子宫肉瘤

来自医学百科

子宫肉瘤(sarcoma of uterus)是一组起源于子宫平滑肌组织、子宫间质、子宫内组织或子宫外组织的恶性肿瘤

概述[编辑 | 编辑源代码]

子宫肉瘤是一种少见的女性生殖器官恶性肿瘤,占子宫恶性肿瘤的2%-4%,占生殖道恶性肿瘤的1%。恶性程度很高,多见于绝经前后的妇女。这种肿瘤来源于中胚层,可来自子宫的肌肉结缔组织血管、内膜基质肌瘤组织学起源多是子宫肌层,亦可是肌层内结缔组织或子宫内膜的结缔组织。发病率大约在20%-40%左右,多见于30-50岁的妇女,肉瘤可见于子宫各个部位,宫体部远较宫颈部常见约为15:1。子宫肉瘤占子宫恶性肿瘤的2-5%,好发年龄为50岁左右,而宫颈葡萄状肉瘤多见于幼女。因早期无特异症状,故术前诊断率仅30-39%。  

临床分期[编辑 | 编辑源代码]

子宫肉瘤一般按国际抗癌协会(UICC-AJCCS)子宫肉瘤的分期标准进行临床分期,近年来也有人主张子

子宫肉瘤

宫内膜间质肉瘤和恶性苗勒管混合瘤参照1988年FIGO子宫内膜癌的手术病理分期标准分期。

UICC-AJCCS分期标准子宫肉瘤的临床分期:

Ⅰ期:癌肿局限于宫体

Ⅱ期:癌肿已累及宫颈管

Ⅲ期:癌肿已超出子宫,侵犯盆腔其他脏器及组织,但仍限于盆腔

Ⅳ期:癌肿超出盆腔范围,侵犯上腹腔或已有远处转移

子宫肉瘤转移 :子宫肉瘤的转移途径主要有三种:

1、血行播散是主要转移途径,通过血液循环转移到肝脏、肺脏等全身各处。

2、肉瘤直接浸润,可直接侵及子宫肌层,甚至到达子宫的浆膜层,引起腹腔内播散和腹水

3、淋巴结转移,在早期阶段较少见,晚期多见,恶性程度高者多见。  

病因[编辑 | 编辑源代码]

子宫肉瘤临床发病率低,发病原因尚不明确。有人从组织发生学上认为与胚胎细胞残留和间质细胞化生有关,但还没有明确的证据可以证明此推断。  

主要临床表现[编辑 | 编辑源代码]

(1)阴道不规则出血,量多。肿瘤如坏死或形成溃疡,可排脓血样或米汤样臭液。

(2)腹部肿块,有时自己可以摸到,特别有子宫肌瘤者可迅速增大。

(3)肿瘤压迫可引起排尿障碍,并可有腰腹疼痛。

(4)检查可发现子宫明显增大,质软,有时盆腔有浸润块。如为葡萄状肉瘤,可突出于子宫颈口或阴道内,脆而软。

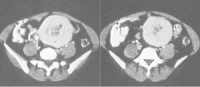
本病有时易和子宫肌瘤相混,也有的误诊为子宫内膜癌。辅助诊断如B超、CT、动脉淋巴造影等,可协助诊断。  

病理改变[编辑 | 编辑源代码]

子宫平滑肌肉瘤[编辑 | 编辑源代码]

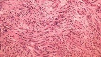
子宫平滑肌肉瘤在中国是最常见的子宫肉瘤 ,约占为子宫平滑肌瘤的0.64%,占子宫肉瘤的45%左右。主要来自子宫肌层或子宫血管壁平滑肌纤维,易发生盆腔血管、淋巴结或肺转移。肉眼见肉瘤呈弥漫性生长,与子宫肌层无明显界限。若为肌瘤肉瘤变则从中心开始向周围扩散。剖面失去漩涡状结构,常呈均匀一片或鱼肉状。色灰黄或黄白相间,半数以上见出血坏死。镜下见平滑肌细胞增生,细胞大小不一,

子宫肉瘤

排列紊乱,核异型性,染色质多、深染且分布不均,核仁明显有多核巨细胞。关于如何诊断为子宫肉瘤的标准仍然存在着许多争论,中国基本采用核分裂相≥5/10HPF.另外,子宫平滑肌肉瘤还可以分为以下几个亚型:

(1)上皮平滑肌肿瘤平滑肌母细胞瘤透明细胞平滑肌肿瘤:这种肿瘤核分裂相较少,一般<3/10HPF, 可以浸犯周围肌层,但是,很少浸犯血管,部分为良性,多数为潜在恶性或恶性。

(2)粘液样平滑肌肉瘤:这种肿瘤缺乏一般的平滑肌肉瘤的形态,镜下形态为良性,细胞少,间质明显的粘液样变,核分裂相较少,一般为0-2/10HPFs,但是,临床上几乎都是恶性,诊断恶性的依据是肿瘤的浸润型生长。  

子宫内膜间质肉瘤[编辑 | 编辑源代码]

(一)低度恶性的子宫内膜间质肉瘤:又称淋巴管内间质异位或子宫内膜间质异位症。少见。有宫旁组织转移倾向,较少发生淋巴、肺转移。肉眼见子宫球状增大,有多发性颗粒样、小团状突起,质如橡皮有弹性,用镊夹起后能回缩,好像拉橡皮筋感觉。剖面见子宫内膜层有息肉状肿块,黄色,表面光滑,切面均匀,无漩涡状排列。镜下见子宫内膜间质细胞侵入肌层肌束间,细胞浆少、细胞异型少,核分裂相少,通常少于3/10HPFs.(二)高度恶性的子宫内(二)膜间质肉瘤:少见,恶性程度高。肉眼见肿瘤向腔内突起呈息肉状,质软,切面灰黄色,鱼肉状,局部有出血坏死,向肌层浸润。镜下见内膜间质细胞高度增生,腺体减少、消失。瘤细胞致密,圆形或纺锤状,核分裂相多,通常超过10/10HPFs,平均25/10HPFs,最多可达78/10HPFs.

(三)子宫恶性中胚叶混合瘤不少见。肿瘤含肉瘤和两种成分,又称癌肉瘤。肉眼见肿瘤从子宫内膜长出,向宫腔突出呈息肉状,多发性或分叶状,底部较宽或形成蒂状。晚期浸润周围组织。肿瘤质软,表面光滑,切面见小囊腔,内充满粘液,呈灰白或灰黄色。镜下见癌和肉瘤两种成分,并可见过渡形态。  

子宫肉瘤治疗说明[编辑 | 编辑源代码]

一、手术治疗:多数专家赞成行全子宫切除术。但因子宫肉瘤可有宫旁直接蔓延及血管内瘤栓,故应尽可能作较广泛的子宫切除术,而不一定摘除盆底淋巴结。但Belgred(1975年)主张手术同时应取腹膜盆部主动脉旁淋巴结活检,以了解有无淋巴结转移。如为宫颈肉瘤或宫体肉瘤已侵及宫颈,应作广泛性子宫切除术,同时摘除盆底淋巴结。对子宫内膜基质肉瘤,有主张术前先行宫腔镭疗,再作全子宫切除术。低度恶性子宫肉瘤(如某些平滑肌肉瘤、内淋巴基质肌病等),具有孤立性局部扩散与中心性盆腔复发的倾向,应行广泛性子宫切除加双侧附件切除术,此种手术处理的好处虽尚未定论,但从理论上,局部复发是可由较广泛地切除原发肿瘤而得以减少的。低度恶性肉瘤的淋巴结转移较为少见,故仅在术中发现有增大之淋巴结或疑有淋巴结转移时,方行淋巴结摘除术。低度恶性子宫肉瘤的盆腔复发灶只要可能,往往能成功地反复手术切除而提高患者的存活率。部分或全盆腔脏器切除术(pelvic exenteration)偶尔可用于转移至膀胱或/及直肠者。对年轻妇女肿瘤局限、无浸润现象者,可考虑保留正常卵巢,其预后与切除者

女性要注意子宫肉瘤

无明显区别。但对子宫基质肉瘤患者不宜保留卵巢,因其子宫外转移的机会较多。对高度恶性的子宫肉瘤(某些平滑肌肉瘤、内膜基质肉瘤及所有混合性中胚层肉瘤),由于其具有早期淋巴、局部以及血源性转移之特点,故广泛性手术已被放弃,仅行全子宫及双侧附件切除术,而在术前或术后附加放射治疗。但对平滑肌肉瘤附加放疗问题仍有争论,以其不仅不能改善患者的生存率,反致影响以后的化疗。一般在完成手术或手术加放疗后,所有患者应考虑附加化疗。经过详细的有关检查,明确为仅有一侧肺孤立转移瘤,可行手术切除,大约有25%的5年生存率。

二、放射治疗:由于子宫肉瘤对放射线敏感性较低,文献报道,单独应用放疗很少有5年生存者。放疗对子宫内膜基质肉瘤及子宫混合性中胚层肉瘤的疗效比平滑肌肉瘤为佳。Gilbert认为,子宫内膜基质肉瘤术前、后应辅以放疗。不少专家认为术后辅以放疗比单行手术好。Badib报告各种子宫肉瘤(临床Ⅰ期)病人的手术合并放疗和单行手术治疗比较,5年存活率由57%提高为74%。对转移或复发的晚期肉瘤患者,一般主张用60钻或深度X线作为姑息治疗,以延长生命。

三、化疗 许多细胞毒性抗癌药对子宫肉瘤的转移与复发有一定疗效。环磷酰胺、瘤可宁、阿霉素等单独应用和VAC(长春新硷放线菌素D-环磷酰胺)联合化疗的效应率(response rate)为25~35%(与癌细胞类型有关)。有些复发性基质肉瘤对孕酮治疗有效应。联合用手术、60钻放疗及口服大剂量18-甲基炔诺酮,在一些幼女生殖道胚胎横纹肌肉瘤病例,也取得较好的效果。  

子宫肉瘤预防说明[编辑 | 编辑源代码]

对于盆腔的良性病变,应避免不加选择地采用放射治疗,过多接触放射线,有可能导致肉瘤的发生,不宜忽视。另外,由于肉瘤的早期发现与诊断较为困难,故对绝经期前后的妇女,最好每半年作一次盆腔检查及其他辅助检查。任何年龄的妇女,如有阴道异常分泌物或下腹不适,宜及时诊查。

子宫肉瘤

影响预后的因素有:

(1)临床分期;

(2)病理类型;

(3)组织学分级;

(4)年龄:绝经后发病者较差,反之较好;

(5)子宫肌瘤肉瘤变者预后较好;

(6)治疗方式:若手术能将肿瘤较彻底清除,术后辅以放疗和化疗,可提高五年存活率。若晚期不能手术切除者,尽管采用放疗和化疗多于1年内死亡。

预防:对于盆腔的良性病变,应避免不加选择地采用放射治疗,过多接触放射线,有可能导致肉瘤的发生,不宜忽视。另外,由于肉瘤的早期发现与诊断较为困难,故对绝经期前后的妇女,最好每半年作一次盆腔检查及其他辅助检查。任何年龄的妇女,如有阴道异常分泌物或下腹不适,宜及时诊查。  

子宫肉瘤与节育环[编辑 | 编辑源代码]

子宫肉瘤如果可以上环,那么环会刺激子宫肉瘤,引发子宫肉瘤长得更快,极少数的子宫肉瘤可能还会恶变成子宫癌。因此,子宫肉瘤最好是采用避孕套的方式进行避孕。通常生殖道炎症生殖器官肿瘤、月经频发、月经经量过多、严重全身性疾病、宫颈口过松、重度裂伤或严重子宫脱垂畸形子宫等都不建议上环。  

子宫肉瘤的诊断依据[编辑 | 编辑源代码]

1.子宫肉瘤无特异的症状和体征,临床表现与其他生殖道肿瘤有许多类似之处,且发病率低,易被忽视,欲提高术前诊断率,必须予以重视;

2.绝经期前后或幼女不规则阴道流血伴子宫增大者;

3.子宫肌瘤迅速增大,尤其是绝经后子宫肌瘤患者,应考虑有肉瘤变的可能;

4.既往曾接受过放射治疗的患者,子宫突然增大,伴异常阴道流血;

5.宫颈赘生物、诊刮,或子宫切除标本经病理证实,(但诊刮阴性者不能排除)。