是否应持续使用激素则尚有分歧,由于它有一定副作用,故多数不主张长期使用。除皮质类固醇外,也可用ACTH 20~40U静脉点滴。
⑷免疫抑制剂:在溃疡性结肠炎中的价值尚属可疑。据Rosenberg等报道硫唑嘌呤(azathioprine)在疾病恶化时并无控制疾病的作用,而在慢性病例中它却有助于减少皮质类固醇的使用。
(5)中药治疗:腹泻型溃疡性结肠炎可用中医中药治疗,效果比较理想。同时应注意饮食以及生活习惯,比如辣的 ,凉的 ,油腻大的不易吃。
(二)外科治疗
约有20%~30%溃疡性结肠炎患者最终将需要手术治疗。以往,在各种内科治疗方法失败后,手术作为最后一种解决疾病的方法,而病员也处于急性或慢性疾病严重营养不良和虚弱的状况下。现在多主张较早施行手术,这种治疗态度的变化是由于现在有好几种手术可供选择和尝试,而手术的结果是良好的。
⑴手术指征:需急症手术的指征有:①大量、难以控制的出血;②中毒性巨结肠伴临迫或明确的穿孔,或中毒性巨结肠经几小时而不是数天治疗无效者;③暴发性急性溃疡性结肠炎对类固醇激素治疗无效,亦即经4~5d治疗无改善者;④由于狭窄引致梗阻;⑤怀疑或证实有结肠癌。此外,还有几种非急症情况应考虑手术,如:⑥难治性慢性溃疡性结肠炎是指反复发作恶化,慢性持续性症状,营养不良,软弱,不能工作,不能参加正常社会活动和性生活;⑦当类固醇激素剂量减少后疾病即恶化,以致几个月甚至几年不能停止激素治疗,这是不得不作结肠切除的手术指征;⑧儿童患慢性结肠炎而影响其生长发育时;⑨严重的结肠外表现如关节炎,坏疽性脓皮病、或胆肝疾病等可能对手术有效应。
⑵手术选择:目前对慢性溃疡性结肠炎有四种手术可供选用。各有优缺点,因此应用严格的适应范围,只有合理的选用才能取得最好的效果。
①结直肠全切除、回肠造口术:这是最古老、最彻底的手术、无复发和癌变之虑,术后再也不需服药。术后并发症较少,手术可一期完成。但永久性回肠造口给病员带来生活上的不便,精神上的痛苦和肉体上的折磨,无疑是病员最不愿接受的手术,因此这一术式应限用于具有低位直肠癌需作直肠切除者;有肛门疾病或肛门手术史的病员;以往曾作小肠切除或疑有克隆病不适宜作盆腔回肠袋手术者。
②结肠全切除、回直肠吻合术:这是一个有争议的手术,因为保留有病变的直肠,有疾病再活动和癌变的危险。然而这一手术操作简便,避免永久性回肠造口,手术并发症少。因此在Koch回肠造口术和回肠袋肛管吻合术问世前这是唯一可避免永久性回肠造口术的术式。赞成采用这一术式者认为至少可让病员少受几年回肠造口之苦,此手术主要适用于直肠无病变的患者。对结肠或直肠中有癌肿或间变的病例,直肠纤维化不能扩张者,有肛周疾病以及术后不能定期随访复查的病例均不宜选作此手术。
③控制性回肠造口术:Koch首创在回肠造口前利用末端回肠建成一个储存袋和一个乳头瓣,以达到控制排便的目的,这是一个比较复杂的手术,并发症较多,尤其是有关乳头瓣的并发症如瘘管形成,乳头瓣滑动,坏死和瓣脱垂,其中以乳头瓣滑动最为常见,也是最难应付的问题。虽然有许多改良以减少其发生,但尚无法消除。理论上Kocn回肠袋的地位更有了限制。一般,病员希望避免回肠造口术者宜选盆腔回肠袋手术;如病员已往已作结直肠全切除术或因低位直肠癌或肛门功能障碍不适宜作盆腔回肠袋手术者,则可选作Kocn回肠袋手术。但以往曾作小肠切除手术或小肠伴克隆病者则属Kocn回肠袋手术的禁忌证。
④结直肠全切除、回肠袋肛管吻合术(IPAA):术手术主要适用于慢性溃疡性结肠炎对内科治疗无效的病例,不间断的肠道外表现,持续的少量出血,狭窄或粘膜严重间变的病例。位于直肠中段平面以上的癌肿病例且无播散者也是本手术的适应者。在急性情况下千万别作此手术。另外在急症结肠切除时,直肠不一定要切除,尤其在年轻患者;如临床情况需要,直肠应予保留,以后还可以再作近端直肠切除,远端直肠内粘膜剥除,回肠袋肛管吻合术。
回肠袋肛管吻合术大致可分为3类:即双腔回肠袋,包括J型、改良J型和侧方回肠袋,三腔回肠袋(S形回肠袋)和四腔回肠袋(W形回肠袋)。每一种回肠袋各有优缺点。
S形回肠袋肛管吻合术是最早出现的盆腔回肠袋手术,由Parks和Nicholls在1978年提出,最初他们用30cm末端回肠褶叠成三段,以后改进用50cm长分成15cm长三段和5cm长输出管。结果有50%需插管排空,储存袋炎是最常见并发症。不少学者指出储存袋过大和输出管过长是导致滞留和储存袋炎的二个主要原因。因此,目前主张取三段10~12cm回肠组成储存袋,而输出管长度则以2~4cm为宜。
J形储存袋肛管吻合术系1980年Utsunomiya倡导,其优点为排空好,滞留少,两个相反方向蠕动的肠段可加强储存功能。储存袋由两段12~15cm长末端回肠组成,然后将回肠袋的顶端拉下与肛管作端侧吻合。
改良J形回肠袋肛管吻合术是Balcos设计的一种改良J形回肠袋,即将原J形袋的后跟处截断,远端段拉下与肛管作一逆蠕动的回肠肛管端端吻合术,输出管长度同样不宜超过4cm。这一手术兼具J形袋的优点,由端侧吻合变为端端吻合就纠正了J形袋的最大缺点。
旁侧侧侧回肠袋肛管吻合术是1980年Peck提出的另一种双腔回肠袋手术,手术分二期进行,第一期先作回肠肛管端端吻合术,然后在末端回肠30~40cm处作端式回肠造口。3~6个月后关闭回肠造口,并将近端回肠拉下在盆腔内与远端回肠作侧侧吻合,回肠袋成形术。理论上两段回肠均为顺蠕动,滞留更少,具有J形袋的全部优点,而无J形袋的缺点。但实际上第二期手术极为困难,二期手术均系大手术,因此Peck本人现在已弃用这一手术。
W形回肠袋肛管吻合术则是将四段12cm长的末端回肠褶叠、切开、形成一个大腔,拉下与肛管作端侧吻合。在操作上这一手术较为费时和困难,但由于形成的腔大,储存功能较好。Nicholls和Pezim(1985)报道104例IPAA,比较J形、S形和W形回肠袋术后功能,包括正常控便、自行排便和容量三大指标,结果三项指标均以W形回肠袋最优。Keighley等(1989)报道65例IPAA,主要比较J形与W形回肠袋术后并发症与功能,结论是两种回肠袋并无区别。Wexner(1989)报道114例主要为S形回肠袋,平均随访5年,总疗效包括自行排空92%,清醒时排空91%,夜间控便76%,白天经常失禁1例,夜间经常失禁3例,总失败率8%,术后恢复工作87%。Silva等(1991)报道88例IPAA,比较J形,S形和W形三种术式结果,以W形最佳,S形最差。最近,Gratz和Pemberton(1993)报道美国Mayo Clinic 1400例IPAA的经验,主要是J形回肠袋,全组仅2例术后死亡,1例死于激素引起的胃溃疡穿孔,另1例死于肺栓塞。从长远来看95%患者对手术感到满意。但控便并不完善。少数病员仍有粪便溢逸,再者高达1/3患者有储存袋炎,目前尚无有效的长期预防或治疗的方法,因此还需进一步研究解决。然而在现有的四类手术中,结直肠全切除、回肠袋肛管吻合术不失为较为合理、可供选用的方式。
(三)中药治疗建议:对慢性溃疡性结肠炎长期患者或愿意反反复复的患者,建议可以用中药进行治疗,同时注意一下饮食习惯。
病因学[编辑 | 编辑源代码]
溃疡性结肠炎的病因至今仍不明。虽有多种学说,但目前还没有肯定的结论。细菌的原因已经排除,病毒的原因也不象,因为疾病不会传染,病毒颗粒也未能证实。克隆病患者血清溶酶体升高,溃疡性结肠炎患者则为正常。
基因因素可能具有一定地位,因为白人中犹太人为非犹太人的2~4倍,而非白人比白人约少50%,最近Gilat等对特拉维也夫的犹太人的研究中报道溃疡性结肠炎的发病率明显降低,为3.8/10万,而丹麦哥本哈根为7.3/10万,英国牛津7.3/10万和美国明尼苏达州7.2/10万。此外,女性与男性比例也仅0.8而其他报道为1.3。显然地理上和种族上的差异影响本疾病的发生。
心理因素在疾病恶化中具有重要地位,现在已明确溃疡性结肠炎患者与配对对照病例相比并无异常的诱因。再者,原来存在的病态精神如抑郁或社会距离在结肠切除术后明显改善。
有认为溃疡性结肠炎是一种自身免疫性疾病,许多病人血中具有对正常结肠上皮与特异的肠细菌脂多糖抗原起交叉反应的抗体。再者,淋巴细胞经结肠炎病员的血清培养可变为对结肠上皮有细胞毒性。此外在结肠炎病人的T和B淋巴细胞群中发现有改变。但以后认识到这些异常并非疾病发生所必须,而是疾病活动的结果。事实上,Brandtzueg等清楚地证明并非溃疡性结肠炎病人残留腺体中组织水平免疫球蛋白活动有缺陷,IgA运输正常,而IgG免疫细胞反应为对照病员的5倍。因此,有可能IgG在疾病的慢性过程中具有作用,但与疾病发生则无关。
总之,目前认为炎性肠道疾病的发病是外源物质引起宿主反应,基因和免疫影响三者相互作用的结果。根据这一见解,慢性溃疡性结肠炎与克隆病是一个疾病过程的不同表现。由于宿主对外源性物质的抗原发生过敏,一旦肠的免疫启动建立——或许这种启动是建立在婴儿期微生物克隆化时期——任何增加粘膜对这些抗原渗透性的伤害,都可能诱发肠壁的炎症性反应。抗原的类型和其他一些因素决定着炎症过程的性质,即发生克隆病或溃疡性结肠炎。
病理改变[编辑 | 编辑源代码]
溃疡性结肠炎是一个局限在结肠粘膜和粘膜下层的疾病。这与结肠克隆病的肠壁内炎症性变化有鲜明区别,后者在肉芽肿样炎性过程中肠壁各层均受累。但溃疡性结肠炎时所见的病理变化是非特异性的,也可在细菌性痢疾、阿米巴痢疾和淋菌性结肠炎中见到。
病变开始时为粘膜基底Lieberkülin隐窝有圆细胞和中性多核细胞浸润,形成隐窝脓肿,光镜下可见覆盖的上皮细胞染色过浅和空泡形成。电镜中可见线粒体肿胀,细胞间隙增宽以及内浆网质增宽。随着病变进展,隐窝脓肿联合和覆盖上皮脱落,形成溃疡。溃疡邻近则有相对正常的粘膜,但有水肿,成为自肉样外貌,在相邻的溃疡间变得很孤立。溃疡区被胶原和肉芽组织放纵地生长所占领,并深入溃疡,但罕有穿透肌层者。在暴发型溃疡性结肠炎和中毒性巨结肠时,这些病变可穿透整个肠壁,导致穿孔。所幸,这种类型的病变不多见,分别占15%和3%。病理变化为临床表现提供了清楚的解释。几乎每天有20次以上的血便。因为肠壁光剥、明显变形的粘膜已不能吸收水和钠,每一次肠蠕动都将从暴露的肉芽组织面上挤出大量血液。早期X线表现为结肠袋消失是粘膜肌层麻痹之故,钡灌肠中结肠短缩和僵直呈烟囱管状则是反复损伤后瘢痕形成的结果。
大多溃疡性结肠炎都累及直肠,但如病变局限在直肠则可称为溃疡性直肠炎。现在还不知道为什么有些病例的病变仅局限在直肠,而另一些则整个结肠受累。多数炎症向近端扩展,侵犯左侧结肠,约有1/3患者整个结肠受累,称为全结肠炎。在10%的全结肠炎患者中末端数厘米回肠也有溃疡,称为反液压性回肠炎。溃疡性结肠炎时病变区域都是相邻的,罕有呈节段性或跳跃式分布。决定疾病严重性和病期的因素还不清楚,可能这些因素与免疫紊乱的范围有关。有证据表明前列腺素可能在疾病的急性发作期具有重要地位,遗憾的是还没有关于对前列腺素合成酶抑制剂如消炎痛有良好效应的报道。
溃疡性结肠炎的病因及发病机理尚不十分清楚,虽有感染、遗传、精神因素及过敏等发病学说,但都不能完全解释溃疡性结肠炎的全貌。以下是慢性溃疡性结肠炎可能的病因学说。
感染因素:
尚未发现任何病毒、细菌或病原虫与本病有何特异性联系。溃疡性结肠炎急性期临床表现及乙状结肠镜检查,其炎性改变酷似菌痢,但反复大便培养以及结肠粘膜中未证实有细菌或病毒感染,使用抗生素治疗效果不佳,故多认为细菌感染不是溃疡性结肠炎的直接发病原因。但患者肠道菌落计数却多超过正常人,在有些病员的配偶及病人共同生活的家庭成员中均可检测出淋巴细胞毒素,从大批病例随访中,确实发现有0.5%~8.2%的菌痢患者常常演变为本病。另外动物实验中,若大肠肠道内是无菌的,则往往不能形成溃疡性结肠炎的动物模型。因此也不能排除肠道细菌在溃疡性结肠炎发病中的作用。
自身免疫因素:
近年来最受重视,研究较深入,据研究事实有以下几点支持自身免疫发病原因。
①临床常并有自身免疫性疾病。
②体液免疫。患者血清中存在多种自身抗体,如抗结肠抗体(主要为IgM),其抗原是结肠上皮细胞内的脂多糖,虽然对胎儿等结肠上皮细胞无细胞毒作用,但它能介导抗体依赖性细胞毒细胞,发挥向导作用,使细胞毒细胞杀伤靶细胞——结肠上皮细胞;血清中还可能含有与结肠上皮细胞抗原起交叉反应的抗大肠杆菌O14型等抗体。另外,血清中还常含有一种( 或一些)抑制巨噬细胞移行抑制因子。
③细胞免疫。患者的淋巴细胞与正常成人或胎儿结肠上皮细胞共同培养,使结肠上皮受损,说明患者的淋巴细胞已被致敏,出现了细胞毒作用。这种细胞毒作用可由大肠杆菌O14
④免疫复合物存在。患者结肠固有膜中有IgG、补体C3的F及S表型和纤维蛋白的沉积的免疫复合物,血循环中的免疫复合物,很可能是引起肠道外病变的因素。
⑤肠壁粘膜局部。常含有大量的IgG细胞,此系T8(抑制性)细胞减少、T4(辅助性)细胞增多的结果。
⑥胸腺器官。免疫器官胸腺常常发生明显增生和肿大,显示淋巴滤泡及上皮细胞B细胞聚集,还可发现有逆病毒颗粒,可以由B细胞诱导传播至其他细胞。
⑦肾上腺皮质激素治疗常起到明显的疗效。
综上说明,免疫学因素研究进展较快,虽还不能认识统一化,但已初见成果。感染为直接病因,而后引起自身免疫的致病变原因,已逐渐被广大医务工作者所接受。
(3)过敏因素:尤对食物过敏,如牛乳等。在某些病人中,当从食物中剔除乳类时,可收到显著的治疗效果。另发现本病的肠粘膜对机械性刺激有过敏现象存在;又发现少部分病人空肠中缺乏乳糖酶,当疾病急性发作时,外周血中可见嗜酸性粒细胞活跃增生,激素治疗有效;本病患者的肠粘膜中肥大细胞增多,刺激后能释放出大量组织胺物质等,以上现象均提示本病和过敏反应的密切关系。
(4)精神与神经因素:本病患者病情复杂或恶化,每与精神紧张、内心冲突和焦虑不安等情绪变化有关,因此身心因素在本病的起始和发展中可能起到重要作用。目前认识到此为诱因,是一种通过植物神经中介作用而产生的结肠的分泌、血管和运动反应紊乱,每使此病促发或加剧恶化。
(5)溶菌酶学说:溶菌酶是一种溶解粘液的酶,其浓度在溃疡性结肠炎病人中大量增多,而在痊愈时降低,认为此酶在溃疡性结肠炎病人体内过度形成,使结肠失去粘液保护作用,而形成了便于细胞侵袭的局部环境。
(6)遗传因素:欧美的家族发病率和种族间的发病率有明显的差别,以及溃疡性结肠炎与某些HLA的相关性,均支持和遗传因素有关。
综观上述有关因素,任何一种单独存在都不足以致病,也不能使病势急转多变,因此目前认为本病是受到免疫遗传影响的宿主反应及外源性刺激交叉互相作用而发生的多因素疾病。
流行病学[编辑 | 编辑源代码]
慢性溃疡性结肠炎是一个全世界都有的疾病,但以西方国家更为常见。其发病率在5~12/10万,流行率50~150/10万。女性略多于男性。发病年龄呈双峰状分布,第一个峰在15~30岁,第二个峰则在50~70岁,并以第一个峰发病为多,在15%~40%病人中有慢性溃疡性结肠炎或克隆病的家族史。在美国,犹太人患者比非犹太人多,但在以色列的犹太人患此病者却较少。我国对此病尚无全面完整的统计,但就临床所见病例而言,并非罕见,且有增多趋势。
临床表现[编辑 | 编辑源代码]
溃疡性结肠炎的最初表现可有许多形式。血性腹泻是最常见的早期症状。其他症状依次有腹痛、便血、体重减轻、里急后重、呕吐等。偶尔主要表现为关节炎,虹膜睫状体炎,肝功能障碍和皮肤病变。发热则相对是一个不常见的征象,在大多数病人中本病表现为慢性、低恶性,在少数病人(约占15%)中呈急性、灾难性暴发的过程。这些病人表现为频繁血性粪便,可多达30次/d,和高热、腹痛。因此,本病的临床表现谱极广,从轻度腹泻性疾病至暴发性、短期内威胁生命的结局,需立即进行治疗。
体征与病期和临床表现直接相关,病员往往有体重减轻和面色苍白,在疾病活动期腹部检查时结肠部位常有触痛。可能有急腹症征象伴发热和肠鸣音减少,在急性发作或暴发型病例尤为明显。中毒性巨结肠时可有腹胀、发热和急腹症征象。由于频繁腹泻,肛周皮肤可有擦伤、剥脱。还可发生肛周炎症如肛裂或肛瘘,虽然后者在Crohn病中更为常见。直肠指检总是疼痛的。在有肛周炎症的病例指检应轻柔。皮肤、粘膜、舌、关节和眼部的检查极为重要,因为如这些部位有病变存在,那么腹泻的原因可能就是溃疡性结肠炎。
诊断上主要依靠纤维结肠镜检,因为约在90%~95%患者直肠和乙状结肠受累,因此事实上通过纤维乙状结肠镜检已能明确诊断。镜检中可看到充血、水肿的粘膜,脆而易出血。在进展性病例中可看到溃疡,周围有隆起的肉芽组织和水肿的粘膜,貌似息肉样,或可称为假息肉形成。在慢性进展性病例中直肠和乙状结肠腔可明显缩小,为明确病变范围,还是应用纤维结肠镜作全结肠检查,同时作多处活组织检查以便与克隆结肠炎鉴别。
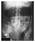
气钡灌肠双重对比造影也是一项有助诊断的检查,特别有助于确定病变范围和严重程度。在钡灌造影中可见到结肠袋形消失,肠壁不规则,假息肉形成以及肠腔变细、僵直。虽然钡灌检查是有价值的,但检查时应谨慎,避免肠道清洁准备,因为它可使结肠炎恶化。无腹泻的病例检查前给3d流汁饮食即可。有腹部征象的病例忌作钡剂灌肠检查,而应作腹部X线平片观察有无中毒性巨结肠、结肠扩张以及膈下游离气体征象。
由于此病的慢性长期过程以及它的高恶变率,对10年以上病史的病例,宜每年一次钡灌造影检查或每6个月一次纤维结肠镜检查。
性生活[编辑 | 编辑源代码]
1、溃疡性结肠炎对性功能和性欲的影响
溃疡性结肠炎是一种反复发作的慢性疾病,由于腹泻、营养吸收不良、贫血等原因影响全身的健康,在这种情况下性欲和性功能不可能处于良好状态。症状较重和发作频繁的病人多有性欲低下、阳痿、不出现性高潮等现象。常用的解痉镇痛药物可导致阴道干燥,而皮质激素则可损害性腺,因而会进一步加重性功能障碍。
2、性生活对溃疡性结肠炎的影响
性生活过度对溃疡性结肠炎的康复不利,因为疲劳是诱发该病的重要因素之一。处于进展期的病人最好不要怀孕,有研究证实怀孕可激发或加重病情。
3、性生活指导
溃疡性结肠炎病人可以过正常的性生活,但要有所节制,以不使身心感到过分疲劳为度。如果性欲并不强烈,且困乏无力时,最好不要勉强行事。处于急性发作期的病人应避免性活动。如已出现性功能障碍,应多补充一些营养,而不可胡乱服用刺激性欲的药物。这是因为溃疡性结肠炎造成的性功能障碍是由于全身营养不良引起的。
女性病人如果发作频繁,症状显著而治疗不很有效时,应该采严格采取避孕措施,避免怀孕。
由于腹泻是溃疡性结肠炎主要的症状之一,因此应特别注意性器官的卫生,事前应认真清洗性器官以免因沾染粪汁而导致泌尿生殖系统感染。
是什么诱发慢性溃疡性结肠炎:
溃疡性结肠炎的病因及发病机理尚不十分清楚,虽有感染、遗传、精神因素及过敏等发病学说,但都不能完全解释溃疡性结肠炎的全貌。以下是慢性溃疡性结肠炎可能的病因学说。
(1)感染因素:
尚未发现任何病毒、细菌或病原虫与本病有何特异性联系。溃疡性结肠炎急性期临床表现及乙状结肠镜检查,其炎性改变酷似菌痢,但反复大便培养以及结肠粘膜中未证实有细菌或病毒感染,使用抗生素治疗效果不佳,故多认为细菌感染不是溃疡性结肠炎的直接发病原因。但患者肠道菌落计数却多超过正常人,在有些病员的配偶及病人共同生活的家庭成员中均可检测出淋巴细胞毒素,从大批病例随访中,确实发现有0.5%~8.2%的菌痢患者常常演变为本病。另外动物实验中,若大肠肠道内是无菌的,则往往不能形成溃疡性结肠炎的动物模型。因此也不能排除肠道细菌在溃疡性结肠炎发病中的作用。
(2)自身免疫因素:
近年来最受重视,研究较深入,据研究事实有以下几点支持自身免疫发病原因。
①临床常并有自身免疫性疾病。
②体液免疫。患者血清中存在多种自身抗体,如抗结肠抗体(主要为IgM),其抗原是结肠上皮细胞内的脂多糖,虽然对胎儿等结肠上皮细胞无细胞毒作用,但它能介导抗体依赖性细胞毒细胞,发挥向导作用,使细胞毒细胞杀伤靶细胞——结肠上皮细胞;血清中还可能含有与结肠上皮细胞抗原起交叉反应的抗大肠杆菌O14型等抗体。另外,血清中还常含有一种( 或一些)抑制巨噬细胞移行抑制因子。
③细胞免疫。患者的淋巴细胞与正常成人或胎儿结肠上皮细胞共同培养,使结肠上皮受损,说明患者的淋巴细胞已被致敏,出现了细胞毒作用。这种细胞毒作用可由大肠杆菌O14、O19等的菌体中提出的脂多糖,刺激正常人淋巴细胞、激发K细胞而产生。细胞毒作用对本病是重要的致病作用。
④免疫复合物存在。患者结肠固有膜中有IgG、补体C3的F及S表型和纤维蛋白的沉积的免疫复合物,血循环中的免疫复合物,很可能是引起肠道外病变的因素。
⑤肠壁粘膜局部。常含有大量的IgG细胞,此系T8(抑制性)细胞减少、T4(辅助性)细胞增多的结果。
⑥胸腺器官。免疫器官胸腺常常发生明显增生和肿大,显示淋巴滤泡及上皮细胞B细胞聚集,还可发现有逆病毒颗粒,可以由B细胞诱导传播至其他细胞。
⑦肾上腺皮质激素治疗常起到明显的疗效。
综上说明,免疫学因素研究进展较快,虽还不能认识统一化,但已初见成果。感染为直接病因,而后引起自身免疫的致病变原因,已逐渐被广大医务工作者所接受。
(3)过敏因素:尤对食物过敏,如牛乳等。在某些病人中,当从食物中剔除乳类时,可收到显著的治疗效果。另发现本病的肠粘膜对机械性刺激有过敏现象存在;又发现少部分病人空肠中缺乏乳糖酶,当疾病急性发作时,外周血中可见嗜酸性粒细胞活跃增生,激素治疗有效;本病患者的肠粘膜中肥大细胞增多,刺激后能释放出大量组织胺物质等,以上现象均提示本病和过敏反应的密切关系。
(4)精神与神经因素:本病患者病情复杂或恶化,每与精神紧张、内心冲突和焦虑不安等情绪变化有关,因此身心因素在本病的起始和发展中可能起到重要作用。目前认识到此为诱因,是一种通过植物神经中介作用而产生的结肠的分泌、血管和运动反应紊乱,每使此病促发或加剧恶化。
(5)溶菌酶学说:溶菌酶是一种溶解粘液的酶,其浓度在溃疡性结肠炎病人中大量增多,而在痊愈时降低,认为此酶在溃疡性结肠炎病人体内过度形成,使结肠失去粘液保护作用,而形成了便于细胞侵袭的局部环境。
(6)遗传因素:欧美的家族发病率和种族间的发病率有明显的差别,以及溃疡性结肠炎与某些HLA的相关性,均支持和遗传因素有关。
综观上述有关因素,任何一种单独存在都不足以致病,也不能使病势急转多变,因此目前认为本病是受到免疫遗传影响的宿主反应及外源性刺激交叉互相作用而发生的多因素疾病。
| |||||||||||||||||||||||||||||||||||||||||||
